Suppr超能文献

一名发生小细胞转化的前列腺癌患者的副肿瘤性伊文斯综合征

Paraneoplastic Evans Syndrome in a Patient With Prostate Cancer With Small Cell Transformation.

作者信息

Sidda Adarsh, Manu Gurusidda, Abdallah Mahmoud, Griswold Doreen, Alsharedi Mohamed, Pacioles Toni

机构信息

Hematology and Medical Oncology, Marshall University Joan C. Edwards School of Medicine, Huntington, USA.

Internal Medicine, University of Texas Southwestern Medical Center, Dallas, USA.

出版信息

Cureus. 2022 Apr 26;14(4):e24505. doi: 10.7759/cureus.24505. eCollection 2022 Apr.

Abstract

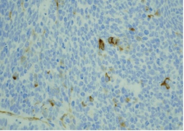
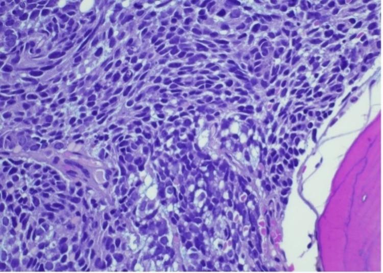
Paraneoplastic syndromes are defined as tumor-associated indirect systemic effects. Prostate cancer-associated paraneoplastic syndromes typically have endocrine, neurologic, and dermatologic manifestations. Reports have suggested up to 70% of metastatic prostate cancers manifest as paraneoplastic entities. Although common in hematological malignancies, it is rare for prostate cancer and other solid tumors to be associated with immune-mediated cytopenias such as Evans syndrome. Based on our PubMed search for the keywords Evans syndrome and prostate cancer, only one other case has been reported in the literature with this association. We report the second such case in a 63-year-old male who initially presented with hemolytic anemia and thrombocytopenia. He was diagnosed with Evans syndrome with initial responses to both steroids and intravenous immunoglobulin. Extensive workup, including an eventual bone marrow biopsy, revealed metastatic prostate cancer with transformation to small cell neuroendocrine carcinoma.

摘要

副肿瘤综合征被定义为与肿瘤相关的间接全身效应。前列腺癌相关的副肿瘤综合征通常有内分泌、神经和皮肤表现。报告显示,高达70%的转移性前列腺癌表现为副肿瘤实体。虽然在血液系统恶性肿瘤中很常见,但前列腺癌和其他实体瘤很少与免疫介导的血细胞减少症(如伊文氏综合征)相关。根据我们在PubMed上搜索关键词“伊文氏综合征”和“前列腺癌”,文献中仅报道过1例这种关联病例。我们报告第2例,患者为一名63岁男性,最初表现为溶血性贫血和血小板减少。他被诊断为伊文氏综合征,对类固醇和静脉注射免疫球蛋白均有初步反应。全面检查,最终包括骨髓活检,发现转移性前列腺癌已转化为小细胞神经内分泌癌。

https://cdn.ncbi.nlm.nih.gov/pmc/blobs/769e/9135308/8ee493a307e4/cureus-0014-00000024505-i01.jpg

文献AI研究员

20分钟写一篇综述,助力文献阅读效率提升50倍。

立即体验

用中文搜PubMed

大模型驱动的PubMed中文搜索引擎

马上搜索

文档翻译

学术文献翻译模型,支持多种主流文档格式。

立即体验