• 文献检索
  • 文档翻译
  • 深度研究
  • 学术资讯
  • Suppr Zotero 插件Zotero 插件
  • 邀请有礼
  • 套餐&价格
  • 历史记录
应用&插件
Suppr Zotero 插件Zotero 插件浏览器插件Mac 客户端Windows 客户端微信小程序
定价
高级版会员购买积分包购买API积分包
服务
文献检索文档翻译深度研究API 文档MCP 服务
关于我们
关于 Suppr公司介绍联系我们用户协议隐私条款
关注我们

Suppr 超能文献

核心技术专利:CN118964589B侵权必究
粤ICP备2023148730 号-1Suppr @ 2026

文献检索

告别复杂PubMed语法,用中文像聊天一样搜索,搜遍4000万医学文献。AI智能推荐,让科研检索更轻松。

立即免费搜索

文件翻译

保留排版,准确专业,支持PDF/Word/PPT等文件格式,支持 12+语言互译。

免费翻译文档

深度研究

AI帮你快速写综述,25分钟生成高质量综述,智能提取关键信息,辅助科研写作。

立即免费体验

UIP/IPF 纤维母细胞灶是一个嵌入在独特细胞外基质中的胶原生物合成工厂。

The UIP/IPF fibroblastic focus is a collagen biosynthesis factory embedded in a distinct extracellular matrix.

机构信息

The Wellcome Centre for Cell-Matrix Research and.

Blond McIndoe Laboratories, University of Manchester, Manchester Academic Health Science Centre, Manchester, United Kingdom.

出版信息

JCI Insight. 2022 Aug 22;7(16):e156115. doi: 10.1172/jci.insight.156115.

DOI:10.1172/jci.insight.156115
PMID:35852874
原文链接:https://pmc.ncbi.nlm.nih.gov/articles/PMC9462507/
Abstract

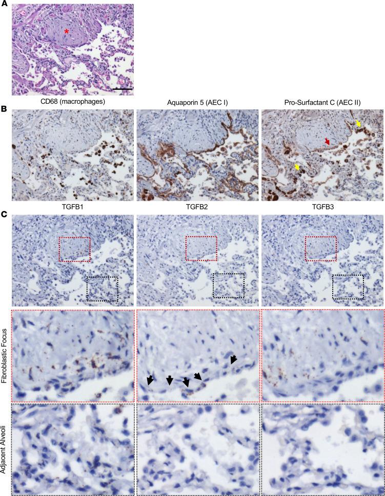
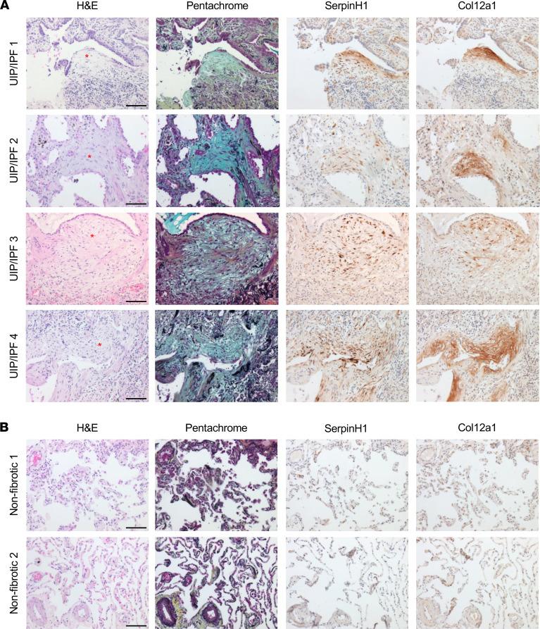
Usual interstitial pneumonia (UIP) is a histological pattern characteristic of idiopathic pulmonary fibrosis (IPF). The UIP pattern is patchy with histologically normal lung adjacent to dense fibrotic tissue. At this interface, fibroblastic foci (FF) are present and are sites where myofibroblasts and extracellular matrix (ECM) accumulate. Utilizing laser capture microdissection-coupled mass spectrometry, we interrogated the FF, adjacent mature scar, and adjacent alveoli in 6 fibrotic (UIP/IPF) specimens plus 6 nonfibrotic alveolar specimens as controls. The data were subjected to qualitative and quantitative analysis and histologically validated. We found that the fibrotic alveoli protein signature is defined by immune deregulation as the strongest category. The fibrotic mature scar classified as end-stage fibrosis whereas the FF contained an overabundance of a distinctive ECM compared with the nonfibrotic control. Furthermore, FF were positive for both TGFB1 and TGFB3, whereas the aberrant basaloid cell lining of FF was predominantly positive for TGFB2. In conclusion, spatial proteomics demonstrated distinct protein compositions in the histologically defined regions of UIP/IPF tissue. These data revealed that FF are the main site of collagen biosynthesis and that the adjacent alveoli are abnormal. This essential information will inform future mechanistic studies on fibrosis progression.

摘要

普通型间质性肺炎(UIP)是特发性肺纤维化(IPF)的一种组织学模式。UIP 模式呈斑片状,相邻的正常肺组织与致密的纤维组织相邻。在这个界面上,存在成纤维细胞灶(FF),是肌成纤维细胞和细胞外基质(ECM)积聚的部位。利用激光捕获显微切割-质谱联用技术,我们对 6 例纤维化(UIP/IPF)标本中的 FF、相邻成熟瘢痕和相邻肺泡以及 6 例非纤维化肺泡标本进行了检测。对数据进行了定性和定量分析,并进行了组织学验证。我们发现,纤维化肺泡的蛋白特征是免疫失调,这是最强的类别。纤维化成熟瘢痕被归类为终末期纤维化,而 FF 中含有大量独特的 ECM,与非纤维化对照相比明显过多。此外,FF 均为 TGFB1 和 TGFB3 阳性,而 FF 的基底样细胞衬里主要为 TGFB2 阳性。总之,空间蛋白质组学显示 UIP/IPF 组织中不同的组织学定义区域存在不同的蛋白质组成。这些数据表明,FF 是胶原生物合成的主要部位,而相邻的肺泡是异常的。这些重要信息将为纤维化进展的未来机制研究提供信息。

https://cdn.ncbi.nlm.nih.gov/pmc/blobs/16a1/9462507/8278f86047a7/jciinsight-7-156115-g051.jpg
https://cdn.ncbi.nlm.nih.gov/pmc/blobs/16a1/9462507/6c79cbb2f9d6/jciinsight-7-156115-g043.jpg
https://cdn.ncbi.nlm.nih.gov/pmc/blobs/16a1/9462507/0c711d76ee47/jciinsight-7-156115-g044.jpg
https://cdn.ncbi.nlm.nih.gov/pmc/blobs/16a1/9462507/504df778474e/jciinsight-7-156115-g045.jpg
https://cdn.ncbi.nlm.nih.gov/pmc/blobs/16a1/9462507/39c9878dc74c/jciinsight-7-156115-g046.jpg
https://cdn.ncbi.nlm.nih.gov/pmc/blobs/16a1/9462507/789c984c6696/jciinsight-7-156115-g047.jpg
https://cdn.ncbi.nlm.nih.gov/pmc/blobs/16a1/9462507/337041c6dd94/jciinsight-7-156115-g048.jpg
https://cdn.ncbi.nlm.nih.gov/pmc/blobs/16a1/9462507/daa873d90432/jciinsight-7-156115-g049.jpg
https://cdn.ncbi.nlm.nih.gov/pmc/blobs/16a1/9462507/c306b0f2efd8/jciinsight-7-156115-g050.jpg
https://cdn.ncbi.nlm.nih.gov/pmc/blobs/16a1/9462507/8278f86047a7/jciinsight-7-156115-g051.jpg
https://cdn.ncbi.nlm.nih.gov/pmc/blobs/16a1/9462507/6c79cbb2f9d6/jciinsight-7-156115-g043.jpg
https://cdn.ncbi.nlm.nih.gov/pmc/blobs/16a1/9462507/0c711d76ee47/jciinsight-7-156115-g044.jpg
https://cdn.ncbi.nlm.nih.gov/pmc/blobs/16a1/9462507/504df778474e/jciinsight-7-156115-g045.jpg
https://cdn.ncbi.nlm.nih.gov/pmc/blobs/16a1/9462507/39c9878dc74c/jciinsight-7-156115-g046.jpg
https://cdn.ncbi.nlm.nih.gov/pmc/blobs/16a1/9462507/789c984c6696/jciinsight-7-156115-g047.jpg
https://cdn.ncbi.nlm.nih.gov/pmc/blobs/16a1/9462507/337041c6dd94/jciinsight-7-156115-g048.jpg
https://cdn.ncbi.nlm.nih.gov/pmc/blobs/16a1/9462507/daa873d90432/jciinsight-7-156115-g049.jpg
https://cdn.ncbi.nlm.nih.gov/pmc/blobs/16a1/9462507/c306b0f2efd8/jciinsight-7-156115-g050.jpg
https://cdn.ncbi.nlm.nih.gov/pmc/blobs/16a1/9462507/8278f86047a7/jciinsight-7-156115-g051.jpg

相似文献

1
The UIP/IPF fibroblastic focus is a collagen biosynthesis factory embedded in a distinct extracellular matrix.UIP/IPF 纤维母细胞灶是一个嵌入在独特细胞外基质中的胶原生物合成工厂。
JCI Insight. 2022 Aug 22;7(16):e156115. doi: 10.1172/jci.insight.156115.
2
Location of Fibroblastic Foci: Does the Lesion You Observe Really Suggest Usual Interstitial Pneumonia?成纤维细胞灶的位置:你观察到的病变真的提示为普通型间质性肺炎吗?
Mod Pathol. 2025 Mar;38(3):100675. doi: 10.1016/j.modpat.2024.100675. Epub 2024 Nov 29.
3
Comparative Analysis of Gene Expression in Fibroblastic Foci in Patients with Idiopathic Pulmonary Fibrosis and Pulmonary Sarcoidosis.特发性肺纤维化和肺结节病患者成纤维灶中基因表达的比较分析。
Cells. 2022 Feb 14;11(4):664. doi: 10.3390/cells11040664.
4
RNA Sequencing of Epithelial Cell/Fibroblastic Foci Sandwich in Idiopathic Pulmonary Fibrosis: New Insights on the Signaling Pathway.特发性肺纤维化上皮细胞/成纤维细胞焦点夹心的 RNA 测序:信号通路的新见解。
Int J Mol Sci. 2022 Mar 19;23(6):3323. doi: 10.3390/ijms23063323.
5
Migratory marker expression in fibroblast foci of idiopathic pulmonary fibrosis.特发性肺纤维化成纤维细胞灶中的迁移标志物表达
Respir Res. 2006 Jun 30;7(1):95. doi: 10.1186/1465-9921-7-95.
6
Usual interstitial pneumonia end-stage features from explants with radiologic and pathological correlations.来自外植体的终末期寻常型间质性肺炎特征及其影像学与病理学相关性
Ann Diagn Pathol. 2015 Aug;19(4):269-76. doi: 10.1016/j.anndiagpath.2015.05.003. Epub 2015 May 13.
7
Up-regulation by overexpression of c-MET in fibroblastic foci of usual interstitial pneumonia.过表达 c-MET 在上皮样细胞灶性纤维化中的上调作用。
Pathologica. 2023 Dec;115(6):308-317. doi: 10.32074/1591-951X-920. Epub 2023 Oct 9.
8
The histopathology of idiopathic pulmonary fibrosis in West Highland white terriers shares features of both non-specific interstitial pneumonia and usual interstitial pneumonia in man.西部高地白梗特发性肺纤维化的组织病理学兼具人类非特异性间质性肺炎和普通间质性肺炎的特征。
J Comp Pathol. 2013 Aug-Oct;149(2-3):303-13. doi: 10.1016/j.jcpa.2013.03.006. Epub 2013 May 9.
9
Morphologically intact airways in lung fibrosis have an abnormal proteome.肺纤维化中形态完整的气道具有异常的蛋白质组。
Respir Res. 2023 Apr 1;24(1):99. doi: 10.1186/s12931-023-02400-x.
10
Prognostic significance of fibroblastic foci in usual interstitial pneumonia and non-specific interstitial pneumonia.纤维母细胞灶在普通型间质性肺炎和非特异性间质性肺炎中的预后意义。
Respirology. 2013 Feb;18(2):278-83. doi: 10.1111/j.1440-1843.2012.02272.x.

引用本文的文献

1
Time-resolved dual transcriptomics of biofilm formation in cystic fibrosis.囊性纤维化中生物膜形成的时间分辨双转录组学
Biofilm. 2025 Jul 2;10:100301. doi: 10.1016/j.bioflm.2025.100301. eCollection 2025 Dec.
2
Single cell transcriptomics in a treatment-segregated cohort exposes a STAT3-regulated therapeutic gap in idiopathic pulmonary fibrosis.在一个按治疗分组的队列中进行的单细胞转录组学研究揭示了特发性肺纤维化中由STAT3调节的治疗差距。
bioRxiv. 2025 Jun 21:2025.06.16.659944. doi: 10.1101/2025.06.16.659944.
3
An orally bioavailable BRD4 inhibitor disrupts expansion of a pathogenic epithelial-mesenchymal niche in bleomycin-induced fibrosis.

本文引用的文献

1
MicroRNAs in Mechanical Homeostasis.微小 RNA 在机械动态平衡中的作用。
Cold Spring Harb Perspect Med. 2022 Aug 15;12(8):a041220. doi: 10.1101/cshperspect.a041220.
2
Comparative Analysis of Gene Expression in Fibroblastic Foci in Patients with Idiopathic Pulmonary Fibrosis and Pulmonary Sarcoidosis.特发性肺纤维化和肺结节病患者成纤维灶中基因表达的比较分析。
Cells. 2022 Feb 14;11(4):664. doi: 10.3390/cells11040664.
3
SPTBN2 regulated by miR-424-5p promotes endometrial cancer progression via CLDN4/PI3K/AKT axis.受miR-424-5p调控的SPTBN2通过CLDN4/PI3K/AKT轴促进子宫内膜癌进展。
一种口服生物可利用的BRD4抑制剂可破坏博来霉素诱导的纤维化中致病性上皮-间质生态位的扩张。
Respir Res. 2025 Jul 2;26(1):221. doi: 10.1186/s12931-025-03306-6.
4
The MUC5B promoter variant results in proteomic changes in the nonfibrotic lung.MUC5B启动子变体导致非纤维化肺中的蛋白质组学变化。
JCI Insight. 2025 Jun 17;10(14). doi: 10.1172/jci.insight.189636. eCollection 2025 Jul 22.
5
Mechanisms on How Matricellular Microenvironments Sustain Idiopathic Pulmonary Fibrosis.基质细胞微环境维持特发性肺纤维化的机制
Int J Mol Sci. 2025 Jun 4;26(11):5393. doi: 10.3390/ijms26115393.
6
Collagen VII Is Associated with Airway Remodeling, Honeycombing, and Fibroblast Foci in Usual Interstitial Pneumonia/Idiopathic Pulmonary Fibrosis.Ⅶ型胶原蛋白与寻常型间质性肺炎/特发性肺纤维化中的气道重塑、蜂窝状改变及成纤维细胞灶相关。
Am J Pathol. 2025 Aug;195(8):1467-1483. doi: 10.1016/j.ajpath.2025.03.013. Epub 2025 Apr 29.
7
Novel Integration of Spatial and Single-Cell Omics Data Sets Enables Deeper Insights into IPF Pathogenesis.空间和单细胞组学数据集的新型整合能够更深入地洞察特发性肺纤维化的发病机制。
Proteomes. 2025 Jan 13;13(1):3. doi: 10.3390/proteomes13010003.
8
The fibronectin-targeting PEG-FUD imaging probe shows enhanced uptake during fibrogenesis in experimental lung fibrosis.靶向纤连蛋白的聚乙二醇-氟尿嘧啶成像探针在实验性肺纤维化的纤维化形成过程中显示出摄取增强。
Respir Res. 2025 Jan 22;26(1):34. doi: 10.1186/s12931-025-03107-x.
9
Endocytic recycling is central to circadian collagen fibrillogenesis and disrupted in fibrosis.内吞循环对于昼夜节律性胶原纤维生成至关重要,且在纤维化过程中受到破坏。
Elife. 2025 Jan 15;13:RP95842. doi: 10.7554/eLife.95842.
10
The Role of Activated Stromal Cells in Fibrotic Foci Formation and Reversion.活化基质细胞在纤维化病灶形成和逆转中的作用。
Cells. 2024 Dec 13;13(24):2064. doi: 10.3390/cells13242064.
Cell Death Discov. 2021 Dec 9;7(1):382. doi: 10.1038/s41420-021-00776-7.
4
Small leucine-rich proteoglycans in physiological and biomechanical function of bone.富含亮氨酸的小分子蛋白聚糖在骨骼的生理和生物力学功能中的作用
Matrix Biol Plus. 2021 May 6;11:100063. doi: 10.1016/j.mbplus.2021.100063. eCollection 2021 Aug.
5
TGFβ2 and TGFβ3 isoforms drive fibrotic disease pathogenesis.TGFβ2 和 TGFβ3 亚型驱动纤维化疾病发病机制。
Sci Transl Med. 2021 Aug 4;13(605). doi: 10.1126/scitranslmed.abe0407.
6
Small Airway Reduction and Fibrosis Is an Early Pathologic Feature of Idiopathic Pulmonary Fibrosis.小气道减少和纤维化是特发性肺纤维化的早期病理特征。
Am J Respir Crit Care Med. 2021 Nov 1;204(9):1048-1059. doi: 10.1164/rccm.202103-0585OC.
7
The perplexing role of RAGE in pulmonary fibrosis: causality or casualty?AGE 在肺纤维化中的复杂作用:因果关系还是牺牲品?
Ther Adv Respir Dis. 2021 Jan-Dec;15:17534666211016071. doi: 10.1177/17534666211016071.
8
Ppic modulates CCl-induced liver fibrosis and TGF-β-caused mouse hepatic stellate cell activation and regulated by miR-137-3p.Piccolo 调节 CCl 诱导的肝纤维化和 TGF-β引起的小鼠肝星状细胞活化,并受 miR-137-3p 调控。
Toxicol Lett. 2021 Oct 10;350:52-61. doi: 10.1016/j.toxlet.2021.06.021. Epub 2021 Jul 2.
9
Collagen Biosynthesis, Processing, and Maturation in Lung Ageing.肺衰老过程中的胶原蛋白生物合成、加工与成熟
Front Med (Lausanne). 2021 May 20;8:593874. doi: 10.3389/fmed.2021.593874. eCollection 2021.
10
Reticulocalbin 3 is involved in postnatal tendon development by regulating collagen fibrillogenesis and cellular maturation.网钙蛋白 3 通过调节胶原原纤维的形成和细胞成熟参与肌腱的出生后发育。
Sci Rep. 2021 May 25;11(1):10868. doi: 10.1038/s41598-021-90258-8.