Suppr超能文献

在囊肿 - 腹腔分流术失败后,对与1型神经纤维瘤病相关的巨大胸腔内脊膜膨出进行手术修复:病例说明

Surgical repair of a large intrathoracic meningocele associated with neurofibromatosis type 1 after failed cystoperitoneal shunts: illustrative case.

作者信息

Sum Christopher H F, Li Lai-Fung, Taw Benedict B T, Lui Wai-Man, Sit Ko-Yung, Chow Velda L Y, Wong Yat-Wa

机构信息

Divisions of Neurosurgery.

Cardiothoracic Surgery, and.

出版信息

J Neurosurg Case Lessons. 2021 Sep 6;2(10):CASE21404. doi: 10.3171/CASE21404.

Abstract

BACKGROUND

Surgical treatment of intrathoracic meningoceles, commonly associated with neurofibromatosis type 1 (NF1), aims to reduce sac size for symptomatic relief. The procedures can be divided into cerebrospinal fluid diversion and definitive repair. The authors describe the management of an intrathoracic meningocele in a 56-year-old female with preexisting NF1.

OBSERVATIONS

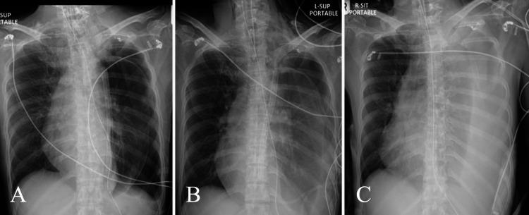
The patient presented with progressive dyspnea. Magnetic resonance imaging revealed a left hemithoracic meningocele arising from the thecal sac at C7-T2. Two attempts at diversion by cystoperitoneal shunts resulted in recurrence. For definitive repair, T2-3 costotransversectomy was performed, and intradural closure of the meningocele opening was performed utilizing spinal dura and autologous fascia lata graft. Trapezius muscle regional flap was turned for reinforcement. Persistent leak warranted reoperation 7 days later. A transthoracic approach was undertaken using video-assisted thoracoscopic resection of the sac at aortic arch level, with reinforcement by latissimus dorsi flap and synthetic materials. Mechanical pleurodesis was performed. Intradural repair of the meningocele opening was revised.

LESSONS

Inherent dural abnormality makes repair difficult for meningoceles associated with NF1. A combined intradural and thoracoscopic approach with regional muscle flap and synthetic material reinforcement is a unique method for definitive treatment. Some essential points of perioperative management are highlighted.

摘要

背景

胸内脊膜膨出的手术治疗通常与1型神经纤维瘤病(NF1)相关,旨在缩小囊袋大小以缓解症状。手术可分为脑脊液分流术和确定性修复术。作者描述了一名患有NF1的56岁女性胸内脊膜膨出的治疗情况。

观察结果

患者表现为进行性呼吸困难。磁共振成像显示在C7 - T2水平的硬脊膜囊出现左侧半胸脊膜膨出。两次尝试通过膀胱腹膜分流术进行分流均导致复发。为进行确定性修复,实施了T2 - 3肋横突切除术,并使用硬脊膜和自体阔筋膜移植对脊膜膨出开口进行硬膜内闭合。翻转斜方肌区域皮瓣进行加固。持续渗漏促使在7天后再次手术。采用经胸入路,在主动脉弓水平通过电视辅助胸腔镜切除囊袋,并用背阔肌皮瓣和合成材料进行加固。实施了机械性胸膜固定术。对脊膜膨出开口的硬膜内修复进行了修正。

经验教训

固有硬脑膜异常使与NF1相关的脊膜膨出修复困难。硬膜内和胸腔镜联合入路并结合区域肌皮瓣和合成材料加固是一种独特的确定性治疗方法。强调了围手术期管理的一些要点。

https://cdn.ncbi.nlm.nih.gov/pmc/blobs/f8b2/9265225/b07d90f74e54/CASE21404f1.jpg

文献检索

告别复杂PubMed语法,用中文像聊天一样搜索,搜遍4000万医学文献。AI智能推荐,让科研检索更轻松。

立即免费搜索

文件翻译

保留排版,准确专业,支持PDF/Word/PPT等文件格式,支持 12+语言互译。

免费翻译文档

深度研究

AI帮你快速写综述,25分钟生成高质量综述,智能提取关键信息,辅助科研写作。

立即免费体验