• 文献检索
  • 文档翻译
  • 深度研究
  • 学术资讯
  • Suppr Zotero 插件Zotero 插件
  • 邀请有礼
  • 套餐&价格
  • 历史记录
应用&插件
Suppr Zotero 插件Zotero 插件浏览器插件Mac 客户端Windows 客户端微信小程序
定价
高级版会员购买积分包购买API积分包
服务
文献检索文档翻译深度研究API 文档MCP 服务
关于我们
关于 Suppr公司介绍联系我们用户协议隐私条款
关注我们

Suppr 超能文献

核心技术专利:CN118964589B侵权必究
粤ICP备2023148730 号-1Suppr @ 2026

文献检索

告别复杂PubMed语法,用中文像聊天一样搜索,搜遍4000万医学文献。AI智能推荐,让科研检索更轻松。

立即免费搜索

文件翻译

保留排版,准确专业,支持PDF/Word/PPT等文件格式,支持 12+语言互译。

免费翻译文档

深度研究

AI帮你快速写综述,25分钟生成高质量综述,智能提取关键信息,辅助科研写作。

立即免费体验

患者肝脓肿克雷伯菌感染致脑静脉窦血栓形成:病例报告

Cerebral venous sinus thrombosis in a patient with Klebsiella pneumoniae primary liver abscess: a case report.

机构信息

Emergency Department and Department of Infectious Diseases, Huashan Hospital of Fudan University, Shanghai, 200040, China.

Department of Infectious Diseases, Huashan Hospital of Fudan University, Shanghai, China.

出版信息

BMC Neurol. 2022 Jul 30;22(1):286. doi: 10.1186/s12883-022-02806-y.

DOI:10.1186/s12883-022-02806-y
PMID:35907788
原文链接:https://pmc.ncbi.nlm.nih.gov/articles/PMC9338478/
Abstract

BACKGROUND

Liver abscess is a common emergency in the emergency department. However, cerebral venous sinus thrombosis (CVST) is a rare and serious cerebrovascular disease. Cases of CVST in patients with Klebsiella pneumoniae primary liver abscess (KLA) have not been described in the literature. We report a case of CVST in patients with KLA.

CASE PRESENTATION

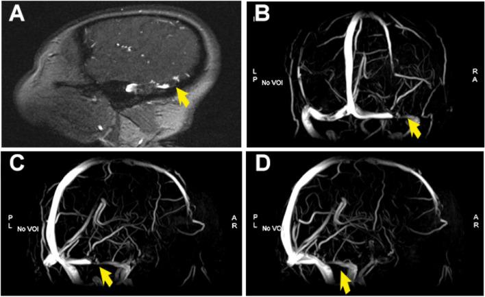
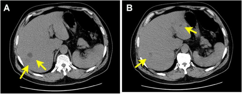
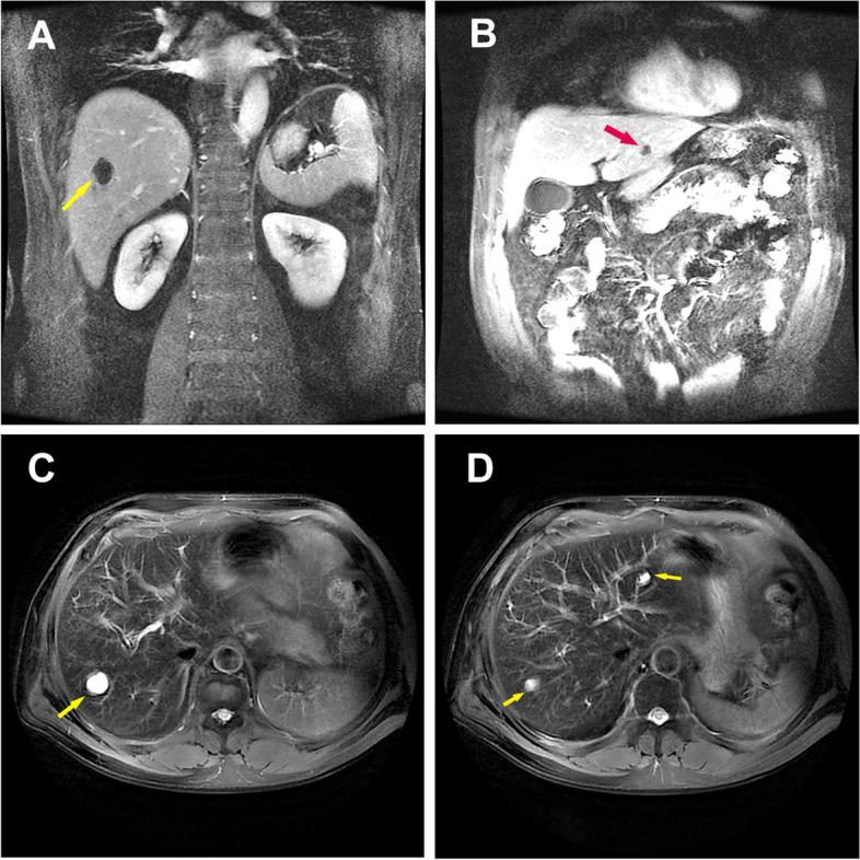
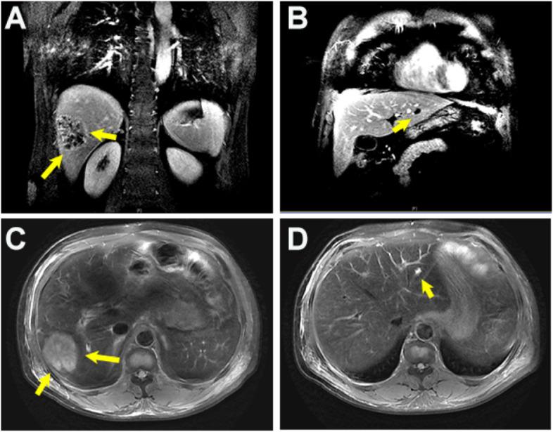
A 54-year-old male patient came to our department with a fever for 2 days and altered mental status for 1 day. Abdominal computed tomography (CT) and liver magnetic resonance imaging (MRI) revealed multiple liver abscesses. The blood culture was identified as Klebsiella pneumoniae sepsis. Head contrast-enhanced MRI and magnetic resonance venography (MRV) imaging showed multiple thrombus formation in the right transverse sinus and sigmoid sinus. The patient's infection and thrombosis were controlled within one week of multidisciplinary comprehensive treatment such as antibiotic and antithrombotic therapy, and a good clinical recovery during the 1-month follow-up.

CONCLUSION

CVST after liver abscess is rare, clinicians should be aware of this complication and vigilant for the possibility of bacterial meningitis. The underlying mechanisms need to be further studied.

摘要

背景

肝脓肿是急诊科常见的急症。然而,脑静脉窦血栓形成(CVST)是一种罕见且严重的脑血管疾病。文献中尚未描述肺炎克雷伯菌原发性肝脓肿(KLA)患者并发 CVST 的情况。我们报告了一例 KLA 合并 CVST 的病例。

病例介绍

一名 54 岁男性患者因发热 2 天伴精神状态改变 1 天来我院就诊。腹部 CT 和肝脏 MRI 显示多发肝脓肿。血培养鉴定为肺炎克雷伯菌败血症。头部增强 MRI 和磁共振静脉造影(MRV)成像显示右侧横窦和乙状窦多发血栓形成。经过多学科综合治疗(如抗生素和抗血栓治疗)一周后,患者的感染和血栓得到控制,在 1 个月的随访期间临床恢复良好。

结论

肝脓肿后发生 CVST 较为罕见,临床医生应意识到这种并发症的存在,并警惕细菌性脑膜炎的可能性。其潜在机制需要进一步研究。

https://cdn.ncbi.nlm.nih.gov/pmc/blobs/f77e/9338478/87dfa891a423/12883_2022_2806_Fig5_HTML.jpg
https://cdn.ncbi.nlm.nih.gov/pmc/blobs/f77e/9338478/96ceabd3d907/12883_2022_2806_Fig1_HTML.jpg
https://cdn.ncbi.nlm.nih.gov/pmc/blobs/f77e/9338478/085a97b8018d/12883_2022_2806_Fig2_HTML.jpg
https://cdn.ncbi.nlm.nih.gov/pmc/blobs/f77e/9338478/7849bc851f3a/12883_2022_2806_Fig3_HTML.jpg
https://cdn.ncbi.nlm.nih.gov/pmc/blobs/f77e/9338478/e16587be51de/12883_2022_2806_Fig4_HTML.jpg
https://cdn.ncbi.nlm.nih.gov/pmc/blobs/f77e/9338478/87dfa891a423/12883_2022_2806_Fig5_HTML.jpg
https://cdn.ncbi.nlm.nih.gov/pmc/blobs/f77e/9338478/96ceabd3d907/12883_2022_2806_Fig1_HTML.jpg
https://cdn.ncbi.nlm.nih.gov/pmc/blobs/f77e/9338478/085a97b8018d/12883_2022_2806_Fig2_HTML.jpg
https://cdn.ncbi.nlm.nih.gov/pmc/blobs/f77e/9338478/7849bc851f3a/12883_2022_2806_Fig3_HTML.jpg
https://cdn.ncbi.nlm.nih.gov/pmc/blobs/f77e/9338478/e16587be51de/12883_2022_2806_Fig4_HTML.jpg
https://cdn.ncbi.nlm.nih.gov/pmc/blobs/f77e/9338478/87dfa891a423/12883_2022_2806_Fig5_HTML.jpg

相似文献

1
Cerebral venous sinus thrombosis in a patient with Klebsiella pneumoniae primary liver abscess: a case report.患者肝脓肿克雷伯菌感染致脑静脉窦血栓形成:病例报告
BMC Neurol. 2022 Jul 30;22(1):286. doi: 10.1186/s12883-022-02806-y.
2
Cerebral Venous Sinus Thrombosis in a Patient with Appendicular Abscess.阑尾脓肿患者的颅内静脉窦血栓形成。
World Neurosurg. 2020 Oct;142:108-111. doi: 10.1016/j.wneu.2020.06.183. Epub 2020 Jun 26.
3
Cerebral Venous Sinus Thrombosis Score and its Correlation with Clinical and MRI Findings.脑静脉窦血栓形成评分及其与临床和 MRI 表现的相关性。
J Stroke Cerebrovasc Dis. 2019 Nov;28(11):104324. doi: 10.1016/j.jstrokecerebrovasdis.2019.104324. Epub 2019 Aug 15.
4
Cerebral Venous Sinus Thrombosis Secondary to Idiopathic Hypertrophic Cranial Pachymeningitis: Case Report and Review of Literature.特发性肥厚性硬脑膜炎继发脑静脉窦血栓形成:病例报告及文献复习
World Neurosurg. 2017 Oct;106:1052.e13-1052.e21. doi: 10.1016/j.wneu.2017.07.002. Epub 2017 Jul 12.
5
Pattern of magnetic resonance imaging and magnetic resonance venography changes in cerebral venous sinus thrombosis.脑静脉窦血栓形成的磁共振成像及磁共振静脉血管造影变化模式
J Ayub Med Coll Abbottabad. 2012 Jan-Mar;24(1):63-7.
6
Cerebral venous congestion as indication for thrombolytic treatment.脑静脉淤血作为溶栓治疗的指征。
Cardiovasc Intervent Radiol. 2007 Jul-Aug;30(4):675-87. doi: 10.1007/s00270-007-9046-1.
7
[Diagnosis and treatment of five neonatal cerebral venous sinus thrombosis].[五例新生儿脑静脉窦血栓形成的诊断与治疗]
Zhonghua Er Ke Za Zhi. 2018 Oct 2;56(10):765-768. doi: 10.3760/cma.j.issn.0578-1310.2018.10.009.
8
Diagnostic value of multidetector-row CT angiography in the evaluation of thrombosis of the cerebral venous sinuses.多排螺旋CT血管造影术在评估脑静脉窦血栓形成中的诊断价值。
AJNR Am J Neuroradiol. 2007 May;28(5):946-52.
9
A novel score to estimate thrombus burden and predict intracranial hypertension in cerebral venous sinus thrombosis.一种新型评分系统用于评估颅内静脉窦血栓形成患者的血栓负荷并预测颅内高压。
J Headache Pain. 2023 Mar 17;24(1):29. doi: 10.1186/s10194-023-01562-9.
10
Significance of recanalization of sinuses and resolution of parenchymal lesion in cerebral venous sinus thrombosis.颅内静脉窦血栓形成时窦腔再通和实质病变消退的意义。
J Clin Neurosci. 2020 Jul;77:175-180. doi: 10.1016/j.jocn.2020.04.112. Epub 2020 Apr 27.

引用本文的文献

1
Cerebral Venous Thrombosis:Current Status and Challenges.脑静脉血栓形成:现状与挑战
Brain Behav. 2025 Sep;15(9):e70844. doi: 10.1002/brb3.70844.
2
Alterations of Gut Microbiota in Pyogenic Liver Abscess Patients with and without Type 2 Diabetes Mellitus.伴有和不伴有2型糖尿病的化脓性肝脓肿患者肠道微生物群的改变
Infect Drug Resist. 2024 May 29;17:2149-2158. doi: 10.2147/IDR.S456423. eCollection 2024.
3
Unilateral Abducens Nerve Palsy as the Lone Sign of Cerebral Venous Sinus Thrombosis: A Case Report and Literature Review.

本文引用的文献

1
Bacterial meningitis complicated by cerebral venous thrombosis.细菌性脑膜炎并发脑静脉血栓形成。
Eur Stroke J. 2020 Dec;5(4):394-401. doi: 10.1177/2396987320971112. Epub 2020 Nov 11.
2
Inferior vena cava thrombosis- a rare complication of a common diagnosis: Correspondence.下腔静脉血栓形成——常见诊断中的罕见并发症:通信
Int J Surg. 2021 Mar;87:105892. doi: 10.1016/j.ijsu.2021.02.003. Epub 2021 Feb 9.
3
Cerebral venous thrombosis: a practical guide.脑静脉血栓形成:实用指南。
单侧展神经麻痹作为脑静脉窦血栓形成的唯一体征:一例报告及文献复习
Cureus. 2023 Jul 4;15(7):e41350. doi: 10.7759/cureus.41350. eCollection 2023 Jul.
4
Thrombosis, Septic Emboli, and Multiple Abscesses Triggered by : A Case Report and Review of Literature.血栓形成、脓毒性栓子和多发性脓肿:病例报告及文献复习。
J Investig Med High Impact Case Rep. 2023 Jan-Dec;11:23247096231179441. doi: 10.1177/23247096231179441.
Pract Neurol. 2020 Oct;20(5):356-367. doi: 10.1136/practneurol-2019-002415.
4
Cerebral Venous Sinus Thrombosis in a Patient with Appendicular Abscess.阑尾脓肿患者的颅内静脉窦血栓形成。
World Neurosurg. 2020 Oct;142:108-111. doi: 10.1016/j.wneu.2020.06.183. Epub 2020 Jun 26.
5
European Stroke Organization guideline for the diagnosis and treatment of cerebral venous thrombosis - endorsed by the European Academy of Neurology.欧洲卒中组织脑静脉血栓形成诊断与治疗指南- 欧洲神经病学学会认可。
Eur J Neurol. 2017 Oct;24(10):1203-1213. doi: 10.1111/ene.13381. Epub 2017 Aug 20.
6
Cerebral Venous Sinus Thrombosis Incidence Is Higher Than Previously Thought: A Retrospective Population-Based Study.脑静脉窦血栓形成的发病率高于此前认为的:一项基于人群的回顾性研究。
Stroke. 2016 Sep;47(9):2180-2. doi: 10.1161/STROKEAHA.116.013617. Epub 2016 Jul 19.
7
ESCMID guideline: diagnosis and treatment of acute bacterial meningitis.欧洲临床微生物学与感染病学会指南:急性细菌性脑膜炎的诊断与治疗
Clin Microbiol Infect. 2016 May;22 Suppl 3:S37-62. doi: 10.1016/j.cmi.2016.01.007. Epub 2016 Apr 7.
8
Impact of Regional Vein Thrombosis in Patients with Klebsiella pneumoniae Liver Abscess.肺炎克雷伯菌肝脓肿患者局部静脉血栓形成的影响
PLoS One. 2015 Oct 7;10(10):e0140129. doi: 10.1371/journal.pone.0140129. eCollection 2015.
9
Clinical and microbiological characteristics of Klebsiella pneumoniae liver abscess in East China.中国东部肺炎克雷伯菌肝脓肿的临床和微生物学特征
BMC Infect Dis. 2015 Mar 27;15:161. doi: 10.1186/s12879-015-0899-7.
10
Recent trend of pylephlebitis in Taiwan: Klebsiella pneumoniae liver abscess as an emerging etiology.台湾地区门静脉炎的近期趋势:肺炎克雷伯菌肝脓肿成为一种新出现的病因。
Infection. 2013 Dec;41(6):1137-43. doi: 10.1007/s15010-013-0497-9. Epub 2013 Jul 2.