• 文献检索
  • 文档翻译
  • 深度研究
  • 学术资讯
  • Suppr Zotero 插件Zotero 插件
  • 邀请有礼
  • 套餐&价格
  • 历史记录
应用&插件
Suppr Zotero 插件Zotero 插件浏览器插件Mac 客户端Windows 客户端微信小程序
定价
高级版会员购买积分包购买API积分包
服务
文献检索文档翻译深度研究API 文档MCP 服务
关于我们
关于 Suppr公司介绍联系我们用户协议隐私条款
关注我们

Suppr 超能文献

核心技术专利:CN118964589B侵权必究
粤ICP备2023148730 号-1Suppr @ 2026

文献检索

告别复杂PubMed语法,用中文像聊天一样搜索,搜遍4000万医学文献。AI智能推荐,让科研检索更轻松。

立即免费搜索

文件翻译

保留排版,准确专业,支持PDF/Word/PPT等文件格式,支持 12+语言互译。

免费翻译文档

深度研究

AI帮你快速写综述,25分钟生成高质量综述,智能提取关键信息,辅助科研写作。

立即免费体验

获得性免疫缺陷综合征(艾滋病)患者的非肺部马红球菌感染。

Non-pulmonary Rhodococcus equi infections in patients with acquired immune deficiency syndrome (AIDS).

作者信息

Fierer J, Wolf P, Seed L, Gay T, Noonan K, Haghighi P

出版信息

J Clin Pathol. 1987 May;40(5):556-8. doi: 10.1136/jcp.40.5.556.

DOI:10.1136/jcp.40.5.556
PMID:3584508
原文链接:https://pmc.ncbi.nlm.nih.gov/articles/PMC1141024/
Abstract

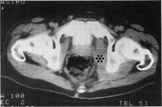
Rhodococcus equi, formerly known as Corynebacterium equi, was isolated repeatedly from the blood of two patients with the acquired immune deficiency syndrome (AIDS). Neither of the patients had pneumonia while they were bacteraemic, whereas pneumonia has been present in all previously reported cases of human infection with R equi. One of our patients had diarrhoea and the organism was isolated from a stool culture; the other patient had a large granulomatous soft tissue mass in his pelvis caused by R equi. Both isolates were resistant to penicillin and one produced a beta-lactamase. Both patients were treated with vancomycin but only one recovered.

摘要

马红球菌,以前称为马棒状杆菌,曾从两名获得性免疫缺陷综合征(艾滋病)患者的血液中反复分离出来。这两名患者在菌血症期间均无肺炎,而在先前报道的所有人类感染马红球菌的病例中均存在肺炎。我们的一名患者有腹泻,该菌从粪便培养物中分离出来;另一名患者盆腔有一个由马红球菌引起的巨大肉芽肿性软组织肿块。两种分离株均对青霉素耐药,其中一株产生β-内酰胺酶。两名患者均接受了万古霉素治疗,但只有一名康复。

https://cdn.ncbi.nlm.nih.gov/pmc/blobs/9d40/1141024/8bb1486d108b/jclinpath00325-0081-a.jpg
https://cdn.ncbi.nlm.nih.gov/pmc/blobs/9d40/1141024/8bb1486d108b/jclinpath00325-0081-a.jpg
https://cdn.ncbi.nlm.nih.gov/pmc/blobs/9d40/1141024/8bb1486d108b/jclinpath00325-0081-a.jpg

相似文献

1
Non-pulmonary Rhodococcus equi infections in patients with acquired immune deficiency syndrome (AIDS).获得性免疫缺陷综合征(艾滋病)患者的非肺部马红球菌感染。
J Clin Pathol. 1987 May;40(5):556-8. doi: 10.1136/jcp.40.5.556.
2
Pulmonary malacoplakia and Rhodococcus equi infection in a patient with AIDS.一名艾滋病患者的肺部软斑病与马红球菌感染
Chest. 1990 Apr;97(4):1000-1. doi: 10.1378/chest.97.4.1000.
3
Rhodococcus equi infection in the patient with AIDS: literature review and report of an unusual case.艾滋病患者的马红球菌感染:文献综述及1例罕见病例报告
Rev Infect Dis. 1991 Jan-Feb;13(1):91-6. doi: 10.1093/clinids/13.1.91.
4
Rhodococcus equi pneumonia. An unusual early manifestation of the acquired immunodeficiency syndrome (AIDS).
Chest. 1988 Jul;94(1):195-6. doi: 10.1378/chest.94.1.195.
5
Pulmonary malacoplakia associated with Rhodococcus equi infection in a patient with AIDS.艾滋病患者中与马红球菌感染相关的肺部软斑病
Chest. 1999 Mar;115(3):889-92. doi: 10.1378/chest.115.3.889.
6
Rhodococcus equi infection in acquired immunodeficiency syndrome. Computed tomography aspects.获得性免疫缺陷综合征中的马红球菌感染。计算机断层扫描表现。
J Bras Pneumol. 2006 Sep-Oct;32(5):405-9.
7
[Pneumonia caused by Rhodococcus equi: clinical and radiological findings in 8 AIDS patients].
Rev Cubana Med Trop. 2010 Sep-Dec;62(3):207-11.
8
Rhodococcus equi infection in patients with and without human immunodeficiency virus infection.
Rev Infect Dis. 1991 Jan-Feb;13(1):139-45. doi: 10.1093/clinids/13.1.139.
9
[Image of the month. Pulmonary malacoplakia due to Rhodococcus equi in a patient with AIDS].
Rev Med Liege. 2002 Nov;57(11):685-7.
10
Pulmonary pseudotumour due to Corynebacterium equi in a patient with the acquired immunodeficiency syndrome.一名获得性免疫缺陷综合征患者因马棒状杆菌导致的肺部假瘤。
Thorax. 1988 Jun;43(6):486-7. doi: 10.1136/thx.43.6.486.

引用本文的文献

1
Spectrum of disease caused by Rhodococcus equi in human immunodeficiency virus infection: Report of a case and review of the literature.人类免疫缺陷病毒感染中马红球菌引起的疾病谱:一例报告及文献复习
Can J Infect Dis. 1990 Fall;1(3):101-7. doi: 10.1155/1990/803153.
2
Disseminated Rhodococcus equi infection in HIV infection despite highly active antiretroviral therapy.HIV 感染患者即使接受高效抗反转录病毒治疗仍发生播散性马红球菌感染。
BMC Infect Dis. 2011 Dec 14;11:343. doi: 10.1186/1471-2334-11-343.
3
Infection by Rhodococcus equi in a patient with AIDS: histological appearance mimicking Whipple's disease and Mycobacterium avium-intracellulare infection.

本文引用的文献

1
Corynebacterium equi: in vitro susceptibility to twenty-six antimicrobial agents.马棒状杆菌:对二十六种抗菌剂的体外敏感性
Antimicrob Agents Chemother. 1980 Dec;18(6):976-7. doi: 10.1128/AAC.18.6.976.
2
Three-step stool examination for cryptosporidiosis in 10 homosexual men with protracted watery diarrhea.对10名患有持续性水样腹泻的同性恋男性进行隐孢子虫病的三步粪便检查。
J Infect Dis. 1983 May;147(5):824-8. doi: 10.1093/infdis/147.5.824.
3
Numerical classification of Rhodococcus equi and related actinomycetes.马红球菌及相关放线菌的数值分类
一名艾滋病患者感染马红球菌:组织学表现酷似惠普尔病和鸟分枝杆菌复合群感染。
J Clin Pathol. 1999 Jan;52(1):68-71. doi: 10.1136/jcp.52.1.68.
4
Thyroid abscess due to Rhodococcus equi in a patient infected with the human immunodeficiency virus.一名感染人类免疫缺陷病毒的患者因马红球菌引发甲状腺脓肿。
Eur J Clin Microbiol Infect Dis. 1998 Jan;17(1):55-7. doi: 10.1007/BF01584367.
5
Coryneform bacteria in infectious diseases: clinical and laboratory aspects.感染性疾病中的棒状杆菌:临床与实验室方面
Clin Microbiol Rev. 1990 Jul;3(3):227-46. doi: 10.1128/CMR.3.3.227.
6
Rhodococcus equi: an animal and human pathogen.马红球菌:一种动物和人类病原体。
Clin Microbiol Rev. 1991 Jan;4(1):20-34. doi: 10.1128/CMR.4.1.20.
7
Severe Rhodococcus equi pneumonia: case report and literature review.重症马红球菌肺炎:病例报告及文献综述
Eur J Clin Microbiol Infect Dis. 1991 Sep;10(9):762-8. doi: 10.1007/BF01972506.
8
Rhodococcus equi endobronchial mass with lung abscess in a patient with AIDS.一名艾滋病患者出现马红球菌支气管内肿块伴肺脓肿。
Thorax. 1992 Jan;47(1):62-3. doi: 10.1136/thx.47.1.62.
9
Distribution and antimicrobial susceptibility of Rhodococcus equi from clinical specimens.临床标本中马红球菌的分布及抗菌药敏情况
Eur J Epidemiol. 1992 May;8(3):437-43. doi: 10.1007/BF00158580.
J Appl Bacteriol. 1982 Oct;53(2):199-207. doi: 10.1111/j.1365-2672.1982.tb04677.x.
4
Corynebacterium equi: a review of 12 cases of human infection.马棒状杆菌:12例人类感染病例的综述
Rev Infect Dis. 1983 Nov-Dec;5(6):1012-8. doi: 10.1093/clinids/5.6.1012.
5
A note on hydrolytic enzymes of Corynebacterium equi.
J Appl Bacteriol. 1983 Oct;55(2):367-9. doi: 10.1111/j.1365-2672.1983.tb01334.x.
6
AIDS with Mycobacterium avium-intracellulare lesions resembling those of Whipple's disease.
N Engl J Med. 1983 Nov 24;309(21):1323-5. doi: 10.1056/NEJM198311243092113.
7
Ribosomal ribonucleic acid similarities in the classification of Rhodococcus and related taxa.
J Gen Microbiol. 1980 Jun;118(2):313-9. doi: 10.1099/00221287-118-2-313.
8
Lung abscess due to Corynebacterium equi. Report of the first case in a patient with acquired immune deficiency syndrome.马棒状杆菌所致肺脓肿。获得性免疫缺陷综合征患者首例病例报告。
Am J Med. 1986 Apr;80(4):685-8. doi: 10.1016/0002-9343(86)90825-9.
9
Another Whipple-like disease in AIDS?艾滋病中的另一种类惠普尔病?
N Engl J Med. 1986 Jun 12;314(24):1577-8. doi: 10.1056/NEJM198606123142413.
10
Infection of monocyte/macrophages by human T lymphotropic virus type III.人嗜T淋巴细胞病毒III型对单核细胞/巨噬细胞的感染。
J Clin Invest. 1986 May;77(5):1712-5. doi: 10.1172/JCI112491.