• 文献检索
  • 文档翻译
  • 深度研究
  • 学术资讯
  • Suppr Zotero 插件Zotero 插件
  • 邀请有礼
  • 套餐&价格
  • 历史记录
应用&插件
Suppr Zotero 插件Zotero 插件浏览器插件Mac 客户端Windows 客户端微信小程序
定价
高级版会员购买积分包购买API积分包
服务
文献检索文档翻译深度研究API 文档MCP 服务
关于我们
关于 Suppr公司介绍联系我们用户协议隐私条款
关注我们

Suppr 超能文献

核心技术专利:CN118964589B侵权必究
粤ICP备2023148730 号-1Suppr @ 2026

文献检索

告别复杂PubMed语法,用中文像聊天一样搜索,搜遍4000万医学文献。AI智能推荐,让科研检索更轻松。

立即免费搜索

文件翻译

保留排版,准确专业,支持PDF/Word/PPT等文件格式,支持 12+语言互译。

免费翻译文档

深度研究

AI帮你快速写综述,25分钟生成高质量综述,智能提取关键信息,辅助科研写作。

立即免费体验

甲状腺乳头状癌的“暴风雪”外观:三例临床病理分析。

Thyroid papillary carcinoma with the 'snowstorm appearance': a clinicopathological analysis of three cases.

机构信息

Department of Pathology, The Fourth Affiliated Hospital of Henan University of Science and Technology, Anyang Tumour Hospital, Anyang, Henan Province, China.

出版信息

J Int Med Res. 2022 Jul;50(7):3000605221099465. doi: 10.1177/03000605221099465.

DOI:10.1177/03000605221099465
PMID:35866423
原文链接:https://pmc.ncbi.nlm.nih.gov/articles/PMC9310243/
Abstract

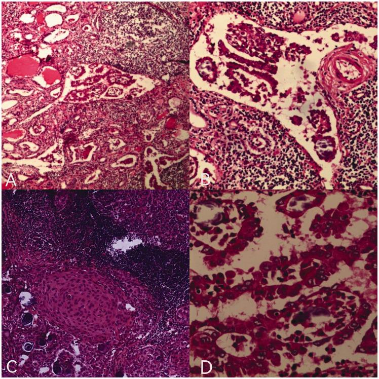
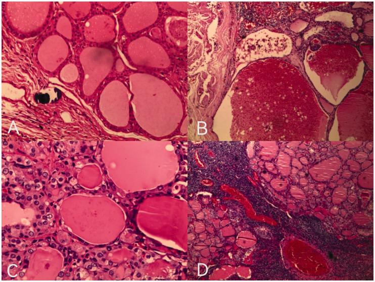
This current case report presents the detailed clinicopathological analysis of three patients with papillary thyroid carcinoma, each of which presented with the 'snowstorm appearance' on ultrasonography. Ultrasonography of this tumour typically shows a diffusely enlarged thyroid with hypoechoic and heterogeneous internal echoes, and diffusely scattered microcalcifications, which form the 'snowstorm appearance'. Microscopically, case 1 had a large number of psammoma bodies, infiltration of lymphocytes, formation of lymphatic follicles and extensive squamous metaplasia, leading to the diagnosis of a diffuse sclerosing variant of papillary thyroid carcinoma (DSVPTC). Case 2 was diagnosed with follicular papillary thyroid carcinoma. Their tumour had numerous calcifications in the stroma and follicles. Case 3 was diagnosed with a multifocal papillary thyroid carcinoma in the background of Hashimoto's thyroiditis. Their tumour showed calcification in the stroma and follicles, together with cervical lymph node metastasis. DSVPTC is a rare variant of thyroid papillary carcinoma. It has the 'snowstorm appearance' on ultrasound, but this can also be found in follicular papillary carcinoma and multifocal thyroid papillary carcinoma. Papillary thyroid carcinoma with the 'snowstorm appearance' has a large number of peripheral lymph nodes metastases, thus requiring radical surgery and postoperative adjuvant therapy.

摘要

本病例报告详细分析了 3 例表现为超声“暴风雪征”的甲状腺乳头状癌患者。这种肿瘤的超声表现通常为弥漫性肿大的甲状腺,呈低回声和不均匀的内部回声,弥漫性散布微钙化,形成“暴风雪征”。显微镜下,病例 1 有大量砂粒体、淋巴细胞浸润、淋巴滤泡形成和广泛的鳞状化生,诊断为弥漫性硬化型甲状腺乳头状癌(DSVPTC)。病例 2 诊断为滤泡状甲状腺乳头状癌。他们的肿瘤在基质和滤泡中有许多钙化。病例 3 诊断为桥本甲状腺炎背景下的多灶性甲状腺乳头状癌。他们的肿瘤在基质和滤泡中显示出钙化,并伴有颈部淋巴结转移。DSVPTC 是甲状腺乳头状癌的一种罕见变体。它在超声上表现为“暴风雪征”,但也可见于滤泡状甲状腺乳头状癌和多灶性甲状腺乳头状癌。表现为“暴风雪征”的甲状腺乳头状癌有大量外周淋巴结转移,因此需要根治性手术和术后辅助治疗。

https://cdn.ncbi.nlm.nih.gov/pmc/blobs/0c5f/9310243/180ca3a7f642/10.1177_03000605221099465-fig4.jpg
https://cdn.ncbi.nlm.nih.gov/pmc/blobs/0c5f/9310243/357ed456c6c7/10.1177_03000605221099465-fig1.jpg
https://cdn.ncbi.nlm.nih.gov/pmc/blobs/0c5f/9310243/2cde174cd88e/10.1177_03000605221099465-fig2.jpg
https://cdn.ncbi.nlm.nih.gov/pmc/blobs/0c5f/9310243/8e59a7e5d7fb/10.1177_03000605221099465-fig3.jpg
https://cdn.ncbi.nlm.nih.gov/pmc/blobs/0c5f/9310243/180ca3a7f642/10.1177_03000605221099465-fig4.jpg
https://cdn.ncbi.nlm.nih.gov/pmc/blobs/0c5f/9310243/357ed456c6c7/10.1177_03000605221099465-fig1.jpg
https://cdn.ncbi.nlm.nih.gov/pmc/blobs/0c5f/9310243/2cde174cd88e/10.1177_03000605221099465-fig2.jpg
https://cdn.ncbi.nlm.nih.gov/pmc/blobs/0c5f/9310243/8e59a7e5d7fb/10.1177_03000605221099465-fig3.jpg
https://cdn.ncbi.nlm.nih.gov/pmc/blobs/0c5f/9310243/180ca3a7f642/10.1177_03000605221099465-fig4.jpg

相似文献

1
Thyroid papillary carcinoma with the 'snowstorm appearance': a clinicopathological analysis of three cases.甲状腺乳头状癌的“暴风雪”外观:三例临床病理分析。
J Int Med Res. 2022 Jul;50(7):3000605221099465. doi: 10.1177/03000605221099465.
2
Sonographic characteristics of diffuse sclerosing variant of papillary thyroid carcinoma with histopathological correlation: a preliminary study.超声表现特征与弥漫硬化型甲状腺乳头状癌的组织病理学相关性:初步研究。
Orphanet J Rare Dis. 2024 Mar 26;19(1):136. doi: 10.1186/s13023-023-02867-3.
3
Diffuse sclerosing variant of papillary carcinoma of the thyroid: imaging and cytologic findings.甲状腺乳头状癌的弥漫性硬化变异型:影像学及细胞学表现
Thyroid. 2007 Jun;17(6):567-73. doi: 10.1089/thy.2006.0321.
4
Shear wave elastography in the evaluation of level VI lymph nodes in papillary thyroid carcinoma: combined with gray-scale ultrasound ex vivo.剪切波弹性成像在评估甲状腺乳头状癌 VI 级淋巴结中的应用:结合灰阶超声的离体研究。
BMC Cancer. 2018 Oct 20;18(1):1001. doi: 10.1186/s12885-018-4897-1.
5
Papillary thyroid carcinoma in a 7-year-old boy presenting with a goitre without microcalcifications and enlarged cervical lymph nodes.7 岁男孩患甲状腺乳头状癌,表现为甲状腺肿,无微钙化和颈淋巴结肿大。
BMJ Case Rep. 2021 Jul 15;14(7):e242278. doi: 10.1136/bcr-2021-242278.
6
Diffuse sclerosing variant of papillary thyroid carcinoma--an update of its clinicopathological features and molecular biology.弥漫硬化型甲状腺乳头状癌——其临床病理特征和分子生物学的最新研究进展。
Crit Rev Oncol Hematol. 2015 Apr;94(1):64-73. doi: 10.1016/j.critrevonc.2014.12.001. Epub 2014 Dec 18.
7
Papillary thyroid carcinoma of a diffuse sclerosing variant: ultrasonographic monitoring from a normal thyroid gland to mass formation.弥漫硬化型甲状腺乳头状癌:从正常甲状腺到肿块形成的超声监测。
Korean J Radiol. 2010 Sep-Oct;11(5):579-82. doi: 10.3348/kjr.2010.11.5.579. Epub 2010 Aug 27.
8
Diffuse sclerosing variant of papillary carcinoma of the thyroid. A histopathological study of four cases.甲状腺乳头状癌的弥漫性硬化变异型。4例组织病理学研究。
Acta Pathol Jpn. 1990 Mar;40(3):193-8. doi: 10.1111/j.1440-1827.1990.tb03322.x.
9
Sonographic features of primary tumor as independent predictive factors for lymph node metastasis in papillary thyroid carcinoma.甲状腺乳头状癌中原发肿瘤的超声特征作为淋巴结转移的独立预测因素。
Clin Transl Oncol. 2015 Oct;17(10):830-4. doi: 10.1007/s12094-015-1313-z. Epub 2015 Jun 4.
10
Integrating BRAF mutation, ultrasonic and clinicopathologic characteristics for predicting the risk of cervical central lymph node metastasis in papillary thyroid carcinoma.整合 BRAF 突变、超声及临床病理特征预测甲状腺乳头状癌中央区淋巴结转移风险
BMC Cancer. 2022 Apr 27;22(1):461. doi: 10.1186/s12885-022-09550-z.

引用本文的文献

1
Aggressive Types of Malignant Thyroid Neoplasms.侵袭性恶性甲状腺肿瘤类型
J Clin Med. 2024 Oct 14;13(20):6119. doi: 10.3390/jcm13206119.

本文引用的文献

1
Chest imaging using signs, symbols, and naturalistic images: a practical guide for radiologists and non-radiologists.使用体征、符号和自然图像的胸部成像:放射科医生和非放射科医生实用指南
Insights Imaging. 2019 Dec 4;10(1):114. doi: 10.1186/s13244-019-0789-4.
2
Correlations between Molecular Landscape and Sonographic Image of Different Variants of Papillary Thyroid Carcinoma.甲状腺乳头状癌不同变体的分子特征与超声图像之间的相关性
J Clin Med. 2019 Nov 8;8(11):1916. doi: 10.3390/jcm8111916.
3
Risk factor analysis for predicting cervical lymph node metastasis in papillary thyroid carcinoma: a study of 966 patients.
分析预测甲状腺乳头状癌颈淋巴结转移的风险因素:966 例患者研究。
BMC Cancer. 2019 Jun 25;19(1):622. doi: 10.1186/s12885-019-5835-6.
4
Magnetic resonance elastography (MRE) in cancer: Technique, analysis, and applications.癌症中的磁共振弹性成像(MRE):技术、分析及应用
Prog Nucl Magn Reson Spectrosc. 2015 Nov;90-91:32-48. doi: 10.1016/j.pnmrs.2015.06.001. Epub 2015 Jun 23.
5
Diffuse sclerosing variant of papillary thyroid carcinoma: major genetic alterations and prognostic implications.甲状腺乳头状癌弥漫性硬化变异型:主要基因改变及预后意义
Histopathology. 2016 Jul;69(1):45-53. doi: 10.1111/his.12902. Epub 2016 Jan 11.
6
BRAF (V600E) mutation in isthmic malignant thyroid nodules.峡部恶性甲状腺结节中的BRAF(V600E)突变
Clin Endocrinol (Oxf). 2016 Jan;84(1):152-3. doi: 10.1111/cen.12858. Epub 2015 Aug 10.
7
Diffuse sclerosing variant of papillary thyroid carcinoma--an update of its clinicopathological features and molecular biology.弥漫硬化型甲状腺乳头状癌——其临床病理特征和分子生物学的最新研究进展。
Crit Rev Oncol Hematol. 2015 Apr;94(1):64-73. doi: 10.1016/j.critrevonc.2014.12.001. Epub 2014 Dec 18.
8
The CARE guidelines: consensus-based clinical case reporting guideline development.CARE 指南:基于共识的临床病例报告指南制定。
Headache. 2013 Nov-Dec;53(10):1541-7. doi: 10.1111/head.12246.
9
Diffuse sclerosing variant of papillary thyroid carcinoma: a study of fine needle aspiration cytology in 20 patients.甲状腺乳头状癌弥漫性硬化变异型:20例患者的细针穿刺细胞学研究
Cytopathology. 2014 Jun;25(3):199-204. doi: 10.1111/cyt.12076. Epub 2013 Jun 20.
10
Diffuse sclerosing variant of papillary thyroid carcinoma: sonography and specimen radiography.弥漫硬化型甲状腺乳头状癌的超声表现与标本 X 线摄影。
J Ultrasound Med. 2013 Feb;32(2):347-54. doi: 10.7863/jum.2013.32.2.347.