Suppr超能文献

伪装成黏液瘤的巨大壁血栓

Massive Mural Thrombus Masquerading as Myxoma.

作者信息

Javeed Masi, Gruhonjic Hanan, Patel Dveet, Forcella John, Akel Rami

机构信息

Internal Medicine, HCA Florida Bayonet Point Hospital, Hudson, USA.

Cardiology, HCA Florida Bayonet Point Hospital, Hudson, USA.

出版信息

Cureus. 2022 May 29;14(5):e25440. doi: 10.7759/cureus.25440. eCollection 2022 May.

Abstract

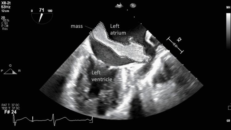
A 75-year-old Caucasian female with a past medical history including insulin-dependent diabetes mellitus, hypertension, and dyslipidemia, presented to the emergency room for having palpitations for three weeks. Echocardiography revealed a very large left atrial mass mimicking myxoma. Mass was excised and examined by pathology, revealing a mural thrombus. A mural thrombus is not an uncommon mass found in the left atrium. However, it does not often present symptomatically, strongly mimics an atrial myxoma on cardiac imaging, and has rarely ever been reported to be greater than seven centimeters in any dimension. We present a case of a 75-year-old Caucasian woman with a massive, symptomatic cardiac thrombus masquerading as a myxoma on imaging.

摘要

一名75岁的白种女性,既往有胰岛素依赖型糖尿病、高血压和血脂异常病史,因心悸三周就诊于急诊室。超声心动图显示左心房有一个非常大的肿块,类似黏液瘤。肿块被切除并送病理检查,结果显示为壁血栓。壁血栓在左心房并不罕见。然而,它通常没有症状,在心脏成像上与心房黏液瘤极为相似,而且从未有过任何维度大于7厘米的报道。我们报告一例75岁白种女性病例,其心脏有一个巨大的、有症状的血栓,在影像学上伪装成黏液瘤。

https://cdn.ncbi.nlm.nih.gov/pmc/blobs/2e8a/9237856/1521e8889971/cureus-0014-00000025440-i01.jpg

文献检索

告别复杂PubMed语法,用中文像聊天一样搜索,搜遍4000万医学文献。AI智能推荐,让科研检索更轻松。

立即免费搜索

文件翻译

保留排版,准确专业,支持PDF/Word/PPT等文件格式,支持 12+语言互译。

免费翻译文档

深度研究

AI帮你快速写综述,25分钟生成高质量综述,智能提取关键信息,辅助科研写作。

立即免费体验