• 文献检索
  • 文档翻译
  • 深度研究
  • 学术资讯
  • Suppr Zotero 插件Zotero 插件
  • 邀请有礼
  • 套餐&价格
  • 历史记录
应用&插件
Suppr Zotero 插件Zotero 插件浏览器插件Mac 客户端Windows 客户端微信小程序
定价
高级版会员购买积分包购买API积分包
服务
文献检索文档翻译深度研究API 文档MCP 服务
关于我们
关于 Suppr公司介绍联系我们用户协议隐私条款
关注我们

Suppr 超能文献

核心技术专利:CN118964589B侵权必究
粤ICP备2023148730 号-1Suppr @ 2026

文献检索

告别复杂PubMed语法,用中文像聊天一样搜索,搜遍4000万医学文献。AI智能推荐,让科研检索更轻松。

立即免费搜索

文件翻译

保留排版,准确专业,支持PDF/Word/PPT等文件格式,支持 12+语言互译。

免费翻译文档

深度研究

AI帮你快速写综述,25分钟生成高质量综述,智能提取关键信息,辅助科研写作。

立即免费体验

异议者对苹果蜗牛免疫生物学的看法。

A Dissenters' View on AppleSnail Immunobiology.

机构信息

IHEM, CONICET, Universidad Nacional de Cuyo, Mendoza, Argentina.

Departamento de Biología, Facultad de Ciencias Exactas y Naturales, Universidad Nacional de Cuyo, Mendoza, Argentina.

出版信息

Front Immunol. 2022 May 26;13:879122. doi: 10.3389/fimmu.2022.879122. eCollection 2022.

DOI:10.3389/fimmu.2022.879122
PMID:35693764
原文链接:https://pmc.ncbi.nlm.nih.gov/articles/PMC9178244/
Abstract

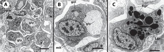
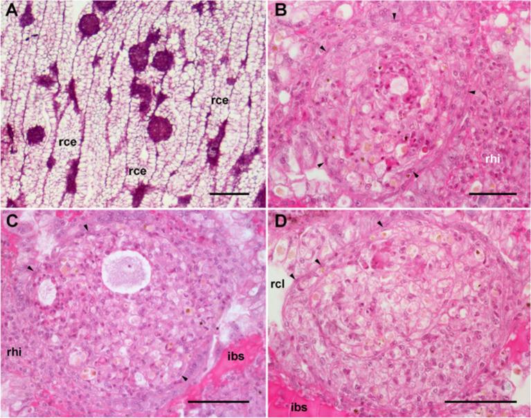
We stand as dissenters against the acceptance of scientific knowledge that has not been built on empirical data. With this in mind, this review synthesizes selected aspects of the immunobiology of gastropods and of apple snails (Ampullariidae) in particular, from morphological to molecular and "omics" studies. Our trip went through more than two centuries of history and was guided by an evo-devo hypothesis: that the gastropod immune system originally developed in the mesenchymal connective tissue of the reno-pericardial complex, and that in that tissue some cells differentiated into hematopoietically committed progenitor cells that integrate constitutive hemocyte aggregations in the reno-pericardial territory, whether concentrated in the pericardium or the kidney in a species-specific manner. However, some of them may be freed from those aggregations, circulate in the blood, and form distant contingent aggregations anywhere in the body, but always in response to intruders (i.e., pathogens or any other immune challenge). After that, we reviewed the incipient immunology of the Ampullariidae by critically revising the findings in and , the only ampullariid species that have been studied in this respect, and we attempted to identify the effectors and the processes in which they are involved. Particularly for , which is by far the most studied species, we ask which hemocytes are involved, in which tissues or organs are integrated, and what cellular reactions to intruders this species has in common with other animals. Furthermore, we wondered what humoral factors could also integrate its internal defense system. Among the cellular defenses, we give an outstanding position to the generation of hemocyte nodules, which seems to be an important process for these snails, serving the isolation and elimination of intruders. Finally, we discuss hematopoiesis in apple snails. There have been contrasting views about some of these aspects, but we envision a hematopoietic system centered in the constitutive hemocyte islets in the ampullariid kidney.

摘要

我们反对接受没有基于经验数据的科学知识。有鉴于此,本综述综合了腹足动物(尤其是苹果蜗牛)的免疫生物学的几个方面,从形态学到分子和“组学”研究。我们的研究之旅跨越了两个多世纪的历史,受到一个进化发育假说的指导:即腹足动物免疫系统最初是在肾心包复合体的间质结缔组织中发展起来的,在该组织中,一些细胞分化为造血祖细胞,这些祖细胞将组成性血细胞聚集整合到肾心包区域,无论是集中在心包还是肾脏,这都是物种特异性的。然而,其中一些细胞可能会从这些聚集物中释放出来,在血液中循环,并在身体的任何部位形成远处的临时聚集物,但总是对入侵者(即病原体或任何其他免疫挑战)作出反应。之后,我们通过批判性地回顾和中发现的结果,对苹果蜗牛的初级免疫学进行了综述,这是唯一在这方面被研究过的苹果蜗牛物种,并试图确定其效应物及其所涉及的过程。特别是对于,它是迄今为止研究最多的物种,我们询问哪些血细胞参与其中,在哪些组织或器官中整合,以及该物种与其他动物有哪些共同的针对入侵者的细胞反应。此外,我们想知道哪些体液因素也可以整合到其内部防御系统中。在细胞防御中,我们给予血细胞结节的产生以突出地位,这似乎是这些蜗牛的一个重要过程,用于隔离和消除入侵者。最后,我们讨论了苹果蜗牛的造血作用。在这些方面存在一些相反的观点,但我们设想一个以苹果蜗牛肾脏中组成性血细胞岛为中心的造血系统。

https://cdn.ncbi.nlm.nih.gov/pmc/blobs/e1d8/9178244/6c17ae53222b/fimmu-13-879122-g012.jpg
https://cdn.ncbi.nlm.nih.gov/pmc/blobs/e1d8/9178244/688909f2f858/fimmu-13-879122-g001.jpg
https://cdn.ncbi.nlm.nih.gov/pmc/blobs/e1d8/9178244/23b4520b8f53/fimmu-13-879122-g002.jpg
https://cdn.ncbi.nlm.nih.gov/pmc/blobs/e1d8/9178244/1afd955ed2a7/fimmu-13-879122-g003.jpg
https://cdn.ncbi.nlm.nih.gov/pmc/blobs/e1d8/9178244/0aad5920ffd5/fimmu-13-879122-g004.jpg
https://cdn.ncbi.nlm.nih.gov/pmc/blobs/e1d8/9178244/bd7116088387/fimmu-13-879122-g005.jpg
https://cdn.ncbi.nlm.nih.gov/pmc/blobs/e1d8/9178244/e6c21ec5cb52/fimmu-13-879122-g006.jpg
https://cdn.ncbi.nlm.nih.gov/pmc/blobs/e1d8/9178244/c5d632d7581b/fimmu-13-879122-g007.jpg
https://cdn.ncbi.nlm.nih.gov/pmc/blobs/e1d8/9178244/b70ef0935e5e/fimmu-13-879122-g008.jpg
https://cdn.ncbi.nlm.nih.gov/pmc/blobs/e1d8/9178244/cbe50852780f/fimmu-13-879122-g009.jpg
https://cdn.ncbi.nlm.nih.gov/pmc/blobs/e1d8/9178244/65d20c4fd956/fimmu-13-879122-g010.jpg
https://cdn.ncbi.nlm.nih.gov/pmc/blobs/e1d8/9178244/8e32d86f4855/fimmu-13-879122-g011.jpg
https://cdn.ncbi.nlm.nih.gov/pmc/blobs/e1d8/9178244/6c17ae53222b/fimmu-13-879122-g012.jpg
https://cdn.ncbi.nlm.nih.gov/pmc/blobs/e1d8/9178244/688909f2f858/fimmu-13-879122-g001.jpg
https://cdn.ncbi.nlm.nih.gov/pmc/blobs/e1d8/9178244/23b4520b8f53/fimmu-13-879122-g002.jpg
https://cdn.ncbi.nlm.nih.gov/pmc/blobs/e1d8/9178244/1afd955ed2a7/fimmu-13-879122-g003.jpg
https://cdn.ncbi.nlm.nih.gov/pmc/blobs/e1d8/9178244/0aad5920ffd5/fimmu-13-879122-g004.jpg
https://cdn.ncbi.nlm.nih.gov/pmc/blobs/e1d8/9178244/bd7116088387/fimmu-13-879122-g005.jpg
https://cdn.ncbi.nlm.nih.gov/pmc/blobs/e1d8/9178244/e6c21ec5cb52/fimmu-13-879122-g006.jpg
https://cdn.ncbi.nlm.nih.gov/pmc/blobs/e1d8/9178244/c5d632d7581b/fimmu-13-879122-g007.jpg
https://cdn.ncbi.nlm.nih.gov/pmc/blobs/e1d8/9178244/b70ef0935e5e/fimmu-13-879122-g008.jpg
https://cdn.ncbi.nlm.nih.gov/pmc/blobs/e1d8/9178244/cbe50852780f/fimmu-13-879122-g009.jpg
https://cdn.ncbi.nlm.nih.gov/pmc/blobs/e1d8/9178244/65d20c4fd956/fimmu-13-879122-g010.jpg
https://cdn.ncbi.nlm.nih.gov/pmc/blobs/e1d8/9178244/8e32d86f4855/fimmu-13-879122-g011.jpg
https://cdn.ncbi.nlm.nih.gov/pmc/blobs/e1d8/9178244/6c17ae53222b/fimmu-13-879122-g012.jpg

相似文献

1
A Dissenters' View on AppleSnail Immunobiology.异议者对苹果蜗牛免疫生物学的看法。
Front Immunol. 2022 May 26;13:879122. doi: 10.3389/fimmu.2022.879122. eCollection 2022.
2
Both quiescent and proliferating cells circulate in the blood of the invasive apple snail Pomacea canaliculata.静止期和增殖期细胞都在入侵性苹果螺 Pomacea canaliculata 的血液中循环。
Fish Shellfish Immunol. 2020 Dec;107(Pt A):95-103. doi: 10.1016/j.fsi.2020.09.026. Epub 2020 Sep 20.
3
A prokineticin-like protein responds to immune challenges in the gastropod pest Pomacea canaliculata.一种类促胃动素蛋白对福寿螺这种腹足类害虫的免疫挑战作出反应。
Dev Comp Immunol. 2017 Jul;72:37-43. doi: 10.1016/j.dci.2017.02.001. Epub 2017 Feb 3.
4
Pathogenesis of an experimental mycobacteriosis in an apple snail.苹果蜗牛实验性分枝杆菌病的发病机制。
Front Immunol. 2023 Oct 9;14:1253099. doi: 10.3389/fimmu.2023.1253099. eCollection 2023.
5
Assessment of the kidney and lung as immune barriers and hematopoietic sites in the invasive apple snail .福寿螺中肾脏和肺作为免疫屏障及造血部位的评估
PeerJ. 2018 Oct 12;6:e5789. doi: 10.7717/peerj.5789. eCollection 2018.
6
Effects of repeated hemolymph withdrawals on the hemocyte populations and hematopoiesis in Pomacea canaliculata.多次抽取血淋巴对福寿螺血细胞群体和血细胞生成的影响。
Fish Shellfish Immunol. 2014 May;38(1):56-64. doi: 10.1016/j.fsi.2014.03.003. Epub 2014 Mar 15.
7
Immune Defenses of the Invasive Apple Snail Pomacea canaliculata (Caenogastropoda, Ampullariidae): Phagocytic Hemocytes in the Circulation and the Kidney.入侵福寿螺(Caenogastropoda,Ampullariidae)的免疫防御:循环系统和肾脏中的吞噬性血细胞
PLoS One. 2015 Apr 20;10(4):e0123964. doi: 10.1371/journal.pone.0123964. eCollection 2015.
8
Comparative Characterization of the Complete Mitochondrial Genomes of the Three Apple Snails (Gastropoda: Ampullariidae) and the Phylogenetic Analyses.三种苹果螺(腹足纲:瓶螺科)的完整线粒体基因组的比较特征分析及系统发育分析。
Int J Mol Sci. 2018 Nov 19;19(11):3646. doi: 10.3390/ijms19113646.
9
Genome-wide identification and characterization of the HSP gene superfamily in apple snails (Gastropoda: Ampullariidae) and expression analysis under temperature stress.苹果螺(腹足纲:瓶螺科)中热休克蛋白(HSP)基因超家族的全基因组鉴定与特征分析以及温度胁迫下的表达分析
Int J Biol Macromol. 2022 Dec 1;222(Pt B):2545-2555. doi: 10.1016/j.ijbiomac.2022.10.038. Epub 2022 Oct 10.
10
Caution ahead: reassessing the functional morphology of the respiratory organs in amphibious snails.前方注意:重新评估两栖蜗牛呼吸器官的功能形态
PeerJ. 2021 Sep 20;9:e12161. doi: 10.7717/peerj.12161. eCollection 2021.

引用本文的文献

1
SlugAtlas, a histological and 3D online resource of the land slugs Deroceras laeve and Ambigolimax valentianus.陆地蜗牛 Deroceras laeve 和 Ambigolimax valentianus 的组织学和 3D 在线资源 SlugAtlas。
PLoS One. 2024 Oct 22;19(10):e0312407. doi: 10.1371/journal.pone.0312407. eCollection 2024.
2
Pathogenesis of an experimental mycobacteriosis in an apple snail.苹果蜗牛实验性分枝杆菌病的发病机制。
Front Immunol. 2023 Oct 9;14:1253099. doi: 10.3389/fimmu.2023.1253099. eCollection 2023.
3
Clodronate Liposome-Mediated Phagocytic Hemocyte Depletion Affects the Regeneration of the Cephalic Tentacle of the Invasive Snail, .

本文引用的文献

1
Ampullar Proteome: A Nematode-Based Bio-Pesticide Induces Changes in Metabolic and Stress-Related Pathways.壶腹蛋白质组:一种基于线虫的生物杀虫剂诱导代谢和应激相关途径的变化。
Biology (Basel). 2021 Oct 15;10(10):1049. doi: 10.3390/biology10101049.
2
Image3C, a multimodal image-based and label-independent integrative method for single-cell analysis.Image3C,一种基于多模态图像且与标签无关的单细胞分析综合方法。
Elife. 2021 Jul 21;10:e65372. doi: 10.7554/eLife.65372.
3
Morphological grounds for the obligate aerial respiration of an aquatic snail: functional and evolutionary perspectives.
氯膦酸盐脂质体介导的吞噬血细胞耗竭影响入侵蜗牛头部触手的再生
Biology (Basel). 2023 Jul 12;12(7):992. doi: 10.3390/biology12070992.
4
Short-Term Estivation and Hibernation Induce Changes in the Blood and Circulating Hemocytes of the Apple Snail .短期夏眠和冬眠会引起苹果螺血液及循环血细胞的变化。
Metabolites. 2023 Feb 16;13(2):289. doi: 10.3390/metabo13020289.
水生蜗牛专性空气呼吸的形态学依据:功能与进化视角
PeerJ. 2021 Apr 14;9:e10763. doi: 10.7717/peerj.10763. eCollection 2021.
4
New Antibacterial Peptides from the Freshwater Mollusk (Pilsbry, 1927).淡水软体动物(皮尔斯布里,1927 年)中的新抗菌肽。
Biomolecules. 2020 Oct 23;10(11):1473. doi: 10.3390/biom10111473.
5
Both quiescent and proliferating cells circulate in the blood of the invasive apple snail Pomacea canaliculata.静止期和增殖期细胞都在入侵性苹果螺 Pomacea canaliculata 的血液中循环。
Fish Shellfish Immunol. 2020 Dec;107(Pt A):95-103. doi: 10.1016/j.fsi.2020.09.026. Epub 2020 Sep 20.
6
Functional Insights From the Evolutionary Diversification of Big Defensins.从大防御素的进化多样化中获得的功能见解。
Front Immunol. 2020 Apr 30;11:758. doi: 10.3389/fimmu.2020.00758. eCollection 2020.
7
Hemocyanin of the caenogastropod Pomacea canaliculata exhibits evolutionary differences among gastropod clades.方格玛瑙螺的血蓝蛋白在腹足纲各目间表现出进化差异。
PLoS One. 2020 Jan 30;15(1):e0228325. doi: 10.1371/journal.pone.0228325. eCollection 2020.
8
A New Species of Apple Snail in the Genus (Gastropoda: Caenogastropoda: Ampullariidae).苹果螺属(腹足纲:新腹足目:瓶螺科)的一个新物种。
Zool Stud. 2019 Jul 2;58:e13. doi: 10.6620/ZS.2019.58-13. eCollection 2019.
9
Functional and evolutionary perspectives on gill structures of an obligate air-breathing, aquatic snail.专性水生呼吸空气蜗牛鳃结构的功能与进化视角
PeerJ. 2019 Jul 31;7:e7342. doi: 10.7717/peerj.7342. eCollection 2019.
10
Signatures of Divergence, Invasiveness, and Terrestrialization Revealed by Four Apple Snail Genomes.四个苹果螺基因组揭示的分歧、入侵和陆生化特征。
Mol Biol Evol. 2019 Jul 1;36(7):1507-1520. doi: 10.1093/molbev/msz084.