Suppr超能文献

用于肝细胞癌成像的对比剂:价值与进展

Contrast Agents for Hepatocellular Carcinoma Imaging: Value and Progression.

作者信息

Zhang Ying, Numata Kazushi, Du Yuewu, Maeda Shin

机构信息

Department of Medical Ultrasound, Ningbo Medical Centre Li Huili Hospital, Ningbo, China.

Gastroenterological Center, Yokohama City University Medical Center, Yokohama, Japan.

出版信息

Front Oncol. 2022 Jun 2;12:921667. doi: 10.3389/fonc.2022.921667. eCollection 2022.

Abstract

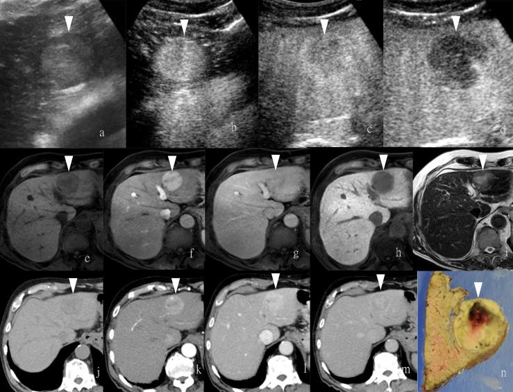
Hepatocellular carcinoma (HCC) has the third-highest incidence in cancers and has become one of the leading threats to cancer death. With the research on the etiological reasons for cirrhosis and HCC, early diagnosis has been placed great hope to form a favorable prognosis. Non-invasive medical imaging, including the associated contrast media (CM)-based enhancement scan, is taking charge of early diagnosis as mainstream. Meanwhile, it is notable that various CM with different advantages are playing an important role in the different imaging modalities, or even combined modalities. For both physicians and radiologists, it is necessary to know more about the proper imaging approach, along with the characteristic CM, for HCC diagnosis and treatment. Therefore, a summarized navigating map of CM commonly used in the clinic, along with ongoing work of agent research and potential seeded agents in the future, could be a needed practicable aid for HCC diagnosis and prognosis.

摘要

肝细胞癌(HCC)在癌症中的发病率位居第三,已成为癌症死亡的主要威胁之一。随着对肝硬化和HCC病因的研究,早期诊断被寄予厚望以形成良好的预后。包括基于相关造影剂(CM)的增强扫描在内的非侵入性医学成像正作为主流负责早期诊断。与此同时,值得注意的是,具有不同优势的各种CM在不同的成像模式甚至联合模式中发挥着重要作用。对于医生和放射科医生来说,有必要更多地了解用于HCC诊断和治疗的合适成像方法以及CM的特性。因此,一份总结临床常用CM的导航图,以及正在进行的造影剂研究工作和未来潜在的新型造影剂,可能是HCC诊断和预后所需的实用辅助工具。

https://cdn.ncbi.nlm.nih.gov/pmc/blobs/8ebe/9200965/f5842aee1597/fonc-12-921667-g001.jpg

文献AI研究员

20分钟写一篇综述,助力文献阅读效率提升50倍。

立即体验

用中文搜PubMed

大模型驱动的PubMed中文搜索引擎

马上搜索

文档翻译

学术文献翻译模型,支持多种主流文档格式。

立即体验