• 文献检索
  • 文档翻译
  • 深度研究
  • 学术资讯
  • Suppr Zotero 插件Zotero 插件
  • 邀请有礼
  • 套餐&价格
  • 历史记录
应用&插件
Suppr Zotero 插件Zotero 插件浏览器插件Mac 客户端Windows 客户端微信小程序
定价
高级版会员购买积分包购买API积分包
服务
文献检索文档翻译深度研究API 文档MCP 服务
关于我们
关于 Suppr公司介绍联系我们用户协议隐私条款
关注我们

Suppr 超能文献

核心技术专利:CN118964589B侵权必究
粤ICP备2023148730 号-1Suppr @ 2026

文献检索

告别复杂PubMed语法,用中文像聊天一样搜索,搜遍4000万医学文献。AI智能推荐,让科研检索更轻松。

立即免费搜索

文件翻译

保留排版,准确专业,支持PDF/Word/PPT等文件格式,支持 12+语言互译。

免费翻译文档

深度研究

AI帮你快速写综述,25分钟生成高质量综述,智能提取关键信息,辅助科研写作。

立即免费体验

高血糖环境增加了人类肾类器官和患者细胞中 ACE2 的表达和对 SARS-CoV-2 感染的易感性。

A diabetic milieu increases ACE2 expression and cellular susceptibility to SARS-CoV-2 infections in human kidney organoids and patient cells.

机构信息

Pluripotency for Organ Regeneration, Institute for Bioengineering of Catalonia (IBEC), The Barcelona Institute of Science and Technology (BIST), Barcelona, Spain.

Department of Infectious Diseases, Molecular Virology, Heidelberg University Hospital, Heidelberg, Germany; Research Group "Cellular Polarity and Viral Infection," German Cancer Research Center (DKFZ), Heidelberg, Germany; Department of Molecular Genetics and Microbiology, College of Medicine, University of Florida, Gainesville, FL, USA.

出版信息

Cell Metab. 2022 Jun 7;34(6):857-873.e9. doi: 10.1016/j.cmet.2022.04.009. Epub 2022 May 12.

DOI:10.1016/j.cmet.2022.04.009
PMID:35561674
原文链接:https://pmc.ncbi.nlm.nih.gov/articles/PMC9097013/
Abstract

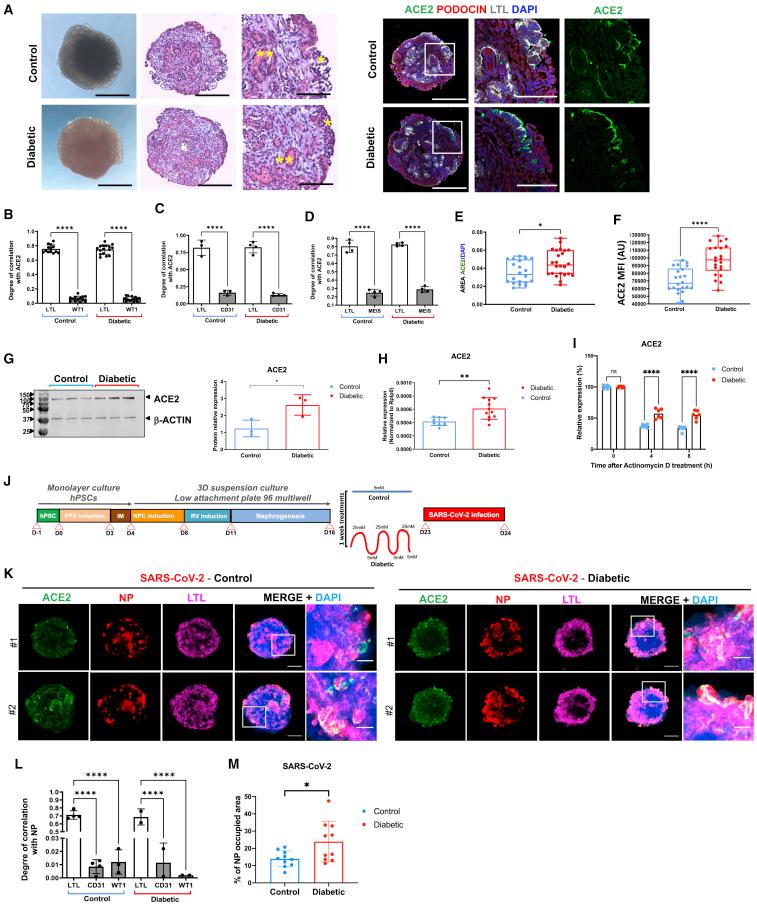
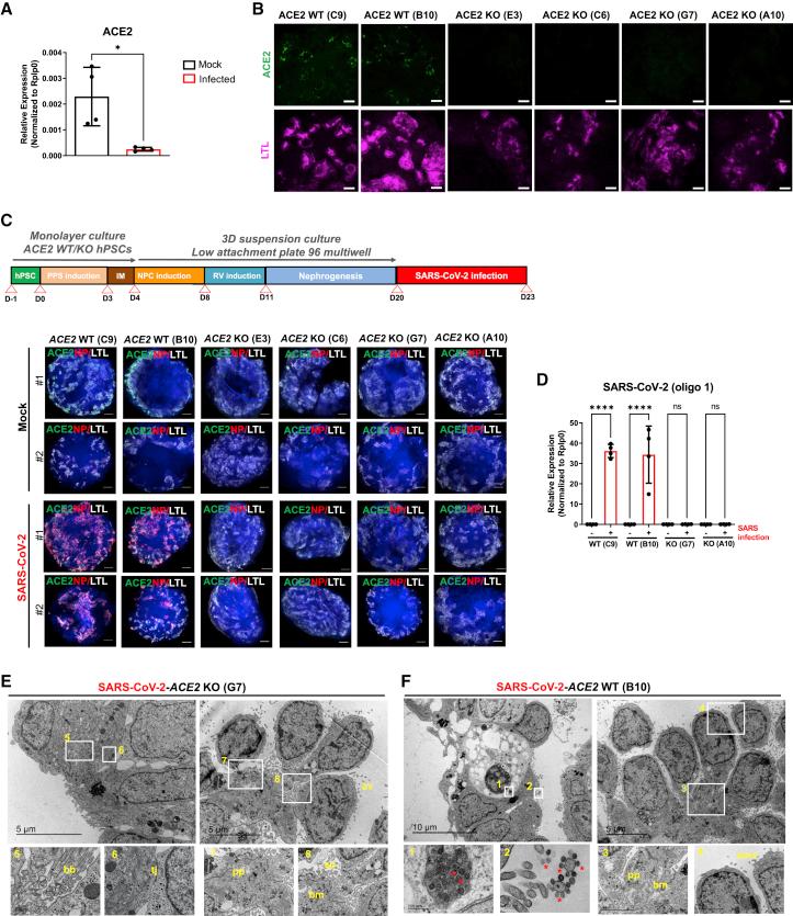
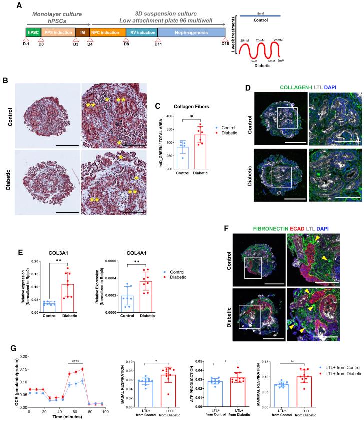
It is not well understood why diabetic individuals are more prone to develop severe COVID-19. To this, we here established a human kidney organoid model promoting early hallmarks of diabetic kidney disease development. Upon SARS-CoV-2 infection, diabetic-like kidney organoids exhibited higher viral loads compared with their control counterparts. Genetic deletion of the angiotensin-converting enzyme 2 (ACE2) in kidney organoids under control or diabetic-like conditions prevented viral detection. Moreover, cells isolated from kidney biopsies from diabetic patients exhibited altered mitochondrial respiration and enhanced glycolysis, resulting in higher SARS-CoV-2 infections compared with non-diabetic cells. Conversely, the exposure of patient cells to dichloroacetate (DCA), an inhibitor of aerobic glycolysis, resulted in reduced SARS-CoV-2 infections. Our results provide insights into the identification of diabetic-induced metabolic programming in the kidney as a critical event increasing SARS-CoV-2 infection susceptibility, opening the door to the identification of new interventions in COVID-19 pathogenesis targeting energy metabolism.

摘要

目前尚不清楚为什么糖尿病患者更容易患上严重的 COVID-19。为此,我们建立了一种人类肾脏类器官模型,促进糖尿病肾病发展的早期特征。在感染 SARS-CoV-2 后,与对照组相比,糖尿病样肾脏类器官表现出更高的病毒载量。在对照或糖尿病样条件下,对肾脏类器官中血管紧张素转换酶 2(ACE2)的基因缺失可防止病毒检测。此外,与非糖尿病细胞相比,从糖尿病患者肾脏活检中分离出的细胞表现出改变的线粒体呼吸和增强的糖酵解,导致更高的 SARS-CoV-2 感染。相反,将患者细胞暴露于二氯乙酸(DCA),一种有氧糖酵解抑制剂,可导致 SARS-CoV-2 感染减少。我们的研究结果为鉴定肾脏中的糖尿病诱导的代谢编程作为增加 SARS-CoV-2 感染易感性的关键事件提供了新的见解,为针对能量代谢的 COVID-19 发病机制中的新干预措施的鉴定开辟了道路。

https://cdn.ncbi.nlm.nih.gov/pmc/blobs/5d49/9251325/7caa47ec88cd/gr7.jpg
https://cdn.ncbi.nlm.nih.gov/pmc/blobs/5d49/9251325/219863960ca2/fx1.jpg
https://cdn.ncbi.nlm.nih.gov/pmc/blobs/5d49/9251325/3b002aa5174a/gr1.jpg
https://cdn.ncbi.nlm.nih.gov/pmc/blobs/5d49/9251325/011efdafc116/gr2.jpg
https://cdn.ncbi.nlm.nih.gov/pmc/blobs/5d49/9251325/d72652b561bd/gr3.jpg
https://cdn.ncbi.nlm.nih.gov/pmc/blobs/5d49/9251325/f0375f75acf4/gr4.jpg
https://cdn.ncbi.nlm.nih.gov/pmc/blobs/5d49/9251325/081f5f8e7eb7/gr5.jpg
https://cdn.ncbi.nlm.nih.gov/pmc/blobs/5d49/9251325/264aa2e7f277/gr6.jpg
https://cdn.ncbi.nlm.nih.gov/pmc/blobs/5d49/9251325/7caa47ec88cd/gr7.jpg
https://cdn.ncbi.nlm.nih.gov/pmc/blobs/5d49/9251325/219863960ca2/fx1.jpg
https://cdn.ncbi.nlm.nih.gov/pmc/blobs/5d49/9251325/3b002aa5174a/gr1.jpg
https://cdn.ncbi.nlm.nih.gov/pmc/blobs/5d49/9251325/011efdafc116/gr2.jpg
https://cdn.ncbi.nlm.nih.gov/pmc/blobs/5d49/9251325/d72652b561bd/gr3.jpg
https://cdn.ncbi.nlm.nih.gov/pmc/blobs/5d49/9251325/f0375f75acf4/gr4.jpg
https://cdn.ncbi.nlm.nih.gov/pmc/blobs/5d49/9251325/081f5f8e7eb7/gr5.jpg
https://cdn.ncbi.nlm.nih.gov/pmc/blobs/5d49/9251325/264aa2e7f277/gr6.jpg
https://cdn.ncbi.nlm.nih.gov/pmc/blobs/5d49/9251325/7caa47ec88cd/gr7.jpg

相似文献

1
A diabetic milieu increases ACE2 expression and cellular susceptibility to SARS-CoV-2 infections in human kidney organoids and patient cells.高血糖环境增加了人类肾类器官和患者细胞中 ACE2 的表达和对 SARS-CoV-2 感染的易感性。
Cell Metab. 2022 Jun 7;34(6):857-873.e9. doi: 10.1016/j.cmet.2022.04.009. Epub 2022 May 12.
2
Kidney organoids reveal redundancy in viral entry pathways during ACE2-dependent SARS-CoV-2 infection.肾类器官揭示 ACE2 依赖性 SARS-CoV-2 感染过程中病毒进入途径的冗余性。
J Virol. 2024 Mar 19;98(3):e0180223. doi: 10.1128/jvi.01802-23. Epub 2024 Feb 9.
3
SARS-CoV-2 receptor networks in diabetic and COVID-19-associated kidney disease.SARS-CoV-2 受体网络在糖尿病和 COVID-19 相关肾脏疾病中的作用。
Kidney Int. 2020 Dec;98(6):1502-1518. doi: 10.1016/j.kint.2020.09.015. Epub 2020 Oct 8.
4
COVID-19: angiotensin-converting enzyme 2 (ACE2) expression and tissue susceptibility to SARS-CoV-2 infection.COVID-19:血管紧张素转化酶 2(ACE2)的表达和组织对 SARS-CoV-2 感染的易感性。
Eur J Clin Microbiol Infect Dis. 2021 May;40(5):905-919. doi: 10.1007/s10096-020-04138-6. Epub 2021 Jan 3.
5
Inhibition of SARS-CoV-2 Infections in Engineered Human Tissues Using Clinical-Grade Soluble Human ACE2.使用临床级别的可溶性人血管紧张素转化酶 2 抑制工程化人类组织中的 SARS-CoV-2 感染。
Cell. 2020 May 14;181(4):905-913.e7. doi: 10.1016/j.cell.2020.04.004. Epub 2020 Apr 24.
6
Long Term Culture of Human Kidney Proximal Tubule Epithelial Cells Maintains Lineage Functions and Serves as an Ex vivo Model for Coronavirus Associated Kidney Injury.人近端肾小管上皮细胞的长期培养保持谱系功能,并作为冠状病毒相关肾损伤的体外模型。
Virol Sin. 2020 Jun;35(3):311-320. doi: 10.1007/s12250-020-00253-y. Epub 2020 Jun 29.
7
Expression of the SARS-CoV-2 receptorACE2 in human heart is associated with uncontrolled diabetes, obesity, and activation of the renin angiotensin system.SARS-CoV-2 受体 ACE2 在人心脏中的表达与不受控制的糖尿病、肥胖症以及肾素血管紧张素系统的激活有关。
Cardiovasc Diabetol. 2021 Apr 27;20(1):90. doi: 10.1186/s12933-021-01275-w.
8
SARS-CoV-2 pandemic and research gaps: Understanding SARS-CoV-2 interaction with the ACE2 receptor and implications for therapy.SARS-CoV-2 大流行和研究空白:了解 SARS-CoV-2 与 ACE2 受体的相互作用及其对治疗的影响。
Theranostics. 2020 Jun 12;10(16):7448-7464. doi: 10.7150/thno.48076. eCollection 2020.
9
FGF7 enhances the expression of ACE2 in human islet organoids aggravating SARS-CoV-2 infection.成纤维细胞生长因子7增强人胰岛类器官中血管紧张素转换酶2的表达,加重严重急性呼吸综合征冠状病毒2感染。
Signal Transduct Target Ther. 2024 Apr 23;9(1):104. doi: 10.1038/s41392-024-01790-8.
10
Angiotensin-converting enzyme 2 (ACE2), SARS-CoV-2 and the pathophysiology of coronavirus disease 2019 (COVID-19).血管紧张素转化酶 2(ACE2)、严重急性呼吸综合征冠状病毒 2(SARS-CoV-2)与 2019 冠状病毒病(COVID-19)的病理生理学。
J Pathol. 2020 Jul;251(3):228-248. doi: 10.1002/path.5471. Epub 2020 Jun 10.

引用本文的文献

1
The Intersection of SARS-CoV-2 and Diabetes.新型冠状病毒与糖尿病的交叉关联
Microorganisms. 2025 Jun 14;13(6):1390. doi: 10.3390/microorganisms13061390.
2
Evaluating the impact of COVID-19 on cancer care: a comprehensive analysis of treatment modifications, risk factors, and patient outcomes.评估2019冠状病毒病对癌症护理的影响:对治疗调整、风险因素和患者结局的综合分析。
BMC Infect Dis. 2025 Jun 2;25(1):779. doi: 10.1186/s12879-025-11172-2.
3
Pathological Glucose Levels Enhance Entry Factor Expression and Hepatic SARS-CoV-2 Infection.

本文引用的文献

1
SARS-CoV-2 infects the human kidney and drives fibrosis in kidney organoids.SARS-CoV-2 感染人类肾脏并导致肾类器官纤维化。
Cell Stem Cell. 2022 Feb 3;29(2):217-231.e8. doi: 10.1016/j.stem.2021.12.010. Epub 2021 Dec 25.
2
Targeting Glucose Metabolism of Cancer Cells with Dichloroacetate to Radiosensitize High-Grade Gliomas.使用二氯乙酸靶向癌细胞的葡萄糖代谢以增敏高级别神经胶质瘤的放射治疗。
Int J Mol Sci. 2021 Jul 6;22(14):7265. doi: 10.3390/ijms22147265.
3
Pathophysiology of COVID-19-associated acute kidney injury.COVID-19 相关急性肾损伤的病理生理学。
病理性血糖水平增强进入因子表达及肝脏新冠病毒感染
J Cell Mol Med. 2025 Jun;29(11):e70581. doi: 10.1111/jcmm.70581.
4
Sulfonohydrazide as a potential inhibitor of SARS-CoV-2 infection.磺酰肼作为一种潜在的新型冠状病毒感染抑制剂。
Sci Rep. 2025 May 28;15(1):18732. doi: 10.1038/s41598-025-03685-2.
5
Characterization of a SARS-CoV-2 infection model in golden hamsters with diabetes mellitus.患有糖尿病的金黄地鼠中新型冠状病毒 2 型感染模型的特征描述。
Virol Sin. 2025 Jun;40(3):349-360. doi: 10.1016/j.virs.2025.05.001. Epub 2025 May 17.
6
Insights into Modeling Inflammatory Bowel Disease from Stem Cell Derived Intestinal Organoids.从干细胞衍生的肠道类器官对炎症性肠病建模的见解。
Stem Cell Rev Rep. 2025 Apr 29. doi: 10.1007/s12015-025-10887-8.
7
Molecular dissection of the role of ACE2 in glucose homeostasis.血管紧张素转换酶2(ACE2)在葡萄糖稳态中作用的分子剖析
Physiol Rev. 2025 Jul 1;105(3):935-973. doi: 10.1152/physrev.00027.2024. Epub 2025 Feb 7.
8
A Narrative Review of Key Risk Factors for Severe Illness Following SARS-CoV-2, Influenza Virus, and Respiratory Syncytial Virus Infection.关于新型冠状病毒、流感病毒和呼吸道合胞病毒感染后重症关键危险因素的叙述性综述
Infect Dis Ther. 2025 Jan;14(Suppl 1):39-61. doi: 10.1007/s40121-024-01081-3. Epub 2024 Dec 30.
9
ACE2, From the Kidney to SARS-CoV-2: Donald Seldin Award Lecture 2023.从肾脏到新型冠状病毒2:2023年唐纳德·塞尔丁奖讲座。 (注:ACE2一般指血管紧张素转换酶2,这里结合全文可能是与新型冠状病毒2相关的内容,但原文中未明确展开解释ACE2具体在这个语境下的详细含义,直接按字面呈现其英文缩写形式。)
Hypertension. 2025 Feb;82(2):166-180. doi: 10.1161/HYPERTENSIONAHA.124.22064. Epub 2024 Dec 3.
10
The Functions of SARS-CoV-2 Receptors in Diabetes-Related Severe COVID-19.SARS-CoV-2 受体在糖尿病相关重症 COVID-19 中的作用。
Int J Mol Sci. 2024 Sep 5;25(17):9635. doi: 10.3390/ijms25179635.
Nat Rev Nephrol. 2021 Nov;17(11):751-764. doi: 10.1038/s41581-021-00452-0. Epub 2021 Jul 5.
4
Comparison of renal histopathology and gene expression profiles between severe COVID-19 and bacterial sepsis in critically ill patients.比较危重症 COVID-19 患者与严重细菌感染性休克患者的肾脏组织病理学和基因表达谱。
Crit Care. 2021 Jun 10;25(1):202. doi: 10.1186/s13054-021-03631-4.
5
Tissue-based SARS-CoV-2 detection in fatal COVID-19 infections: Sustained direct viral-induced damage is not necessary to drive disease progression.组织学 SARS-CoV-2 检测在致命 COVID-19 感染中的作用:持续的直接病毒诱导损伤并非驱动疾病进展的必要条件。
Hum Pathol. 2021 Aug;114:110-119. doi: 10.1016/j.humpath.2021.04.012. Epub 2021 May 4.
6
Human kidney is a target for novel severe acute respiratory syndrome coronavirus 2 infection.人类肾脏是新型严重急性呼吸综合征冠状病毒 2 感染的靶器官。
Nat Commun. 2021 May 4;12(1):2506. doi: 10.1038/s41467-021-22781-1.
7
Single-cell analyses reveal SARS-CoV-2 interference with intrinsic immune response in the human gut.单细胞分析揭示了 SARS-CoV-2 对人类肠道固有免疫反应的干扰。
Mol Syst Biol. 2021 Apr;17(4):e10232. doi: 10.15252/msb.202110232.
8
Single-cell analysis of angiotensin-converting enzyme II expression in human kidneys and bladders reveals a potential route of 2019 novel coronavirus infection.单细胞分析人类肾脏和膀胱中血管紧张素转化酶 2 的表达,揭示了 2019 年新型冠状病毒感染的潜在途径。
Chin Med J (Engl). 2021 Apr 20;134(8):935-943. doi: 10.1097/CM9.0000000000001439.
9
Oscillatory pattern of glycemic control in patients with diabetes mellitus.糖尿病患者的血糖控制波动模式。
Sci Rep. 2021 Mar 11;11(1):5789. doi: 10.1038/s41598-021-84822-5.
10
Auto-antibodies to type I IFNs can underlie adverse reactions to yellow fever live attenuated vaccine.自身免疫性抗体针对 I 型干扰素可能导致黄热病减毒活疫苗的不良反应。
J Exp Med. 2021 Apr 5;218(4). doi: 10.1084/jem.20202486.