• 文献检索
  • 文档翻译
  • 深度研究
  • 学术资讯
  • Suppr Zotero 插件Zotero 插件
  • 邀请有礼
  • 套餐&价格
  • 历史记录
应用&插件
Suppr Zotero 插件Zotero 插件浏览器插件Mac 客户端Windows 客户端微信小程序
定价
高级版会员购买积分包购买API积分包
服务
文献检索文档翻译深度研究API 文档MCP 服务
关于我们
关于 Suppr公司介绍联系我们用户协议隐私条款
关注我们

Suppr 超能文献

核心技术专利:CN118964589B侵权必究
粤ICP备2023148730 号-1Suppr @ 2026

文献检索

告别复杂PubMed语法,用中文像聊天一样搜索,搜遍4000万医学文献。AI智能推荐,让科研检索更轻松。

立即免费搜索

文件翻译

保留排版,准确专业,支持PDF/Word/PPT等文件格式,支持 12+语言互译。

免费翻译文档

深度研究

AI帮你快速写综述,25分钟生成高质量综述,智能提取关键信息,辅助科研写作。

立即免费体验

顺行交锁髓内钉治疗单纯股骨干骨折所致医源性骨折粉碎的特点及影响:一项回顾性队列研究。

The characteristics and influence of iatrogenic fracture comminution following antegrade interlocking nailing for simple femoral shaft fractures, a retrospective cohort study.

机构信息

Department of Orthopaedic Surgery, College of Medicine, National Cheng Kung University Hospital, National Cheng Kung University, Tainan, Taiwan.

Department of Biomedical Engineering, National Cheng Kung University, Tainan, Taiwan.

出版信息

BMC Musculoskelet Disord. 2022 May 14;23(1):456. doi: 10.1186/s12891-022-05418-2.

DOI:10.1186/s12891-022-05418-2
PMID:35568932
原文链接:https://pmc.ncbi.nlm.nih.gov/articles/PMC9107635/
Abstract

AIM

The incidence and characteristics of iatrogenic comminution (IC) are unknown, and the influence of IC on fracture union is unclear. This study was aimed to investigate the (1) incidence and characteristics of IC and (2) the outcomes of IC following antegrade interlocking nailing of simple femoral shaft fractures.

METHODS

We retrospectively collected data on patients who experienced simple femoral shaft fractures and underwent antegrade interlocking nailing between February 2009 and December 2016. The incidence and characteristics of IC were examined. According to the presence of IC, patients were divided into two groups: an IC group and a non-IC (NIC) group. Demographic information and nonunion rates were compared between the two groups. Potential risk factors for IC (age, gender, body mass index (BMI), nail fit ratio, reduction technique, and greater trochanter nail entry) were analyzed using univariate and multivariate logistic regression. The aforementioned variables, along with IC occurrence, were also assessed as potential risk factors for nonunion at 12 and 24 months after operation using multivariate logistic regression.

RESULTS

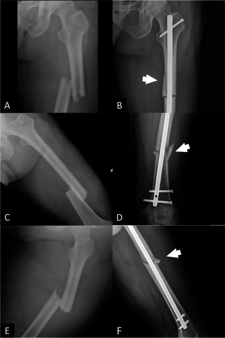
Of the 211 total patients, IC occurred in 20.9% (n = 44) of patients. Most ICs were found at the level of the isthmus, and involved the medial cortex. Compared with the NIC group, higher nonunion rates were observed in the IC group at 12 months (31.8% vs. 12.5%, p = 0.002) and 24 months (18% vs. 6.5%, p = 0.017) after surgery. Age older than 35 years old was related with the occurrence of IC in univariate analysis. Multivariate analysis found no risk factor associated with IC. Open reduction technique, IC occurrence and higher BMI were identified as the risk factors of nonunion at 12 months and 24 months after surgery in multivariate analysis.

CONCLUSION

IC is a non-rare complication in antegrade interlocking nailing of simple femoral shaft fractures and was associated with higher nonunion rate. Age older than 35 years old showed a trend toward increasing risk of iatrogenic fracture comminution. In multivariate analysis, open reduction technique, IC occurrence and higher BMI significantly correlated with fracture nonunion.

LEVEL OF EVIDENCE

Level IV.

摘要

目的

医源性粉碎性骨折(IC)的发生率和特征尚不清楚,其对骨折愈合的影响也不明确。本研究旨在探讨(1)IC 的发生率和特征,以及(2)顺行交锁髓内钉治疗单纯股骨干骨折后 IC 的结果。

方法

我们回顾性收集了 2009 年 2 月至 2016 年 12 月期间接受顺行交锁髓内钉治疗的单纯股骨干骨折患者的数据。检查了 IC 的发生率和特征。根据 IC 的存在,将患者分为粉碎性骨折组(IC 组)和非粉碎性骨折组(NIC 组)。比较两组患者的人口统计学资料和不愈合率。使用单变量和多变量逻辑回归分析 IC 的潜在危险因素(年龄、性别、体重指数(BMI)、钉适配比、复位技术和大转子钉入口)。使用多变量逻辑回归分析上述变量以及 IC 的发生与术后 12 和 24 个月时不愈合的潜在相关性。

结果

在 211 例患者中,IC 的发生率为 20.9%(n=44)。大多数 IC 发生在峡部水平,累及内侧皮质。与 NIC 组相比,IC 组在术后 12 个月(31.8%比 12.5%,p=0.002)和 24 个月(18%比 6.5%,p=0.017)的不愈合率更高。年龄大于 35 岁与单变量分析中的 IC 发生有关。多变量分析发现,IC 无相关危险因素。多变量分析发现,切开复位技术、IC 发生和较高 BMI 是术后 12 个月和 24 个月发生骨折不愈合的危险因素。

结论

IC 是顺行交锁髓内钉治疗单纯股骨干骨折的一种非罕见并发症,与较高的不愈合率相关。年龄大于 35 岁的患者发生医源性骨折粉碎性骨折的风险呈上升趋势。多变量分析显示,切开复位技术、IC 发生和较高 BMI 与骨折不愈合显著相关。

证据水平

IV 级。

https://cdn.ncbi.nlm.nih.gov/pmc/blobs/20ea/9107635/5bf46f86b696/12891_2022_5418_Fig4_HTML.jpg
https://cdn.ncbi.nlm.nih.gov/pmc/blobs/20ea/9107635/bd732f302412/12891_2022_5418_Fig1_HTML.jpg
https://cdn.ncbi.nlm.nih.gov/pmc/blobs/20ea/9107635/36b06aca8591/12891_2022_5418_Fig2_HTML.jpg
https://cdn.ncbi.nlm.nih.gov/pmc/blobs/20ea/9107635/89d3ab582eae/12891_2022_5418_Fig3_HTML.jpg
https://cdn.ncbi.nlm.nih.gov/pmc/blobs/20ea/9107635/5bf46f86b696/12891_2022_5418_Fig4_HTML.jpg
https://cdn.ncbi.nlm.nih.gov/pmc/blobs/20ea/9107635/bd732f302412/12891_2022_5418_Fig1_HTML.jpg
https://cdn.ncbi.nlm.nih.gov/pmc/blobs/20ea/9107635/36b06aca8591/12891_2022_5418_Fig2_HTML.jpg
https://cdn.ncbi.nlm.nih.gov/pmc/blobs/20ea/9107635/89d3ab582eae/12891_2022_5418_Fig3_HTML.jpg
https://cdn.ncbi.nlm.nih.gov/pmc/blobs/20ea/9107635/5bf46f86b696/12891_2022_5418_Fig4_HTML.jpg

相似文献

1
The characteristics and influence of iatrogenic fracture comminution following antegrade interlocking nailing for simple femoral shaft fractures, a retrospective cohort study.顺行交锁髓内钉治疗单纯股骨干骨折所致医源性骨折粉碎的特点及影响:一项回顾性队列研究。
BMC Musculoskelet Disord. 2022 May 14;23(1):456. doi: 10.1186/s12891-022-05418-2.
2
Retrograde versus antegrade nailing of femoral shaft fractures.股骨干骨折的逆行与顺行髓内钉固定
J Orthop Trauma. 2001 Mar-Apr;15(3):161-9. doi: 10.1097/00005131-200103000-00003.
3
"Ratio of fracture site diameter to isthmus femoral canal diameter" as a predictor of complication following treatment of infra-isthmal femoral shaft fracture with antegrade intramedullary nailing.“骨折部位直径与股骨干峡部直径比”作为顺行髓内钉治疗股骨干下 1/3 骨折并发症的预测指标。
Injury. 2021 Apr;52(4):961-966. doi: 10.1016/j.injury.2020.12.034. Epub 2021 Jan 2.
4
Surgical factors contributing to nonunion in femoral shaft fracture following intramedullary nailing.髓内钉固定后股骨干骨折不愈合的手术相关因素
Chin J Traumatol. 2016 Apr 1;19(2):109-12. doi: 10.1016/j.cjtee.2016.01.012.
5
Interlocking nailing of femoral shaft fractures with an extremely narrow medullary canal is associated with iatrogenic fractures.交锁髓内钉固定股骨干骨折伴极细髓腔与医源性骨折有关。
Injury. 2019 Dec;50(12):2306-2311. doi: 10.1016/j.injury.2019.10.010. Epub 2019 Oct 4.
6
Role of open cerclage wiring in patients with comminuted fractures of the femoral shaft treated with intramedullary nails.开放环扎钢丝在股骨干粉碎性骨折髓内钉治疗患者中的作用
J Orthop Surg Res. 2021 Aug 7;16(1):480. doi: 10.1186/s13018-021-02633-w.
7
Risk Factors Associated with Intraoperative Iatrogenic Fracture in Patients Undergoing Intramedullary Nailing for Atypical Femoral Fractures with Marked Anterior and Lateral Bowing.与明显前侧和外侧弯曲的非典型股骨骨折患者行髓内钉治疗术中医源性骨折相关的风险因素。
Medicina (Kaunas). 2023 Apr 9;59(4):735. doi: 10.3390/medicina59040735.
8
Treatment of infra-isthmal femoral fracture with an intramedullary nail: Is retrograde nailing a better option than antegrade nailing?使用髓内钉治疗峡部以下股骨骨折:逆行交锁髓内钉固定是否优于顺行交锁髓内钉固定?
Arch Orthop Trauma Surg. 2018 Sep;138(9):1241-1247. doi: 10.1007/s00402-018-2961-6. Epub 2018 May 24.
9
Comparing outcomes of plate augmentation, nail exchange, and nail exchange with plate augmentation in the treatment of atrophic femoral shaft nonunion after intramedullary nailing: a multicenter retrospective study.髓内钉固定后股骨干萎缩性骨不连的钢板增强、交锁钉更换和交锁钉更换联合钢板增强治疗的疗效比较:一项多中心回顾性研究。
Arch Orthop Trauma Surg. 2024 Mar;144(3):1259-1268. doi: 10.1007/s00402-023-05183-4. Epub 2024 Feb 19.
10
Outcome Of Open Interlocking Nailing In Closed Fracture Shaft Of Femur.闭合性股骨干骨折交锁髓内钉固定的疗效。
J Ayub Med Coll Abbottabad. 2020 Oct-Dec;32(4):546-550.

引用本文的文献

1
Clinical and Radiographic Outcomes of Small Caliber Intramedullary Nails for Tibial Shaft Fractures.小口径髓内钉治疗胫骨干骨折的临床及影像学结果
J Am Acad Orthop Surg Glob Res Rev. 2025 Jan 29;9(2). doi: 10.5435/JAAOSGlobal-D-24-00389. eCollection 2025 Feb 1.

本文引用的文献

1
Antegrade nailing in femoral shaft fracture patients - comparison of outcomes of isolated fractures, multiple fractures and severely injured patients.股骨干骨折患者顺行髓内钉治疗 - 单纯骨折、多发骨折和严重创伤患者的结局比较。
Injury. 2021 Oct;52(10):3068-3074. doi: 10.1016/j.injury.2021.01.044. Epub 2021 Feb 2.
2
"Ratio of fracture site diameter to isthmus femoral canal diameter" as a predictor of complication following treatment of infra-isthmal femoral shaft fracture with antegrade intramedullary nailing.“骨折部位直径与股骨干峡部直径比”作为顺行髓内钉治疗股骨干下 1/3 骨折并发症的预测指标。
Injury. 2021 Apr;52(4):961-966. doi: 10.1016/j.injury.2020.12.034. Epub 2021 Jan 2.
3
Age-related dynamic deformation of the femoral shaft and associated osteoporotic factors: a retrospective study in Chinese adults.
年龄相关性股骨干动态变形及相关骨质疏松因素:中国成年人的回顾性研究。
Arch Osteoporos. 2020 Oct 7;15(1):157. doi: 10.1007/s11657-020-00834-0.
4
Greater trochanteric versus piriformis fossa entry nails for femur shaft fractures: Resolving the controversy.大转子与梨状窝入钉治疗股骨干骨折:解决争议。
Injury. 2019 Oct;50(10):1715-1724. doi: 10.1016/j.injury.2019.07.011. Epub 2019 Jul 14.
5
The risk factors of nonunion after intramedullary nailing fixation of femur shaft fracture in middle age patients.中年患者股骨干骨折髓内钉固定术后骨不连的危险因素
Medicine (Baltimore). 2019 Jul;98(29):e16559. doi: 10.1097/MD.0000000000016559.
6
Clinical outcomes of intramedullary nailing of femoral shaft fractures with third fragments: a retrospective analysis of risk factors for delayed union.伴有第三骨折块的股骨干骨折髓内钉固定的临床结果:延迟愈合危险因素的回顾性分析
Trauma Surg Acute Care Open. 2019 Mar 27;4(1):e000203. doi: 10.1136/tsaco-2018-000203. eCollection 2019.
7
Role of femoral anterior Bow in cephalomedullary nailing: finite element analysis and New index estimation.股骨前弓在髓内钉固定中的作用:有限元分析与新指标评估
BMC Surg. 2016 Sep 26;16(1):68. doi: 10.1186/s12893-016-0183-9.
8
Surgical factors contributing to nonunion in femoral shaft fracture following intramedullary nailing.髓内钉固定后股骨干骨折不愈合的手术相关因素
Chin J Traumatol. 2016 Apr 1;19(2):109-12. doi: 10.1016/j.cjtee.2016.01.012.
9
Risk factors for long bone fracture non-union: a stratification approach based on the level of the existing scientific evidence.长骨骨折不愈合的危险因素:基于现有科学证据水平的分层方法。
Injury. 2015 Dec;46 Suppl 8:S8-S19. doi: 10.1016/S0020-1383(15)30049-8.
10
Risk factors for nonunion after intramedullary nailing of femoral shaft fractures: Remaining controversies.股骨干骨折髓内钉固定术后骨不连的危险因素:尚存的争议
Injury. 2015 Aug;46(8):1601-7. doi: 10.1016/j.injury.2015.05.007. Epub 2015 May 12.