• 文献检索
  • 文档翻译
  • 深度研究
  • 学术资讯
  • Suppr Zotero 插件Zotero 插件
  • 邀请有礼
  • 套餐&价格
  • 历史记录
应用&插件
Suppr Zotero 插件Zotero 插件浏览器插件Mac 客户端Windows 客户端微信小程序
定价
高级版会员购买积分包购买API积分包
服务
文献检索文档翻译深度研究API 文档MCP 服务
关于我们
关于 Suppr公司介绍联系我们用户协议隐私条款
关注我们

Suppr 超能文献

核心技术专利:CN118964589B侵权必究
粤ICP备2023148730 号-1Suppr @ 2026

文献检索

告别复杂PubMed语法,用中文像聊天一样搜索,搜遍4000万医学文献。AI智能推荐,让科研检索更轻松。

立即免费搜索

文件翻译

保留排版,准确专业,支持PDF/Word/PPT等文件格式,支持 12+语言互译。

免费翻译文档

深度研究

AI帮你快速写综述,25分钟生成高质量综述,智能提取关键信息,辅助科研写作。

立即免费体验

ARL4C通过影响Wnt/β-连环蛋白信号通路调控肾透明细胞癌的进展。

ARL4C Regulates the Progression of Clear Cell Renal Cell Carcinoma by Affecting the Wnt/-Catenin Signaling Pathway.

作者信息

Zhang Peizhi, Xu Yingkun, Chen Shaoan, Wang Zicheng, Zhao Leizuo, Chen Chen, Kang Weiting, Han Rongyu, Qiu Jiechuan, Wang Qingliang, Gao Han, Wu Guangzhen, Xia Qinghua

机构信息

Department of Urology, Shandong Provincial Hospital, Cheeloo College of Medicine, Shandong University, Jinan 250021, China.

Department of Endocrine and Breast Surgery, The First Affiliated Hospital of Chongqing Medical University, Chongqing 400042, China.

出版信息

J Oncol. 2022 Jun 21;2022:2724515. doi: 10.1155/2022/2724515. eCollection 2022.

DOI:10.1155/2022/2724515
PMID:35774359
原文链接:https://pmc.ncbi.nlm.nih.gov/articles/PMC9239764/
Abstract

PURPOSE

To investigate the expression of the ADP-ribosylation factor (ARF)-like proteins (ARLs) and ARL4C in clear cell renal cell carcinoma (ccRCC) based on bioinformatics analysis and experimentally determine the effect and mechanism of ARL4C on cellular properties involved in ccRCC progression.

METHODS

After downloading the data of cancer patients from the TCGA database, we used various bioinformatics analysis websites and methods to analyze the expression and function of ARLs and ARL4C. The differential expression of ARL4C in clinical renal cancer tissues versus adjacent normal tissues was further verified using immunohistochemistry and real-time quantitative reverse-transcription (qRT-PCR). qRT-PCR was used to explore the expression of ARL4C mRNA in normal renal cells versus different ccRCC cell lines, and the protein expression of ARL4C was further verified using western blotting. CCK-8, colony formation, and EdU assays were used to determine the effect of ARL4C knockdown on ccRCC cell proliferation. We also used wound healing and Transwell assays to analyze the changes in ccRCC cell migration and invasion following ARL4C knockdown. Finally, we used western blotting to probe the molecular mode of action of ARL4C in ccRCC cells after exposure to Wnt signaling pathway agonists.

RESULTS

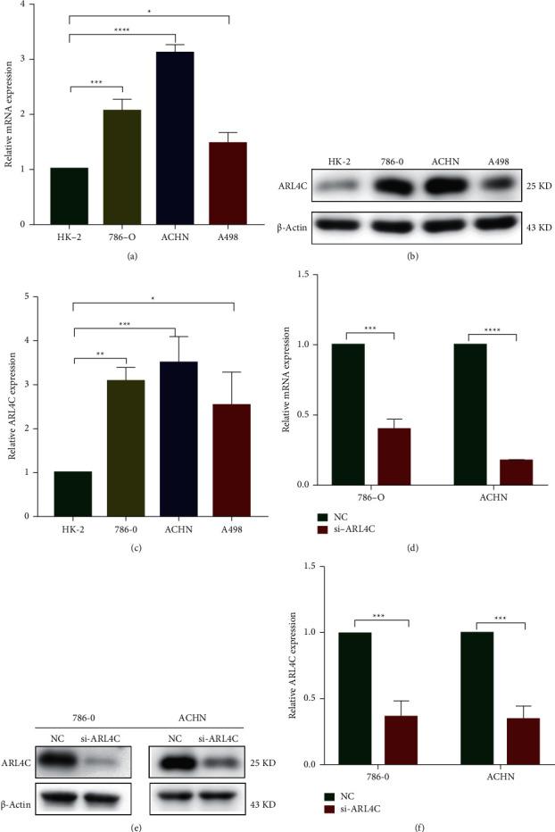
Biological function analysis showed that methylation of ARL4C and changes in immune cell infiltration and targeted drug sensitivity caused by altered ARL4C expression affected the prognosis of ccRCC. Further bioinformatics analysis suggested that the expression of ARL4C mRNA was increased in ccRCC, and this was associated with a poor prognosis in ccRCC patients. Increased expression of ARL4C was further verified using qRT-PCR and western blotting of human ccRCC tissue samples. Downregulation of ARL4C significantly inhibited the proliferation, migration, and invasion of ccRCC cells, and activation of the Wnt/-catenin pathway promoted the expression of ARL4C. As an essential downstream effector of the Wnt signaling pathway, ARL4C increased the expression of cyclin D1 and c-myc, thereby increasing the ability of the cells to undergo epithelial-mesenchymal transition (EMT) and ccRCC progression.

CONCLUSIONS

As a critical factor in the Wnt/-catenin pathway, ARL4C regulates EMT and progression in ccRCC.

摘要

目的

基于生物信息学分析,研究ADP核糖基化因子(ARF)样蛋白(ARLs)及ARL4C在透明细胞肾细胞癌(ccRCC)中的表达,并通过实验确定ARL4C对ccRCC进展相关细胞特性的影响及机制。

方法

从TCGA数据库下载癌症患者数据后,我们使用各种生物信息学分析网站和方法来分析ARLs及ARL4C的表达和功能。采用免疫组织化学和实时定量逆转录(qRT-PCR)进一步验证ARL4C在临床肾癌组织与癌旁正常组织中的差异表达。运用qRT-PCR探究ARL4C mRNA在正常肾细胞与不同ccRCC细胞系中的表达情况,并用蛋白质印迹法进一步验证ARL4C的蛋白表达。采用CCK-8、集落形成和EdU实验确定敲低ARL4C对ccRCC细胞增殖的影响。我们还运用伤口愈合实验和Transwell实验分析敲低ARL4C后ccRCC细胞迁移和侵袭的变化。最后,我们使用蛋白质印迹法探究在暴露于Wnt信号通路激动剂后ARL4C在ccRCC细胞中的分子作用模式。

结果

生物学功能分析表明,ARL4C的甲基化以及ARL4C表达改变引起的免疫细胞浸润和靶向药物敏感性变化影响了ccRCC的预后。进一步的生物信息学分析表明,ccRCC中ARL4C mRNA表达增加,这与ccRCC患者的不良预后相关。通过对人ccRCC组织样本进行qRT-PCR和蛋白质印迹法进一步验证了ARL4C表达的增加。敲低ARL4C显著抑制了ccRCC细胞的增殖、迁移和侵袭,并且Wnt/β-连环蛋白通路的激活促进了ARL4C的表达。作为Wnt信号通路的重要下游效应分子,ARL4C增加了细胞周期蛋白D1和c-myc的表达,从而增强了细胞发生上皮-间质转化(EMT)和ccRCC进展的能力。

结论

作为Wnt/β-连环蛋白通路中的关键因子,ARL4C调节ccRCC中的EMT和进展。

https://cdn.ncbi.nlm.nih.gov/pmc/blobs/d7a4/9239764/b9607ad66cff/JO2022-2724515.009.jpg
https://cdn.ncbi.nlm.nih.gov/pmc/blobs/d7a4/9239764/65aeeea6f2f3/JO2022-2724515.001.jpg
https://cdn.ncbi.nlm.nih.gov/pmc/blobs/d7a4/9239764/4accc1a32100/JO2022-2724515.002.jpg
https://cdn.ncbi.nlm.nih.gov/pmc/blobs/d7a4/9239764/58f25c8befb1/JO2022-2724515.003.jpg
https://cdn.ncbi.nlm.nih.gov/pmc/blobs/d7a4/9239764/83212e20a5cb/JO2022-2724515.004.jpg
https://cdn.ncbi.nlm.nih.gov/pmc/blobs/d7a4/9239764/2e0b9ac29233/JO2022-2724515.005.jpg
https://cdn.ncbi.nlm.nih.gov/pmc/blobs/d7a4/9239764/62e902a856b1/JO2022-2724515.006.jpg
https://cdn.ncbi.nlm.nih.gov/pmc/blobs/d7a4/9239764/5386a2c2b2a8/JO2022-2724515.007.jpg
https://cdn.ncbi.nlm.nih.gov/pmc/blobs/d7a4/9239764/d46a2789bf71/JO2022-2724515.008.jpg
https://cdn.ncbi.nlm.nih.gov/pmc/blobs/d7a4/9239764/b9607ad66cff/JO2022-2724515.009.jpg
https://cdn.ncbi.nlm.nih.gov/pmc/blobs/d7a4/9239764/65aeeea6f2f3/JO2022-2724515.001.jpg
https://cdn.ncbi.nlm.nih.gov/pmc/blobs/d7a4/9239764/4accc1a32100/JO2022-2724515.002.jpg
https://cdn.ncbi.nlm.nih.gov/pmc/blobs/d7a4/9239764/58f25c8befb1/JO2022-2724515.003.jpg
https://cdn.ncbi.nlm.nih.gov/pmc/blobs/d7a4/9239764/83212e20a5cb/JO2022-2724515.004.jpg
https://cdn.ncbi.nlm.nih.gov/pmc/blobs/d7a4/9239764/2e0b9ac29233/JO2022-2724515.005.jpg
https://cdn.ncbi.nlm.nih.gov/pmc/blobs/d7a4/9239764/62e902a856b1/JO2022-2724515.006.jpg
https://cdn.ncbi.nlm.nih.gov/pmc/blobs/d7a4/9239764/5386a2c2b2a8/JO2022-2724515.007.jpg
https://cdn.ncbi.nlm.nih.gov/pmc/blobs/d7a4/9239764/d46a2789bf71/JO2022-2724515.008.jpg
https://cdn.ncbi.nlm.nih.gov/pmc/blobs/d7a4/9239764/b9607ad66cff/JO2022-2724515.009.jpg

相似文献

1
ARL4C Regulates the Progression of Clear Cell Renal Cell Carcinoma by Affecting the Wnt/-Catenin Signaling Pathway.ARL4C通过影响Wnt/β-连环蛋白信号通路调控肾透明细胞癌的进展。
J Oncol. 2022 Jun 21;2022:2724515. doi: 10.1155/2022/2724515. eCollection 2022.
2
TRIM33 Overexpression Inhibits the Progression of Clear Cell Renal Cell Carcinoma In Vivo and In Vitro.TRIM33 过表达抑制体内外肾透明细胞癌的进展。
Biomed Res Int. 2020 Aug 25;2020:8409239. doi: 10.1155/2020/8409239. eCollection 2020.
3
A-kinase interacting protein 1 regulates the cell proliferation, invasion, migration and angiogenesis of clear cell renal cell carcinoma cells and affects the ERK/c-Myc signaling pathway by binding to Rac1.A激酶相互作用蛋白1调节透明细胞肾癌细胞的细胞增殖、侵袭、迁移和血管生成,并通过与Rac1结合影响ERK/c-Myc信号通路。
Exp Ther Med. 2022 Jul 5;24(3):558. doi: 10.3892/etm.2022.11489. eCollection 2022 Sep.
4
Downregulation of CLDN7 due to promoter hypermethylation is associated with human clear cell renal cell carcinoma progression and poor prognosis.CLDN7 启动子超甲基化导致其表达下调与人类肾透明细胞癌的进展和不良预后相关。
J Exp Clin Cancer Res. 2018 Nov 14;37(1):276. doi: 10.1186/s13046-018-0924-y.
5
Long non-coding RNA CCAT2 promotes cell proliferation and invasion through regulating Wnt/β-catenin signaling pathway in clear cell renal cell carcinoma.长链非编码RNA CCAT2通过调控肾透明细胞癌中的Wnt/β-连环蛋白信号通路促进细胞增殖和侵袭。
Tumour Biol. 2017 Jul;39(7):1010428317711314. doi: 10.1177/1010428317711314.
6
TLN2 functions as a tumor suppressor in clear cell renal cell carcinoma via inactivation of the Wnt/β-catenin signaling pathway.TLN2通过使Wnt/β-连环蛋白信号通路失活,在透明细胞肾细胞癌中发挥肿瘤抑制作用。
Transl Androl Urol. 2022 Jan;11(1):39-52. doi: 10.21037/tau-21-914.
7
RUNX2 interacts with SCD1 and activates Wnt/β-catenin signaling pathway to promote the progression of clear cell renal cell carcinoma.RUNX2 与 SCD1 相互作用并激活 Wnt/β-连环蛋白信号通路,促进肾透明细胞癌的进展。
Cancer Med. 2023 Mar;12(5):5764-5780. doi: 10.1002/cam4.5326. Epub 2022 Oct 6.
8
Long Non-Coding RNA LUCAT1 Promotes Proliferation and Invasion in Clear Cell Renal Cell Carcinoma Through AKT/GSK-3β Signaling Pathway.长链非编码RNA LUCAT1通过AKT/GSK-3β信号通路促进肾透明细胞癌的增殖和侵袭。
Cell Physiol Biochem. 2018;48(3):891-904. doi: 10.1159/000491957. Epub 2018 Jul 20.
9
TNFAIP8 promotes the migration of clear cell renal cell carcinoma by regulating the EMT.TNFAIP8通过调节上皮-间质转化促进透明细胞肾细胞癌的迁移。
J Cancer. 2020 Mar 4;11(10):3061-3071. doi: 10.7150/jca.40191. eCollection 2020.
10
CD56 polysialylation promotes the tumorigenesis and progression via the Hedgehog and Wnt/β-catenin signaling pathways in clear cell renal cell carcinoma.CD56多唾液酸化通过刺猬信号通路和Wnt/β-连环蛋白信号通路促进透明细胞肾细胞癌的肿瘤发生和进展。
Cancer Cell Int. 2023 Dec 12;23(1):319. doi: 10.1186/s12935-023-03165-5.

引用本文的文献

1
The potential of ARL4C and its-mediated genes in atherosclerosis and agent development.ARL4C及其介导的基因在动脉粥样硬化和药物研发中的潜力。
Front Pharmacol. 2025 Mar 19;16:1513340. doi: 10.3389/fphar.2025.1513340. eCollection 2025.
2
Small GTPase ARL4C Associated with Various Cancers Affects Microtubule Nucleation.与多种癌症相关的小GTP酶ARL4C影响微管成核。
Biomedicines. 2024 Dec 18;12(12):2872. doi: 10.3390/biomedicines12122872.
3
Single-cell RNA sequencing comparison of CD4+, CD8+ and T-cell receptor γδ+ cutaneous T-cell lymphomas reveals subset-specific molecular phenotypes.

本文引用的文献

1
Genomics of Clear-cell Renal Cell Carcinoma: A Systematic Review and Meta-analysis.透明细胞肾细胞癌的基因组学:系统评价和荟萃分析。
Eur Urol. 2022 Apr;81(4):349-361. doi: 10.1016/j.eururo.2021.12.010. Epub 2022 Jan 3.
2
A novel protein AXIN1-295aa encoded by circAXIN1 activates the Wnt/β-catenin signaling pathway to promote gastric cancer progression.环状 AXIN1 通过编码蛋白 AXIN1-295aa 激活 Wnt/β-连环蛋白信号通路促进胃癌进展。
Mol Cancer. 2021 Dec 4;20(1):158. doi: 10.1186/s12943-021-01457-w.
3
Arl4c promotes the growth and drug resistance of pancreatic cancer by regulating tumor-stromal interactions.
CD4 +、CD8 +和T细胞受体γδ +皮肤T细胞淋巴瘤的单细胞RNA测序比较揭示了亚群特异性分子表型。
Br J Dermatol. 2025 Jan 24;192(2):269-282. doi: 10.1093/bjd/ljae313.
4
Prognostic stratification of sepsis through DNA damage response based RiskScore system: insights from single-cell RNA-sequencing and transcriptomic profiling.基于 DNA 损伤反应的 RiskScore 系统对脓毒症的预后分层:单细胞 RNA 测序和转录组谱分析的见解。
Front Immunol. 2024 Feb 9;15:1345321. doi: 10.3389/fimmu.2024.1345321. eCollection 2024.
5
Wnt/β-catenin-driven EMT regulation in human cancers.Wnt/β-catenin 驱动的人类癌症中的 EMT 调控。
Cell Mol Life Sci. 2024 Feb 9;81(1):79. doi: 10.1007/s00018-023-05099-7.
6
The role of ARL4C in predicting prognosis and immunotherapy drug susceptibility in pan-cancer analysis.ARL4C在泛癌分析中预测预后和免疫治疗药物敏感性的作用。
Front Pharmacol. 2023 Dec 20;14:1288492. doi: 10.3389/fphar.2023.1288492. eCollection 2023.
7
Ursolic acid inhibits the metastasis of colon cancer by downregulating ARL4C expression.熊果酸通过下调 ARL4C 表达抑制结肠癌转移。
Oncol Rep. 2024 Feb;51(2). doi: 10.3892/or.2023.8686. Epub 2023 Dec 22.
8
TTC13 expression and STAT3 activation may form a positive feedback loop to promote ccRCC progression.TTC13 表达和 STAT3 激活可能形成正反馈回路,促进 ccRCC 进展。
PeerJ. 2023 Oct 30;11:e16316. doi: 10.7717/peerj.16316. eCollection 2023.
9
ARL4C is associated with epithelial-to-mesenchymal transition in colorectal cancer.ARL4C 与结直肠癌中的上皮间质转化有关。
BMC Cancer. 2023 May 26;23(1):478. doi: 10.1186/s12885-023-10958-4.
10
ARL9 is upregulated and serves as a biomarker for a poor prognosis in colon adenocarcinoma.ARL9 在结肠腺癌中上调,可作为预后不良的生物标志物。
BMC Gastroenterol. 2023 Feb 23;23(1):48. doi: 10.1186/s12876-023-02677-8.
Arl4c通过调节肿瘤-基质相互作用促进胰腺癌的生长和耐药性。
iScience. 2021 Nov 3;24(12):103400. doi: 10.1016/j.isci.2021.103400. eCollection 2021 Dec 17.
4
RAF1-MEK/ERK pathway-dependent ARL4C expression promotes ameloblastoma cell proliferation and osteoclast formation.RAF1-MEK/ERK 通路依赖性 ARL4C 表达促进成釉细胞瘤细胞增殖和破骨细胞形成。
J Pathol. 2022 Jan;256(1):119-133. doi: 10.1002/path.5814. Epub 2021 Nov 16.
5
Association of AXL and PD-L1 Expression with Clinical Outcomes in Patients with Advanced Renal Cell Carcinoma Treated with PD-1 Blockade.AXL 和 PD-L1 表达与接受 PD-1 阻断治疗的晚期肾细胞癌患者临床结局的相关性。
Clin Cancer Res. 2021 Dec 15;27(24):6749-6760. doi: 10.1158/1078-0432.CCR-21-0972. Epub 2021 Aug 18.
6
Metabolic barriers to cancer immunotherapy.癌症免疫疗法的代谢障碍。
Nat Rev Immunol. 2021 Dec;21(12):785-797. doi: 10.1038/s41577-021-00541-y. Epub 2021 Apr 29.
7
Single-cell sequencing links multiregional immune landscapes and tissue-resident T cells in ccRCC to tumor topology and therapy efficacy.单细胞测序将ccRCC中的多区域免疫景观和组织驻留T细胞与肿瘤拓扑结构及治疗疗效联系起来。
Cancer Cell. 2021 May 10;39(5):662-677.e6. doi: 10.1016/j.ccell.2021.03.007. Epub 2021 Apr 15.
8
Sec62 promotes stemness and chemoresistance of human colorectal cancer through activating Wnt/β-catenin pathway.Sec62 通过激活 Wnt/β-catenin 通路促进人结直肠癌细胞的干性和化疗耐药性。
J Exp Clin Cancer Res. 2021 Apr 15;40(1):132. doi: 10.1186/s13046-021-01934-6.
9
Methylation multiplicity and its clinical values in cancer.甲基化多样性及其在癌症中的临床价值。
Expert Rev Mol Med. 2021 Mar 31;23:e2. doi: 10.1017/erm.2021.4.
10
Activated ALK Cooperates with N-Myc via Wnt/β-Catenin Signaling to Induce Neuroendocrine Prostate Cancer.激活的 ALK 通过 Wnt/β-连环蛋白信号与 N-Myc 合作诱导神经内分泌前列腺癌。
Cancer Res. 2021 Apr 15;81(8):2157-2170. doi: 10.1158/0008-5472.CAN-20-3351. Epub 2021 Feb 26.