• 文献检索
  • 文档翻译
  • 深度研究
  • 学术资讯
  • Suppr Zotero 插件Zotero 插件
  • 邀请有礼
  • 套餐&价格
  • 历史记录
应用&插件
Suppr Zotero 插件Zotero 插件浏览器插件Mac 客户端Windows 客户端微信小程序
定价
高级版会员购买积分包购买API积分包
服务
文献检索文档翻译深度研究API 文档MCP 服务
关于我们
关于 Suppr公司介绍联系我们用户协议隐私条款
关注我们

Suppr 超能文献

核心技术专利:CN118964589B侵权必究
粤ICP备2023148730 号-1Suppr @ 2026

文献检索

告别复杂PubMed语法,用中文像聊天一样搜索,搜遍4000万医学文献。AI智能推荐,让科研检索更轻松。

立即免费搜索

文件翻译

保留排版,准确专业,支持PDF/Word/PPT等文件格式,支持 12+语言互译。

免费翻译文档

深度研究

AI帮你快速写综述,25分钟生成高质量综述,智能提取关键信息,辅助科研写作。

立即免费体验

在模拟微重力条件下,PINK1 依赖的线粒体自噬降低了内皮细胞的高通透性和细胞迁移能力。

PINK1-Dependent Mitophagy Reduced Endothelial Hyperpermeability and Cell Migration Capacity Under Simulated Microgravity.

作者信息

Li Chengfei, Pan Yikai, Tan Yingjun, Wang Yongchun, Sun Xiqing

机构信息

Department of Aerospace Medical Training, School of Aerospace Medicine, Fourth Military Medical University, Xi'an, China.

China Astronaut Research and Training Center, Beijing, China.

出版信息

Front Cell Dev Biol. 2022 Jul 7;10:896014. doi: 10.3389/fcell.2022.896014. eCollection 2022.

DOI:10.3389/fcell.2022.896014
PMID:35874841
原文链接:https://pmc.ncbi.nlm.nih.gov/articles/PMC9300855/
Abstract

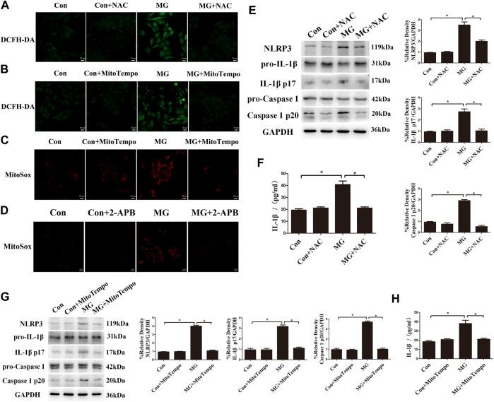
The effect of cardiovascular dysfunction including orthostatic intolerance and disability on physical exercise is one of the health problems induced by long-term spaceflight astronauts face. As an important part of vascular structure, the vascular endothelium, uniquely sensitive to mechanical force, plays a pivotal role in coordinating vascular functions. Our study found that simulated microgravity induced PINK1-dependent mitophagy in human umbilical vein endothelial cells (HUVECs). Here, we explored the underlying mechanism of mitophagy induction. The ER stress induced by proteostasis failure in HUVECs promoted the Ca transfer from ER to mitochondria, resulting in mitochondria Ca overload, decreased mitochondrial membrane potential, mitochondria fission, and accumulation of Parkin and p62 in mitochondria and mitophagy under simulated microgravity. Moreover, we assumed that mitophagy played a vital role in functional changes in endothelial cells under simulated microgravity. Using mdivi-1 and PINK1 knockdown, we found that NLRP3 inflammasome activation was enhanced after mitophagy was inhibited. The NLRP3 inflammasome contributed to endothelial hyperpermeability and cellular migration by releasing IL-1β. Thus, mitophagy inhibited cell migration ability and hyperpermeability in HUVECs exposed to clinostat-simulated microgravity. Collectively, we here clarify the mechanism of mitophagy induction by simulated microgravity and demonstrate the relationship between mitophagy and vascular endothelial functional changes including cellular migration and permeability. This study deepens the understanding of vascular functional changes under microgravity.

摘要

心血管功能障碍(包括体位性不耐受和功能残疾)对体育锻炼的影响是长期太空飞行的宇航员所面临的健康问题之一。作为血管结构的重要组成部分,血管内皮对机械力具有独特的敏感性,在协调血管功能方面起着关键作用。我们的研究发现,模拟微重力可诱导人脐静脉内皮细胞(HUVECs)中依赖PINK1的线粒体自噬。在此,我们探讨了线粒体自噬诱导的潜在机制。HUVECs中蛋白质稳态失衡诱导的内质网应激促进了钙离子从内质网向线粒体的转移,导致线粒体钙超载、线粒体膜电位降低、线粒体裂变,以及Parkin和p62在线粒体中的积累和模拟微重力下的线粒体自噬。此外,我们推测线粒体自噬在模拟微重力下内皮细胞的功能变化中起着至关重要的作用。使用mdivi-1和PINK1基因敲低,我们发现线粒体自噬被抑制后NLRP3炎性小体激活增强。NLRP3炎性小体通过释放IL-1β导致内皮细胞高通透性和细胞迁移。因此,线粒体自噬抑制了暴露于回转器模拟微重力下的HUVECs的细胞迁移能力和高通透性。总的来说,我们在此阐明了模拟微重力诱导线粒体自噬的机制,并证明了线粒体自噬与包括细胞迁移和通透性在内的血管内皮功能变化之间的关系。这项研究加深了对微重力下血管功能变化的理解。

https://cdn.ncbi.nlm.nih.gov/pmc/blobs/6fc9/9300855/b24b698c337a/fcell-10-896014-g010.jpg
https://cdn.ncbi.nlm.nih.gov/pmc/blobs/6fc9/9300855/a80463075869/fcell-10-896014-g001.jpg
https://cdn.ncbi.nlm.nih.gov/pmc/blobs/6fc9/9300855/caa41cd6f3e9/fcell-10-896014-g002.jpg
https://cdn.ncbi.nlm.nih.gov/pmc/blobs/6fc9/9300855/05b8232e4487/fcell-10-896014-g003.jpg
https://cdn.ncbi.nlm.nih.gov/pmc/blobs/6fc9/9300855/9e615f5a80fc/fcell-10-896014-g004.jpg
https://cdn.ncbi.nlm.nih.gov/pmc/blobs/6fc9/9300855/6944be6db65d/fcell-10-896014-g005.jpg
https://cdn.ncbi.nlm.nih.gov/pmc/blobs/6fc9/9300855/2df8664752da/fcell-10-896014-g006.jpg
https://cdn.ncbi.nlm.nih.gov/pmc/blobs/6fc9/9300855/63a74f24fe3a/fcell-10-896014-g007.jpg
https://cdn.ncbi.nlm.nih.gov/pmc/blobs/6fc9/9300855/96c2718ced29/fcell-10-896014-g008.jpg
https://cdn.ncbi.nlm.nih.gov/pmc/blobs/6fc9/9300855/7b2933745ea7/fcell-10-896014-g009.jpg
https://cdn.ncbi.nlm.nih.gov/pmc/blobs/6fc9/9300855/b24b698c337a/fcell-10-896014-g010.jpg
https://cdn.ncbi.nlm.nih.gov/pmc/blobs/6fc9/9300855/a80463075869/fcell-10-896014-g001.jpg
https://cdn.ncbi.nlm.nih.gov/pmc/blobs/6fc9/9300855/caa41cd6f3e9/fcell-10-896014-g002.jpg
https://cdn.ncbi.nlm.nih.gov/pmc/blobs/6fc9/9300855/05b8232e4487/fcell-10-896014-g003.jpg
https://cdn.ncbi.nlm.nih.gov/pmc/blobs/6fc9/9300855/9e615f5a80fc/fcell-10-896014-g004.jpg
https://cdn.ncbi.nlm.nih.gov/pmc/blobs/6fc9/9300855/6944be6db65d/fcell-10-896014-g005.jpg
https://cdn.ncbi.nlm.nih.gov/pmc/blobs/6fc9/9300855/2df8664752da/fcell-10-896014-g006.jpg
https://cdn.ncbi.nlm.nih.gov/pmc/blobs/6fc9/9300855/63a74f24fe3a/fcell-10-896014-g007.jpg
https://cdn.ncbi.nlm.nih.gov/pmc/blobs/6fc9/9300855/96c2718ced29/fcell-10-896014-g008.jpg
https://cdn.ncbi.nlm.nih.gov/pmc/blobs/6fc9/9300855/7b2933745ea7/fcell-10-896014-g009.jpg
https://cdn.ncbi.nlm.nih.gov/pmc/blobs/6fc9/9300855/b24b698c337a/fcell-10-896014-g010.jpg

相似文献

1
PINK1-Dependent Mitophagy Reduced Endothelial Hyperpermeability and Cell Migration Capacity Under Simulated Microgravity.在模拟微重力条件下,PINK1 依赖的线粒体自噬降低了内皮细胞的高通透性和细胞迁移能力。
Front Cell Dev Biol. 2022 Jul 7;10:896014. doi: 10.3389/fcell.2022.896014. eCollection 2022.
2
VDAC1 regulates mitophagy in NLRP3 inflammasome activation in retinal capillary endothelial cells under high-glucose conditions.VDAC1 在高糖条件下调控视网膜毛细血管内皮细胞 NLRP3 炎性小体激活中的自噬。
Exp Eye Res. 2021 Aug;209:108640. doi: 10.1016/j.exer.2021.108640. Epub 2021 May 29.
3
Scutellarin ameliorates high glucose-induced vascular endothelial cells injury by activating PINK1/Parkin-mediated mitophagy.野黄芩苷通过激活 PINK1/Parkin 介导的线粒体自噬改善高糖诱导的血管内皮细胞损伤。
J Ethnopharmacol. 2021 May 10;271:113855. doi: 10.1016/j.jep.2021.113855. Epub 2021 Jan 22.
4
Salvianolic acid B alleviates diabetic endothelial and mitochondrial dysfunction by down-regulating apoptosis and mitophagy of endothelial cells.丹酚酸 B 通过下调内皮细胞凋亡和自噬来缓解糖尿病内皮和线粒体功能障碍。
Bioengineered. 2022 Feb;13(2):3486-3502. doi: 10.1080/21655979.2022.2026552.
5
Endoplasmic reticulum stress-dependent activation of iNOS/NO-NF-κB signaling and NLRP3 inflammasome contributes to endothelial inflammation and apoptosis associated with microgravity.内质网应激依赖性诱导型一氧化氮合酶/一氧化氮-核因子-κB 信号通路和 NLRP3 炎性体的激活导致与微重力相关的内皮炎症和细胞凋亡。
FASEB J. 2020 Aug;34(8):10835-10849. doi: 10.1096/fj.202000734R. Epub 2020 Jun 27.
6
Estrogen receptor regulates phenotypic switching and proliferation of vascular smooth muscle cells through the NRF1-OMI-mitophagy signaling pathway under simulated microgravity.在模拟微重力条件下,雌激素受体通过NRF1-OMI-线粒体自噬信号通路调节血管平滑肌细胞的表型转换和增殖。
Front Physiol. 2022 Nov 10;13:1039913. doi: 10.3389/fphys.2022.1039913. eCollection 2022.
7
Liraglutide prevents high glucose induced HUVECs dysfunction via inhibition of PINK1/Parkin-dependent mitophagy.利拉鲁肽通过抑制 PINK1/Parkin 依赖性线粒体自噬来预防高糖诱导的 HUVECs 功能障碍。
Mol Cell Endocrinol. 2022 Apr 5;545:111560. doi: 10.1016/j.mce.2022.111560. Epub 2022 Jan 13.
8
PIEZO1 Promotes the Migration of Endothelial Cells via Enhancing CXCR4 Expression under Simulated Microgravity.PIEZO1 通过增强模拟微重力下 CXCR4 的表达促进内皮细胞迁移。
Int J Mol Sci. 2024 Jul 1;25(13):7254. doi: 10.3390/ijms25137254.
9
PINK1/TAX1BP1-directed mitophagy attenuates vascular endothelial injury induced by copper oxide nanoparticles.PINK1/TAX1BP1 靶向的线粒体自噬可减轻氧化铜纳米颗粒引起的血管内皮损伤。
J Nanobiotechnology. 2022 Mar 19;20(1):149. doi: 10.1186/s12951-022-01338-4.
10
PINK1-mediated mitophagy protects against hepatic ischemia/reperfusion injury by restraining NLRP3 inflammasome activation.PINK1 介导的线粒体自噬通过抑制 NLRP3 炎性小体激活来防止肝缺血/再灌注损伤。
Free Radic Biol Med. 2020 Nov 20;160:871-886. doi: 10.1016/j.freeradbiomed.2020.09.015. Epub 2020 Sep 16.

引用本文的文献

1
Endothelial activation in thromboangiitis obliterans: mechanisms and therapeutic horizons.血栓闭塞性脉管炎中的内皮细胞激活:机制与治疗前景
Front Immunol. 2025 Aug 27;16:1668203. doi: 10.3389/fimmu.2025.1668203. eCollection 2025.
2
NLRP3 Inflammasome-Mediated Pyroptosis in Osteoporosis: Osteoimmune Mechanisms and Therapeutic Targeting.NLRP3炎性小体介导的骨质疏松症细胞焦亡:骨免疫机制与治疗靶点
J Cell Mol Med. 2025 Aug;29(16):e70798. doi: 10.1111/jcmm.70798.
3
Aging and Altered Gravity: A Cellular Perspective.衰老与重力改变:细胞层面的视角

本文引用的文献

1
Mitochondrial dysfunction, UPR signaling, and targeted therapy in metastasis tumor.转移瘤中的线粒体功能障碍、未折叠蛋白反应信号传导及靶向治疗
Cell Biosci. 2021 Oct 30;11(1):186. doi: 10.1186/s13578-021-00696-0.
2
APOL1 risk variants in individuals of African genetic ancestry drive endothelial cell defects that exacerbate sepsis.非洲遗传血统个体中的 APOL1 风险变异导致内皮细胞缺陷,从而加重败血症。
Immunity. 2021 Nov 9;54(11):2632-2649.e6. doi: 10.1016/j.immuni.2021.10.004. Epub 2021 Oct 12.
3
Simulated microgravity triggers DNA damage and mitochondria-mediated apoptosis through ROS generation in human promyelocytic leukemic cells.
FASEB J. 2025 Jul 15;39(13):e70777. doi: 10.1096/fj.202402989R.
4
PINK1 suppresses malignant phenotypes in esophageal squamous cell carcinoma.PINK1抑制食管鳞状细胞癌的恶性表型。
World J Surg Oncol. 2025 Jun 9;23(1):225. doi: 10.1186/s12957-025-03879-y.
5
SIRT5 Alleviates Apoptosis of Vascular Endothelial Cells Under Simulated Microgravity via Desuccinylation of ERO1A.SIRT5通过ERO1A去琥珀酰化减轻模拟微重力下血管内皮细胞的凋亡。
Int J Mol Sci. 2025 Mar 23;26(7):2908. doi: 10.3390/ijms26072908.
6
PINK1-Mediated Mitochondrial Activity Confers Olaparib Resistance in Prostate Cancer Cells.PINK1 介导的线粒体活性赋予前列腺癌细胞对奥拉帕利的耐药性。
Cancer Res Commun. 2024 Nov 1;4(11):2976-2985. doi: 10.1158/2767-9764.CRC-24-0339.
7
Omics Studies of Specialized Cells and Stem Cells under Microgravity Conditions.在微重力条件下的特化细胞和干细胞的组学研究。
Int J Mol Sci. 2024 Sep 17;25(18):10014. doi: 10.3390/ijms251810014.
8
Cardiovascular adaptations and pathological changes induced by spaceflight: from cellular mechanisms to organ-level impacts.航天飞行引起的心血管适应性和病理性改变:从细胞机制到器官水平的影响。
Mil Med Res. 2024 Sep 27;11(1):68. doi: 10.1186/s40779-024-00570-3.
9
The Role of Endothelial Cell Mitophagy in Age-Related Cardiovascular Diseases.内皮细胞线粒体自噬在年龄相关性心血管疾病中的作用
Aging Dis. 2024 Jul 26;16(4):2151-2176. doi: 10.14336/AD.2024.0788.
10
Predicting mitophagy-related genes and unveiling liver endothelial cell heterogeneity in hepatic ischemia-reperfusion injury.预测自噬相关基因并揭示肝缺血再灌注损伤中肝内皮细胞的异质性。
Front Immunol. 2024 Apr 17;15:1370647. doi: 10.3389/fimmu.2024.1370647. eCollection 2024.
模拟微重力通过 ROS 生成引发人早幼粒细胞白血病细胞的 DNA 损伤和线粒体介导的细胞凋亡。
Mitochondrion. 2021 Nov;61:114-124. doi: 10.1016/j.mito.2021.09.006. Epub 2021 Sep 24.
4
IKKβ is required for the formation of the NLRP3 inflammasome.IKKβ 对于 NLRP3 炎性小体的形成是必需的。
EMBO Rep. 2021 Oct 5;22(10):e50743. doi: 10.15252/embr.202050743. Epub 2021 Aug 17.
5
Resveratrol Relieves Gouty Arthritis by Promoting Mitophagy to Inhibit Activation of NLRP3 Inflammasomes.白藜芦醇通过促进线粒体自噬抑制NLRP3炎性小体激活来缓解痛风性关节炎。
J Inflamm Res. 2021 Jul 24;14:3523-3536. doi: 10.2147/JIR.S320912. eCollection 2021.
6
DENV NS1 and MMP-9 cooperate to induce vascular leakage by altering endothelial cell adhesion and tight junction.登革热 NS1 和 MMP-9 通过改变血管内皮细胞黏附和紧密连接诱导血管渗漏。
PLoS Pathog. 2021 Jul 26;17(7):e1008603. doi: 10.1371/journal.ppat.1008603. eCollection 2021 Jul.
7
Proteostasis failure and mitochondrial dysfunction leads to aneuploidy-induced senescence.蛋白稳态失衡和线粒体功能障碍导致非整倍体诱导的衰老。
Dev Cell. 2021 Jul 26;56(14):2043-2058.e7. doi: 10.1016/j.devcel.2021.06.009. Epub 2021 Jul 2.
8
Sigma-1 Receptor Promotes Mitochondrial Bioenergetics by Orchestrating ER Ca Leak during Early ER Stress.σ-1受体通过在早期内质网应激期间协调内质网钙泄漏来促进线粒体生物能量学。
Metabolites. 2021 Jun 26;11(7):422. doi: 10.3390/metabo11070422.
9
Simulated Microgravity Effects on Human Adenocarcinoma Alveolar Epithelial Cells: Characterization of Morphological, Functional, and Epigenetic Parameters.模拟微重力对人腺癌细胞系肺泡上皮细胞的影响:形态、功能和表观遗传参数的特征。
Int J Mol Sci. 2021 Jun 28;22(13):6951. doi: 10.3390/ijms22136951.
10
Quercetin hinders microglial activation to alleviate neurotoxicity via the interplay between NLRP3 inflammasome and mitophagy.槲皮素通过 NLRP3 炎性小体和线粒体自噬的相互作用抑制小胶质细胞活化,从而减轻神经毒性。
Redox Biol. 2021 Aug;44:102010. doi: 10.1016/j.redox.2021.102010. Epub 2021 May 25.