Suppr超能文献

埃及果蝠()感染人畜共患病副黏病毒索萨加病毒后的诱导病变、组织嗜性和宿主反应的组织病理学和免疫组织化学评估。

Histopathologic and Immunohistochemical Evaluation of Induced Lesions, Tissue Tropism and Host Responses following Experimental Infection of Egyptian Rousette Bats () with the Zoonotic Paramyxovirus, Sosuga Virus.

机构信息

Department of Pathology, College of Veterinary Medicine, University of Georgia, Athens, GA 30602, USA.

Viral Special Pathogens Branch, Centers for Disease Control and Prevention, Atlanta, GA 30333, USA.

出版信息

Viruses. 2022 Jun 12;14(6):1278. doi: 10.3390/v14061278.

Abstract

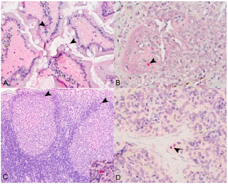
Ecological and experimental infection studies have identified Egyptian rousette bats (ERBs; : family Pteropodidae) as a reservoir host for the zoonotic rubula-like paramyxovirus Sosuga virus (SOSV). A serial sacrifice study of colony-bred ERBs inoculated with wild-type, recombinant SOSV identified small intestines and salivary gland as major sites of viral replication. In the current study, archived formalin-fixed paraffin-embedded (FFPE) tissues from the serial sacrifice study were analyzed in depth-histologically and immunohistochemically, for SOSV, mononuclear phagocytes and T cells. Histopathologic lesion scores increased over time and viral antigen persisted in a subset of tissues, indicating ongoing host responses and underscoring the possibility of chronic infection. Despite the presence of SOSV NP antigen and villus ulcerations in the small intestines, there were only mild increases in mononuclear phagocytes and T cells, a host response aligned with disease tolerance. In contrast, there was a statistically significant, robust and targeted mononuclear phagocyte cell responses in the salivary glands at 21 DPI, where viral antigen was sparse. These findings may have broader implications for chiropteran-paramyxovirus interactions, as bats are hypothesized to be the ancestral hosts of this diverse virus family and for ERB immunology in general, as this species is also the reservoir host for the marburgviruses Marburg virus (MARV) and Ravn virus (RAVV) (family ).

摘要

生态和实验感染研究已经确定埃及果蝠(ERB;翼手目 Pteropodidae 科)是一种人畜共患的类 rubulavirus 索苏加病毒(SOSV)的储存宿主。对接种野生型重组 SOSV 的圈养 ERB 的系列牺牲研究表明,小肠和唾液腺是病毒复制的主要部位。在当前的研究中,对系列牺牲研究中存档的福尔马林固定石蜡包埋(FFPE)组织进行了深入的组织学和免疫组织化学分析,以检测 SOSV、单核吞噬细胞和 T 细胞。随着时间的推移,组织病理学病变评分增加,病毒抗原在一部分组织中持续存在,表明持续的宿主反应,并强调了慢性感染的可能性。尽管小肠中存在 SOSV NP 抗原和绒毛溃疡,但单核吞噬细胞和 T 细胞仅轻度增加,这与疾病耐受相一致的宿主反应。相比之下,在 21 DPI 时,唾液腺中存在统计学上显著、强大和靶向的单核吞噬细胞反应,而此时病毒抗原稀少。这些发现可能对蝙蝠和副粘病毒的相互作用具有更广泛的意义,因为蝙蝠被认为是这个多样化病毒家族的祖先宿主,而对于 ERB 免疫学来说,这种物种也是马尔堡病毒(MARV)和 Ravn 病毒(RAVV)(家族)的储存宿主。

https://cdn.ncbi.nlm.nih.gov/pmc/blobs/3553/9227259/9c7896c75809/viruses-14-01278-g001.jpg

文献检索

告别复杂PubMed语法,用中文像聊天一样搜索,搜遍4000万医学文献。AI智能推荐,让科研检索更轻松。

立即免费搜索

文件翻译

保留排版,准确专业,支持PDF/Word/PPT等文件格式,支持 12+语言互译。

免费翻译文档

深度研究

AI帮你快速写综述,25分钟生成高质量综述,智能提取关键信息,辅助科研写作。

立即免费体验