Suppr超能文献

C. A. Mey与非布司他联合用药对阿霉素诱导的大鼠急性心脏毒性具有心脏保护作用。

Combination of C. A. Mey and Febuxostat Boasted Cardioprotective Effects Against Doxorubicin-Induced Acute Cardiotoxicity in Rats.

作者信息

Al-Kuraishy Hayder M, Al-Hussaniy Hany A, Al-Gareeb Ali I, Negm Walaa A, El-Kadem Aya H, Batiha Gaber El-Saber, N Welson Nermeen, Mostafa-Hedeab Gomaa, Qasem Ahmed H, Conte-Junior Carlos Adam

机构信息

Department of Clinical Pharmacology and Therapeutic, College of Medicine, Al-Mustansiriyah University, Baghdad, Iraq.

Department of Anesthesia, Al-Nukaba University College, Baghdad, Iraq.

出版信息

Front Pharmacol. 2022 Jun 22;13:905828. doi: 10.3389/fphar.2022.905828. eCollection 2022.

Abstract

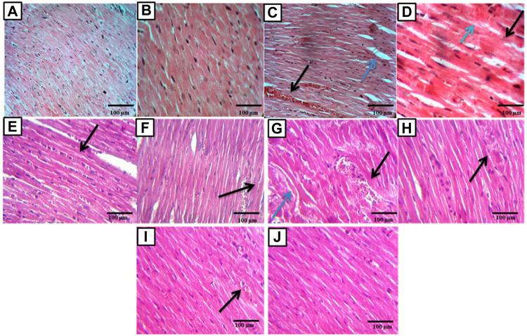
Doxorubicin (DOX) is an anticancer agent for treating solid and soft tissue malignancies. However, the clinical use of DOX is restricted by cumulative, dose-dependent cardiotoxicity. Therefore, the present study aimed to assess the cardioprotective effects of C. A. Mey, febuxostat, and their combination against DOX-induced cardiotoxicity. Thirty-five Sprague Dawley male rats were used in this study. The animals were randomly divided into five groups, with seven rats per group. The control group received normal saline, the induced group received DOX only, and the treated group received , febuxostat, and their combination before DOX treatment. Biomarkers of acute cardiac toxicity were assessed in each group. Results showed that treatment with the combination of febuxostat and before DOX led to a significant improvement in the biomarkers of acute DOX-induced cardiotoxicity. In conclusion, the combination of and febuxostat produced more significant cardioprotective effects against DOX-induced cardiotoxicity when compared to either or febuxostat when used alone. The potential mechanism of this combination was mainly mediated by the anti-inflammatory and antioxidant effects of and febuxostat.

摘要

阿霉素(DOX)是一种用于治疗实体和软组织恶性肿瘤的抗癌药物。然而,DOX的临床应用受到累积性、剂量依赖性心脏毒性的限制。因此,本研究旨在评估C. A. Mey、非布司他及其组合对DOX诱导的心脏毒性的心脏保护作用。本研究使用了35只雄性Sprague Dawley大鼠。动物被随机分为五组,每组七只。对照组接受生理盐水,诱导组仅接受DOX,治疗组在DOX治疗前接受C. A. Mey、非布司他及其组合。评估每组急性心脏毒性的生物标志物。结果表明,在DOX治疗前用非布司他和C. A. Mey联合治疗可显著改善急性DOX诱导的心脏毒性的生物标志物。总之,与单独使用C. A. Mey或非布司他相比,C. A. Mey和非布司他的组合对DOX诱导的心脏毒性产生了更显著的心脏保护作用。这种组合的潜在机制主要由C. A. Mey和非布司他的抗炎和抗氧化作用介导。

https://cdn.ncbi.nlm.nih.gov/pmc/blobs/a18d/9257079/18fbd5e16651/fphar-13-905828-g001.jpg

文献AI研究员

20分钟写一篇综述,助力文献阅读效率提升50倍。

立即体验

用中文搜PubMed

大模型驱动的PubMed中文搜索引擎

马上搜索

文档翻译

学术文献翻译模型,支持多种主流文档格式。

立即体验