Suppr超能文献

比较接受放射治疗的犬鼻腔癌中表皮生长因子受体(EGFR)和环氧化酶-2(COX-2)免疫组织化学表达和结果。

Comparison of epidermal growth factor receptor (EGFR) and cyclooxygenase-2 (COX-2) immunohistochemical expression and outcomes in canine nasal carcinomas treated with radiation therapy.

机构信息

Department of Veterinary Clinical Sciences, College of Veterinary Medicine, The Ohio State University, Columbus, USA.

Small Animal Clinical Sciences, Graduate School of Veterinary Medicine, Rakuno Gakuen University, Hokkaido, Japan.

出版信息

J Vet Med Sci. 2022 Sep 5;84(9):1237-1243. doi: 10.1292/jvms.22-0106. Epub 2022 Jul 15.

Abstract

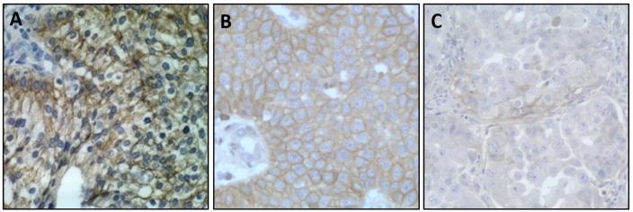
The expression of epidermal growth factor receptor (EGFR) and cyclooxygenase-2 (COX-2) has been reported in human nasopharyngeal and canine nasal carcinomas. The present study measured EGFR and COX-2 expression and calculated correlations between these proteins and clinical variables and outcomes in dogs with nasal carcinoma treated with radiation therapy. Before treatment, the immunohistochemistry of EGFR and COX-2 was performed in 67 biopsied tissues from canine nasal carcinomas. The correlations between these protein levels, clinical variables, and outcomes were evaluated. EGFR and COX-2 were detected in 88.1% and 82.1% of our samples, respectively. Neither EGFR nor COX-2 was associated with T stage and cribriform plate destruction. Dogs with low EGFR levels had a significantly longer survival time than dogs with high EGFR expression (P=0.043). The COX-2 expression level was not significantly associated with survival times after radiation therapy (P=0.653). Overexpression of EGFR is negatively correlated with survival in dogs with nasal carcinoma. Future studies should identify tumor biomarkers to develop therapeutic targets for effective treatments for canine nasal carcinomas.

摘要

表皮生长因子受体(EGFR)和环氧化酶-2(COX-2)的表达已在人鼻咽癌和犬鼻癌中报道。本研究测量了 EGFR 和 COX-2 的表达,并计算了这些蛋白与接受放射治疗的犬鼻癌临床变量和结果之间的相关性。在治疗前,对 67 份犬鼻癌活检组织进行了 EGFR 和 COX-2 的免疫组织化学检测。评估了这些蛋白水平、临床变量和结果之间的相关性。我们的样本中分别检测到 88.1%和 82.1%的 EGFR 和 COX-2。EGFR 和 COX-2 均与 T 分期和筛板破坏无关。低 EGFR 水平的犬的生存时间明显长于高 EGFR 表达的犬(P=0.043)。COX-2 表达水平与放射治疗后的生存时间无显著相关性(P=0.653)。EGFR 的过表达与犬鼻癌的生存呈负相关。未来的研究应确定肿瘤生物标志物,以开发针对犬鼻癌的有效治疗的治疗靶点。

https://cdn.ncbi.nlm.nih.gov/pmc/blobs/4ff7/9523303/38b4facbdeb8/jvms-84-1237-g001.jpg

文献检索

告别复杂PubMed语法,用中文像聊天一样搜索,搜遍4000万医学文献。AI智能推荐,让科研检索更轻松。

立即免费搜索

文件翻译

保留排版,准确专业,支持PDF/Word/PPT等文件格式,支持 12+语言互译。

免费翻译文档

深度研究

AI帮你快速写综述,25分钟生成高质量综述,智能提取关键信息,辅助科研写作。

立即免费体验