Suppr超能文献

评价低剂量黄曲霉毒素 B1 单独或与极低频电磁场联合处理的 Sprague-Dawley 大鼠中毒相关脂肪性肝病和肝肿瘤进展。

Evaluation of Toxicant-Associated Fatty Liver Disease and Liver Neoplastic Progress in Sprague-Dawley Rats Treated with Low Doses of Aflatoxin B1 Alone or in Combination with Extremely Low Frequency Electromagnetic Fields.

机构信息

Cesare Maltoni Cancer Research Center, Ramazzini Institute, Via Saliceto 3, 40010 Bentivoglio, Italy.

Division of Internal Medicine, Hepatobiliary and Immunoallergic Diseases, IRCCS Azienda Ospedaliero-Universitaria di Bologna, 40138 Bologna, Italy.

出版信息

Toxins (Basel). 2022 May 3;14(5):325. doi: 10.3390/toxins14050325.

Abstract

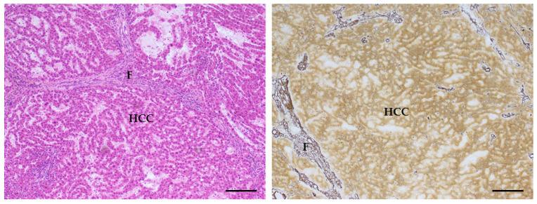
The term toxicant-associated fatty liver disease (TAFLD) has been proposed to describe fatty liver diseases connected to toxicants other than alcohol. Aflatoxins are mycotoxins commonly found as contaminants in foods and feeds, which are known liver toxicants and potential candidates as potential causes of TAFLD. Aflatoxin B1 (AFB1) was administered at low doses to Sprague-Dawley (SD) rats, alone or in combination with S-50 Hz an extremely low frequency electromagnetic field (ELFEMF), to study the evolution of TAFLD, preneoplastic and neoplastic lesions of the liver and the potential enhancing effect of lifespan exposure to ELFEMF. Steatosis, inflammation and foci of different types were significantly increased in both aflatoxin-treated males and females, which is consistent with a pattern of TAFLD. A significant increase in adenomas, cystic dilation of biliary ducts, hepatocellular hyperplasia and hypertrophy and oval cell hyperplasia were also observed in treated females only. The administration of low doses of AFB1 caused TAFLD in SD rats, inducing liver lesions encompassing fatty infiltration, foci of different types and adenomas. Furthermore, the pattern of change observed in preneoplastic liver lesions often included liver steatosis and steatohepatitis (TASH). ELFEMF did not result in any enhancing or toxic effect in the liver of SD rats.

摘要

术语“毒物相关脂肪性肝病(TAFLD)”被用来描述与酒精以外的毒物有关的脂肪性肝病。黄曲霉毒素是一种常见的食品和饲料污染物,它们是已知的肝毒物,也是 TAFLD 的潜在病因。将低剂量的黄曲霉毒素 B1(AFB1)单独或与 S-50 Hz 极低频电磁场(ELFEMF)联合给予 Sprague-Dawley(SD)大鼠,以研究 TAFLD、肝脏前瘤和肿瘤病变的演变,以及终生暴露于 ELFEMF 的潜在增强作用。在接受黄曲霉毒素治疗的雄性和雌性大鼠中,肝脂肪变性、炎症和不同类型的灶性病变均显著增加,这与 TAFLD 的模式一致。仅在接受治疗的雌性大鼠中还观察到腺瘤、胆管囊性扩张、肝细胞增生和肥大以及卵圆细胞增生的显著增加。低剂量 AFB1 的给予导致 SD 大鼠发生 TAFLD,诱导肝损伤包括脂肪浸润、不同类型的灶性病变和腺瘤。此外,观察到的前瘤性肝病变的变化模式通常包括肝脂肪变性和脂肪性肝炎(TASH)。ELFEMF 未导致 SD 大鼠的肝脏产生任何增强或毒性作用。

https://cdn.ncbi.nlm.nih.gov/pmc/blobs/554b/9143281/695791c5ae0e/toxins-14-00325-g001.jpg

文献AI研究员

20分钟写一篇综述,助力文献阅读效率提升50倍。

立即体验

用中文搜PubMed

大模型驱动的PubMed中文搜索引擎

马上搜索

文档翻译

学术文献翻译模型,支持多种主流文档格式。

立即体验