Department of Cardiac, Thoracic, Vascular Sciences and Public Health, University of Padova, 35128 Padova, Italy.
Padova University Hospital, 35128 Padova, Italy.
Int J Mol Sci. 2022 Mar 19;23(6):3323. doi: 10.3390/ijms23063323.
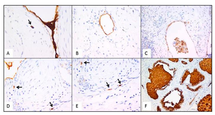
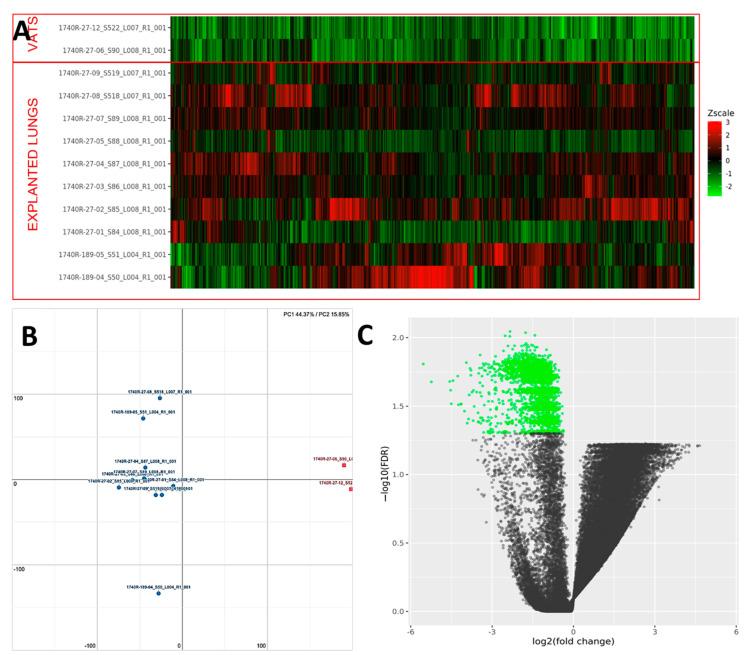
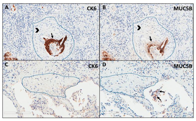
Idiopathic pulmonary fibrosis (IPF) is a progressive and fatal lung disease characterized by irreversible scarring of the distal lung. IPF is best described by its histopathological pattern of usual interstitial pneumonia (UIP), characterized by spatial heterogeneity with alternating interstitial fibrosis and areas of normal lung, and temporal heterogeneity of fibrosis characterized by scattered fibroblastic foci (FF), dense acellular collagen and honeycomb changes. FF, comprising aggregated fibroblasts/myofibroblasts surrounded by metaplastic epithelial cells (EC), are the cardinal pathological lesion and their presence strongly correlates with disease progression and mortality. We hypothesized that the EC/FF sandwich from patients with UIP/IPF has a distinct molecular signature which could offer new insights into the crosstalk of these two crucial actors in the disease. Laser capture microdissection with RNAseq was used to investigate the transcriptome of the EC/FF sandwich from IPF patients versus controls (primary spontaneous pneumothorax). Differentially expressed gene analysis identified 23 up-regulated genes mainly related to epithelial dysfunction. Gene ontology analysis highlighted the activation of different pathways, mainly related to EC, immune response and programmed cell death. This study provides novel insights into the IPF pathogenetic pathways and suggests that targeting some of these up-regulated pathways (particularly those related to secreto-protein/mucin dysfunction) may be beneficial in IPF. Further studies in a larger number of lung samples, ideally from patients with early and advanced disease, are needed to validate these findings.
特发性肺纤维化(IPF)是一种进行性和致命性肺部疾病,其特征是远端肺部不可逆转的瘢痕形成。IPF 最好通过其组织病理学模式——通常间质性肺炎(UIP)来描述,其特征是空间异质性,伴有间质纤维化和正常肺区域交替,以及纤维化的时间异质性,表现为散在的成纤维细胞灶(FF)、无细胞胶原和蜂窝状改变。FF 由围绕着上皮细胞(EC)的聚集成纤维细胞/肌成纤维细胞组成,是主要的病理损伤,其存在与疾病进展和死亡率密切相关。我们假设 UIP/IPF 患者的 EC/FF 三明治具有独特的分子特征,这可能为了解疾病中这两个关键因素的相互作用提供新的见解。我们使用激光捕获微切割和 RNAseq 技术研究了来自 IPF 患者与对照(自发性气胸)的 EC/FF 三明治的转录组。差异表达基因分析确定了 23 个上调基因,主要与上皮功能障碍有关。基因本体论分析强调了不同途径的激活,主要与 EC、免疫反应和程序性细胞死亡有关。这项研究为 IPF 的发病机制途径提供了新的见解,并表明针对其中一些上调途径(特别是与 secretopro-tein/粘蛋白功能障碍相关的途径)可能对 IPF 有益。需要在更多的肺样本中进行进一步的研究,理想情况下是在早期和晚期疾病患者中进行,以验证这些发现。