• 文献检索
  • 文档翻译
  • 深度研究
  • 学术资讯
  • Suppr Zotero 插件Zotero 插件
  • 邀请有礼
  • 套餐&价格
  • 历史记录
应用&插件
Suppr Zotero 插件Zotero 插件浏览器插件Mac 客户端Windows 客户端微信小程序
定价
高级版会员购买积分包购买API积分包
服务
文献检索文档翻译深度研究API 文档MCP 服务
关于我们
关于 Suppr公司介绍联系我们用户协议隐私条款
关注我们

Suppr 超能文献

核心技术专利:CN118964589B侵权必究
粤ICP备2023148730 号-1Suppr @ 2026

文献检索

告别复杂PubMed语法,用中文像聊天一样搜索,搜遍4000万医学文献。AI智能推荐,让科研检索更轻松。

立即免费搜索

文件翻译

保留排版,准确专业,支持PDF/Word/PPT等文件格式,支持 12+语言互译。

免费翻译文档

深度研究

AI帮你快速写综述,25分钟生成高质量综述,智能提取关键信息,辅助科研写作。

立即免费体验

男性化生性乳腺癌伴预后不良:一例报告。

Male metaplastic breast cancer with poor prognosis: A case report.

作者信息

Kim Hyun Yul, Lee Seungju, Kim Dong-Il, Jung Chang Shin, Kim Jee Yeon, Nam Kyung Jin, Choo Ki Seok, Jung Youn Joo

机构信息

Department of Surgery, Pusan National University Yangsan Hospital, Pusan National University School of Medicine, Gyeongnam 50612, South Korea.

Department of Pathology, Pusan National University Yangsan Hospital, Pusan National University School of Medicine, Gyeongnam 50612, South Korea.

出版信息

World J Clin Cases. 2022 May 26;10(15):4964-4970. doi: 10.12998/wjcc.v10.i15.4964.

DOI:10.12998/wjcc.v10.i15.4964
PMID:35801042
原文链接:https://pmc.ncbi.nlm.nih.gov/articles/PMC9198856/
Abstract

BACKGROUND

Metaplastic breast cancer (MBC) is a rare subtype of breast cancer. They constitute less than 1% of breast cancer cases and are much rarer in males. There are few reports of MBC because of its rarity. MBC, an aggressive type of cancer, is refractory to common treatment modalities of breast cancer and has a poor prognosis.

CASE SUMMARY

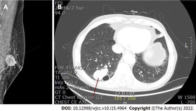
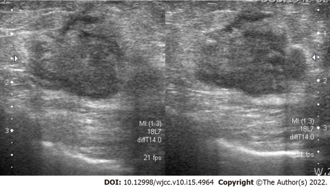
We report a case of MBC in a 78-year-old man. He visited our clinic with a palpable mass on the left breast with no masses in the axillary areas. He had previously undergone robot-assisted laparoscopic radical prostatectomy for prostate cancer, but there was no family history of malignancy. The breast mass was visible on ultrasonography, mammography, and magnetic resonance imaging, and chest computed tomography revealed a lung mass in the posterior basal segment of the right lower lobe. The patient was diagnosed with metaplastic carcinoma on core needle biopsy with lung metastasis. Total mastectomy with sentinel lymph node biopsy and video-assisted segmentectomy of the right lung was performed. However, multiple metastases appeared 3 mo after surgery in the brain, chest, and abdomen, and the patient died 5 mo after the initial diagnosis.

CONCLUSION

MBC is an aggressive and extremely rare breast cancer type. Further case reports are needed to determine the optimal treatment.

摘要

背景

化生性乳腺癌(MBC)是一种罕见的乳腺癌亚型。它们占乳腺癌病例的比例不到1%,在男性中更为罕见。由于其罕见性,关于MBC的报道很少。MBC是一种侵袭性癌症,对乳腺癌的常见治疗方式具有耐药性,预后较差。

病例摘要

我们报告一例78岁男性的MBC病例。他因左侧乳房可触及肿块前来我院就诊,腋窝区域未触及肿块。他曾因前列腺癌接受机器人辅助腹腔镜根治性前列腺切除术,但无恶性肿瘤家族史。乳房肿块在超声、乳腺X线摄影和磁共振成像中均可见,胸部计算机断层扫描显示右下叶后基底段有一个肺部肿块。经粗针活检确诊为化生性癌伴肺转移。行全乳切除术加前哨淋巴结活检及右肺电视辅助节段切除术。然而,术后3个月脑、胸、腹出现多处转移,患者在初诊后5个月死亡。

结论

MBC是一种侵袭性极强的罕见乳腺癌类型。需要更多的病例报告来确定最佳治疗方案。

https://cdn.ncbi.nlm.nih.gov/pmc/blobs/24ff/9198856/e815d8cd4e55/WJCC-10-4964-g004.jpg
https://cdn.ncbi.nlm.nih.gov/pmc/blobs/24ff/9198856/255fe8040ad0/WJCC-10-4964-g001.jpg
https://cdn.ncbi.nlm.nih.gov/pmc/blobs/24ff/9198856/3a4513239700/WJCC-10-4964-g002.jpg
https://cdn.ncbi.nlm.nih.gov/pmc/blobs/24ff/9198856/1431ca3531b2/WJCC-10-4964-g003.jpg
https://cdn.ncbi.nlm.nih.gov/pmc/blobs/24ff/9198856/e815d8cd4e55/WJCC-10-4964-g004.jpg
https://cdn.ncbi.nlm.nih.gov/pmc/blobs/24ff/9198856/255fe8040ad0/WJCC-10-4964-g001.jpg
https://cdn.ncbi.nlm.nih.gov/pmc/blobs/24ff/9198856/3a4513239700/WJCC-10-4964-g002.jpg
https://cdn.ncbi.nlm.nih.gov/pmc/blobs/24ff/9198856/1431ca3531b2/WJCC-10-4964-g003.jpg
https://cdn.ncbi.nlm.nih.gov/pmc/blobs/24ff/9198856/e815d8cd4e55/WJCC-10-4964-g004.jpg

相似文献

1
Male metaplastic breast cancer with poor prognosis: A case report.男性化生性乳腺癌伴预后不良:一例报告。
World J Clin Cases. 2022 May 26;10(15):4964-4970. doi: 10.12998/wjcc.v10.i15.4964.
2
Metaplastic breast carcinoma with osseous differentiation: A report of a rare case and literature review.伴骨分化的化生性乳腺癌:1例罕见病例报告及文献复习
Open Life Sci. 2023 Jul 24;18(1):20220640. doi: 10.1515/biol-2022-0640. eCollection 2023.
3
HER2-Positive Metaplastic Breast Cancer with Resistance to Neoadjuvant Chemotherapy: Case Report.对新辅助化疗耐药的HER2阳性化生性乳腺癌:病例报告
Case Rep Oncol. 2023 Nov 24;16(1):1482-1488. doi: 10.1159/000534847. eCollection 2023 Jan-Dec.
4
Triple-negative phenotype of poorly-differentiated metaplastic breast carcinoma in a male: an oncological rarity.
J Coll Physicians Surg Pak. 2013 May;23(5):370-2.
5
Metaplastic carcinoma of the breast and BRCA1 germline mutation: a case report and review.乳腺化生癌与BRCA1种系突变:一例病例报告及文献复习
Hered Cancer Clin Pract. 2021 Jan 6;19(1):3. doi: 10.1186/s13053-020-00162-x.
6
Metaplastic breast cancer with chondroid differentiation.伴有软骨样分化的化生性乳腺癌。
J Community Hosp Intern Med Perspect. 2015 Sep 1;5(4):28935. doi: 10.3402/jchimp.v5.28935. eCollection 2015.
7
Metaplastic carcinoma of the breast with mesenchymal differentiation (carcinosarcoma). A unique presentation of an aggressive malignancy and literature review.伴有间叶分化的乳腺化生性癌(癌肉瘤)。一种侵袭性恶性肿瘤的独特表现及文献综述。
Breast Dis. 2018;37(3):169-175. doi: 10.3233/BD-170313.
8
Fibromatosis-like metaplastic carcinoma of the breast: Two case reports.乳腺纤维瘤样化生癌:两例报告
World J Clin Cases. 2023 Jun 26;11(18):4384-4391. doi: 10.12998/wjcc.v11.i18.4384.
9
Clinicopathological and Radiological Features with Long Term Follow Up of Metaplastic Carcinoma Breast in India.印度乳腺化生性癌的临床病理和影像学特征及长期随访。
Asian Pac J Cancer Prev. 2021 Nov 1;22(11):3483-3492. doi: 10.31557/APJCP.2021.22.11.3483.
10
Clinicopathologic Features of Metaplastic Breast Carcinoma: Experience From a Tertiary Cancer Center of North India.化生性乳腺癌的临床病理特征:来自印度北部一家三级癌症中心的经验
Cureus. 2022 Sep 9;14(9):e28978. doi: 10.7759/cureus.28978. eCollection 2022 Sep.

引用本文的文献

1
Unraveling Stigmas of Male Breast Carcinoma: A Singular Case of Advanced Metaplastic Breast Carcinoma in a Young Male.揭开男性乳腺癌的耻辱印记:一名年轻男性晚期化生性乳腺癌的独特病例。
Cureus. 2023 Aug 26;15(8):e44174. doi: 10.7759/cureus.44174. eCollection 2023 Aug.
2
KEYNOTE-522 and male spindle cell carcinoma of the breast: A case report.帕博利珠单抗治疗522研究与男性乳腺梭形细胞癌:一例报告
Rare Tumors. 2023 Mar 15;15:20363613231163730. doi: 10.1177/20363613231163730. eCollection 2023.

本文引用的文献

1
Comparative Effectiveness of an mTOR-Based Systemic Therapy Regimen in Advanced, Metaplastic and Nonmetaplastic Triple-Negative Breast Cancer.基于 mTOR 的系统治疗方案在晚期、非典型性和非典型性三阴性乳腺癌中的比较疗效。
Oncologist. 2018 Nov;23(11):1300-1309. doi: 10.1634/theoncologist.2017-0498. Epub 2018 Aug 23.
2
Rare case of metaplastic breast cancer in a man.男性发生化生性乳腺癌的罕见病例。
BMJ Case Rep. 2018 Mar 7;2018:bcr-2017-222033. doi: 10.1136/bcr-2017-222033.
3
Multimodality Imaging Findings of Metaplastic Breast Carcinomas: A Report of Five Cases.
化生性乳腺癌的多模态影像学表现:5例报告
Ultrasound Q. 2018 Jun;34(2):88-93. doi: 10.1097/RUQ.0000000000000340.
4
Nestin and CD146 expression in metaplastic breast cancer: stem-cell therapy in need? Lessons reported from a male patient.巢蛋白和 CD146 在乳腺化生性癌中的表达:是否需要干细胞治疗?来自一名男性患者的报告结果。
Eur Rev Med Pharmacol Sci. 2017 Sep;21(18):4137-4140.
5
Dramatic response of metaplastic breast cancer to chemo-immunotherapy.化生性乳腺癌对化疗-免疫疗法的显著反应。
NPJ Breast Cancer. 2017 Mar 29;3:8. doi: 10.1038/s41523-017-0011-0. eCollection 2017.
6
A case of metaplastic breast cancer in a man.一名男性发生化生性乳腺癌的病例。
J Surg Case Rep. 2013 Feb 7;2013(2):rjs047. doi: 10.1093/jscr/rjs047.
7
A Brief Overview of the WHO Classification of Breast Tumors, 4th Edition, Focusing on Issues and Updates from the 3rd Edition.《世界卫生组织乳腺肿瘤分类(第4版)概述》,重点关注第3版以来的问题及更新内容。
Breast Care (Basel). 2013 May;8(2):149-54. doi: 10.1159/000350774.
8
Triple-negative phenotype of poorly-differentiated metaplastic breast carcinoma in a male: an oncological rarity.
J Coll Physicians Surg Pak. 2013 May;23(5):370-2.
9
Lack of efficacy to systemic chemotherapy for treatment of metaplastic carcinoma of the breast in the modern era.在现代时代,全身化疗治疗乳腺化生性癌无效。
Breast Cancer Res Treat. 2011 Nov;130(1):345-51. doi: 10.1007/s10549-011-1686-9. Epub 2011 Jul 27.
10
Worse prognosis of metaplastic breast cancer patients than other patients with triple-negative breast cancer.相比其他三阴性乳腺癌患者,化生性乳腺癌患者的预后更差。
Breast Cancer Res Treat. 2010 Apr;120(3):627-37. doi: 10.1007/s10549-010-0780-8. Epub 2010 Feb 9.