Angiogenesis & Metabolism Laboratory, Max Planck Institute for Heart and Lung Research, Bad Nauheim, Germany.
Berlin Institute of Health at Charité-Universitätsmedizin Berlin, Berlin, Germany.
Nat Metab. 2022 Jun;4(6):672-682. doi: 10.1038/s42255-022-00584-y. Epub 2022 Jun 20.
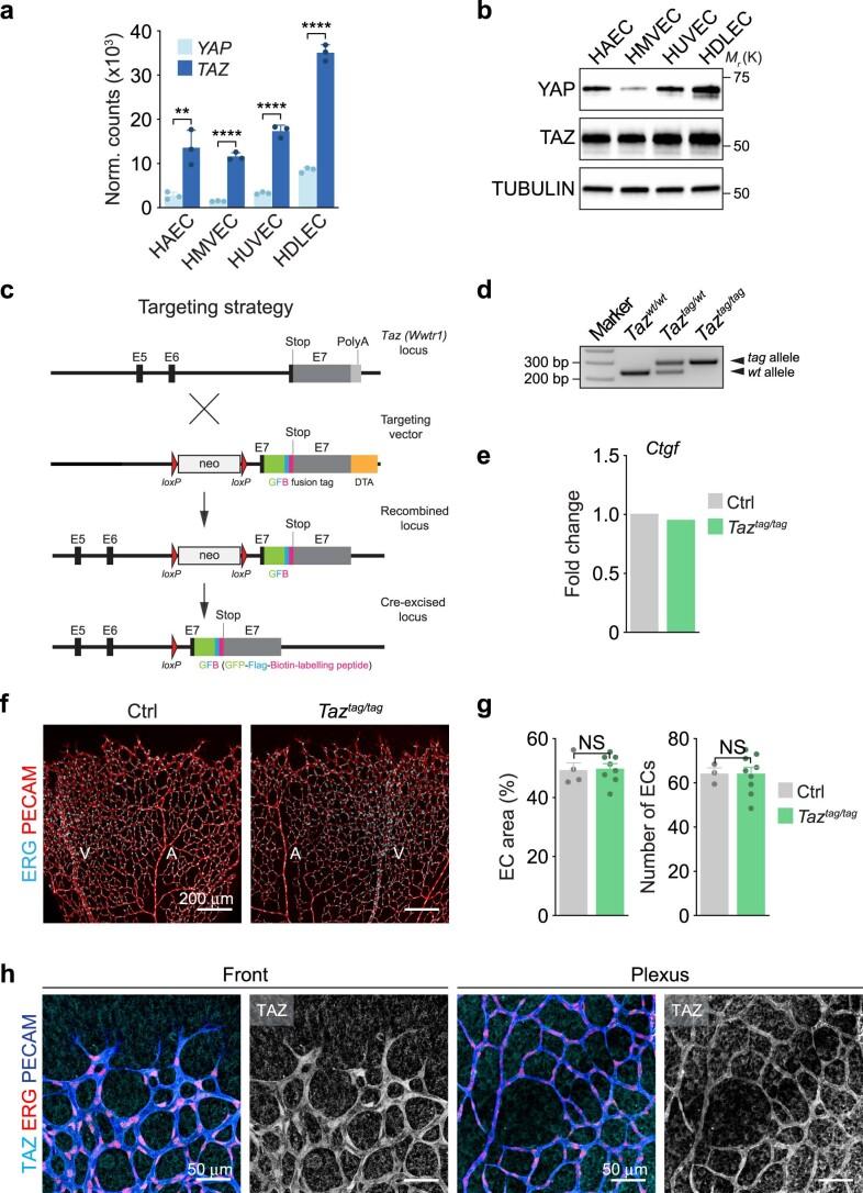
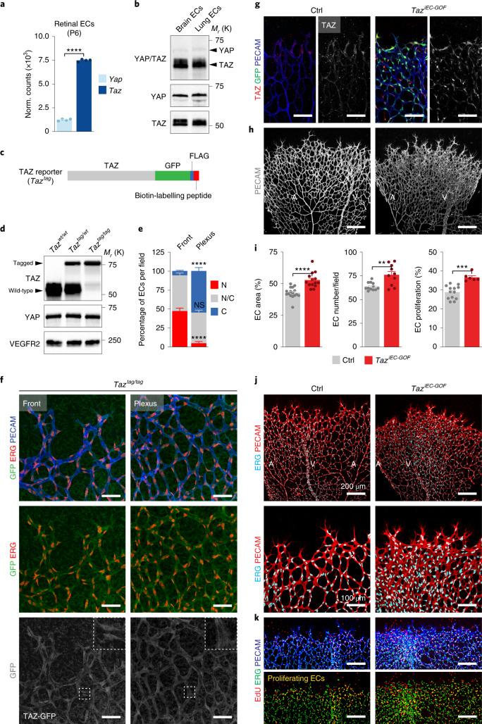
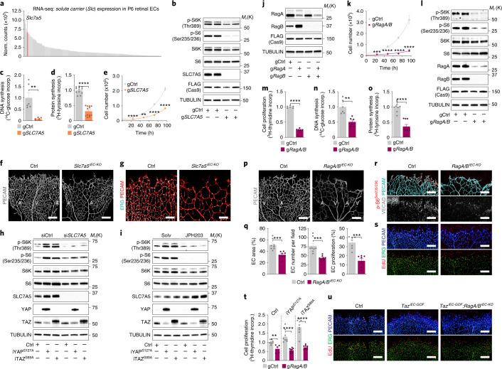
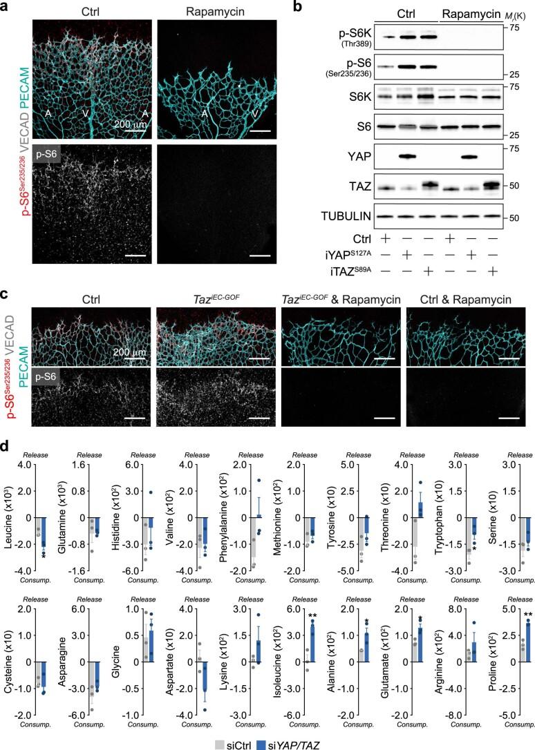
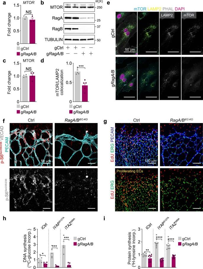
Angiogenesis, the process by which endothelial cells (ECs) form new blood vessels from existing ones, is intimately linked to the tissue's metabolic milieu and often occurs at nutrient-deficient sites. However, ECs rely on sufficient metabolic resources to support growth and proliferation. How endothelial nutrient acquisition and usage are regulated is unknown. Here we show that these processes are instructed by Yes-associated protein 1 (YAP)/WW domain-containing transcription regulator 1 (WWTR1/TAZ)-transcriptional enhanced associate domain (TEAD): a transcriptional module whose function is highly responsive to changes in the tissue environment. ECs lacking YAP/TAZ or their transcriptional partners, TEAD1, 2 and 4 fail to divide, resulting in stunted vascular growth in mice. Conversely, activation of TAZ, the more abundant paralogue in ECs, boosts proliferation, leading to vascular hyperplasia. We find that YAP/TAZ promote angiogenesis by fuelling nutrient-dependent mTORC1 signalling. By orchestrating the transcription of a repertoire of cell-surface transporters, including the large neutral amino acid transporter SLC7A5, YAP/TAZ-TEAD stimulate the import of amino acids and other essential nutrients, thereby enabling mTORC1 activation. Dissociating mTORC1 from these nutrient inputs-elicited by the loss of Rag GTPases-inhibits mTORC1 activity and prevents YAP/TAZ-dependent vascular growth. Together, these findings define a pivotal role for YAP/TAZ-TEAD in controlling endothelial mTORC1 and illustrate the essentiality of coordinated nutrient fluxes in the vasculature.
血管生成是指内皮细胞(ECs)从现有血管中形成新血管的过程,与组织的代谢环境密切相关,通常发生在营养缺乏的部位。然而,ECs 需要足够的代谢资源来支持生长和增殖。内皮细胞如何获取和利用营养物质尚不清楚。在这里,我们表明这些过程受到 Yes 相关蛋白 1(YAP)/WW 结构域包含转录调节剂 1(WWTR1/TAZ)-转录增强相关结构域(TEAD)的调节:这是一个转录模块,其功能对组织环境的变化高度敏感。缺乏 YAP/TAZ 或其转录伙伴 TEAD1、2 和 4 的 ECs 无法分裂,导致小鼠血管生长受阻。相反,ECs 中丰度更高的 TAZ 激活会促进增殖,导致血管过度增生。我们发现,YAP/TAZ 通过为依赖营养的 mTORC1 信号提供燃料来促进血管生成。通过协调细胞表面转运蛋白的转录,包括大中性氨基酸转运蛋白 SLC7A5,YAP/TAZ-TEAD 促进氨基酸和其他必需营养素的摄取,从而激活 mTORC1。将 mTORC1 与这些由 Rag GTPases 缺失引起的营养输入分离会抑制 mTORC1 活性并阻止 YAP/TAZ 依赖性血管生长。总之,这些发现定义了 YAP/TAZ-TEAD 在控制内皮细胞 mTORC1 中的关键作用,并说明了协调营养通量在脉管系统中的重要性。