Suppr超能文献

大量细胞外 在感染性心内膜炎中的作用:病例报告及文献复习。

A Massive Number of Extracellular in Infective Endocarditis: A Case Report and Literature Review.

机构信息

Aix Marseille Univ, IRD, APHM, MEPHI, IHU Méditerranée infection, Marseille, France.

Département de Pharmacie, Faculté de Médecine, Université Ferhat Abbas Sétif I, Sétif, Algeria.

出版信息

Front Immunol. 2022 Jun 29;13:900589. doi: 10.3389/fimmu.2022.900589. eCollection 2022.

Abstract

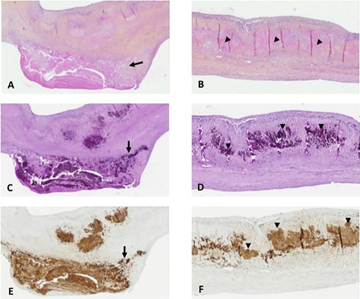
Whipple's disease (WD) is a chronic multisystemic infection caused by . If this bacterium presents an intracellular localization, associated with rare diseases and without pathognomonic signs, it is often subject to a misunderstanding of its physiopathology, often a misdiagnosis or simply an oversight. Here, we report the case of a patient treated for presumed rheumatoid arthritis. Recently, this patient presented to the hospital with infectious endocarditis. After surgery and histological analysis, we discovered the presence of . Electron microscopy allowed us to discover an atypical bacterial organization with a very large number of bacteria present in the extracellular medium in vegetation and valvular tissue. This atypical presentation we report here might be explained by the anti-inflammatory treatment administrated for our patient's initial diagnosis of rheumatoid arthritis.

摘要

惠普尔病(WD)是由 引起的慢性全身性感染。如果这种细菌呈现细胞内定位,与罕见疾病相关且没有特征性体征,则其生理病理学往往容易被误解,经常导致误诊或漏诊。在这里,我们报告了一例疑似类风湿关节炎治疗的患者。最近,该患者因感染性心内膜炎就诊。手术后和组织学分析发现了 。电子显微镜使我们发现了一种非典型的细菌组织,在植被和瓣膜组织中的细胞外介质中存在大量细菌。我们在这里报告的这种非典型表现可能是由于我们患者最初类风湿关节炎诊断时接受的抗炎治疗。

https://cdn.ncbi.nlm.nih.gov/pmc/blobs/ed07/9278803/045e1506cf1f/fimmu-13-900589-g001.jpg

文献检索

告别复杂PubMed语法,用中文像聊天一样搜索,搜遍4000万医学文献。AI智能推荐,让科研检索更轻松。

立即免费搜索

文件翻译

保留排版,准确专业,支持PDF/Word/PPT等文件格式,支持 12+语言互译。

免费翻译文档

深度研究

AI帮你快速写综述,25分钟生成高质量综述,智能提取关键信息,辅助科研写作。

立即免费体验