• 文献检索
  • 文档翻译
  • 深度研究
  • 学术资讯
  • Suppr Zotero 插件Zotero 插件
  • 邀请有礼
  • 套餐&价格
  • 历史记录
应用&插件
Suppr Zotero 插件Zotero 插件浏览器插件Mac 客户端Windows 客户端微信小程序
定价
高级版会员购买积分包购买API积分包
服务
文献检索文档翻译深度研究API 文档MCP 服务
关于我们
关于 Suppr公司介绍联系我们用户协议隐私条款
关注我们

Suppr 超能文献

核心技术专利:CN118964589B侵权必究
粤ICP备2023148730 号-1Suppr @ 2026

文献检索

告别复杂PubMed语法,用中文像聊天一样搜索,搜遍4000万医学文献。AI智能推荐,让科研检索更轻松。

立即免费搜索

文件翻译

保留排版,准确专业,支持PDF/Word/PPT等文件格式,支持 12+语言互译。

免费翻译文档

深度研究

AI帮你快速写综述,25分钟生成高质量综述,智能提取关键信息,辅助科研写作。

立即免费体验

被动吸烟对肾脏血管形态的影响。

Impact of passive smoking on renal vascular morphology.

机构信息

Faculdade de Medicina de Jundiaí, Jundiaí, SP, Brazil.

Faculdade de Santa Bárbara D'Oeste, Jundiaí, SP, Brazil.

出版信息

Einstein (Sao Paulo). 2022 Jul 25;20:eAO0011. doi: 10.31744/einstein_journal/2022AO0011. eCollection 2022.

DOI:10.31744/einstein_journal/2022AO0011
PMID:35894376
原文链接:https://pmc.ncbi.nlm.nih.gov/articles/PMC9337844/
Abstract

OBJECTIVE

To determine whether passive smoking causes morphological and structural changes in the arcuate arteries of rats exposed for 7 to 28 days.

METHODS

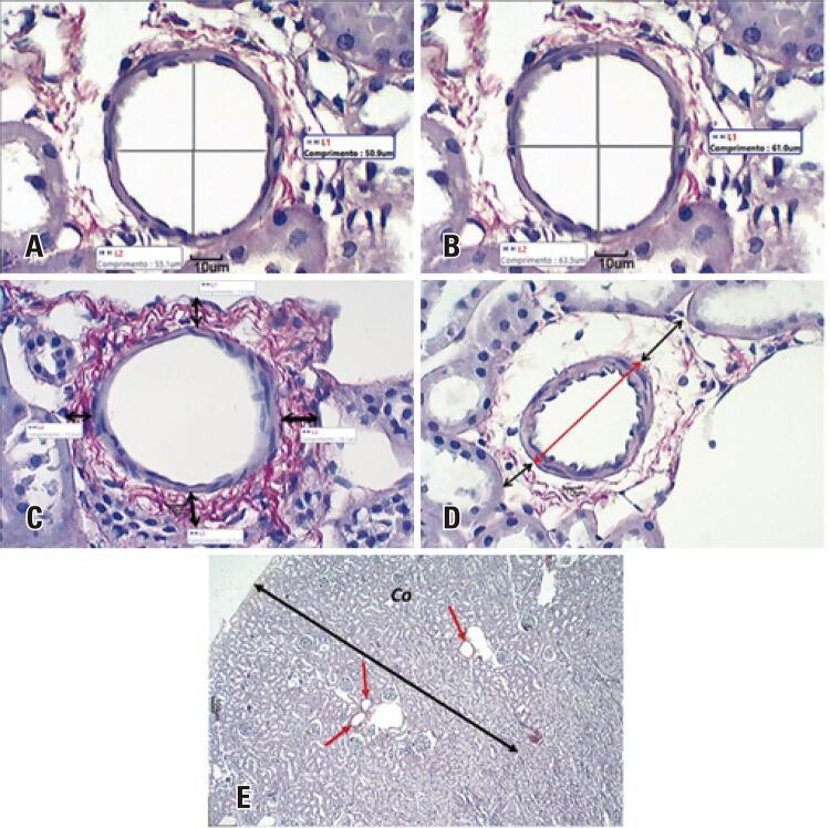
Wistar rats aged eight weeks and weighing 260g on average were allocated to a Control or a Smoker Group. Groups were further divided into 4 groups containing 5 animals each. Morphological-functional analysis of the right kidneys was carried out after 7 and 28 days of exposure to the smoke of 40 cigarettes per day. Cigarettes were burned at set times using automated cigarette-burning equipment ("Smoking Machine" - SM-MC-01). At the end of each exposure period, the kidneys were dissected and submitted to histological processing for morphological and quantitative analysis.

RESULTS

Exposure to cigarette smoke for 7 days led to a decrease in inner vascular diameter. Decreased thickness of the vascular tunica media was observed after exposure for 28 days. Increased thickness of the tunica adventitia, increased total vascular wall thickness, increased total vascular diameter and qualitative increase in collagen deposition were observed. Vascular volume increased after 28 days of exposure.

CONCLUSION

Passive smoking has a negative impact on renal vasculature.

摘要

目的

确定暴露于 7 至 28 天的被动吸烟是否会引起大鼠弓形动脉的形态和结构变化。

方法

将 8 周龄、平均体重 260g 的 Wistar 大鼠分配到对照组或吸烟者组。每组进一步分为 4 组,每组 5 只动物。每天暴露于 40 支香烟的烟雾中 7 天和 28 天后,对右侧肾脏进行形态-功能分析。使用自动香烟燃烧设备(“吸烟机” - SM-MC-01)在规定时间燃烧香烟。在每次暴露结束时,解剖肾脏并进行组织学处理以进行形态和定量分析。

结果

暴露于香烟烟雾 7 天导致内血管直径减小。暴露 28 天后,观察到血管中膜厚度减少。观察到外膜厚度增加、总血管壁厚度增加、总血管直径增加和胶原沉积定性增加。暴露 28 天后血管容积增加。

结论

被动吸烟对肾脏血管有负面影响。

https://cdn.ncbi.nlm.nih.gov/pmc/blobs/f9b7/9337844/ce37bd8175c3/2317-6385-eins-20-eAO0011-gf04.jpg
https://cdn.ncbi.nlm.nih.gov/pmc/blobs/f9b7/9337844/70c0717d6684/2317-6385-eins-20-eAO0011-gf01.jpg
https://cdn.ncbi.nlm.nih.gov/pmc/blobs/f9b7/9337844/222036999821/2317-6385-eins-20-eAO0011-gf02.jpg
https://cdn.ncbi.nlm.nih.gov/pmc/blobs/f9b7/9337844/1ee3ab2bf54b/2317-6385-eins-20-eAO0011-gf03.jpg
https://cdn.ncbi.nlm.nih.gov/pmc/blobs/f9b7/9337844/ce37bd8175c3/2317-6385-eins-20-eAO0011-gf04.jpg
https://cdn.ncbi.nlm.nih.gov/pmc/blobs/f9b7/9337844/70c0717d6684/2317-6385-eins-20-eAO0011-gf01.jpg
https://cdn.ncbi.nlm.nih.gov/pmc/blobs/f9b7/9337844/222036999821/2317-6385-eins-20-eAO0011-gf02.jpg
https://cdn.ncbi.nlm.nih.gov/pmc/blobs/f9b7/9337844/1ee3ab2bf54b/2317-6385-eins-20-eAO0011-gf03.jpg
https://cdn.ncbi.nlm.nih.gov/pmc/blobs/f9b7/9337844/ce37bd8175c3/2317-6385-eins-20-eAO0011-gf04.jpg

相似文献

1
Impact of passive smoking on renal vascular morphology.被动吸烟对肾脏血管形态的影响。
Einstein (Sao Paulo). 2022 Jul 25;20:eAO0011. doi: 10.31744/einstein_journal/2022AO0011. eCollection 2022.
2
Morphofunctional study on the effects of passive smoking in kidneys of rats.被动吸烟对大鼠肾脏形态功能的影响研究。
Einstein (Sao Paulo). 2021 Nov 3;19:eAO6000. doi: 10.31744/einstein_journal/2021AO6000. eCollection 2021.
3
Maternal passive smoking during pregnancy and fetal developmental toxicity. Part 1: gross morphological effects.孕期母亲被动吸烟与胎儿发育毒性。第1部分:大体形态学影响。
Hum Exp Toxicol. 1999 Apr;18(4):252-6. doi: 10.1191/096032799678840002.
4
Resistance training prevents right ventricle hypertrophy in rats exposed to secondhand cigarette smoke.抗阻训练可预防二手烟暴露大鼠右心室肥厚。
PLoS One. 2020 Aug 7;15(8):e0236988. doi: 10.1371/journal.pone.0236988. eCollection 2020.
5
Epithelial-stromal interactions in salivary glands of rats exposed to chronic passive smoking.慢性被动吸烟对大鼠唾液腺上皮-间质相互作用的影响。
Arch Oral Biol. 2011 Jun;56(6):580-7. doi: 10.1016/j.archoralbio.2010.11.017. Epub 2010 Dec 18.
6
Inhalation exposure to cigarette smoke induces endothelial nitric oxide synthase uncoupling and enhances vascular collagen deposition in streptozotocin-induced diabetic rats.吸入香烟烟雾会导致内皮型一氧化氮合酶解偶联,并增强链脲佐菌素诱导的糖尿病大鼠血管胶原沉积。
Food Chem Toxicol. 2020 Feb;136:110988. doi: 10.1016/j.fct.2019.110988. Epub 2019 Nov 20.
7
Passive Cigarette Smoking Impact on Blood Pressure Response to Epinephrine and Felypressin in 1K1C Hypertensive Rats Treated or not with Atenolol.被动吸烟对 1K1C 高血压大鼠肾上腺素和菲立加压素血压反应的影响,以及是否用阿替洛尔治疗。
Arq Bras Cardiol. 2020 Feb;114(2):295-303. doi: 10.36660/abc.20180433.
8
The effects of passive tobacco smoking on the microcirculation of the abdominal wall in rats.被动吸烟对大鼠腹壁微循环的影响。
Acta Cir Bras. 2016 Nov;31(11):714-719. doi: 10.1590/S0102-865020160110000002.
9
Effects of passive smoke inhalation on the vocal cords of rats.被动吸入烟雾对大鼠声带的影响。
Braz J Otorhinolaryngol. 2006 Mar-Apr;72(2):210-6. doi: 10.1016/s1808-8694(15)30057-4.
10
Impact of passive smoking on the bones of rats.被动吸烟对大鼠骨骼的影响。
Orthopedics. 2010 Feb;33(2):90-5. doi: 10.3928/01477447-20100104-14.

本文引用的文献

1
Morphofunctional study on the effects of passive smoking in kidneys of rats.被动吸烟对大鼠肾脏形态功能的影响研究。
Einstein (Sao Paulo). 2021 Nov 3;19:eAO6000. doi: 10.31744/einstein_journal/2021AO6000. eCollection 2021.
2
Volume calculation of rats' organs and its application in the validation of the volume relation between the abdominal cavity and the hernial sac in incisional hernias with "loss of abdominal domain".大鼠器官体积计算及其在“腹腔域缺失”的切口疝中腹腔与疝囊体积关系验证中的应用
Arq Bras Cir Dig. 2014 Jul-Sep;27(3):177-81. doi: 10.1590/s0102-67202014000300004.
3
A comparative risk assessment of burden of disease and injury attributable to 67 risk factors and risk factor clusters in 21 regions, 1990-2010: a systematic analysis for the Global Burden of Disease Study 2010.
21 个地区 1990-2010 年 67 种致病因素和致病因素群导致的疾病和伤害负担的比较风险评估:全球疾病负担研究 2010 系统分析。
Lancet. 2012 Dec 15;380(9859):2224-60. doi: 10.1016/S0140-6736(12)61766-8.
4
Nicotine and pathological angiogenesis.尼古丁与病理性血管生成。
Life Sci. 2012 Nov 27;91(21-22):1058-64. doi: 10.1016/j.lfs.2012.06.032. Epub 2012 Jul 13.
5
[Passive smoking in Brazil: results from the 2008 Special Survey on Smoking].
Cien Saude Colet. 2011 Sep;16(9):3671-8. doi: 10.1590/s1413-81232011001000004.
6
Investigation of the relationship between serum levels of cotinine and the renal function in active and passive smokers.调查主动和被动吸烟者血清可替宁水平与肾功能之间的关系。
Ren Fail. 2011;33(5):475-9. doi: 10.3109/0886022X.2011.577922.
7
Hazardous compounds in tobacco smoke.烟草烟雾中的有害化合物。
Int J Environ Res Public Health. 2011 Feb;8(2):613-28. doi: 10.3390/ijerph8020613. Epub 2011 Feb 23.
8
Epithelial-stromal interactions in salivary glands of rats exposed to chronic passive smoking.慢性被动吸烟对大鼠唾液腺上皮-间质相互作用的影响。
Arch Oral Biol. 2011 Jun;56(6):580-7. doi: 10.1016/j.archoralbio.2010.11.017. Epub 2010 Dec 18.
9
Cellular response to cigarette smoke and oxidants: adapting to survive.细胞对香烟烟雾和氧化剂的反应:适应以生存。
Proc Am Thorac Soc. 2010 Nov;7(6):368-75. doi: 10.1513/pats.201001-014AW.
10
Epidemiological evidence associating secondhand smoke exposure with cardiovascular disease.将二手烟暴露与心血管疾病相关联的流行病学证据。
Inflamm Allergy Drug Targets. 2009 Dec;8(5):321-7. doi: 10.2174/1871528110908050321.