• 文献检索
  • 文档翻译
  • 深度研究
  • 学术资讯
  • Suppr Zotero 插件Zotero 插件
  • 邀请有礼
  • 套餐&价格
  • 历史记录
应用&插件
Suppr Zotero 插件Zotero 插件浏览器插件Mac 客户端Windows 客户端微信小程序
定价
高级版会员购买积分包购买API积分包
服务
文献检索文档翻译深度研究API 文档MCP 服务
关于我们
关于 Suppr公司介绍联系我们用户协议隐私条款
关注我们

Suppr 超能文献

核心技术专利:CN118964589B侵权必究
粤ICP备2023148730 号-1Suppr @ 2026

文献检索

告别复杂PubMed语法,用中文像聊天一样搜索,搜遍4000万医学文献。AI智能推荐,让科研检索更轻松。

立即免费搜索

文件翻译

保留排版,准确专业,支持PDF/Word/PPT等文件格式,支持 12+语言互译。

免费翻译文档

深度研究

AI帮你快速写综述,25分钟生成高质量综述,智能提取关键信息,辅助科研写作。

立即免费体验

直肠滤泡性淋巴瘤治疗后发生的同步性结肠癌:一例报告

Synchronous colon cancer after treatment for rectal follicular lymphoma: A case report.

作者信息

Saito Makoto, Egami Hiroki, Kato Takashi, Yokoyama Emi, Izumiyama Koh, Mori Akio, Morioka Masanobu, Kondo Takeshi, Tanei Zen-Ichi

机构信息

Blood Disorders Center, Aiiku Hospital, Sapporo, Hokkaido 064-0804, Japan.

Department of Gastroenterology, Aiiku Hospital, Sapporo, Hokkaido 064-0804, Japan.

出版信息

Mol Clin Oncol. 2022 Jun 21;17(2):129. doi: 10.3892/mco.2022.2562. eCollection 2022 Aug.

DOI:10.3892/mco.2022.2562
PMID:35832471
原文链接:https://pmc.ncbi.nlm.nih.gov/articles/PMC9264324/
Abstract

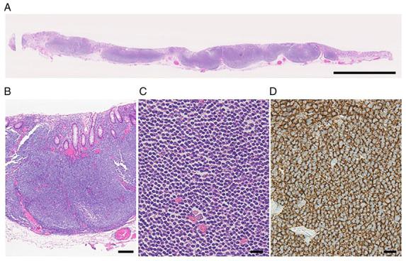
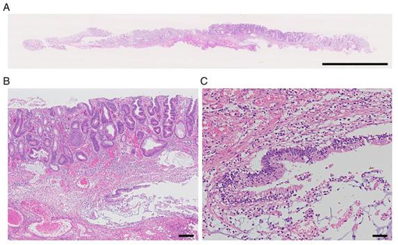
Colorectal follicular lymphoma (FL) is rare. In addition, it is even rarer that colon cancer develops synchronously with colorectal lymphoma. The present study reports a case of sigmoid colon cancer that developed 6 months after endoscopic resection of rectal FL. A 71-year-old man with a history of developing mucosa-associated lymphoid tissue lymphoma in his stomach at age 48, right neck region at age 59 (the latter later modified as FL) and lung adenocarcinoma at age 60 now suffers from rectal FL. Endoscopic submucosal dissection (ESD) was performed at our hospital (Aiiku Hospital), and 6 months after the treatment, sigmoid colon cancer was confirmed by colonoscopy for the follow-up study. The patient was successfully curatively resected by ESD plus local resection and has survived without a recurrence for >3 years with no treatment. It was speculated that in the present case, cancer-related genes were changed as a carcinogenic mechanism due to decreased immune function associated with the onset of lymphoma.

摘要

结直肠滤泡性淋巴瘤(FL)较为罕见。此外,结肠癌与结直肠淋巴瘤同步发生的情况更为罕见。本研究报告了1例在直肠FL内镜切除术后6个月发生的乙状结肠癌病例。一名71岁男性,48岁时曾患胃黏膜相关淋巴组织淋巴瘤,59岁时患右颈部淋巴瘤(后诊断为FL),60岁时患肺腺癌,现患有直肠FL。在我院(爱育医院)进行了内镜下黏膜下剥离术(ESD),治疗6个月后,结肠镜检查随访发现乙状结肠癌。该患者通过ESD加局部切除术成功实现根治性切除,未经治疗已存活超过3年且无复发。据推测,在本病例中,与淋巴瘤发病相关的免疫功能下降导致癌症相关基因发生改变,这是致癌机制。

https://cdn.ncbi.nlm.nih.gov/pmc/blobs/b228/9264324/1b88ea1c8ab5/mco-17-02-02562-g04.jpg
https://cdn.ncbi.nlm.nih.gov/pmc/blobs/b228/9264324/23c8f217ad40/mco-17-02-02562-g00.jpg
https://cdn.ncbi.nlm.nih.gov/pmc/blobs/b228/9264324/4cdba1087d99/mco-17-02-02562-g01.jpg
https://cdn.ncbi.nlm.nih.gov/pmc/blobs/b228/9264324/f70c4a351b56/mco-17-02-02562-g02.jpg
https://cdn.ncbi.nlm.nih.gov/pmc/blobs/b228/9264324/3033dd05352c/mco-17-02-02562-g03.jpg
https://cdn.ncbi.nlm.nih.gov/pmc/blobs/b228/9264324/1b88ea1c8ab5/mco-17-02-02562-g04.jpg
https://cdn.ncbi.nlm.nih.gov/pmc/blobs/b228/9264324/23c8f217ad40/mco-17-02-02562-g00.jpg
https://cdn.ncbi.nlm.nih.gov/pmc/blobs/b228/9264324/4cdba1087d99/mco-17-02-02562-g01.jpg
https://cdn.ncbi.nlm.nih.gov/pmc/blobs/b228/9264324/f70c4a351b56/mco-17-02-02562-g02.jpg
https://cdn.ncbi.nlm.nih.gov/pmc/blobs/b228/9264324/3033dd05352c/mco-17-02-02562-g03.jpg
https://cdn.ncbi.nlm.nih.gov/pmc/blobs/b228/9264324/1b88ea1c8ab5/mco-17-02-02562-g04.jpg

相似文献

1
Synchronous colon cancer after treatment for rectal follicular lymphoma: A case report.直肠滤泡性淋巴瘤治疗后发生的同步性结肠癌:一例报告
Mol Clin Oncol. 2022 Jun 21;17(2):129. doi: 10.3892/mco.2022.2562. eCollection 2022 Aug.
2
Three cases of endoscopic resection for synchronous early colon cancers after self-expandable metallic stent placement for obstructive colon cancer.三例结肠癌梗阻患者在置入自膨式金属支架后同步早期结肠癌的内镜切除术
Endosc Int Open. 2016 Sep;4(9):E970-3. doi: 10.1055/s-0042-113874. Epub 2016 Aug 31.
3
Implantation of sigmoid colon cancer into the endoscopic resection site of intramucosal rectal cancer: A case report.乙状结肠癌种植于黏膜内直肠癌内镜切除部位:一例报告。
DEN Open. 2022 Dec 8;3(1):e193. doi: 10.1002/deo2.193. eCollection 2023 Apr.
4
Synchronous colonic mucosa-associated lymphoid tissue lymphoma found after surgery for adenocarcinoma: A case report and review of literature.腺癌手术后发现的同步性结肠黏膜相关淋巴组织淋巴瘤:一例报告并文献复习
World J Clin Cases. 2020 Dec 26;8(24):6456-6464. doi: 10.12998/wjcc.v8.i24.6456.
5
A Gastric Follicular Lymphoma Presenting as a Submucosal Tumor with a Diagnosis Determined by Endoscopic Resection.一例表现为黏膜下肿瘤的胃滤泡性淋巴瘤,诊断由内镜切除确定。
Intern Med. 2018 Jul 1;57(13):1849-1853. doi: 10.2169/internalmedicine.0069-17. Epub 2018 Feb 28.
6
Advanced Colon Cancer after Curative Resection of Intramucosal Adenocarcinoma with Endoscopic Submucosal Dissection.内镜下黏膜下剥离术治疗黏膜内腺癌根治性切除术后的晚期结肠癌
Case Rep Gastroenterol. 2021 Jul 6;15(2):603-609. doi: 10.1159/000516314. eCollection 2021 May-Aug.
7
Successful Endoscopic Resection of Primary Rectal Mucosa-Associated Lymphoid Tissue Lymphoma by Endoscopic Submucosal Dissection: A Case Report.内镜下黏膜下剥离术成功切除原发性直肠黏膜相关淋巴组织淋巴瘤:一例报告
Front Med (Lausanne). 2021 Sep 10;8:715256. doi: 10.3389/fmed.2021.715256. eCollection 2021.
8
A case of colon cancer implanted on endoscopic resection ulcer certified by cancer genomic testing.经癌症基因组检测证实的内镜切除溃疡处种植的结肠癌病例。
Clin J Gastroenterol. 2024 Dec;17(6):1047-1052. doi: 10.1007/s12328-024-02037-3. Epub 2024 Sep 26.
9
Endoscopic submucosal dissection for colorectal tumors--1,000 colorectal ESD cases: one specialized institute's experiences.内镜黏膜下剥离术治疗结直肠肿瘤——1000 例结直肠 ESD 病例:一家专业机构的经验。
Surg Endosc. 2013 Jan;27(1):31-9. doi: 10.1007/s00464-012-2403-4. Epub 2012 Jun 23.
10
A case of mucosa-associated lymphoid tissue lymphoma of the sigmoid colon presenting as a semipedunculated polyp.1例以半蒂息肉形式呈现的乙状结肠黏膜相关淋巴组织淋巴瘤。
Clin Endosc. 2014 Mar;47(2):192-6. doi: 10.5946/ce.2014.47.2.192. Epub 2014 Mar 31.

引用本文的文献

1
Laparoscopic surgery for synchronous double colorectal cancer with obstruction, plus small B cell lymphoma: a case report.腹腔镜手术治疗合并梗阻的同步性双发结直肠癌及小B细胞淋巴瘤:一例报告
J Surg Case Rep. 2025 Jan 21;2025(1):rjae830. doi: 10.1093/jscr/rjae830. eCollection 2025 Jan.
2
A case report: Diagnosis of early stage ascending colon adenocarcinoma due to concomitant lymphoma presented by ileocaecal intussusception and literature review.病例报告:因回盲部肠套叠伴发淋巴瘤导致早期升结肠癌的诊断及文献复习
Int J Surg Case Rep. 2024 Dec;125:110481. doi: 10.1016/j.ijscr.2024.110481. Epub 2024 Oct 20.

本文引用的文献

1
Synchronous adenocarcinoma and marginal zone B-cell lymphoma of the colon. A case report.结肠同步性腺癌与边缘区B细胞淋巴瘤。病例报告。
Int J Surg Case Rep. 2021 Jul;84:106025. doi: 10.1016/j.ijscr.2021.106025. Epub 2021 May 28.
2
Tiny but Mighty: Collision Tumor of a Superficial Adenocarcinoma Arising From a Tubulovillous Adenoma with Associated Low-Grade Follicular Lymphoma.体积虽小,却威力十足:源于绒毛管状腺瘤的浅表型腺癌合并低度滤泡性淋巴瘤的碰撞瘤。
Int J Surg Pathol. 2021 Oct;29(7):759-763. doi: 10.1177/1066896921995942. Epub 2021 Feb 23.
3
Coexistence of colon adenocarcinoma, diffuse large B-cell lymphoma, and myelodysplastic syndrome: A case report.
结肠腺癌、弥漫性大B细胞淋巴瘤和骨髓增生异常综合征并存:一例报告。
Medicine (Baltimore). 2019 Aug;98(35):e16742. doi: 10.1097/MD.0000000000016742.
4
Duodenal-Type Follicular Lymphoma: A Clinicopathologic Review.十二指肠型滤泡性淋巴瘤:临床病理回顾。
Arch Pathol Lab Med. 2018 Apr;142(4):542-547. doi: 10.5858/arpa.2016-0519-RS.
5
Collision tumor consisting of primary follicular lymphoma and adenocarcinoma in the cecum: A case report and literature review.盲肠原发性滤泡性淋巴瘤与腺癌组成的碰撞瘤:一例报告及文献复习
Oncol Lett. 2016 Apr;11(4):2801-2805. doi: 10.3892/ol.2016.4310. Epub 2016 Mar 8.
6
Synchronous adenocarcinoma and extranodal natural killer/T-cell lymphoma of the colon: a case report and literature review.结肠同步腺癌和结外自然杀伤/T 细胞淋巴瘤:病例报告及文献复习。
World J Gastroenterol. 2013 Mar 21;19(11):1850-4. doi: 10.3748/wjg.v19.i11.1850.
7
Primary gastrointestinal follicular lymphoma involving the duodenal second portion is a distinct entity: a multicenter, retrospective analysis in Japan.原发性胃肠道滤泡性淋巴瘤累及十二指肠第二段是一种独特的实体:日本多中心回顾性分析。
Cancer Sci. 2011 Aug;102(8):1532-6. doi: 10.1111/j.1349-7006.2011.01980.x. Epub 2011 Jun 15.
8
Synchronous adenocarcinoma and mantle cell lymphoma of the colon.结肠同步性腺癌和套细胞淋巴瘤
Arch Pathol Lab Med. 2003 Feb;127(2):E64-6. doi: 10.5858/2003-127-e64-SAAMCL.
9
Synchronous adenocarcinoma and lymphoma of the colon.
Indian J Gastroenterol. 1997 Jan;16(1):28-9.
10
Primary colonic lymphoma. Clinical presentation, histopathologic features, and outcome with combination chemotherapy.原发性结肠淋巴瘤。临床表现、组织病理学特征及联合化疗的疗效
J Clin Gastroenterol. 1994 Jun;18(4):291-7.