Suppr超能文献

来自乳腺肿瘤细胞的囊泡神经节苷脂GM1刺激受体MCF-10A细胞发生上皮-间质转化。

Vesicular Ganglioside GM1 From Breast Tumor Cells Stimulated Epithelial-to-Mesenchymal Transition of Recipient MCF-10A Cells.

作者信息

Ma Qilong, Zhuo Dinghao, Guan Feng, Li Xiang, Yang Xiaomin, Tan Zengqi

机构信息

Joint International Research Laboratory of Glycobiology and Medicinal Chemistry, College of Life Science, Northwest University, Xi'an, China.

Women's Hospital, and Institute of Genetics, Zhejiang University School of Medicine, Hangzhou, China.

出版信息

Front Oncol. 2022 Apr 26;12:837930. doi: 10.3389/fonc.2022.837930. eCollection 2022.

Abstract

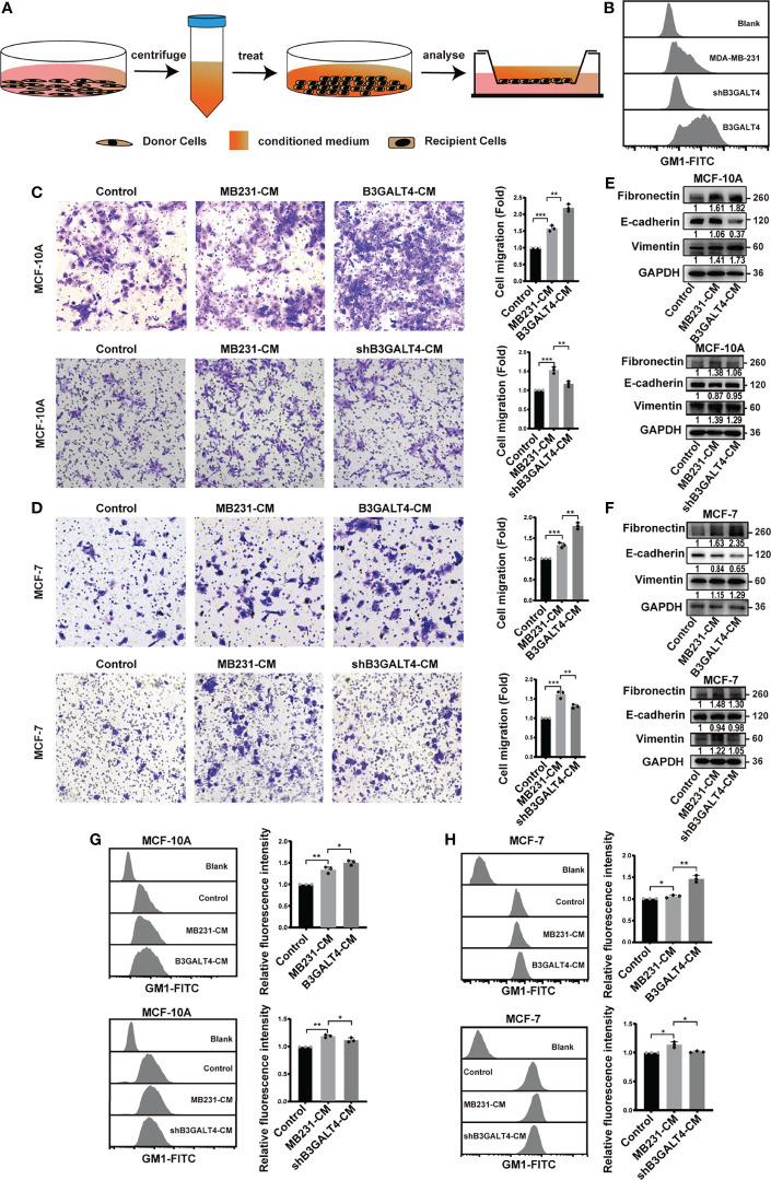
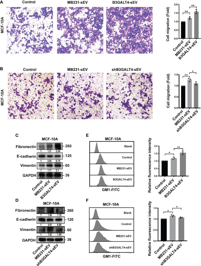
Small extracellular vesicles (sEVs) are a type of membrane structure secreted by cells, which are involved in physiological and pathological processes by participating in intercellular communication. Glycosphingolipids (GSLs) are enriched in sEV and can be delivered to recipient cells. In this study, we found that overexpression of B3GALT4, the glycosyltransferase responsible for ganglioside GM1 synthesis, can induce the epithelial-mesenchymal transition (EMT) process in MCF-10A cells. Moreover, GM1 was verified to be presented on sEV from breast cancer cells. Overexpression of B3GALT4 resulted in elevated vesicular GM1 levels and increased sEV secretion in breast cancer cells. Proteomic analysis revealed that eleven sEV secretion-related proteins were differentially expressed, which might contribute to the altered sEV secretion. Of the identified proteins, 15 oncogenic differentially expressed proteins were documented to be presented in sEV. With the treatment of GM1-enriched sEV from breast cancer cells, the EMT process was induced in recipient non-tumorigenic epithelial MCF-10A cells. Our findings demonstrated that GM1-enriched sEVs derived from breast cancer cells induced the EMT process of recipient cells, which might provide essential information on the biological function of vesicular GM1.

摘要

小细胞外囊泡(sEVs)是细胞分泌的一种膜结构,通过参与细胞间通讯参与生理和病理过程。糖鞘脂(GSLs)在sEV中富集,并可传递至受体细胞。在本研究中,我们发现负责神经节苷脂GM1合成的糖基转移酶B3GALT4的过表达可诱导MCF-10A细胞发生上皮-间质转化(EMT)过程。此外,已证实GM1存在于乳腺癌细胞来源的sEV上。B3GALT4的过表达导致乳腺癌细胞中囊泡GM1水平升高和sEV分泌增加。蛋白质组学分析显示,11种与sEV分泌相关的蛋白质表达存在差异,这可能导致sEV分泌改变。在已鉴定的蛋白质中,有15种致癌性差异表达蛋白被证明存在于sEV中。用乳腺癌细胞来源的富含GM1的sEV处理后,受体非致瘤性上皮MCF-10A细胞发生了EMT过程。我们的研究结果表明,乳腺癌细胞来源的富含GM1的sEV可诱导受体细胞的EMT过程,这可能为囊泡GM1的生物学功能提供重要信息。

https://cdn.ncbi.nlm.nih.gov/pmc/blobs/af4e/9086854/cf1a5132bb67/fonc-12-837930-g001.jpg

文献AI研究员

20分钟写一篇综述,助力文献阅读效率提升50倍。

立即体验

用中文搜PubMed

大模型驱动的PubMed中文搜索引擎

马上搜索

文档翻译

学术文献翻译模型,支持多种主流文档格式。

立即体验