Konar Amaresha Shridhar, Shah Akash Deelip, Paudyal Ramesh, Fung Maggie, Banerjee Suchandrima, Dave Abhay, Hatzoglou Vaios, Shukla-Dave Amita
Department of Medical Physics, Memorial Sloan Kettering Cancer Center, New York City, NY 10065, USA.
Department of Radiology, Memorial Sloan Kettering Cancer Center, New York City, NY 10065, USA.
Cancers (Basel). 2022 May 27;14(11):2651. doi: 10.3390/cancers14112651.
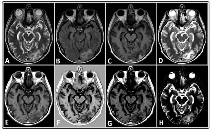
The present preliminary study aims to characterize brain metastases (BM) using T1 and T2 maps generated from newer, rapid, synthetic MRI (MAGnetic resonance image Compilation; MAGiC) in a clinical setting. We acquired synthetic MRI data from 11 BM patients on a 3T scanner. A multiple-dynamic multiple-echo (MDME) sequence was used for data acquisition and synthetic image reconstruction, including post-processing. MDME is a multi-contrast sequence that enables absolute quantification of physical tissue properties, including T1 and T2, independent of the scanner settings. In total, 82 regions of interest (ROIs) were analyzed, which were obtained from both normal-appearing brain tissue and BM lesions. The mean values obtained from the 48 normal-appearing brain tissue regions and 34 ROIs of BM lesions (T1 and T2) were analyzed using standard statistical methods. The mean T1 and T2 values were 1143 ms and 78 ms, respectively, for normal-appearing gray matter, 701 ms and 64 ms for white matter, and 4206 ms and 390 ms for cerebrospinal fluid. For untreated BMs, the mean T1 and T2 values were 1868 ms and 100 ms, respectively, and 2211 ms and 114 ms for the treated group. The quantitative T1 and T2 values generated from synthetic MRI can characterize BM and normal-appearing brain tissues.
本初步研究旨在利用更新的、快速的合成磁共振成像(MAGnetic resonance image Compilation;MAGiC)生成的T1和T2图谱在临床环境中对脑转移瘤(BM)进行特征描述。我们在一台3T扫描仪上从11例BM患者获取了合成磁共振成像数据。采用多动态多回波(MDME)序列进行数据采集和合成图像重建,包括后处理。MDME是一种多对比度序列,能够独立于扫描仪设置对包括T1和T2在内的物理组织特性进行绝对定量。总共分析了82个感兴趣区域(ROI),这些区域取自外观正常的脑组织和BM病变。使用标准统计方法分析了从48个外观正常的脑组织区域和34个BM病变ROI(T1和T2)获得的平均值。外观正常的灰质的平均T1和T2值分别为1143毫秒和78毫秒,白质为701毫秒和64毫秒,脑脊液为4206毫秒和390毫秒。对于未经治疗的BM,平均T1和T2值分别为1868毫秒和100毫秒,治疗组为2211毫秒和114毫秒。由合成磁共振成像生成的定量T1和T2值可以表征BM和外观正常的脑组织。