• 文献检索
  • 文档翻译
  • 深度研究
  • 学术资讯
  • Suppr Zotero 插件Zotero 插件
  • 邀请有礼
  • 套餐&价格
  • 历史记录
应用&插件
Suppr Zotero 插件Zotero 插件浏览器插件Mac 客户端Windows 客户端微信小程序
定价
高级版会员购买积分包购买API积分包
服务
文献检索文档翻译深度研究API 文档MCP 服务
关于我们
关于 Suppr公司介绍联系我们用户协议隐私条款
关注我们

Suppr 超能文献

核心技术专利:CN118964589B侵权必究
粤ICP备2023148730 号-1Suppr @ 2026

文献检索

告别复杂PubMed语法,用中文像聊天一样搜索,搜遍4000万医学文献。AI智能推荐,让科研检索更轻松。

立即免费搜索

文件翻译

保留排版,准确专业,支持PDF/Word/PPT等文件格式,支持 12+语言互译。

免费翻译文档

深度研究

AI帮你快速写综述,25分钟生成高质量综述,智能提取关键信息,辅助科研写作。

立即免费体验

结肠神经鞘瘤:一例表现异常及预后情况

Colonic schwannoma: A case of unusual presentation and outcome.

作者信息

Nasri Salsabil, Hedi Mraidha Mohamed, Abdelkrim Mehdi Ben, Youssef Sabri, Hamila Fehmi, Amine Elghali Mohamed

机构信息

Department of Visceral Surgery, Farhat Hached University Hospital, Sousse, Tunisia.

出版信息

Rare Tumors. 2022 Jun 24;14:20363613221110837. doi: 10.1177/20363613221110837. eCollection 2022.

DOI:10.1177/20363613221110837
PMID:35774844
原文链接:https://pmc.ncbi.nlm.nih.gov/articles/PMC9237920/
Abstract

BACKGROUND

Schwannomas are mesenchymal tumors arising from neural sheath cells and whose diagnosis is based on immunohistochemistery. The digestive and especially colonic location of this tumor is rare. Commonly described in elderly patient, their malignancy is unusual.

CASE REPORT

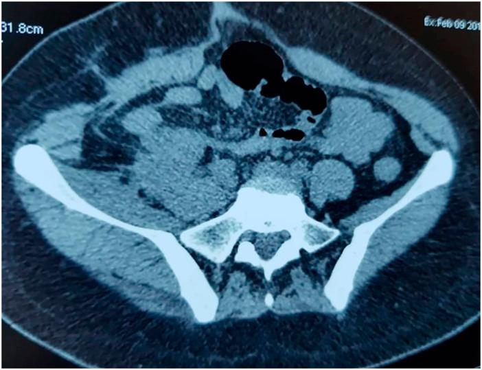
We report the case of a 23-year-old girl, with learning disability, operated in emergency for acute peritonitis. Peroperatively, we discovered a peritonitis secondary to a bulky perforated cecal tumor. We performed a right colectomy and an ileostomy. The posterior margin of the resection was macroscopically involved. The diagnosis of colonic schwannoma was confirmed with immunopathological examination of the surgical specimen. Surgical exploration 4 months later and morphological investigations during 2 years showed stability of the tumoral residue in the right iliac fossa. However, we noticed, on CT scanning control 2 years postoperatively, the appearance of a mesenteric recurrence. Exploratory laparotomy confirmed the unresectability of this mesenteric mass and showed the presence of multiple parietal nodules whose biopsies revealed their neurofibromatous nature. The 4 year follow-up of the patient didn't reveal any complication rather than need to right nephrostomy due to ureter compression by the primary tumoral residue.

DISCUSSION

Colonic schwannoma is a rare disease, commonly described in uncomplicated stages. The learning disability of our patient had favorized the absence of declared symptoms and promoted the evolution of the cecal swhannoma until its perforation. This complication was not described before. Local recurrence has been also rarely reported in the literature. Association with neurofibroma may be hereditary in a context of neurofibromatosis or sporadic.

CONCLUSION

Colonic schwannoma may have polymorphic presentation mimicking malignant tumor in such cases. Not treated in time, it can lead to severe complications, such as tumoral perforation. Surgical resection remains the mainstay treatment. The slow evolutionary genius of schwannoma, even when incompletely resected by necessity, confirms its good prognosis.

摘要

背景

施万细胞瘤是起源于神经鞘细胞的间叶性肿瘤,其诊断基于免疫组织化学。这种肿瘤在消化道尤其是结肠的定位很少见。通常在老年患者中描述,其恶性情况并不常见。

病例报告

我们报告一名23岁有学习障碍的女孩的病例,她因急性腹膜炎接受急诊手术。术中,我们发现腹膜炎继发于一个巨大的穿孔性盲肠肿瘤。我们进行了右半结肠切除术和回肠造口术。切除的后缘肉眼可见受累。手术标本的免疫病理检查证实了结肠施万细胞瘤的诊断。4个月后的手术探查以及2年的形态学检查显示右髂窝肿瘤残余稳定。然而,我们在术后2年的CT扫描复查中注意到肠系膜复发。剖腹探查证实该肠系膜肿块无法切除,并显示存在多个壁层结节,其活检显示为神经纤维瘤性质。对该患者的4年随访未发现任何并发症,仅因原发性肿瘤残余压迫输尿管而需要进行右肾造瘘。

讨论

结肠施万细胞瘤是一种罕见疾病,通常在未出现并发症的阶段被描述。我们患者的学习障碍导致未出现明显症状,并促使盲肠施万细胞瘤发展直至穿孔。这种并发症以前未被描述过。局部复发在文献中也很少报道。与神经纤维瘤的关联在神经纤维瘤病背景下可能是遗传性的,也可能是散发性的。

结论

结肠施万细胞瘤在这种情况下可能有模仿恶性肿瘤的多形性表现。如果不及时治疗,它可能导致严重并发症,如肿瘤穿孔。手术切除仍然是主要的治疗方法。施万细胞瘤的缓慢演变特性,即使在必要时未完全切除,也证实了其良好的预后。

https://cdn.ncbi.nlm.nih.gov/pmc/blobs/8b27/9237920/dbe895421131/10.1177_20363613221110837-fig5.jpg
https://cdn.ncbi.nlm.nih.gov/pmc/blobs/8b27/9237920/91f6b9eba8d5/10.1177_20363613221110837-fig1.jpg
https://cdn.ncbi.nlm.nih.gov/pmc/blobs/8b27/9237920/235e53f56f5a/10.1177_20363613221110837-fig2.jpg
https://cdn.ncbi.nlm.nih.gov/pmc/blobs/8b27/9237920/f303642ef30b/10.1177_20363613221110837-fig3.jpg
https://cdn.ncbi.nlm.nih.gov/pmc/blobs/8b27/9237920/7b6a026744b9/10.1177_20363613221110837-fig4.jpg
https://cdn.ncbi.nlm.nih.gov/pmc/blobs/8b27/9237920/dbe895421131/10.1177_20363613221110837-fig5.jpg
https://cdn.ncbi.nlm.nih.gov/pmc/blobs/8b27/9237920/91f6b9eba8d5/10.1177_20363613221110837-fig1.jpg
https://cdn.ncbi.nlm.nih.gov/pmc/blobs/8b27/9237920/235e53f56f5a/10.1177_20363613221110837-fig2.jpg
https://cdn.ncbi.nlm.nih.gov/pmc/blobs/8b27/9237920/f303642ef30b/10.1177_20363613221110837-fig3.jpg
https://cdn.ncbi.nlm.nih.gov/pmc/blobs/8b27/9237920/7b6a026744b9/10.1177_20363613221110837-fig4.jpg
https://cdn.ncbi.nlm.nih.gov/pmc/blobs/8b27/9237920/dbe895421131/10.1177_20363613221110837-fig5.jpg

相似文献

1
Colonic schwannoma: A case of unusual presentation and outcome.结肠神经鞘瘤:一例表现异常及预后情况
Rare Tumors. 2022 Jun 24;14:20363613221110837. doi: 10.1177/20363613221110837. eCollection 2022.
2
Ancient schwannoma in the right iliac fossa: A case report and review of literature.右髂窝部陈旧性神经鞘瘤:一例报告并文献复习
Radiol Case Rep. 2024 Jan 4;19(3):1195-1199. doi: 10.1016/j.radcr.2023.12.028. eCollection 2024 Mar.
3
Surgical treatment of a presacral schwannoma: A case report.骶前神经鞘瘤的外科治疗:一例报告
Ann Med Surg (Lond). 2022 Sep 15;83:104609. doi: 10.1016/j.amsu.2022.104609. eCollection 2022 Nov.
4
Case Report: Schwannoma of the sigmoid colon: a case report of a rare colonic neoplasm and review of literature.病例报告:乙状结肠神经鞘瘤:一例罕见结肠肿瘤的病例报告及文献复习
F1000Res. 2019 May 13;8:652. doi: 10.12688/f1000research.19110.1. eCollection 2019.
5
Schwannoma of the colon and rectum: a systematic literature review.结肠和直肠神经鞘瘤:系统文献回顾。
World J Surg Oncol. 2018 Jul 3;16(1):125. doi: 10.1186/s12957-018-1427-1.
6
Pediatric cervical kyphosis in the MRI era (1984-2008) with long-term follow up: literature review.MRI 时代(1984-2008 年)的儿童颈椎后凸:文献回顾。
Childs Nerv Syst. 2022 Feb;38(2):361-377. doi: 10.1007/s00381-021-05409-z. Epub 2021 Nov 22.
7
Schwannoma of the colon: A case report and review of the literature.结肠神经鞘瘤:一例病例报告及文献综述
Oncol Lett. 2016 Apr;11(4):2580-2582. doi: 10.3892/ol.2016.4271. Epub 2016 Feb 24.
8
Ascending Colon Schwannoma Surgically Treated after Accurate Preoperative Diagnosis.术前准确诊断后手术治疗的升结肠神经鞘瘤
Case Rep Gastroenterol. 2020 Oct 15;14(3):483-490. doi: 10.1159/000509542. eCollection 2020 Sep-Dec.
9
Two Unusual Presentations of Presacral Schwannoma; A Case Series.骶前神经鞘瘤的两种罕见表现;病例系列
Int J Surg Case Rep. 2019;61:165-168. doi: 10.1016/j.ijscr.2019.07.042. Epub 2019 Jul 22.
10
High-Grade Sarcoma Arising within a Previously Irradiated Vestibular Schwannoma: A Case Report and Literature Review.高级别肉瘤在先前放疗的前庭神经鞘瘤内发生:病例报告及文献复习。
World Neurosurg. 2020 Dec;144:99-105. doi: 10.1016/j.wneu.2020.08.170. Epub 2020 Sep 2.

引用本文的文献

1
Case Report: Crohn's disease with coexisting mesenteric schwannoma.病例报告:克罗恩病合并肠系膜神经鞘瘤。
Front Med (Lausanne). 2025 Jul 29;12:1621976. doi: 10.3389/fmed.2025.1621976. eCollection 2025.

本文引用的文献

1
Schwannoma of the colon and rectum: a systematic literature review.结肠和直肠神经鞘瘤:系统文献回顾。
World J Surg Oncol. 2018 Jul 3;16(1):125. doi: 10.1186/s12957-018-1427-1.
2
Neurofibromatosis and Schwannomatosis.神经纤维瘤病和施万细胞瘤病。
Semin Neurol. 2018 Feb;38(1):73-85. doi: 10.1055/s-0038-1627471. Epub 2018 Mar 16.
3
Schwannoma of the colon: A case report and review of the literature.结肠神经鞘瘤:一例病例报告及文献综述
Oncol Lett. 2016 Apr;11(4):2580-2582. doi: 10.3892/ol.2016.4271. Epub 2016 Feb 24.
4
Schwannoma of the sigmoid colon.乙状结肠神经鞘瘤
BMJ Case Rep. 2015 May 14;2015:bcr2014208934. doi: 10.1136/bcr-2014-208934.
5
A case of benign schwannoma of the ascending colon treated with laparoscopic-assisted wedge resection.1例升结肠良性神经鞘瘤行腹腔镜辅助楔形切除术治疗。
Int Surg. 2013 Oct-Dec;98(4):315-8. doi: 10.9738/INTSURG-D-13-00015.1.
6
Abdominal schwannomas: case report with literature review.腹部神经鞘瘤:病例报告及文献综述
Int Surg. 2013 Jul-Sep;98(3):214-8. doi: 10.9738/INTSURG-D-13-00019.1.
7
Schwannoma of ascending colon treated by laparoscopic right hemicolectomy.腹腔镜右半结肠切除术治疗升结肠癌。
World J Surg Oncol. 2012 May 15;10:81. doi: 10.1186/1477-7819-10-81.
8
Combined laparoscopic-endoscopic resections of colorectal polyps: 10-year experience and follow-up.结直肠息肉的腹腔镜-内镜联合切除术:10年经验及随访
Surg Endosc. 2009 Apr;23(4):688-93. doi: 10.1007/s00464-008-0282-5. Epub 2009 Jan 24.
9
Psammomatous melanotic schwannoma presenting as colonic polyps.
Virchows Arch. 2007 Sep;451(3):717-20. doi: 10.1007/s00428-007-0453-0. Epub 2007 Jul 11.
10
Schwannoma of the gastrointestinal tract: a clinicopathological, immunohistochemical and ultrastructural study of 33 cases.胃肠道神经鞘瘤:33例临床病理、免疫组织化学及超微结构研究
Histopathology. 2006 Apr;48(5):536-45. doi: 10.1111/j.1365-2559.2006.02370.x.