• 文献检索
  • 文档翻译
  • 深度研究
  • 学术资讯
  • Suppr Zotero 插件Zotero 插件
  • 邀请有礼
  • 套餐&价格
  • 历史记录
应用&插件
Suppr Zotero 插件Zotero 插件浏览器插件Mac 客户端Windows 客户端微信小程序
定价
高级版会员购买积分包购买API积分包
服务
文献检索文档翻译深度研究API 文档MCP 服务
关于我们
关于 Suppr公司介绍联系我们用户协议隐私条款
关注我们

Suppr 超能文献

核心技术专利:CN118964589B侵权必究
粤ICP备2023148730 号-1Suppr @ 2026

文献检索

告别复杂PubMed语法,用中文像聊天一样搜索,搜遍4000万医学文献。AI智能推荐,让科研检索更轻松。

立即免费搜索

文件翻译

保留排版,准确专业,支持PDF/Word/PPT等文件格式,支持 12+语言互译。

免费翻译文档

深度研究

AI帮你快速写综述,25分钟生成高质量综述,智能提取关键信息,辅助科研写作。

立即免费体验

埃及果蝠(Rousettus aegyptiacus)实验感染 Sosuga 病毒表明了一种蝙蝠源性人致病性副黏病毒的潜在传播途径。

Experimental infection of Egyptian rousette bats (Rousettus aegyptiacus) with Sosuga virus demonstrates potential transmission routes for a bat-borne human pathogenic paramyxovirus.

机构信息

Viral Special Pathogens Branch, Centers for Disease Control and Prevention, Atlanta, Georgia, United States of America.

Emory University, Yerkes National Primate Research Center, Atlanta, Georgia, United States of America.

出版信息

PLoS Negl Trop Dis. 2020 Mar 2;14(3):e0008092. doi: 10.1371/journal.pntd.0008092. eCollection 2020 Mar.

DOI:10.1371/journal.pntd.0008092
PMID:32119657
原文链接:https://pmc.ncbi.nlm.nih.gov/articles/PMC7067492/
Abstract

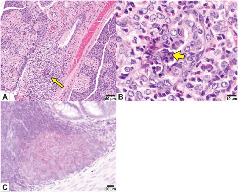
In August 2012, a wildlife biologist became severely ill after becoming infected with a novel paramyxovirus, termed Sosuga virus. In the weeks prior to illness, the patient worked with multiple species of bats in South Sudan and Uganda, including Egyptian rousette bats (ERBs: Rousettus aegyptiacus). A follow-up study of Ugandan bats found multiple wild-caught ERBs to test positive for SOSV in liver and spleen. To determine the competency of these bats to act as a natural reservoir host for SOSV capable of infecting humans, captive-bred ERBs were inoculated with a recombinant SOSV, representative of the patient's virus sequence. The bats were inoculated subcutaneously, sampled daily (blood, urine, fecal, oral and rectal swabs) and serially euthanized at predetermined time points. All inoculated bats became infected with SOSV in multiple tissues and blood, urine, oral, rectal and fecal swabs tested positive for SOSV RNA. No evidence of overt morbidity or mortality were observed in infected ERBs, although histopathological examination showed subclinical disease in a subset of tissues. Importantly, SOSV was isolated from oral/rectal swabs, urine and feces, demonstrating shedding of infectious virus concomitant with systemic infection. All bats euthanized at 21 days post-inoculation (DPI) seroconverted to SOSV between 16 and 21 DPI. These results are consistent with ERBs being competent reservoir hosts for SOSV with spillover potential to humans.

摘要

2012 年 8 月,一名野生动物生物学家在感染了一种新型副粘病毒后,病情严重,该病毒被称为 Sosuga 病毒。在发病前的几周里,该患者在南苏丹和乌干达与多种蝙蝠接触,包括埃及果蝠(Rousettus aegyptiacus)。对乌干达蝙蝠的后续研究发现,多只野生捕获的埃及果蝠的肝脏和脾脏中检测到 SOSV 呈阳性。为了确定这些蝙蝠是否有能力成为能够感染人类的 Sosuga 病毒的自然储存宿主,对人工饲养的埃及果蝠进行了接种,接种的是代表患者病毒序列的重组 Sosuga 病毒。蝙蝠通过皮下接种,每天取样(血液、尿液、粪便、口腔和直肠拭子),并在预定时间点连续安乐死。所有接种的蝙蝠在多个组织和血液中都感染了 Sosuga 病毒,血液、尿液、口腔、直肠和粪便拭子均检测到 Sosuga 病毒 RNA 呈阳性。尽管组织病理学检查显示部分组织存在亚临床疾病,但感染的埃及果蝠没有明显的发病或死亡迹象。重要的是,从口腔/直肠拭子、尿液和粪便中分离出了 Sosuga 病毒,证明了传染性病毒的排出与全身感染同时发生。所有在接种后 21 天(DPI)安乐死的蝙蝠在 16 至 21 DPI 之间血清转化为 Sosuga 病毒。这些结果表明,埃及果蝠是 Sosuga 病毒的有效储存宿主,具有向人类溢出的潜力。

https://cdn.ncbi.nlm.nih.gov/pmc/blobs/d49e/7067492/5ff6212efcfe/pntd.0008092.g006.jpg
https://cdn.ncbi.nlm.nih.gov/pmc/blobs/d49e/7067492/e1f2e0f6fc7a/pntd.0008092.g001.jpg
https://cdn.ncbi.nlm.nih.gov/pmc/blobs/d49e/7067492/539eabef8bae/pntd.0008092.g002.jpg
https://cdn.ncbi.nlm.nih.gov/pmc/blobs/d49e/7067492/8199db0c1483/pntd.0008092.g003.jpg
https://cdn.ncbi.nlm.nih.gov/pmc/blobs/d49e/7067492/5da136830ab3/pntd.0008092.g004.jpg
https://cdn.ncbi.nlm.nih.gov/pmc/blobs/d49e/7067492/73a46df6cebd/pntd.0008092.g005.jpg
https://cdn.ncbi.nlm.nih.gov/pmc/blobs/d49e/7067492/5ff6212efcfe/pntd.0008092.g006.jpg
https://cdn.ncbi.nlm.nih.gov/pmc/blobs/d49e/7067492/e1f2e0f6fc7a/pntd.0008092.g001.jpg
https://cdn.ncbi.nlm.nih.gov/pmc/blobs/d49e/7067492/539eabef8bae/pntd.0008092.g002.jpg
https://cdn.ncbi.nlm.nih.gov/pmc/blobs/d49e/7067492/8199db0c1483/pntd.0008092.g003.jpg
https://cdn.ncbi.nlm.nih.gov/pmc/blobs/d49e/7067492/5da136830ab3/pntd.0008092.g004.jpg
https://cdn.ncbi.nlm.nih.gov/pmc/blobs/d49e/7067492/73a46df6cebd/pntd.0008092.g005.jpg
https://cdn.ncbi.nlm.nih.gov/pmc/blobs/d49e/7067492/5ff6212efcfe/pntd.0008092.g006.jpg

相似文献

1
Experimental infection of Egyptian rousette bats (Rousettus aegyptiacus) with Sosuga virus demonstrates potential transmission routes for a bat-borne human pathogenic paramyxovirus.埃及果蝠(Rousettus aegyptiacus)实验感染 Sosuga 病毒表明了一种蝙蝠源性人致病性副黏病毒的潜在传播途径。
PLoS Negl Trop Dis. 2020 Mar 2;14(3):e0008092. doi: 10.1371/journal.pntd.0008092. eCollection 2020 Mar.
2
Sosuga Virus Detected in Egyptian Rousette Bats () in Sierra Leone.在塞拉利昂的埃及果蝠()中检测到索苏加病毒。
Viruses. 2024 Apr 22;16(4):648. doi: 10.3390/v16040648.
3
Histopathologic and Immunohistochemical Evaluation of Induced Lesions, Tissue Tropism and Host Responses following Experimental Infection of Egyptian Rousette Bats () with the Zoonotic Paramyxovirus, Sosuga Virus.埃及果蝠()感染人畜共患病副黏病毒索萨加病毒后的诱导病变、组织嗜性和宿主反应的组织病理学和免疫组织化学评估。
Viruses. 2022 Jun 12;14(6):1278. doi: 10.3390/v14061278.
4
A Recently Discovered Pathogenic Paramyxovirus, Sosuga Virus, is Present in Rousettus aegyptiacus Fruit Bats at Multiple Locations in Uganda.一种最近发现的致病性副粘病毒——索苏加病毒,在乌干达多个地点的埃及果蝠体内被发现。
J Wildl Dis. 2015 Jul;51(3):774-9. doi: 10.7589/2015-02-044. Epub 2015 Apr 28.
5
Clinical, Histopathologic, and Immunohistochemical Characterization of Experimental Marburg Virus Infection in A Natural Reservoir Host, the Egyptian Rousette Bat ().埃及果蝠()中实验性马尔堡病毒感染的临床、组织病理学和免疫组织化学特征。
Viruses. 2019 Mar 2;11(3):214. doi: 10.3390/v11030214.
6
Natural reservoir Rousettus aegyptiacus bat host model of orthonairovirus infection identifies potential zoonotic spillover mechanisms. Rousettus aegyptiacus 蝙蝠自然贮存宿主感染正呼肠孤病毒模型确定了潜在的人畜共患病溢出机制。
Sci Rep. 2022 Dec 3;12(1):20936. doi: 10.1038/s41598-022-24673-w.
7
Development of a reverse genetics system for Sosuga virus allows rapid screening of antiviral compounds.为 Sosuga 病毒开发反向遗传学系统可实现抗病毒化合物的快速筛选。
PLoS Negl Trop Dis. 2018 Mar 9;12(3):e0006326. doi: 10.1371/journal.pntd.0006326. eCollection 2018 Mar.
8
Experimental Inoculation of Egyptian Rousette Bats (Rousettus aegyptiacus) with Viruses of the Ebolavirus and Marburgvirus Genera.用埃博拉病毒属和马尔堡病毒属病毒对埃及果蝠(Rousettus aegyptiacus)进行实验性接种
Viruses. 2015 Jun 25;7(7):3420-42. doi: 10.3390/v7072779.
9
Attempted Transmission of Marburg Virus by Bat-Associated Fleas (Ischnopsyllidae: Thaumapsyllinae) to the Egyptian Rousette Bat ().通过蝙蝠相关跳蚤(蚤科:细蚤亚科)向埃及果蝠()传播马尔堡病毒的尝试。
Viruses. 2024 Jul 25;16(8):1197. doi: 10.3390/v16081197.
10
Experimental Inoculation of Egyptian Fruit Bats (Rousettus aegyptiacus) with Ebola Virus.用埃博拉病毒对埃及果蝠(埃及 Rousettus aegyptiacus)进行实验性接种。
Viruses. 2016 Jan 22;8(2):29. doi: 10.3390/v8020029.

引用本文的文献

1
Bat organoids reveal antiviral responses at epithelial surfaces.蝙蝠类器官揭示上皮表面的抗病毒反应。
Nat Immunol. 2025 May 21. doi: 10.1038/s41590-025-02155-1.
2
Co-Infections with Orthomarburgviruses, Paramyxoviruses, and Orthonairoviruses in Egyptian Rousette Bats, Uganda and Sierra Leone.乌干达和塞拉利昂埃及果蝠中马尔堡病毒属病毒、副粘病毒和内罗病毒属病毒的共感染情况
Emerg Infect Dis. 2025 May;31(5):1015-1018. doi: 10.3201/eid3105.241669.
3
Modeling natural coinfection in a bat reservoir shows modulation of Marburg virus shedding and spillover potential.

本文引用的文献

1
ICTV Virus Taxonomy Profile: .ICTV 病毒分类学简介: 。
J Gen Virol. 2019 Dec;100(12):1593-1594. doi: 10.1099/jgv.0.001328. Epub 2019 Oct 11.
2
Co-Circulation and Excretion Dynamics of Diverse - and Related Viruses in Egyptian Rousette Bats from South Africa.南非埃及果蝠中多种病毒及其相关病毒的共同循环和排泄动力学。
Viruses. 2019 Jan 8;11(1):37. doi: 10.3390/v11010037.
3
Development of a reverse genetics system for Sosuga virus allows rapid screening of antiviral compounds.为 Sosuga 病毒开发反向遗传学系统可实现抗病毒化合物的快速筛选。
在蝙蝠宿主中模拟自然共感染显示马尔堡病毒脱落和溢出潜力的调节。
PLoS Pathog. 2025 Mar 17;21(3):e1012901. doi: 10.1371/journal.ppat.1012901. eCollection 2025 Mar.
4
Gastrointestinal Shedding of Rubulaviruses from Egyptian Rousette Bats: Temporal Dynamics and Spillover Implications.埃及果蝠中腮腺炎病毒的胃肠道脱落:时间动态及溢出影响
Microorganisms. 2024 Dec 4;12(12):2505. doi: 10.3390/microorganisms12122505.
5
Zoonotic Paramyxoviruses: Evolution, Ecology, and Public Health Strategies in a Changing World.人畜共患病副黏病毒:变化世界中的进化、生态学和公共卫生策略。
Viruses. 2024 Oct 29;16(11):1688. doi: 10.3390/v16111688.
6
The latest advancements in Sosuga virus (SOSV) research.索苏加病毒(SOSV)研究的最新进展。
Front Microbiol. 2024 Nov 1;15:1486792. doi: 10.3389/fmicb.2024.1486792. eCollection 2024.
7
Disease tolerance as immune defense strategy in bats: One size fits all?蝙蝠中的疾病容忍度作为免疫防御策略:一种尺寸适合所有人?
PLoS Pathog. 2024 Sep 5;20(9):e1012471. doi: 10.1371/journal.ppat.1012471. eCollection 2024 Sep.
8
Sosuga Virus Detected in Egyptian Rousette Bats () in Sierra Leone.在塞拉利昂的埃及果蝠()中检测到索苏加病毒。
Viruses. 2024 Apr 22;16(4):648. doi: 10.3390/v16040648.
9
Robust evidence for bats as reservoir hosts is lacking in most African virus studies: a review and call to optimize sampling and conserve bats.在大多数非洲病毒研究中,缺乏对蝙蝠作为病毒储存宿主的有力证据:综述与呼吁,以优化采样并保护蝙蝠。
Biol Lett. 2023 Nov;19(11):20230358. doi: 10.1098/rsbl.2023.0358. Epub 2023 Nov 15.
10
Variations in small-scale movements of, Rousettus aegyptiacus, a Marburg virus reservoir across a seasonal gradient.埃及果蝠(马尔堡病毒宿主)的小规模运动在季节性梯度上的变化。
Front Zool. 2023 Jul 18;20(1):23. doi: 10.1186/s12983-023-00502-2.
PLoS Negl Trop Dis. 2018 Mar 9;12(3):e0006326. doi: 10.1371/journal.pntd.0006326. eCollection 2018 Mar.
4
Ecology of Filoviruses.丝状病毒生态学。
Curr Top Microbiol Immunol. 2017;411:23-61. doi: 10.1007/82_2017_10.
5
Modelling filovirus maintenance in nature by experimental transmission of Marburg virus between Egyptian rousette bats.通过埃及果蝠间马尔堡病毒的实验传播来模拟丝状病毒在自然界中的维持。
Nat Commun. 2017 Feb 13;8:14446. doi: 10.1038/ncomms14446.
6
Late Ebola virus relapse causing meningoencephalitis: a case report.晚期埃博拉病毒复发致脑膜脑炎:一例报告
Lancet. 2016 Jul 30;388(10043):498-503. doi: 10.1016/S0140-6736(16)30386-5. Epub 2016 May 18.
7
Persistence of Ebola Virus in Ocular Fluid during Convalescence.埃博拉病毒在康复期眼液中的持续存在。
N Engl J Med. 2015 Jun 18;372(25):2423-7. doi: 10.1056/NEJMoa1500306. Epub 2015 May 7.
8
A Recently Discovered Pathogenic Paramyxovirus, Sosuga Virus, is Present in Rousettus aegyptiacus Fruit Bats at Multiple Locations in Uganda.一种最近发现的致病性副粘病毒——索苏加病毒,在乌干达多个地点的埃及果蝠体内被发现。
J Wildl Dis. 2015 Jul;51(3):774-9. doi: 10.7589/2015-02-044. Epub 2015 Apr 28.
9
Oral shedding of Marburg virus in experimentally infected Egyptian fruit bats (Rousettus aegyptiacus).实验感染的埃及果蝠(埃及 Rousettus aegyptiacus)中马尔堡病毒的口腔排毒。
J Wildl Dis. 2015 Jan;51(1):113-24. doi: 10.7589/2014-08-198.
10
Novel paramyxovirus associated with severe acute febrile disease, South Sudan and Uganda, 2012.2012年,在南苏丹和乌干达发现与严重急性发热性疾病相关的新型副粘病毒。
Emerg Infect Dis. 2014 Feb;20(2):211-6. doi: 10.3201/eid2002.131620.