• 文献检索
  • 文档翻译
  • 深度研究
  • 学术资讯
  • Suppr Zotero 插件Zotero 插件
  • 邀请有礼
  • 套餐&价格
  • 历史记录
应用&插件
Suppr Zotero 插件Zotero 插件浏览器插件Mac 客户端Windows 客户端微信小程序
定价
高级版会员购买积分包购买API积分包
服务
文献检索文档翻译深度研究API 文档MCP 服务
关于我们
关于 Suppr公司介绍联系我们用户协议隐私条款
关注我们

Suppr 超能文献

核心技术专利:CN118964589B侵权必究
粤ICP备2023148730 号-1Suppr @ 2026

文献检索

告别复杂PubMed语法,用中文像聊天一样搜索,搜遍4000万医学文献。AI智能推荐,让科研检索更轻松。

立即免费搜索

文件翻译

保留排版,准确专业,支持PDF/Word/PPT等文件格式,支持 12+语言互译。

免费翻译文档

深度研究

AI帮你快速写综述,25分钟生成高质量综述,智能提取关键信息,辅助科研写作。

立即免费体验

奇库蒂-富古imoto 病可在 COVID-19 疫苗接种后出现迟发性淋巴结病。

Kikuchi-Fujimoto disease can present as delayed lymphadenopathy after COVID-19 vaccination.

机构信息

Department of Pulmonary Medicine and Oncology, Graduate School of Medicine, Nippon Medical School, Tokyo, Japan.

Department of Analytic Human Pathology, Graduate School of Medicine, Nippon Medical School, Tokyo, Japan.

出版信息

Hum Vaccin Immunother. 2022 Nov 30;18(5):2071080. doi: 10.1080/21645515.2022.2071080. Epub 2022 May 18.

DOI:10.1080/21645515.2022.2071080
PMID:35583472
原文链接:https://pmc.ncbi.nlm.nih.gov/articles/PMC9481093/
Abstract

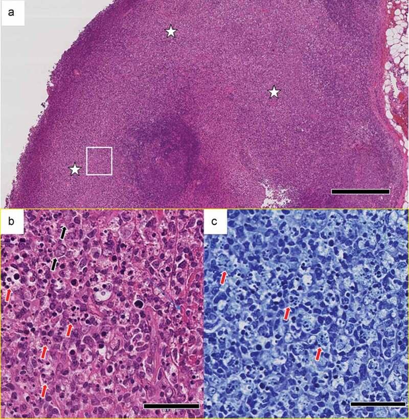
Following COVID-19 vaccination, ipsilateral axillary and cervical lymphadenopathy may occur, called vaccine-related hypermetabolic lymphadenopathy, which is considered reactive lymphadenopathy. We report here a case of Kikuchi-Fujimoto disease, which occurred three months after vaccination with COVID-19 vaccine. The patient had cervical and axillary lymph node enlargement and a short-term fever that resolved spontaneously after the first and second vaccines. On the 90th day after the first vaccination, the patient developed a high fever and pathologically diagnosed necrotizing lymphadenitis in the axilla, which was diagnosed as Kikuchi-Fujimoto disease. Gallium scintigraphy showed localized swelling and strong uptake in the ipsilateral axilla. It implies the possibility of Kikuchi-Fujimoto Disease in axillary drainage lymph nodes in association with COVID-19 vaccine. Although only a few cases have been reported so far, this case is novel because of its later onset and diagnosis based on pathological and gallium scintigraphy imaging findings.

摘要

接种 COVID-19 疫苗后,可能会发生同侧腋窝和颈部淋巴结病,称为疫苗相关高代谢性淋巴结病,被认为是反应性淋巴结病。我们在此报告一例 COVID-19 疫苗接种后三个月发生的 Kikuchi-Fujimoto 病。患者出现颈、腋窝淋巴结肿大和短期发热,在接种第一和第二剂疫苗后自发消退。在第一次接种后第 90 天,患者出现高热,腋窝病理诊断为坏死性淋巴结炎,诊断为 Kikuchi-Fujimoto 病。镓闪烁显像显示同侧腋窝局部肿胀和摄取增强。这提示 COVID-19 疫苗接种后与腋窝引流淋巴结相关的 Kikuchi-Fujimoto 病的可能性。尽管到目前为止只有少数病例报道,但由于其发病较晚,且基于病理和镓闪烁显像影像学发现进行诊断,因此该病例具有新颖性。

https://cdn.ncbi.nlm.nih.gov/pmc/blobs/e09c/9481093/d9237f601e7e/KHVI_A_2071080_F0002_OC.jpg
https://cdn.ncbi.nlm.nih.gov/pmc/blobs/e09c/9481093/a013ad54d767/KHVI_A_2071080_F0001_OC.jpg
https://cdn.ncbi.nlm.nih.gov/pmc/blobs/e09c/9481093/d9237f601e7e/KHVI_A_2071080_F0002_OC.jpg
https://cdn.ncbi.nlm.nih.gov/pmc/blobs/e09c/9481093/a013ad54d767/KHVI_A_2071080_F0001_OC.jpg
https://cdn.ncbi.nlm.nih.gov/pmc/blobs/e09c/9481093/d9237f601e7e/KHVI_A_2071080_F0002_OC.jpg

相似文献

1
Kikuchi-Fujimoto disease can present as delayed lymphadenopathy after COVID-19 vaccination.奇库蒂-富古imoto 病可在 COVID-19 疫苗接种后出现迟发性淋巴结病。
Hum Vaccin Immunother. 2022 Nov 30;18(5):2071080. doi: 10.1080/21645515.2022.2071080. Epub 2022 May 18.
2
Kikuchi-Fujimoto disease following SARS-CoV-2 vaccination.接种 SARS-CoV-2 疫苗后出现的菊池-藤本病。
BMJ Case Rep. 2022 Nov 22;15(11):e250601. doi: 10.1136/bcr-2022-250601.
3
Fever with lymphadenopathy - Kikuchi Fujimoto disease, a great masquerader: a case report.发热伴淋巴结病——菊池富士本病,一个严重的伪装者:病例报告
J Med Case Rep. 2017 Dec 16;11(1):349. doi: 10.1186/s13256-017-1521-y.
4
Kikuchi-Fujimoto disease: a case report and the evaluation of diagnostic procedures.菊池-藤本病:一例报告及诊断程序评估。
BMC Oral Health. 2019 Oct 21;19(1):223. doi: 10.1186/s12903-019-0920-4.
5
The co-occurrence of Kikuchi-Fujimoto disease and systemic lupus erythematosus: a case report.菊池-藤本病与系统性红斑狼疮共存:一例报告。
J Med Case Rep. 2023 Oct 27;17(1):448. doi: 10.1186/s13256-023-04186-4.
6
Kikuchi-Fujimoto disease presenting in a patient with SARS-CoV-2: a case report.Kikuchi-Fujimoto 病合并 SARS-CoV-2 感染:病例报告。
BMC Infect Dis. 2021 Aug 3;21(1):740. doi: 10.1186/s12879-021-06048-0.
7
Histiocytic necrotising lymphadenitis (Kikuchi-Fujimoto disease) of axillary lymph nodes.腋窝淋巴结组织细胞性坏死性淋巴结炎(菊池-藤本病)
BMJ Case Rep. 2015 Jan 5;2015:bcr2014203776. doi: 10.1136/bcr-2014-203776.
8
Kikuchi-Fujimoto-like lymphadenopathy following COVID-19 vaccine: diagnosis and management.COVID-19 疫苗接种后出现的菊池-藤本病样淋巴结病:诊断与管理。
BMJ Case Rep. 2022 Dec 30;15(12):e252030. doi: 10.1136/bcr-2022-252030.
9
Kikuchi Disease After SARS-CoV-2 Vaccination: A Case Report With Immunohistochemical Analyses.接种 SARS-CoV-2 疫苗后的菊池病:一例病例报告并免疫组化分析。
Int J Surg Pathol. 2024 Sep;32(6):1123-1128. doi: 10.1177/10668969231212428. Epub 2023 Nov 19.
10
Kikuchi-Fujimoto disease, a rare cause of lymphadenopathy in Africa. Description of the first case in Senegal and review of the literature.菊池-藤本病,非洲淋巴结病的罕见病因。塞内加尔首例病例描述及文献综述。
Eur Ann Otorhinolaryngol Head Neck Dis. 2017 Oct;134(5):347-349. doi: 10.1016/j.anorl.2017.02.007. Epub 2017 Mar 6.

引用本文的文献

1
Kikuchi-Fujimoto disease following SARS-CoV-2 infection: A rare disease with increased incidence during the COVID-19 pandemic?新型冠状病毒感染后出现的菊池-藤本病:一种在新冠疫情期间发病率增加的罕见疾病?
Respirol Case Rep. 2024 Jun 19;12(6):e01414. doi: 10.1002/rcr2.1414. eCollection 2024 Jun.
2
A Case Report: Kikuchi Disease Associated With a Positive Auto-Immune Panel Triggered by COVID-19 Infection.病例报告:由新冠病毒感染引发的自身免疫指标阳性相关的菊池病
Cureus. 2023 Dec 21;15(12):e50911. doi: 10.7759/cureus.50911. eCollection 2023 Dec.
3
Kikuchi-Fujimoto disease type lymph node reaction with increased plasmacytoid dendritic cells may appear as a side effect following COVID-19 vaccination: Report of a case and literature review.

本文引用的文献

1
Kikuchi-Fujimoto Disease Following COVID-19.新型冠状病毒肺炎后的菊池-藤本病
Cureus. 2022 Jan 9;14(1):e21049. doi: 10.7759/cureus.21049. eCollection 2022 Jan.
2
Self-limiting COVID-19-associated Kikuchi-Fujimoto disease with heart involvement: case-based review.伴有心脏受累的自限性 COVID-19 相关菊池古市病:基于病例的综述。
Rheumatol Int. 2022 Feb;42(2):341-348. doi: 10.1007/s00296-021-05088-8. Epub 2022 Jan 13.
3
Axillary Lymphadenopathy on Ultrasound after COVID-19 Vaccination and Its Influencing Factors: A Single-Center Study.
Kikuchi-Fujimoto 病样淋巴结反应伴浆细胞样树突状细胞增多可能是 COVID-19 疫苗接种后的一种副作用:病例报告及文献复习。
Rev Esp Patol. 2024 Jan-Mar;57(1):42-47. doi: 10.1016/j.patol.2023.01.002. Epub 2023 Feb 28.
4
Kikuchi-Fujimoto Disease: A Case of SARS-CoV-2 Infection Triggering the Rare Disease.菊池-藤本病:1例由新型冠状病毒感染引发的罕见疾病
Cureus. 2023 Mar 7;15(3):e35858. doi: 10.7759/cureus.35858. eCollection 2023 Mar.
5
Immune Response Related to Lymphadenopathy Post COVID-19 Vaccination.与新冠疫苗接种后淋巴结病相关的免疫反应
Vaccines (Basel). 2023 Mar 17;11(3):696. doi: 10.3390/vaccines11030696.
6
Kikuchi-Fujimoto disease following SARS-CoV-2 vaccination.接种 SARS-CoV-2 疫苗后出现的菊池-藤本病。
BMJ Case Rep. 2022 Nov 22;15(11):e250601. doi: 10.1136/bcr-2022-250601.
新冠疫苗接种后超声检查发现的腋窝淋巴结病及其影响因素:一项单中心研究
J Clin Med. 2022 Jan 3;11(1):238. doi: 10.3390/jcm11010238.
4
Kikuchi-Fujimoto disease associated with hemophagocytic lymphohistiocytosis following the BNT162b2 mRNA COVID-19 vaccination.BNT162b2 mRNA新冠疫苗接种后并发噬血细胞性淋巴组织细胞增生症的菊池-藤本病
Haematologica. 2022 May 1;107(5):1222-1225. doi: 10.3324/haematol.2021.280239.
5
Axillary Lymphadenopathy After COVID-19 Vaccination in a Woman With Breast Cancer.一名乳腺癌女性接种新冠疫苗后出现腋窝淋巴结病
JAMA. 2022 Jan 11;327(2):175-176. doi: 10.1001/jama.2021.20010.
6
The incidence and duration of COVID-19 vaccine-related reactive lymphadenopathy on F-FDG PET-CT.F-FDG PET-CT 上 COVID-19 疫苗相关反应性淋巴结病的发生率和持续时间。
Clin Med (Lond). 2021 Nov;21(6):e633-e638. doi: 10.7861/clinmed.2021-0420.
7
Kikuchi-Fujimoto Disease Post COVID-19 Vaccination: Case Report and Review of Literature.新冠疫苗接种后发生的菊池-藤本病:病例报告及文献综述
Vaccines (Basel). 2021 Oct 29;9(11):1251. doi: 10.3390/vaccines9111251.
8
Kikuchi-Fujimoto disease following SARS CoV2 vaccination: Case report.新型冠状病毒2型疫苗接种后发生的菊池-藤本病:病例报告
IDCases. 2021;25:e01253. doi: 10.1016/j.idcr.2021.e01253. Epub 2021 Aug 10.
9
Kikuchi-Fujimoto disease presenting in a patient with SARS-CoV-2: a case report.Kikuchi-Fujimoto 病合并 SARS-CoV-2 感染:病例报告。
BMC Infect Dis. 2021 Aug 3;21(1):740. doi: 10.1186/s12879-021-06048-0.
10
COVID-19 Vaccination-Related Lymphadenopathy: What To Be Aware Of.新冠疫苗接种相关淋巴结病:需注意的事项
Radiol Imaging Cancer. 2021 May;3(3):e210038. doi: 10.1148/rycan.2021210038.