Suppr超能文献

严重急性呼吸综合征冠状病毒2感染的垂直传播与孕中期流产:一例经免疫组织化学证实的病例报告

Vertical Transmission of SARS-CoV-2 Infection and Miscarriage in the Second Trimester: Report of an Immunohistochemically Proven Case.

作者信息

Metodiev Dimitar, Ruseva Margarita, Parvanov Dimitar, Ganeva Rumiana, Handzhiyska Maria, Vidolova Nina, Stamenov Georgi

机构信息

Department of Clinical Pathology, Nadezhda Women's Health Hospital, 1373 Sofia, Bulgaria.

Neuropathological Laboratory, University Hospital "Saint Ivan Rilski", 1431 Sofia, Bulgaria.

出版信息

Clin Pract. 2022 Jul 26;12(4):579-590. doi: 10.3390/clinpract12040061.

Abstract

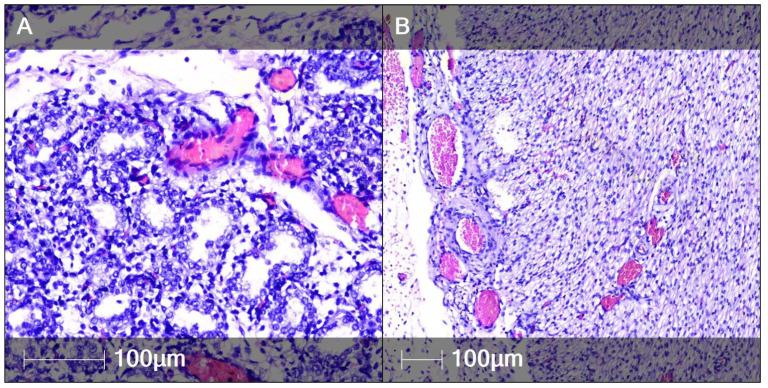
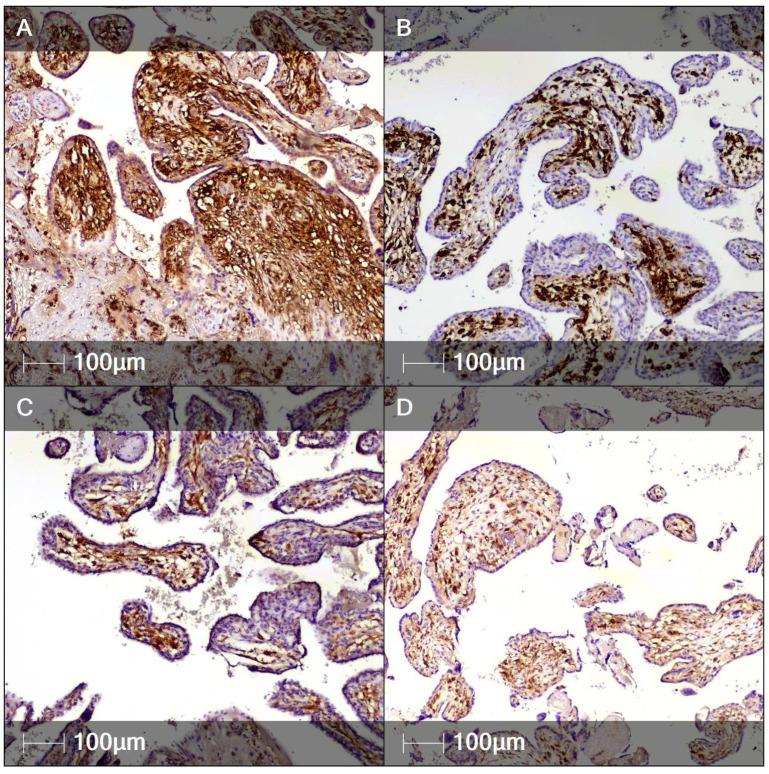
It is an acknowledged fact that SARS-CoV-2 exhibits tropism for the human placenta. A possible mechanism of SARS-CoV-2 entry into host cells is via angiotensin-converting enzyme 2 (ACE2) receptors, which are expressed in trophoblasts, endothelial cells, and macrophages. The present study describes a case of spontaneous miscarriage in the 20th gestational week after maternal SARS-CoV-2 infection. The placenta and various fetal organs were examined for structural alterations and expression of the viral nucleocapsid protein and several immune cell markers via immunohistochemistry (IHC). Histopathological examination of the placenta revealed acute chorioamnionitis, acute subamnionic placentitis, multiple intervillous thrombi, increased fibrinoid deposition, and necrotic changes of the chorionic villi. Immunohistochemistry confirmed the presence of SARS-CoV-2 nucleocapsid protein regions predominantly in the syncytiotrophoblast. Staining of the placental tissue for different markers helped elucidate the distribution of immune cells. Pathomorphological examination of the fetal organs demonstrated changes in microcirculation with the presence of sludge phenomenon and diapedesis haemorrhages, mostly in the lungs, brain, and myocardium. IHC staining of fetal organs revealed expression of SARS-CoV-2 nucleocapsid protein, which was detected to the highest extent in the brain, lungs, and liver. The findings of the present report support the hypothesis of possible vertical transmission of SARS-CoV-2 from mother to fetus.

摘要

严重急性呼吸综合征冠状病毒2(SARS-CoV-2)对人胎盘具有嗜性,这是一个公认的事实。SARS-CoV-2进入宿主细胞的一种可能机制是通过血管紧张素转换酶2(ACE2)受体,该受体在滋养层细胞、内皮细胞和巨噬细胞中表达。本研究描述了1例孕妇感染SARS-CoV-2后在妊娠第20周发生自然流产的病例。通过免疫组织化学(IHC)检查胎盘和各种胎儿器官的结构改变以及病毒核衣壳蛋白和几种免疫细胞标志物的表达。胎盘的组织病理学检查显示急性绒毛膜羊膜炎、急性羊膜下胎盘炎、多个绒毛间隙血栓形成、纤维蛋白样沉积增加以及绒毛膜绒毛的坏死改变。免疫组织化学证实SARS-CoV-2核衣壳蛋白区域主要存在于合体滋养层细胞中。对胎盘组织进行不同标志物的染色有助于阐明免疫细胞的分布。胎儿器官的病理形态学检查显示微循环改变,伴有血液淤滞现象和漏出性出血,主要发生在肺、脑和心肌。胎儿器官的免疫组织化学染色显示SARS-CoV-2核衣壳蛋白的表达,在脑、肺和肝脏中检测到的程度最高。本报告的研究结果支持SARS-CoV-2可能从母亲垂直传播给胎儿的假说。

https://cdn.ncbi.nlm.nih.gov/pmc/blobs/c90d/9331461/ac787407cbcb/clinpract-12-00061-g001.jpg

文献检索

告别复杂PubMed语法,用中文像聊天一样搜索,搜遍4000万医学文献。AI智能推荐,让科研检索更轻松。

立即免费搜索

文件翻译

保留排版,准确专业,支持PDF/Word/PPT等文件格式,支持 12+语言互译。

免费翻译文档

深度研究

AI帮你快速写综述,25分钟生成高质量综述,智能提取关键信息,辅助科研写作。

立即免费体验