Suppr超能文献

胸腰椎创伤分类系统无法预测创伤后驼背畸形。

Thoracic and lumbar spine trauma classification systems fail to predict post-traumatic kyphotic deformity.

作者信息

Crim Julia, Atkins Naomi, Zhang Anqing, Moore Don K

机构信息

University of Missouri, 1 Hospital Dr., Columbia, MO 65212, United States.

George Washington University School of Medicine, United States.

出版信息

N Am Spine Soc J. 2022 Jun 16;11:100134. doi: 10.1016/j.xnsj.2022.100134. eCollection 2022 Sep.

Abstract

BACKGROUND

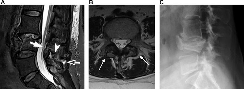
Post-traumatic kyphosis of the thoracic and lumbar spine can lead to pain and decreased function. MRI has been advocated to assess ligament integrity and risk of kyphosis.

METHODS

All thoracic and lumbar spine MRI performed for evaluation of trauma over a 3-year period at a single institution were reviewed. Patients were included if there was an MRI showing a vertebral body fracture and follow-up radiographs. Two observers retrospectively reviewed all radiographs, CT and MRI scans, and classified injuries based on the Denis, TLICS, AO and load sharing classification systems. Change in kyphosis between injury and follow-up studies was measured. The initial radiology reports made at time of patient injury were compared to the retrospective interpretations.

RESULTS

There were 67 separate injuries in 62 patients. Kyphosis measuring ≥ 10° developed despite an intact PLC in 6/14 nonoperative cases, and 3/7 surgically treated cases; when PLC was partially injured, it developed in 6/10 cases (8 treated nonoperatively, 2 treated operatively. Thirty injuries had complete disruption of PLC by MRI, 24 treated with fusion. Kyphosis ≥ 10° developed in 3/6 treated nonoperatively, and 8/24 treated with fusion. Development of kyphosis was independent of degree of vertebral body comminution. It developed equally in patients with Grade 2 and Grade 3 Denis injuries. It developed in patients with intact PLC when multiple vertebrae were involved and/or there was compressive injury to anterior longitudinal ligament (ALL). There was high interobserver variability in assessment of severity of ligamentous injury on MRI.

CONCLUSIONS

Classification systems of thoracic and lumbar spine injury and integrity of the PLC failed to predict the risk of development of post-traumatic kyphotic deformity.

摘要

背景

胸腰椎创伤后后凸畸形可导致疼痛和功能下降。磁共振成像(MRI)已被推荐用于评估韧带完整性和后凸畸形风险。

方法

回顾了在单一机构3年内为评估创伤而进行的所有胸腰椎MRI检查。如果MRI显示椎体骨折并伴有随访X线片,则纳入患者。两名观察者回顾性地查看了所有X线片、CT和MRI扫描,并根据Denis、TLICS、AO和载荷分担分类系统对损伤进行分类。测量损伤与随访研究之间后凸畸形的变化。将患者受伤时的初始放射学报告与回顾性解读进行比较。

结果

62例患者中有67处独立损伤。在14例非手术治疗的病例中,有6例尽管后方韧带复合体(PLC)完整,但仍出现了≥10°的后凸畸形;在7例手术治疗的病例中,有3例出现了这种情况;当PLC部分受损时,10例中有6例出现了后凸畸形(8例非手术治疗,2例手术治疗)。30处损伤经MRI显示PLC完全断裂,24例接受融合治疗。非手术治疗的6例中有3例出现了≥10°的后凸畸形,融合治疗的24例中有8例出现了这种情况。后凸畸形的发生与椎体粉碎程度无关。在Denis 2级和3级损伤的患者中发生率相同。当多个椎体受累和/或前纵韧带(ALL)受到压缩性损伤时,PLC完整的患者也会出现后凸畸形。在MRI上评估韧带损伤的严重程度时,观察者间的差异很大。

结论

胸腰椎损伤的分类系统和PLC的完整性未能预测创伤后后凸畸形的发生风险。

https://cdn.ncbi.nlm.nih.gov/pmc/blobs/5c4d/9240640/12054f87b284/gr1.jpg

文献AI研究员

20分钟写一篇综述,助力文献阅读效率提升50倍。

立即体验

用中文搜PubMed

大模型驱动的PubMed中文搜索引擎

马上搜索

文档翻译

学术文献翻译模型,支持多种主流文档格式。

立即体验