Suppr超能文献

神经精神性系统性红斑狼疮女性患者灰质改变的结构与功能特征

Structural and Functional Characterization of Gray Matter Alterations in Female Patients With Neuropsychiatric Systemic Lupus.

作者信息

Su Li, Zhuo Zhizheng, Duan Yunyun, Huang Jing, Qiu Xiaolu, Li Mengtao, Liu Yaou, Zeng Xiaofeng

机构信息

Department of Rheumatology and Clinical Immunology, Xuanwu Hospital, Capital Medical University, Beijing, China.

Department of Rheumatology and Clinical Immunology, Peking Union Medical College Hospital, Chinese Academy of Medical Sciences & Peking Union Medical College, Beijing, China.

出版信息

Front Neurosci. 2022 May 2;16:839194. doi: 10.3389/fnins.2022.839194. eCollection 2022.

Abstract

OBJECTIVE

To investigate morphological and functional alterations within gray matter (GM) in female patients with neuropsychiatric systemic lupus (NPSLE) and to explore their clinical significance.

METHODS

54 female patients with SLE (30 NPSLE and 24 non-NPSLE) and 32 matched healthy controls were recruited. All subjects received a quantitative MRI scan (FLAIR, 3DT1, resting-state functional MRI). GM volume (GMV), fractional amplitude of low-frequency fluctuation (fALFF), regional homogeneity (ReHo), and degree of centrality (DC) were obtained. Between-group comparison, clinical correlation, and discrimination of NPSLE from non-NPSLE were achieved by voxel-based analysis, cerebellar seed-based functional connectivity analysis, regression analysis, and support vector machine (SVM), respectively.

RESULTS

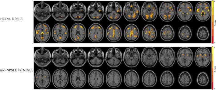
Patients with NPSLE showed overt subcortical GM atrophy without significantly abnormal brain functions in the same region compared with controls. The dysfunction within the left superior temporal gyri (L-STG) was found precede the GM volumetric loss. The function of the nodes in default mode network (DMN) and salience network (SN) were weakened in NPSLE patients compared to controls. The function of the cerebellar posterior lobes was significantly activated in non-NPSLE patients but attenuated along with GM atrophy and presented higher connectivity with L-STG and DMN in NPSLE patients, while the variation of the functional activities in the sensorimotor network (SMN) was the opposite. These structural and functional alterations were mainly correlated with disease burden and anti-phospholipid antibodies (aPLs) (r ranges from -1.53 to 1.29). The ReHos in the bilateral cerebellar posterior lobes showed high discriminative power in identifying patients with NPSLE with accuracy of 87%.

CONCLUSION

Patients with NPSLE exhibit both structural and functional alterations in the GM of the brain, which especially involved the deep GM, the cognitive, and sensorimotor regions, reflecting a reorganization to compensate for the disease damage to the brain which was attenuated along with pathologic burden and cerebral vascular risk factors. The GM within the left temporal lobe may be one of the direct targets of lupus-related inflammatory attack. The function of the cerebellar posterior lobes might play an essential role in compensating for cortical functional disturbances and may contribute to identifying patients with suspected NPSLE in clinical practice.

摘要

目的

研究神经精神性系统性红斑狼疮(NPSLE)女性患者脑灰质(GM)的形态和功能改变,并探讨其临床意义。

方法

招募了54例女性SLE患者(30例NPSLE和24例非NPSLE)以及32例匹配的健康对照者。所有受试者均接受定量MRI扫描(液体衰减反转恢复序列、三维T1加权成像、静息态功能MRI)。获取脑灰质体积(GMV)、低频振幅分数(fALFF)、局部一致性(ReHo)和中心度(DC)。分别通过基于体素的分析、基于小脑种子点的功能连接分析、回归分析和支持向量机(SVM)进行组间比较、临床相关性分析以及NPSLE与非NPSLE的鉴别。

结果

与对照组相比,NPSLE患者表现出明显的皮质下脑灰质萎缩,且同一区域的脑功能无明显异常。发现左侧颞上回(L-STG)的功能障碍先于脑灰质体积减少。与对照组相比,NPSLE患者默认模式网络(DMN)和突显网络(SN)中的节点功能减弱。非NPSLE患者小脑后叶功能显著激活,但随着脑灰质萎缩而减弱,在NPSLE患者中与L-STG和DMN的连接性更高,而感觉运动网络(SMN)中功能活动的变化则相反。这些结构和功能改变主要与疾病负担和抗磷脂抗体(aPLs)相关(r范围为-1.53至1.29)。双侧小脑后叶的ReHo在识别NPSLE患者方面具有较高的鉴别力,准确率为87%。

结论

NPSLE患者脑灰质存在结构和功能改变,尤其涉及深部脑灰质、认知和感觉运动区域,反映了一种代偿疾病对脑损伤的重组,这种重组随着病理负担和脑血管危险因素而减弱。左侧颞叶内的脑灰质可能是狼疮相关炎症攻击的直接靶点之一。小脑后叶的功能可能在补偿皮质功能障碍方面起重要作用,并可能有助于在临床实践中识别疑似NPSLE患者。

https://cdn.ncbi.nlm.nih.gov/pmc/blobs/5983/9108669/6d57f223962e/fnins-16-839194-g001.jpg

文献AI研究员

20分钟写一篇综述,助力文献阅读效率提升50倍。

立即体验

用中文搜PubMed

大模型驱动的PubMed中文搜索引擎

马上搜索

文档翻译

学术文献翻译模型,支持多种主流文档格式。

立即体验