Liu Yumei, Peng Qian, Liu Binjie, Wang Zhibin, Cao Qiong
Department of Radiology, Hunan Key Laboratory of Oral Health Research & Xiangya Stomatological Hospital & Xiangya School of Stomatology, Central South University, Changsha, China.
Department of Periodontology, Hunan Key Laboratory of Oral Health Research & Xiangya Stomatological Hospital & Xiangya School of Stomatology, Central South University, Changsha, China.
Front Surg. 2022 May 24;9:922649. doi: 10.3389/fsurg.2022.922649. eCollection 2022.
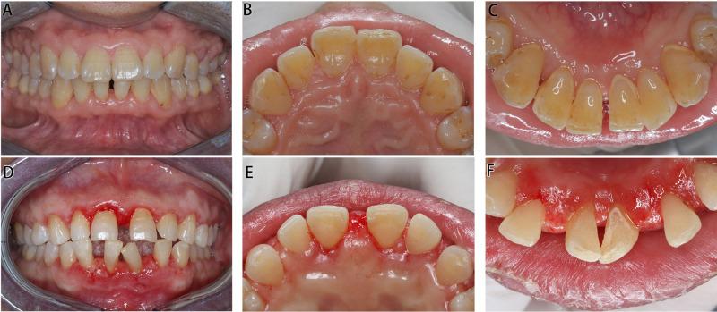
Drug-induced gingival overgrowth is common but neglected in patients with systemic disease medications until it seriously affects the quality of life.
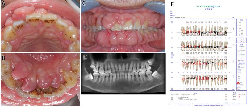
Initial periodontal treatment, combined with water laser surgery, was performed sequentially in two cases.
The therapeutic effect was good, and there was no recurrence along with good oral hygiene.
Water laser equipment surgery, as well as initial periodontal treatment, required that surgeons are trained specifically. A tool was devised for various oral diseases, and it was safer, more efficient and more comfortable than others.
药物性牙龈增生很常见,但在患有全身性疾病并服用相关药物的患者中常被忽视,直到它严重影响生活质量。
对两例患者依次进行了初始牙周治疗,并结合水激光手术。
治疗效果良好,口腔卫生保持良好,未出现复发情况。
水激光设备手术以及初始牙周治疗要求外科医生接受专门培训。已设计出一种适用于各种口腔疾病的工具,它比其他工具更安全、更高效且更舒适。