• 文献检索
  • 文档翻译
  • 深度研究
  • 学术资讯
  • Suppr Zotero 插件Zotero 插件
  • 邀请有礼
  • 套餐&价格
  • 历史记录
应用&插件
Suppr Zotero 插件Zotero 插件浏览器插件Mac 客户端Windows 客户端微信小程序
定价
高级版会员购买积分包购买API积分包
服务
文献检索文档翻译深度研究API 文档MCP 服务
关于我们
关于 Suppr公司介绍联系我们用户协议隐私条款
关注我们

Suppr 超能文献

核心技术专利:CN118964589B侵权必究
粤ICP备2023148730 号-1Suppr @ 2026

文献检索

告别复杂PubMed语法,用中文像聊天一样搜索,搜遍4000万医学文献。AI智能推荐,让科研检索更轻松。

立即免费搜索

文件翻译

保留排版,准确专业,支持PDF/Word/PPT等文件格式,支持 12+语言互译。

免费翻译文档

深度研究

AI帮你快速写综述,25分钟生成高质量综述,智能提取关键信息,辅助科研写作。

立即免费体验

多模态影像学评估罕见且复杂的单心室生理学病例;心脏磁共振的重要作用。

Multi-modality Imaging Evaluation of a Rare and Complex Case of Single Ventricle Physiology; the important role of Cardiac MR.

机构信息

Department of Neuroscience, Imaging and Clinical Sciences, "G. d'Annunzio" University of Chieti-Pescara, Italy.

Department of Radiology, Stanford University School of Medicine, Stanford, CA, USA.

出版信息

Acta Biomed. 2022 Jun 7;93(S1):e2022110. doi: 10.23750/abm.v92iS1.10864.

DOI:10.23750/abm.v92iS1.10864
PMID:35671106
原文链接:https://pmc.ncbi.nlm.nih.gov/articles/PMC10510974/
Abstract

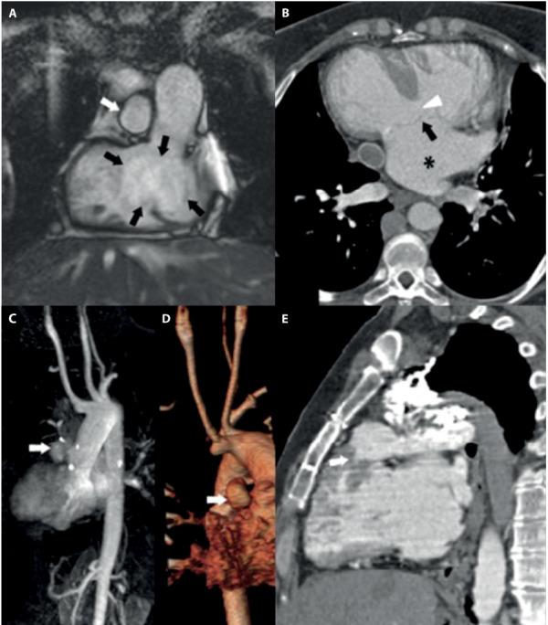
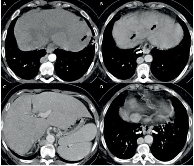
Congenital heart diseases (CHD) represent a major clinical and diagnostic challenge for correct abnormality identification and subsequent successful therapy; even more challenging is following-up patient health after multiple post-interventional corrections often required in complex cardio-vascular abnormalities. We describe a multi-modality imaging evaluation of a complex congenital cardio-vascular diseases, underlining the relevance of cardiac magnetic resonance to non invasively solve some issues related to postsurgical changes.

摘要

先天性心脏病(CHD)是正确识别异常并随后成功治疗的主要临床和诊断挑战;更具挑战性的是在复杂心血管异常通常需要多次介入矫正后,对患者健康进行随访。我们描述了一种复杂先天性心血管疾病的多模态成像评估,强调心脏磁共振在无创解决与手术后变化相关的一些问题方面的相关性。

https://cdn.ncbi.nlm.nih.gov/pmc/blobs/13ed/10510974/63664f2463dc/ACTA-93-110-g006.jpg
https://cdn.ncbi.nlm.nih.gov/pmc/blobs/13ed/10510974/cb162317ea15/ACTA-93-110-g001.jpg
https://cdn.ncbi.nlm.nih.gov/pmc/blobs/13ed/10510974/f909b3ea47a8/ACTA-93-110-g002.jpg
https://cdn.ncbi.nlm.nih.gov/pmc/blobs/13ed/10510974/6c24ca2aa153/ACTA-93-110-g003.jpg
https://cdn.ncbi.nlm.nih.gov/pmc/blobs/13ed/10510974/a35370fed069/ACTA-93-110-g004.jpg
https://cdn.ncbi.nlm.nih.gov/pmc/blobs/13ed/10510974/263d690af4fb/ACTA-93-110-g005.jpg
https://cdn.ncbi.nlm.nih.gov/pmc/blobs/13ed/10510974/63664f2463dc/ACTA-93-110-g006.jpg
https://cdn.ncbi.nlm.nih.gov/pmc/blobs/13ed/10510974/cb162317ea15/ACTA-93-110-g001.jpg
https://cdn.ncbi.nlm.nih.gov/pmc/blobs/13ed/10510974/f909b3ea47a8/ACTA-93-110-g002.jpg
https://cdn.ncbi.nlm.nih.gov/pmc/blobs/13ed/10510974/6c24ca2aa153/ACTA-93-110-g003.jpg
https://cdn.ncbi.nlm.nih.gov/pmc/blobs/13ed/10510974/a35370fed069/ACTA-93-110-g004.jpg
https://cdn.ncbi.nlm.nih.gov/pmc/blobs/13ed/10510974/263d690af4fb/ACTA-93-110-g005.jpg
https://cdn.ncbi.nlm.nih.gov/pmc/blobs/13ed/10510974/63664f2463dc/ACTA-93-110-g006.jpg

相似文献

1
Multi-modality Imaging Evaluation of a Rare and Complex Case of Single Ventricle Physiology; the important role of Cardiac MR.多模态影像学评估罕见且复杂的单心室生理学病例;心脏磁共振的重要作用。
Acta Biomed. 2022 Jun 7;93(S1):e2022110. doi: 10.23750/abm.v92iS1.10864.
2
Invasive cardiovascular magnetic resonance (iCMR) for diagnostic right and left heart catheterization using an MR-conditional guidewire and passive visualization in congenital heart disease.经 MR 兼容导丝和被动可视化技术行心血管磁共振(iCMR)引导的先天性心脏病右心和左心导管诊断。
J Cardiovasc Magn Reson. 2020 Mar 26;22(1):20. doi: 10.1186/s12968-020-0605-9.
3
Multimodality imaging in congenital heart disease-related pulmonary arterial hypertension.先天性心脏病相关肺动脉高压的多模态成像
Heart. 2016 Jun 15;102(12):910-8. doi: 10.1136/heartjnl-2015-308903. Epub 2016 Mar 24.
4
Lymphatic Abnormalities on Magnetic Resonance Imaging in Single-Ventricle Congenital Heart Defects Before Glenn Operation.单心室先天性心脏病 Glenn 手术前磁共振成像的淋巴异常。
J Am Heart Assoc. 2023 Jun 20;12(12):e029376. doi: 10.1161/JAHA.123.029376. Epub 2023 Jun 15.
5
Congenital heart diseases: post-operative appearance on multi-detector CT-a pictorial essay.先天性心脏病:多排 CT 术后表现——影像学研究。
Eur Radiol. 2009 Dec;19(12):2941-9. doi: 10.1007/s00330-009-1474-7.
6
Do We Need More Than a Transthoracic Echocardiography When Evaluating Children with Congenital Heart Disease before Cardiac Surgery?在对先天性心脏病患儿进行心脏手术前评估时,我们是否需要的不仅仅是经胸超声心动图?
Congenit Heart Dis. 2016 May;11(3):262-9. doi: 10.1111/chd.12312. Epub 2015 Nov 11.
7
Multimodality detection of multiple left ventricular diverticula: A case report and brief review of the literature.多发性左心室憩室的多模态检测:一例报告及文献简要回顾
Echocardiography. 2019 Jan;36(1):184-188. doi: 10.1111/echo.14179. Epub 2018 Oct 30.
8
Lymphatic pathway evaluation in congenital heart disease using 3D whole-heart balanced steady state free precession and T2-weighted cardiovascular magnetic resonance.应用 3D 全心脏稳态自由进动平衡和 T2 加权心血管磁共振成像评估先天性心脏病的淋巴途径。
J Cardiovasc Magn Reson. 2021 Mar 1;23(1):16. doi: 10.1186/s12968-021-00707-6.
9
Fetal echocardiography has a role in multimodality imaging for surgical planning.胎儿超声心动图在用于手术规划的多模态成像中发挥着作用。
Pediatr Cardiol. 2014 Dec;35(8):1478-9. doi: 10.1007/s00246-014-0975-6. Epub 2014 Aug 13.
10
Multiple pericardial hematomas: a case report and mini-review in multimodality imaging.多发性心包积血:多模态影像学病例报告及文献复习。
BMC Med Imaging. 2021 May 18;21(1):85. doi: 10.1186/s12880-021-00617-0.

本文引用的文献

1
Prevalence and Clinical Relevance of Extracardiac Findings in Cardiovascular Magnetic Resonance Imaging.心血管磁共振成像中心外表现的患病率及临床意义。
J Thorac Imaging. 2019 Jan;34(1):48-55. doi: 10.1097/RTI.0000000000000360.
2
Evaluation of adult congenital heart disease by cardiac magnetic resonance imaging.利用心脏磁共振成像评估成人先天性心脏病
Congenit Heart Dis. 2009 Jul-Aug;4(4):216-30. doi: 10.1111/j.1747-0803.2009.00313.x.
3
Cardiac MRI in the management of congenital heart disease in children, adolescents, and young adults.
心脏磁共振成像在儿童、青少年和青年先天性心脏病管理中的应用
Curr Treat Options Cardiovasc Med. 2008 Sep;10(5):419-24. doi: 10.1007/s11936-008-0033-x.
4
Total cavopulmonary shunt operation in complex cardiac anomalies. A new operation.复杂心脏畸形的全腔肺分流手术。一种新手术。
J Thorac Cardiovasc Surg. 1984 Jan;87(1):74-81.
5
Landmark article May 19, 1945: The surgical treatment of malformations of the heart in which there is pulmonary stenosis or pulmonary atresia. By Alfred Blalock and Helen B. Taussig.里程碑文章,1945年5月19日:《伴有肺动脉狭窄或肺动脉闭锁的心脏畸形的外科治疗》。作者:阿尔弗雷德·布莱洛克和海伦·B·陶西格。
JAMA. 1984 Apr 27;251(16):2123-38. doi: 10.1001/jama.251.16.2123.