Suppr超能文献

肩部钙化性肌腱炎:一种采用射频不对称输送器神经生物学刺激治疗的神经-心理运动行为诊断与治疗方法。

Calcific Tendinitis of the Shoulder: A Neuro-Psychomotor Behavioral Diagnostic and Therapeutic Approach With Radioelectric Asymmetric Conveyer Neurobiological Stimulation Treatments.

作者信息

Fontani Vania, Rinaldi Arianna, Castagna Alessandro, Rinaldi Salvatore

机构信息

Research Department, Rinaldi Fontani Foundation, Florence, ITA.

Department of Regenerative Medicine, Rinaldi Fontani Institute, Florence, ITA.

出版信息

Cureus. 2022 Jul 12;14(7):e26770. doi: 10.7759/cureus.26770. eCollection 2022 Jul.

Abstract

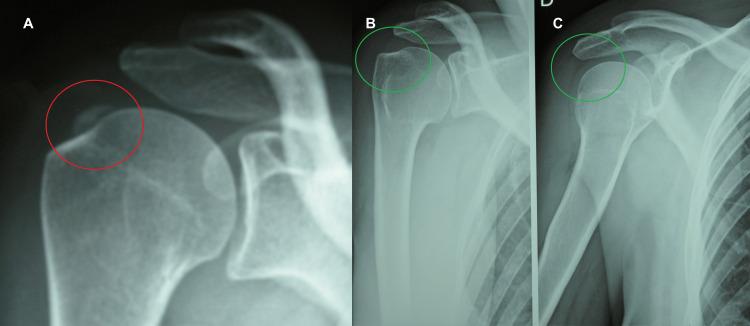
Calcific tendinitis of the shoulder (CTS) is one of the pathological conditions that most often affects the shoulder and consists of a calcium deposit that settles within the tendon tissue of the rotator cuff. The scientific literature has long highlighted the impact of anxiety, stress, and depression on CTS. The goal of this case report is to highlight how the emotional state of patients and their neuro-psychomotor behavior induce a state of constant muscular tension which, through the physical phenomenon of piezoelectricity, causes calcium salts to precipitate and form calcifications. Therefore, stress, anxiety, and depression are likely factors underlying the etiopathogenesis of CTS. Consistent with this interpretation, this report presents five cases of CTS treated with three specific neurobiological stimulation treatments using the radioelectric asymmetric conveyer (REAC) technology, which has demonstrated its effectiveness on alterations in postural attitude intended as neuro-psychomotor behavior, anxiety, stress, and depression, as well as on autonomic and metabolic alterations of the tissues at a local level. The results presented suggest that this approach may be useful in the treatment and prevention of CTS.

摘要

肩部钙化性肌腱炎(CTS)是最常影响肩部的病理状况之一,由沉积在肩袖肌腱组织内的钙沉积物组成。科学文献长期以来一直强调焦虑、压力和抑郁对CTS的影响。本病例报告的目的是强调患者的情绪状态及其神经心理运动行为如何诱发持续的肌肉紧张状态,这种状态通过压电物理现象导致钙盐沉淀并形成钙化。因此,压力、焦虑和抑郁可能是CTS发病机制的潜在因素。与这种解释一致,本报告介绍了五例CTS患者,采用三种特定的神经生物学刺激疗法进行治疗,使用无线电不对称输送器(REAC)技术,该技术已证明其对作为神经心理运动行为的姿势态度改变、焦虑、压力和抑郁以及局部组织的自主和代谢改变有效。所呈现的结果表明,这种方法可能对CTS的治疗和预防有用。

https://cdn.ncbi.nlm.nih.gov/pmc/blobs/f68d/9275448/15e2d197261f/cureus-0014-00000026770-i01.jpg

文献检索

告别复杂PubMed语法,用中文像聊天一样搜索,搜遍4000万医学文献。AI智能推荐,让科研检索更轻松。

立即免费搜索

文件翻译

保留排版,准确专业,支持PDF/Word/PPT等文件格式,支持 12+语言互译。

免费翻译文档

深度研究

AI帮你快速写综述,25分钟生成高质量综述,智能提取关键信息,辅助科研写作。

立即免费体验