• 文献检索
  • 文档翻译
  • 深度研究
  • 学术资讯
  • Suppr Zotero 插件Zotero 插件
  • 邀请有礼
  • 套餐&价格
  • 历史记录
应用&插件
Suppr Zotero 插件Zotero 插件浏览器插件Mac 客户端Windows 客户端微信小程序
定价
高级版会员购买积分包购买API积分包
服务
文献检索文档翻译深度研究API 文档MCP 服务
关于我们
关于 Suppr公司介绍联系我们用户协议隐私条款
关注我们

Suppr 超能文献

核心技术专利:CN118964589B侵权必究
粤ICP备2023148730 号-1Suppr @ 2026

文献检索

告别复杂PubMed语法,用中文像聊天一样搜索,搜遍4000万医学文献。AI智能推荐,让科研检索更轻松。

立即免费搜索

文件翻译

保留排版,准确专业,支持PDF/Word/PPT等文件格式,支持 12+语言互译。

免费翻译文档

深度研究

AI帮你快速写综述,25分钟生成高质量综述,智能提取关键信息,辅助科研写作。

立即免费体验

奥莫替尼有效减轻 EGFR L858R 突变型非小细胞肺癌病例联合奥希替尼致心脏毒性的临床症状:病例报告和综述。

Aumolertinib Effectively Reduces Clinical Symptoms of an EGFR L858R-Mutant Non-Small Cell Lung Cancer Case Coupled With Osimertinib-Induced Cardiotoxicity: Case Report and Review.

机构信息

Department of Respiratory and Critical Care Medicine, Henan Provincial People's Hospital, Zhengzhou, China.

出版信息

Front Endocrinol (Lausanne). 2022 May 23;13:833929. doi: 10.3389/fendo.2022.833929. eCollection 2022.

DOI:10.3389/fendo.2022.833929
PMID:35677717
原文链接:https://pmc.ncbi.nlm.nih.gov/articles/PMC9170288/
Abstract

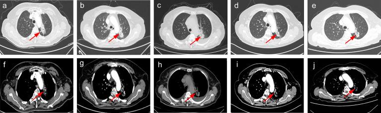
Osimertinib, a third-generation epidermal growth factor receptor tyrosine kinase inhibitor (EGFR-TKI) first-line therapy, has shown good clinical outcomes in non-small cell lung cancer (NSCLC), but some serious adverse events such as cardiotoxicity have also been reported. Here, we present the first NSCLC case with osimertinib-induced cardiac failure. The case is successfully being treated by switching to another third-generation TKI, aumolertinib. A 62-year-old non-smoking woman was initially diagnosed with stage cT2aN2M1c IVB NSCLC with synchronous brain and bone metastasis in April 2020. Further genetic screening of the patient identified Leu858Arg (L858R) mutation in EGFR; thus, the patient was administered third-generation TKI osimertinib (80 mg/day) for 6 months. This treatment with osimertinib led to serious cardiac failure but no significant reduction in NSCLC tumor size. To cope with these conditions, another third-generation TKI, aumolertinib (110 mg/day), along with a supplement treatment plan was prescribed to the patient. Interestingly, this new treatment plan of aumolertinib significantly inhibited tumor growth in 8 months. Therefore, we conclude that the administration of second-line aumolertinib 110 mg/day has fewer adverse reactions and high efficacy against NSCLC as compared to osimertinib therapy.

摘要

奥希替尼,一种第三代表皮生长因子受体酪氨酸激酶抑制剂(EGFR-TKI)的一线治疗药物,在非小细胞肺癌(NSCLC)中显示出良好的临床疗效,但也有报道称其存在严重的不良反应,如心脏毒性。在这里,我们报告了首例奥希替尼引起的心衰的 NSCLC 病例。该病例通过改用另一种第三代 TKI,阿美替尼,成功得到治疗。一名 62 岁的不吸烟女性于 2020 年 4 月被最初诊断为 cT2aN2M1c IVB 期 NSCLC,同时伴有脑和骨转移。进一步对患者的基因进行筛选发现存在 EGFR 的 Leu858Arg(L858R)突变;因此,患者接受第三代 TKI 奥希替尼(80 mg/天)治疗 6 个月。奥希替尼治疗导致严重的心衰,但 NSCLC 肿瘤大小无明显缩小。为了应对这些情况,为患者开具了另一种第三代 TKI 阿美替尼(110 mg/天)和补充治疗方案。有趣的是,阿美替尼新的治疗方案在 8 个月内显著抑制了肿瘤生长。因此,我们得出结论,与奥希替尼治疗相比,二线阿美替尼 110 mg/天的给药具有更少的不良反应和更高的 NSCLC 疗效。

https://cdn.ncbi.nlm.nih.gov/pmc/blobs/7670/9170288/e7fba5a50ec4/fendo-13-833929-g005.jpg
https://cdn.ncbi.nlm.nih.gov/pmc/blobs/7670/9170288/a05eaecb790c/fendo-13-833929-g001.jpg
https://cdn.ncbi.nlm.nih.gov/pmc/blobs/7670/9170288/ee22ae08b182/fendo-13-833929-g002.jpg
https://cdn.ncbi.nlm.nih.gov/pmc/blobs/7670/9170288/324eaf600466/fendo-13-833929-g003.jpg
https://cdn.ncbi.nlm.nih.gov/pmc/blobs/7670/9170288/a534309c71a6/fendo-13-833929-g004.jpg
https://cdn.ncbi.nlm.nih.gov/pmc/blobs/7670/9170288/e7fba5a50ec4/fendo-13-833929-g005.jpg
https://cdn.ncbi.nlm.nih.gov/pmc/blobs/7670/9170288/a05eaecb790c/fendo-13-833929-g001.jpg
https://cdn.ncbi.nlm.nih.gov/pmc/blobs/7670/9170288/ee22ae08b182/fendo-13-833929-g002.jpg
https://cdn.ncbi.nlm.nih.gov/pmc/blobs/7670/9170288/324eaf600466/fendo-13-833929-g003.jpg
https://cdn.ncbi.nlm.nih.gov/pmc/blobs/7670/9170288/a534309c71a6/fendo-13-833929-g004.jpg
https://cdn.ncbi.nlm.nih.gov/pmc/blobs/7670/9170288/e7fba5a50ec4/fendo-13-833929-g005.jpg

相似文献

1
Aumolertinib Effectively Reduces Clinical Symptoms of an EGFR L858R-Mutant Non-Small Cell Lung Cancer Case Coupled With Osimertinib-Induced Cardiotoxicity: Case Report and Review.奥莫替尼有效减轻 EGFR L858R 突变型非小细胞肺癌病例联合奥希替尼致心脏毒性的临床症状:病例报告和综述。
Front Endocrinol (Lausanne). 2022 May 23;13:833929. doi: 10.3389/fendo.2022.833929. eCollection 2022.
2
Aumolertinib effectively reduces clinical symptoms of an EGFR L858R-mutant non-small cell lung cancer case coupled with osimertinib-induced severe thrombocytopenia: a case report.奥莫替尼有效缓解一例EGFR L858R突变型非小细胞肺癌患者的临床症状并伴奥希替尼所致严重血小板减少症:一例报告
Anticancer Drugs. 2023 Mar 1;34(3):455-459. doi: 10.1097/CAD.0000000000001424. Epub 2022 Oct 17.
3
A non-small cell lung cancer (NSCLC) patient harboring a rare epidermal growth factor receptor (EGFR) L858R/V843I mutation complex benefited from osimertinib: a case report.一位携带有罕见表皮生长因子受体(EGFR)L858R/V843I 突变复合物的非小细胞肺癌(NSCLC)患者从奥希替尼治疗中获益:一例报告。
Ann Palliat Med. 2022 Mar;11(3):1121-1125. doi: 10.21037/apm-21-2653.
4
De Novo mutation in Epidermal growth factor receptor (EGFR)-D761Y responding to third generation tyrosine kinase inhibitor Osimertinib: A case report.表皮生长因子受体(EGFR)-D761Y 新生突变对第三代酪氨酸激酶抑制剂奥希替尼的反应:一例报告。
Medicine (Baltimore). 2022 Jul 22;101(29):e29332. doi: 10.1097/MD.0000000000029332.
5
Aumolertinib: A Review in Non-Small Cell Lung Cancer.奥莫替尼:非小细胞肺癌的综述。
Drugs. 2022 Apr;82(5):577-584. doi: 10.1007/s40265-022-01695-2. Epub 2022 Mar 19.
6
Clinical efficacy of osimertinib in EGFR-mutant non-small cell lung cancer with distant metastasis.奥希替尼治疗伴有远处转移的 EGFR 突变型非小细胞肺癌的临床疗效。
BMC Cancer. 2022 Jun 14;22(1):654. doi: 10.1186/s12885-022-09741-8.
7
Sequence-dependent synergistic effect of aumolertinib-pemetrexed combined therapy on EGFR-mutant non-small-cell lung carcinoma with pre-clinical and clinical evidence.临床前和临床证据表明,奥希替尼-培美曲塞联合治疗具有序列依赖性协同作用,可治疗 EGFR 突变型非小细胞肺癌。
J Exp Clin Cancer Res. 2022 May 3;41(1):163. doi: 10.1186/s13046-022-02369-3.
8
Successful neoadjuvant treatment of EGFR exon 19 deletion combined with TP53 mutation in non-small cell lung cancer using aumolertinib after osimertinib-induced myocardial damage: a case report and literature review.奥希替尼诱导心肌损伤后使用阿美替尼成功治疗 EGFR 外显子 19 缺失合并 TP53 突变的非小细胞肺癌:一例病例报告及文献复习。
Anticancer Drugs. 2023 Sep 1;34(8):954-961. doi: 10.1097/CAD.0000000000001496. Epub 2023 Jan 4.
9
AENEAS: A Randomized Phase III Trial of Aumolertinib Versus Gefitinib as First-Line Therapy for Locally Advanced or MetastaticNon-Small-Cell Lung Cancer With Exon 19 Deletion or L858R Mutations.AENEAS:奥莫替尼对比吉非替尼一线治疗局部晚期或转移性非小细胞肺癌伴 exon19 缺失或 L858R 突变的随机 III 期研究。
J Clin Oncol. 2022 Sep 20;40(27):3162-3171. doi: 10.1200/JCO.21.02641. Epub 2022 May 17.
10
An evaluation of aumolertinib for the treatment of EGFR T790M mutation-positive non-small cell lung cancer.奥莫替尼治疗表皮生长因子受体T790M突变阳性非小细胞肺癌的疗效评估。
Expert Opin Pharmacother. 2022 Apr;23(6):647-652. doi: 10.1080/14656566.2022.2050213. Epub 2022 Mar 10.

引用本文的文献

1
Cardiotoxicity of small-molecule kinase inhibitors in cancer therapy.小分子激酶抑制剂在癌症治疗中的心脏毒性
Exp Hematol Oncol. 2025 May 9;14(1):68. doi: 10.1186/s40164-025-00660-5.
2
SGLT2 Inhibitor for Cardiac Protection in a Patient With Osimertinib-Responsive Advanced EGFR-Positive Lung Cancer.SGLT2抑制剂对奥希替尼敏感的晚期EGFR阳性肺癌患者的心脏保护作用
JACC Case Rep. 2024 Dec 4;29(23):102829. doi: 10.1016/j.jaccas.2024.102829.
3
Efficacy and patient-reported outcomes in advanced non-small cell lung cancer patients receiving aumolertinib as first-line therapy: a real-world study.

本文引用的文献

1
Efficacy of Aumolertinib (HS-10296) in Patients With Advanced EGFR T790M+ NSCLC: Updated Post-National Medical Products Administration Approval Results From the APOLLO Registrational Trial.奥莫替尼(HS-10296)治疗晚期EGFR T790M+非小细胞肺癌患者的疗效:APOLLO注册试验中国家药品监督管理局批准后的更新结果
J Thorac Oncol. 2022 Mar;17(3):411-422. doi: 10.1016/j.jtho.2021.10.024. Epub 2021 Nov 19.
2
Experimental Study of Almonertinib Crossing the Blood-Brain Barrier in EGFR-Mutant Brain Metastasis and Spinal Cord Metastasis Models.阿美替尼在EGFR突变型脑转移和脊髓转移模型中穿越血脑屏障的实验研究
Front Pharmacol. 2021 Sep 24;12:750031. doi: 10.3389/fphar.2021.750031. eCollection 2021.
3
接受奥莫替尼作为一线治疗的晚期非小细胞肺癌患者的疗效和患者报告结局:一项真实世界研究
Front Pharmacol. 2024 Sep 6;15:1444707. doi: 10.3389/fphar.2024.1444707. eCollection 2024.
4
Risk factors of osimertinib-related cardiotoxicity in non-small cell lung cancer.非小细胞肺癌中奥希替尼相关心脏毒性的危险因素
Front Oncol. 2024 Jul 12;14:1431023. doi: 10.3389/fonc.2024.1431023. eCollection 2024.
5
Research Progress on the Cardiotoxicity of EGFR-TKIs in Non-Small Cell Lung Cancer.表皮生长因子受体酪氨酸激酶抑制剂在非小细胞肺癌中的心脏毒性研究进展
Curr Treat Options Oncol. 2023 Dec;24(12):1935-1947. doi: 10.1007/s11864-023-01150-8. Epub 2023 Dec 28.
6
Aumolertinib challenge as an optional treatment in advanced non small-cell lung cancer after osimertinib failure with epidermal growth factor receptor-sensitive mutation: A case series.奥莫替尼激发试验作为奥希替尼治疗失败后伴有表皮生长因子受体敏感突变的晚期非小细胞肺癌的一种可选治疗方法:病例系列
Oncol Lett. 2022 Sep 22;24(5):400. doi: 10.3892/ol.2022.13520. eCollection 2022 Nov.
7
[Consensus on Application of Third-generation EGFR-TKI in EGFR Mutated NSCLC 
(2022 Version)].《第三代表皮生长因子受体酪氨酸激酶抑制剂在表皮生长因子受体突变的非小细胞肺癌中的应用共识(2022年版)》
Zhongguo Fei Ai Za Zhi. 2022 Sep 20;25(9):627-641. doi: 10.3779/j.issn.1009-3419.2022.101.47.
Different Clinicopathologic and Computed Tomography Imaging Characteristics of Primary and Acquired Mutations in Patients with Non-Small-Cell Lung Cancer.
非小细胞肺癌患者原发性和获得性突变的不同临床病理及计算机断层扫描成像特征
Cancer Manag Res. 2021 Aug 13;13:6389-6401. doi: 10.2147/CMAR.S323972. eCollection 2021.
4
Heart Failure Associated With the Epidermal Growth Factor Receptor Inhibitor Osimertinib.与表皮生长因子受体抑制剂奥希替尼相关的心力衰竭
JACC CardioOncol. 2020 Mar 17;2(1):119-122. doi: 10.1016/j.jaccao.2020.01.003. eCollection 2020 Mar.
5
Cardiac Adverse Events in -Mutated Non-Small Cell Lung Cancer Treated With Osimertinib.奥希替尼治疗携带EGFR突变的非小细胞肺癌患者的心脏不良事件
JACC CardioOncol. 2020 Mar 17;2(1):1-10. doi: 10.1016/j.jaccao.2020.02.003. eCollection 2020 Mar.
6
Osimertinib-Induced Cardiotoxicity: A Retrospective Review of the FDA Adverse Events Reporting System (FAERS).奥希替尼所致心脏毒性:对美国食品药品监督管理局不良事件报告系统(FAERS)的回顾性分析
JACC CardioOncol. 2019 Dec 17;1(2):172-178. doi: 10.1016/j.jaccao.2019.10.006. eCollection 2019 Dec.
7
Osimertinib-Induced Cardiomyopathy.奥希替尼诱发的心肌病。
JACC Case Rep. 2020 Apr 1;2(4):641-645. doi: 10.1016/j.jaccas.2019.12.038. eCollection 2020 Apr.
8
Comparison of Resistance Spectra after First and Second Line Osimertinib Treatment Detected by Liquid Biopsy.通过液体活检检测的一线和二线奥希替尼治疗后耐药谱的比较。
Cancers (Basel). 2021 Jun 8;13(12):2861. doi: 10.3390/cancers13122861.
9
Global Cancer Statistics 2020: GLOBOCAN Estimates of Incidence and Mortality Worldwide for 36 Cancers in 185 Countries.《全球癌症统计数据 2020:全球 185 个国家和地区 36 种癌症的发病率和死亡率估计》。
CA Cancer J Clin. 2021 May;71(3):209-249. doi: 10.3322/caac.21660. Epub 2021 Feb 4.
10
Osimertinib-induced cardiac failure with QT prolongation and torsade de pointes in a patient with advanced pulmonary adenocarcinoma.奥希替尼诱发一名晚期肺腺癌患者出现心力衰竭伴QT间期延长及尖端扭转型室速。
Int Cancer Conf J. 2020 Oct 15;10(1):68-71. doi: 10.1007/s13691-020-00450-2. eCollection 2021 Jan.