Suppr超能文献

尿液细胞学检查:在犬类尿路感染中的潜在作用

Urinary Cytology: Potential Role in Canine Urinary Tract Infections.

作者信息

Lippi Ilaria, Habermaass Verena, Gori Eleonora, Ebani Valentina Virginia, Pierini Alessio, Marchetti Veronica

机构信息

Department of Veterinary Sciences, Veterinary Teaching Hospital "Mario Modenato", University of Pisa, 56122 Pisa, Italy.

出版信息

Vet Sci. 2022 Jun 20;9(6):304. doi: 10.3390/vetsci9060304.

Abstract

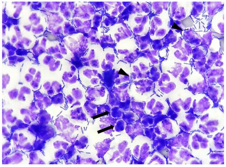
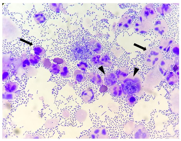
The diagnosis of urinary tract infections (UTIs) requires a concomitant evaluation of clinical signs and urine culture, which is of fundamental to start an appropriate antibiotic treatment. Several factors, such as subclinical bacteriuria or pre-analytical errors, may make the interpretation of urine culture difficult. The aim of the study was to evaluate the association between the finding of neutrophils and bacteria in unstained and stained canine urine sediment and the presence of clinical signs and positive urine culture. Urine samples from 35 dogs with clinical signs of UTI and 55 asymptomatic dogs with risk factors for UTI were prospectively collected by cystocentesis, divided into three aliquots, and submitted for: (1) physical and chemical Dipstick analysis and unstained urinary sediment (casts, crystals, bacteria, leucocytes, cells, parasites); (2) stained urinary sediment (extra/intracellular bacteria, degenerated and non-degenerated neutrophils); (3) qualitative and quantitative urine culture and antimicrobial sensitivity-test. The association between unstained and stained findings of urinary sediment and urine culture was tested. Sensibility, specificity, and positive/negative predictive values in diagnosing positive urine cultures of bacteria at unstained and stained evaluation were compared. Both wet-mount bacteriuria and the cytological presence of intracellular and extracellular bacteria, neutrophils, and degenerated neutrophils were successively associated with positive urine culture (p < 0.001). The presence of intracellular bacteria was the only independent predictor of positive urine culture. Total bacterial count did not differ significantly between symptomatic and asymptomatic dogs. Detection of extracellular and intracellular bacteriuria at stained urinary sediment significantly improved the sensibility of predicting positive urine culture. Cytologic evaluation of urinary sediment may be helpful in detecting signs of active inflammation, thus enhancing the clinical relevance of a positive urine culture.

摘要

尿路感染(UTIs)的诊断需要同时评估临床症状和尿液培养结果,这对于开始适当的抗生素治疗至关重要。一些因素,如亚临床菌尿或分析前误差,可能会使尿液培养结果的解读变得困难。本研究的目的是评估未染色和染色的犬尿液沉渣中中性粒细胞和细菌的发现与临床症状及尿液培养阳性之间的关联。前瞻性收集了35只具有UTI临床症状的犬和55只具有UTI危险因素的无症状犬的尿液样本,通过膀胱穿刺术采集,分成三份,分别进行:(1)物理和化学试条分析以及未染色的尿沉渣检查(管型、晶体、细菌、白细胞、细胞、寄生虫);(2)染色的尿沉渣检查(细胞外/内细菌、变性和未变性的中性粒细胞);(3)定性和定量尿液培养以及抗菌药敏试验。检测了尿沉渣未染色和染色结果与尿液培养之间的关联。比较了在未染色和染色评估中诊断细菌尿液培养阳性时的敏感性、特异性以及阳性/阴性预测值。湿片法检测菌尿以及细胞内和细胞外细菌、中性粒细胞和变性中性粒细胞的细胞学存在均与尿液培养阳性依次相关(p < 0.001)。细胞内细菌的存在是尿液培养阳性的唯一独立预测因素。有症状和无症状犬之间的细菌总数没有显著差异。在染色的尿沉渣中检测细胞外和细胞内菌尿显著提高了预测尿液培养阳性的敏感性。尿沉渣的细胞学评估可能有助于检测活动性炎症迹象,从而增强尿液培养阳性的临床相关性。

https://cdn.ncbi.nlm.nih.gov/pmc/blobs/98ac/9228025/63cf02b10a7b/vetsci-09-00304-g001.jpg

文献AI研究员

20分钟写一篇综述,助力文献阅读效率提升50倍。

立即体验

用中文搜PubMed

大模型驱动的PubMed中文搜索引擎

马上搜索

文档翻译

学术文献翻译模型,支持多种主流文档格式。

立即体验