• 文献检索
  • 文档翻译
  • 深度研究
  • 学术资讯
  • Suppr Zotero 插件Zotero 插件
  • 邀请有礼
  • 套餐&价格
  • 历史记录
应用&插件
Suppr Zotero 插件Zotero 插件浏览器插件Mac 客户端Windows 客户端微信小程序
定价
高级版会员购买积分包购买API积分包
服务
文献检索文档翻译深度研究API 文档MCP 服务
关于我们
关于 Suppr公司介绍联系我们用户协议隐私条款
关注我们

Suppr 超能文献

核心技术专利:CN118964589B侵权必究
粤ICP备2023148730 号-1Suppr @ 2026

文献检索

告别复杂PubMed语法,用中文像聊天一样搜索,搜遍4000万医学文献。AI智能推荐,让科研检索更轻松。

立即免费搜索

文件翻译

保留排版,准确专业,支持PDF/Word/PPT等文件格式,支持 12+语言互译。

免费翻译文档

深度研究

AI帮你快速写综述,25分钟生成高质量综述,智能提取关键信息,辅助科研写作。

立即免费体验

2 例缩窄性心包炎患者的腹水分析诊断。

Ascitic Fluid Analysis Leading to the Diagnosis of Constrictive Pericarditis in 2 Patients.

机构信息

Department of Medicine, Medical University of South Carolina, Charleston, USA.

出版信息

J Investig Med High Impact Case Rep. 2022 Jan-Dec;10:23247096221097530. doi: 10.1177/23247096221097530.

DOI:10.1177/23247096221097530
PMID:35546528
原文链接:https://pmc.ncbi.nlm.nih.gov/articles/PMC9112309/
Abstract

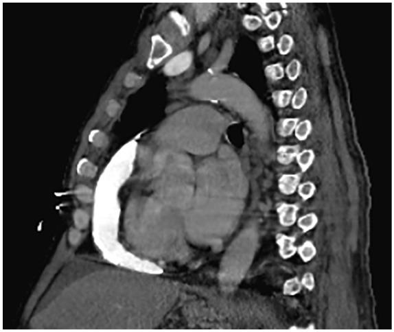
Although well documented, constrictive pericarditis is a rare entity and an uncommon cause of heart failure. A stiff and noncompliant pericardium creates the disease's unique hemodynamics and leads to elevated venous pressures, hepatic sinusoidal congestion, and draining of protein-rich fluid into the peritoneal cavity presenting as ascites. The low incidence in addition to its varied and subtle clinical presentations can often lead to a delay in diagnosis. Here, we present 2 clinical cases of constrictive pericarditis in which ascitic fluid analysis was important-one patient who presented with new-onset ascites with concern for cirrhosis and another patient who presented with symptoms concerning for heart failure with ascites. Through their hospital course and workup, we highlight the importance of diagnostic sampling of ascitic fluid to prompt the consideration of constrictive pericarditis followed by utilizing advanced diagnostics, such as echocardiogram and cardiac catheterization to reach the correct diagnosis in an otherwise often overlooked pathology.

摘要

尽管已有充分的文献记载,但缩窄性心包炎是一种罕见的疾病,也是心力衰竭不太常见的病因。坚硬且缺乏顺应性的心包会导致该病独特的血液动力学变化,进而导致静脉压升高、肝窦充血,并使富含蛋白质的液体引流到腹腔,表现为腹水。其发病率低,加之临床表现多样且不明显,往往会导致诊断延迟。在此,我们介绍了 2 例缩窄性心包炎的临床病例,其中腹水分析很重要——1 例患者因新出现的腹水就诊,病因考虑为肝硬化,另 1 例患者因疑似心力衰竭合并腹水就诊。通过他们的住院过程和检查,我们强调了诊断性腹水取样的重要性,以促使考虑缩窄性心包炎,然后利用超声心动图和心导管等先进诊断方法来明确诊断,否则这种疾病往往会被忽视。

https://cdn.ncbi.nlm.nih.gov/pmc/blobs/4c4a/9112309/141fb7ada1e6/10.1177_23247096221097530-fig4.jpg
https://cdn.ncbi.nlm.nih.gov/pmc/blobs/4c4a/9112309/1d0c66d09bfc/10.1177_23247096221097530-fig1.jpg
https://cdn.ncbi.nlm.nih.gov/pmc/blobs/4c4a/9112309/5ea62292c1a8/10.1177_23247096221097530-fig2.jpg
https://cdn.ncbi.nlm.nih.gov/pmc/blobs/4c4a/9112309/01f7d5d7b468/10.1177_23247096221097530-fig3.jpg
https://cdn.ncbi.nlm.nih.gov/pmc/blobs/4c4a/9112309/141fb7ada1e6/10.1177_23247096221097530-fig4.jpg
https://cdn.ncbi.nlm.nih.gov/pmc/blobs/4c4a/9112309/1d0c66d09bfc/10.1177_23247096221097530-fig1.jpg
https://cdn.ncbi.nlm.nih.gov/pmc/blobs/4c4a/9112309/5ea62292c1a8/10.1177_23247096221097530-fig2.jpg
https://cdn.ncbi.nlm.nih.gov/pmc/blobs/4c4a/9112309/01f7d5d7b468/10.1177_23247096221097530-fig3.jpg
https://cdn.ncbi.nlm.nih.gov/pmc/blobs/4c4a/9112309/141fb7ada1e6/10.1177_23247096221097530-fig4.jpg

相似文献

1
Ascitic Fluid Analysis Leading to the Diagnosis of Constrictive Pericarditis in 2 Patients.2 例缩窄性心包炎患者的腹水分析诊断。
J Investig Med High Impact Case Rep. 2022 Jan-Dec;10:23247096221097530. doi: 10.1177/23247096221097530.
2
Constrictive Pericarditis with Cardiac Ascites Caused Spontaneous Bacterial Peritonitis.缩窄性心包炎合并心包积液致自发性细菌性腹膜炎。
Intern Med. 2022 Jun 15;61(12):1857-1861. doi: 10.2169/internalmedicine.8332-21. Epub 2021 Nov 13.
3
Constrictive pericarditis--a curable diastolic heart failure.缩窄性心包炎——一种可治愈的舒张性心力衰竭。
Nat Rev Cardiol. 2014 Sep;11(9):530-44. doi: 10.1038/nrcardio.2014.100. Epub 2014 Jul 29.
4
Refractory ascites as the only presenting symptom of chronic calcified constrictive pericarditis: a diagnostic challenge.难治性腹水作为慢性钙化性缩窄性心包炎的唯一表现症状:一项诊断挑战。
Heart Surg Forum. 2014 Feb;17(1):E42-6. doi: 10.1532/HSF98.2013251.
5
Constrictive pericarditis presenting as massive ascites in children: report of one case.小儿缩窄性心包炎表现为大量腹水:1例报告
Acta Paediatr Taiwan. 2002 May-Jun;43(3):166-9.
6
Differential diagnosis of ascites in internal medicine: clinical case.内科腹水的鉴别诊断:临床病例
Ter Arkh. 2018 Aug 27;90(8):74-80. doi: 10.26442/terarkh201890874-80.
7
[Ascites due to constrictive pericarditis].[缩窄性心包炎所致腹水]
Presse Med. 2005 Jan 15;34(1):29-31. doi: 10.1016/s0755-4982(05)83880-1.
8
[Constrictive pericarditis: the story of a constrained heart].[缩窄性心包炎:一颗受束缚心脏的故事]
Cir Cir. 2010 Jul-Aug;78(4):342-6.
9
[An exemplificative case of constrictive pericarditis].
G Ital Cardiol (Rome). 2024 Jan;25(1):53-56. doi: 10.1714/4165.41592.
10
Chylous ascites due to constrictive pericarditis.缩窄性心包炎所致乳糜性腹水。
Int J Card Imaging. 2000 Feb;16(1):49-54. doi: 10.1023/a:1006379625554.

本文引用的文献

1
Heart Failure and Liver Disease: Cardiohepatic Interactions.心力衰竭与肝脏疾病:心-肝相互作用。
JACC Heart Fail. 2019 Feb;7(2):87-97. doi: 10.1016/j.jchf.2018.10.007. Epub 2018 Dec 12.
2
Model for end-stage liver disease predicts mortality after pericardiectomy for constrictive pericarditis.
Interact Cardiovasc Thorac Surg. 2018 Dec 1;27(6):813-818. doi: 10.1093/icvts/ivy182.
3
Constrictive pericarditis: diagnosis, management and clinical outcomes.缩窄性心包炎:诊断、处理和临床结局。
Heart. 2018 May;104(9):725-731. doi: 10.1136/heartjnl-2017-311683. Epub 2017 Nov 25.
4
Surgical Treatment of Constrictive Pericarditis.缩窄性心包炎的外科治疗
Tex Heart Inst J. 2017 Apr 1;44(2):101-106. doi: 10.14503/THIJ-16-5772. eCollection 2017 Apr.
5
Differentiation of Constriction and Restriction: Complex Cardiovascular Hemodynamics.收缩与限制的区分:复杂心血管血液动力学。
J Am Coll Cardiol. 2016 Nov 29;68(21):2329-2347. doi: 10.1016/j.jacc.2016.08.050.
6
Evaluation of New-Onset Ascites.新发腹水的评估
JAMA. 2016 Jul 19;316(3):340-1. doi: 10.1001/jama.2016.7600.
7
Gastrointestinal and Liver Issues in Heart Failure.心力衰竭中的胃肠道和肝脏问题。
Circulation. 2016 Apr 26;133(17):1696-703. doi: 10.1161/CIRCULATIONAHA.115.020894.
8
Serum B-type natriuretic peptide in the initial workup of patients with new onset ascites: a diagnostic accuracy study.新发生腹水患者初始检查中血清 B 型利钠肽:一项诊断准确性研究。
Hepatology. 2014 Mar;59(3):1043-51. doi: 10.1002/hep.26643. Epub 2014 Jan 13.