• 文献检索
  • 文档翻译
  • 深度研究
  • 学术资讯
  • Suppr Zotero 插件Zotero 插件
  • 邀请有礼
  • 套餐&价格
  • 历史记录
应用&插件
Suppr Zotero 插件Zotero 插件浏览器插件Mac 客户端Windows 客户端微信小程序
定价
高级版会员购买积分包购买API积分包
服务
文献检索文档翻译深度研究API 文档MCP 服务
关于我们
关于 Suppr公司介绍联系我们用户协议隐私条款
关注我们

Suppr 超能文献

核心技术专利:CN118964589B侵权必究
粤ICP备2023148730 号-1Suppr @ 2026

文献检索

告别复杂PubMed语法,用中文像聊天一样搜索,搜遍4000万医学文献。AI智能推荐,让科研检索更轻松。

立即免费搜索

文件翻译

保留排版,准确专业,支持PDF/Word/PPT等文件格式,支持 12+语言互译。

免费翻译文档

深度研究

AI帮你快速写综述,25分钟生成高质量综述,智能提取关键信息,辅助科研写作。

立即免费体验

伴有新型甲羟戊酸激酶基因突变的混合性汗孔角化症:一例报告

Mixed porokeratosis with a novel mevalonate kinase gene mutation: A case report.

作者信息

Xu Hong-Jun, Wen Guang-Dong

机构信息

Department of Dermatology, Beijing Friendship Hospital, Capital Medical University, Beijing 100050, China.

Department of Dermatology, Peking University People's Hospital, Peking University, Beijing 100044, China.

出版信息

World J Clin Cases. 2022 May 16;10(14):4528-4534. doi: 10.12998/wjcc.v10.i14.4528.

DOI:10.12998/wjcc.v10.i14.4528
PMID:35663074
原文链接:https://pmc.ncbi.nlm.nih.gov/articles/PMC9125269/
Abstract

BACKGROUND

Porokeratosis is a rare, acquired, or inherited disorder of keratinization. There are numerous clinical types of porokeratosis and they can coexist in one patient and multiple members of an affected family. However, coexistence of disseminated superficial actinic porokeratosis (DSAP) and porokeratosis ptychotropica (Ppt) is rare.

CASE SUMMARY

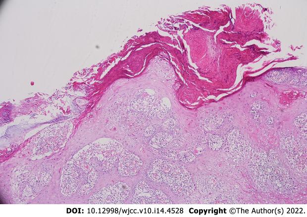
A 45-year-old man presented with long-standing skin lesions. Physical examination identified numerous small, brown 2-mm to 4-mm patches on his face and several hyperkeratotic, verrucous plaques on his trunk and extremities. His father and one of his brothers also had similar lesions for years. Skin biopsies indicated a cornoid lamella in the epidermis. We identified c.155G>A mutation in the mevalonate kinase (MVK) gene, which converted a serine residue to asparagine (p.Ser52Asn) and was causative for porokeratosis in this family. A clinicopathologic diagnosis of DSAP and Ppt with a novel MVK gene mutation was made. The hyperkeratotic plaques on the patient's scrotum were completely removed more than 10 times using a microwave knife.

CONCLUSION

An unusual case of DSAP coexisting with Ppt harbored a novel MVK gene mutation also present in the patient's family.

摘要

背景

汗孔角化症是一种罕见的、后天获得性或遗传性角化异常疾病。汗孔角化症有多种临床类型,可在同一患者或受影响家族的多名成员中同时存在。然而,播散性浅表性光化性汗孔角化症(DSAP)和褶叠性汗孔角化症(Ppt)同时存在的情况较为罕见。

病例摘要

一名45岁男性因长期存在皮肤病变前来就诊。体格检查发现其面部有许多2毫米至4毫米大小的褐色小斑块,躯干和四肢有几个角化过度的疣状斑块。他的父亲和一个兄弟多年来也有类似病变。皮肤活检显示表皮有鸡眼样板。我们在甲羟戊酸激酶(MVK)基因中发现了c.155G>A突变,该突变将一个丝氨酸残基转换为天冬酰胺(p.Ser52Asn),是这个家族汗孔角化症的致病原因。做出了DSAP和Ppt伴新的MVK基因突变的临床病理诊断。使用微波刀对患者阴囊上的角化过度斑块进行了10多次完全切除。

结论

一例罕见的DSAP与Ppt共存病例携带一种新的MVK基因突变,该突变也存在于患者家族中。

https://cdn.ncbi.nlm.nih.gov/pmc/blobs/c544/9125269/0cc4b6b866b7/WJCC-10-4528-g004.jpg
https://cdn.ncbi.nlm.nih.gov/pmc/blobs/c544/9125269/51b6869525ac/WJCC-10-4528-g001.jpg
https://cdn.ncbi.nlm.nih.gov/pmc/blobs/c544/9125269/23b7d7c7da38/WJCC-10-4528-g002.jpg
https://cdn.ncbi.nlm.nih.gov/pmc/blobs/c544/9125269/4037ea441d33/WJCC-10-4528-g003.jpg
https://cdn.ncbi.nlm.nih.gov/pmc/blobs/c544/9125269/0cc4b6b866b7/WJCC-10-4528-g004.jpg
https://cdn.ncbi.nlm.nih.gov/pmc/blobs/c544/9125269/51b6869525ac/WJCC-10-4528-g001.jpg
https://cdn.ncbi.nlm.nih.gov/pmc/blobs/c544/9125269/23b7d7c7da38/WJCC-10-4528-g002.jpg
https://cdn.ncbi.nlm.nih.gov/pmc/blobs/c544/9125269/4037ea441d33/WJCC-10-4528-g003.jpg
https://cdn.ncbi.nlm.nih.gov/pmc/blobs/c544/9125269/0cc4b6b866b7/WJCC-10-4528-g004.jpg

相似文献

1
Mixed porokeratosis with a novel mevalonate kinase gene mutation: A case report.伴有新型甲羟戊酸激酶基因突变的混合性汗孔角化症:一例报告
World J Clin Cases. 2022 May 16;10(14):4528-4534. doi: 10.12998/wjcc.v10.i14.4528.
2
Case Report: A Novel MVK Missense Mutation in the Sporadic Porokeratosis Ptychotropica in China.病例报告:中国散发性褶烂性汗孔角化症中一种新的MVK错义突变
Clin Cosmet Investig Dermatol. 2023 May 23;16:1325-1329. doi: 10.2147/CCID.S408016. eCollection 2023.
3
Detection of a novel missense mutation in the mevalonate kinase gene in one Chinese family with DSAP.在中国一个伴弥漫性掌跖角皮症(DSAP)的家族中检测到甲羟戊酸激酶基因的一种新型错义突变。
Int J Clin Exp Pathol. 2014 Jan 15;7(2):728-32. eCollection 2014.
4
Mutation Analysis of the MVD Gene in a Chinese Family with Disseminated Superficial Actinic Porokeratosis and a Chinese Literature Review.一个中国播散性浅表性光化性汗孔角化症家系的MVD基因变异分析及中文文献复习
Indian J Dermatol. 2021 Mar-Apr;66(2):126-131. doi: 10.4103/ijd.IJD_226_18.
5
Disseminated superficial actinic porokeratosis co-existing with linear and verrucous porokeratosis in an elderly woman: Update on the genetics and clinical expression of porokeratosis.老年女性并发播散性浅表性光化性汗孔角化症、线状和疣状汗孔角化症:汗孔角化症的遗传学和临床表现更新。
J Am Acad Dermatol. 2010 Nov;63(5):886-91. doi: 10.1016/j.jaad.2009.07.038. Epub 2010 May 6.
6
Splicing mutation in MVK is a cause of porokeratosis of Mibelli.甲羟戊酸激酶(MVK)的剪接突变是米贝利汗孔角化症的病因之一。
Arch Dermatol Res. 2014 Oct;306(8):749-55. doi: 10.1007/s00403-014-1465-7. Epub 2014 Apr 30.
7
Novel mevalonate kinase missense mutation in a patient with disseminated superficial actinic porokeratosis.播散性浅表性光化性汗孔角化症患者中新型甲羟戊酸激酶错义突变
JAAD Case Rep. 2018 Apr 1;4(4):340-343. doi: 10.1016/j.jdcr.2017.12.004. eCollection 2018 May.
8
Disseminated Superficial Actinic Porokeratosis (DSAP): A Case Report Highlighting the Clinical, Dermatoscopic, and Pathology Features of the Condition.播散性浅表性光化性汗孔角化症(DSAP):一例报告,突出该病症的临床、皮肤镜及病理特征
Cureus. 2022 Jul 16;14(7):e26923. doi: 10.7759/cureus.26923. eCollection 2022 Jul.
9
Novel missense mutations of MVK and FDPS gene in Chinese patients with disseminated superficial actinic porokeratosis.中国播散性浅表光线性汗孔角化症患者 MVK 和 FDPS 基因的新型错义突变。
Clin Chim Acta. 2021 Dec;523:441-445. doi: 10.1016/j.cca.2021.10.026. Epub 2021 Oct 28.
10
Identification of three mutations in the MVK gene in six patients associated with disseminated superficial actinic porokeratosis.在6例与播散性浅表光化性汗孔角化症相关的患者中鉴定出MVK基因的三种突变。
Clin Chim Acta. 2016 Feb 15;454:124-9. doi: 10.1016/j.cca.2016.01.009. Epub 2016 Jan 12.

引用本文的文献

1
Two Novel and Three Recurrent Mutations in the Mevalonate Pathway Genes in Chinese Patients with Porokeratosis.中国汗孔角化症患者甲羟戊酸途径基因中的两个新突变和三个复发突变
Clin Cosmet Investig Dermatol. 2024 Jan 24;17:191-197. doi: 10.2147/CCID.S444985. eCollection 2024.
2
Porokeratoses-A Comprehensive Review on the Genetics and Metabolomics, Imaging Methods and Management of Common Clinical Variants.汗孔角化症——关于常见临床变异型的遗传学、代谢组学、成像方法及管理的综合综述
Metabolites. 2023 Nov 26;13(12):1176. doi: 10.3390/metabo13121176.
3
Case Report: A Novel MVK Missense Mutation in the Sporadic Porokeratosis Ptychotropica in China.

本文引用的文献

1
Novel mutation in MVK gene for co-occurrence of disseminated superficial actinic porokeratosis with porokeratosis ptychotropica.MVK基因新突变与播散性浅表光化性汗孔角化症和褶叠性汗孔角化症共病。
J Dermatol. 2021 Mar;48(3):e137-e139. doi: 10.1111/1346-8138.15748. Epub 2021 Jan 17.
2
Mutations in mevalonate pathway genes in patients with familial or sporadic porokeratosis.家族性或散发性汗孔角化症患者的甲羟戊酸途径基因突变。
J Dermatol. 2018 Jul;45(7):862-866. doi: 10.1111/1346-8138.14343. Epub 2018 May 3.
3
Genomic variations of the mevalonate pathway in porokeratosis.
病例报告:中国散发性褶烂性汗孔角化症中一种新的MVK错义突变
Clin Cosmet Investig Dermatol. 2023 May 23;16:1325-1329. doi: 10.2147/CCID.S408016. eCollection 2023.
汗孔角化症中甲羟戊酸途径的基因组变异
Elife. 2015 Jul 23;4:e06322. doi: 10.7554/eLife.06322.
4
Exome sequencing identifies SLC17A9 pathogenic gene in two Chinese pedigrees with disseminated superficial actinic porokeratosis.外显子组测序在两个播散性浅表光化性汗孔角化症中国家系中鉴定出SLC17A9致病基因。
J Med Genet. 2014 Oct;51(10):699-704. doi: 10.1136/jmedgenet-2014-102486. Epub 2014 Sep 1.
5
Porokeratoses: an update of clinical, aetiopathogenic and therapeutic features.汗孔角化症:临床、病因及治疗特征的最新进展
Eur J Dermatol. 2014 Sep-Oct;24(5):533-44. doi: 10.1684/ejd.2014.2402.
6
Porokeratosis ptychotropica: a rare and evolving variant of porokeratosis.向心性汗孔角化症:一种罕见且不断演变的汗孔角化症变体。
J Cutan Pathol. 2013 Dec;40(12):1042-7. doi: 10.1111/cup.12233. Epub 2013 Oct 12.
7
Porokeratosis: present concepts.角化病:现有概念。
J Eur Acad Dermatol Venereol. 2012 Apr;26(4):404-12. doi: 10.1111/j.1468-3083.2011.04275.x. Epub 2011 Sep 20.
8
Disseminated superficial actinic porokeratosis co-existing with linear and verrucous porokeratosis in an elderly woman: Update on the genetics and clinical expression of porokeratosis.老年女性并发播散性浅表性光化性汗孔角化症、线状和疣状汗孔角化症:汗孔角化症的遗传学和临床表现更新。
J Am Acad Dermatol. 2010 Nov;63(5):886-91. doi: 10.1016/j.jaad.2009.07.038. Epub 2010 May 6.
9
Porokeratosis ptychotropica: a lesser-known variant.棘层松解性角化不良:一种不太为人知的变异型。
Clin Exp Dermatol. 2009 Dec;34(8):e895-7. doi: 10.1111/j.1365-2230.2009.03664.x.
10
Porokeratosis ptychotropica: a clinically distinct variant of porokeratosis.趋皮性汗孔角化症:汗孔角化症的一种临床独特变体。
J Am Acad Dermatol. 2009 Mar;60(3):501-3. doi: 10.1016/j.jaad.2008.06.038. Epub 2008 Nov 20.