Department of Developmental Genetics, Max Planck Institute for Heart and Lung Research, 61231 Bad Nauheim, Germany.
Cardiopulmonary Institute, Max Planck Institute for Heart and Lung Research, 61231 Bad Nauheim, Germany.
Proc Natl Acad Sci U S A. 2022 Jun 14;119(24):e2201707119. doi: 10.1073/pnas.2201707119. Epub 2022 Jun 7.
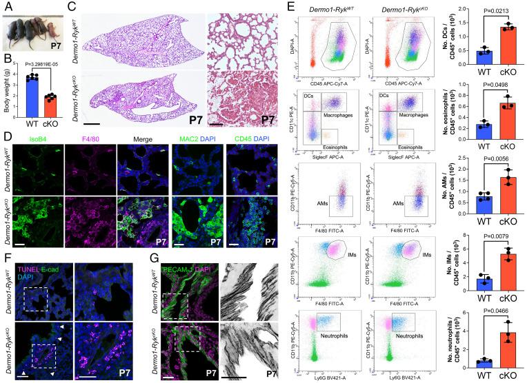
A number of inflammatory lung diseases, including chronic obstructive pulmonary disease, idiopathic pulmonary fibrosis, and pneumonia, are modulated by WNT/β-catenin signaling. However, the underlying molecular mechanisms remain unclear. Here, starting with a forward genetic screen in mouse, we identify the WNT coreceptor Related to receptor tyrosine kinase (RYK) acting in mesenchymal tissues as a cell survival and antiinflammatory modulator. mutant mice exhibit lung hypoplasia and inflammation as well as alveolar simplification due to defective secondary septation, and deletion of specifically in mesenchymal cells also leads to these phenotypes. By analyzing the transcriptome of wild-type and mutant lungs, we observed the up-regulation of proapoptotic and inflammatory genes whose expression can be repressed by WNT/RYK signaling in vitro. Moreover, mesenchymal deletion at postnatal and adult stages can also lead to lung inflammation, thus indicating a continued role for WNT/RYK signaling in homeostasis. Our results indicate that RYK signaling through β-catenin and Nuclear Factor kappa B (NF-κB) is part of a safeguard mechanism against mesenchymal cell death, excessive inflammatory cytokine production, and inflammatory cell recruitment and accumulation. Notably, RYK expression is down-regulated in the stromal cells of pneumonitis patient lungs. Altogether, our data reveal that RYK signaling plays critical roles as an antiinflammatory modulator during lung development and homeostasis and provide an animal model to further investigate the etiology of, and therapeutic approaches to, inflammatory lung diseases.
许多炎症性肺部疾病,包括慢性阻塞性肺疾病、特发性肺纤维化和肺炎,都受到 WNT/β-catenin 信号通路的调节。然而,其潜在的分子机制尚不清楚。在这里,我们从小鼠的正向遗传筛选开始,鉴定出在间质组织中起作用的 WNT 核心受体相关受体酪氨酸激酶(RYK)作为细胞存活和抗炎调节剂。mutant 小鼠表现出肺部发育不全和炎症,以及肺泡简化,这是由于次级间隔分离缺陷所致;特异性地在间质细胞中缺失 也会导致这些表型。通过分析野生型和突变型肺的转录组,我们观察到促凋亡和炎症基因的上调,其表达可以在体外被 WNT/RYK 信号通路抑制。此外,在出生后和成年阶段对间质细胞进行 deletion 也会导致肺部炎症,这表明 WNT/RYK 信号通路在维持体内平衡方面仍具有重要作用。我们的结果表明,RYK 信号通路通过 β-catenin 和核因子 kappa B(NF-κB)是防止间质细胞死亡、过度炎症细胞因子产生以及炎症细胞募集和积累的保护机制的一部分。值得注意的是,RYK 在肺炎患者肺部的基质细胞中表达下调。总之,我们的数据揭示了 RYK 信号通路在肺部发育和体内平衡中作为抗炎调节剂的关键作用,并提供了一个动物模型来进一步研究炎症性肺部疾病的病因和治疗方法。