Suppr超能文献

5-HT2A 受体通过激活 PKA/CREB 信号通路参与黑色素的合成和转移。

Serotonin (5-HT) 2A Receptor Involvement in Melanin Synthesis and Transfer via Activating the PKA/CREB Signaling Pathway.

机构信息

School of Traditional Chinese Pharmacy, China Pharmaceutical University, Nanjing 210009, China.

State Key Laboratory of Natural Medicines, China Pharmaceutical University, Nanjing 210009, China.

出版信息

Int J Mol Sci. 2022 May 30;23(11):6111. doi: 10.3390/ijms23116111.

Abstract

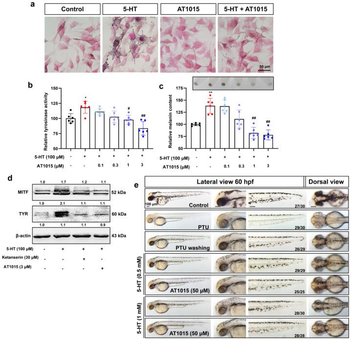
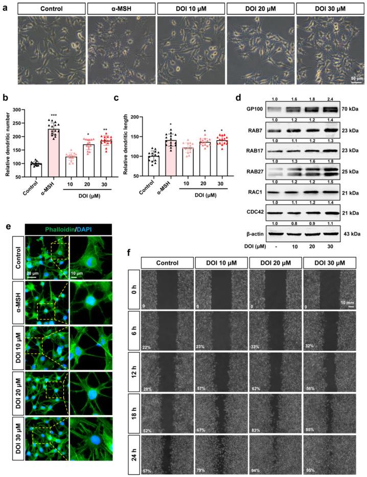
The 5-HT2A serotonin receptor (HTR2A) has been reported to be involved in the serotonin- or serotonin receptor 2A agonist-induced melanogenesis in human melanoma cells. However, the molecular mechanisms underlying HTR2A in regulating melanogenesis remain poorly understood. In this research, cultured mouse melanoma cell line B16F10, human skin, and zebrafish embryos were used to elucidate the downstream signaling of HTR2A in regulating melanogenesis and to verify the potential application of HTR2A in the treatment of pigment-associated cutaneous diseases. We demonstrated that HTR2A antagonists (AT1015 and ketanserin) attenuated the melanogenesis induction of serotonin in both mouse melanoma cells and zebrafish embryos. The agonists of HTR2A (DOI and TCB-2) increased melanin synthesis and transfer in B16F10 cells, human skin tissue, and zebrafish embryos. Furthermore, the HTR2A agonists increased the expression of proteins related to melanosome organization and melanocyte dendrites to facilitate the melanocyte migration and melanosome transport. HTR2A antagonists and genetic knockout of zebrafish (the homologue of mammalian gene) were also used to clarify that HTR2A mediates serotonin and DOI in regulating melanogenesis. Finally, through small scale screening of the candidate downstream pathway, we demonstrated that HTR2A mediates the melanogenesis induction of its ligands by activating the PKA/CREB signaling pathway. In this research, we further confirmed that HTR2A is a crucial protein to mediate melanocyte function. Meanwhile, this research supports that HTR2A could be designed as a drug target for the development of chemicals to treat cutaneous diseases with melanocytes or melanogenesis abnormality.

摘要

5-羟色胺 2A 受体(HTR2A)已被报道参与人黑色素瘤细胞中 5-羟色胺或 5-羟色胺受体 2A 激动剂诱导的黑色素生成。然而,HTR2A 调节黑色素生成的分子机制仍知之甚少。在这项研究中,使用培养的小鼠黑色素瘤细胞系 B16F10、人类皮肤和斑马鱼胚胎来阐明 HTR2A 在调节黑色素生成中的下游信号,并验证 HTR2A 在治疗与色素相关的皮肤疾病中的潜在应用。我们证明 HTR2A 拮抗剂(AT1015 和酮色林)减弱了 5-羟色胺在小鼠黑色素瘤细胞和斑马鱼胚胎中的黑色素生成诱导作用。HTR2A 的激动剂(DOI 和 TCB-2)增加了 B16F10 细胞、人类皮肤组织和斑马鱼胚胎中的黑色素合成和转移。此外,HTR2A 激动剂增加了与黑素体组织和黑素细胞树突相关的蛋白的表达,以促进黑素细胞迁移和黑素体运输。HTR2A 拮抗剂和斑马鱼的基因敲除(哺乳动物基因的同源物)也被用来阐明 HTR2A 介导 5-羟色胺和 DOI 调节黑色素生成。最后,通过对候选下游途径的小规模筛选,我们证明 HTR2A 通过激活 PKA/CREB 信号通路来介导其配体的黑色素生成诱导作用。在这项研究中,我们进一步证实 HTR2A 是调节黑素细胞功能的关键蛋白。同时,这项研究支持 HTR2A 可以被设计为药物靶点,用于开发治疗黑素细胞或黑色素生成异常的皮肤疾病的化学物质。

https://cdn.ncbi.nlm.nih.gov/pmc/blobs/3be8/9245606/44e086238861/ijms-23-06111-g001.jpg

文献检索

告别复杂PubMed语法,用中文像聊天一样搜索,搜遍4000万医学文献。AI智能推荐,让科研检索更轻松。

立即免费搜索

文件翻译

保留排版,准确专业,支持PDF/Word/PPT等文件格式,支持 12+语言互译。

免费翻译文档

深度研究

AI帮你快速写综述,25分钟生成高质量综述,智能提取关键信息,辅助科研写作。

立即免费体验