• 文献检索
  • 文档翻译
  • 深度研究
  • 学术资讯
  • Suppr Zotero 插件Zotero 插件
  • 邀请有礼
  • 套餐&价格
  • 历史记录
应用&插件
Suppr Zotero 插件Zotero 插件浏览器插件Mac 客户端Windows 客户端微信小程序
定价
高级版会员购买积分包购买API积分包
服务
文献检索文档翻译深度研究API 文档MCP 服务
关于我们
关于 Suppr公司介绍联系我们用户协议隐私条款
关注我们

Suppr 超能文献

核心技术专利:CN118964589B侵权必究
粤ICP备2023148730 号-1Suppr @ 2026

文献检索

告别复杂PubMed语法,用中文像聊天一样搜索,搜遍4000万医学文献。AI智能推荐,让科研检索更轻松。

立即免费搜索

文件翻译

保留排版,准确专业,支持PDF/Word/PPT等文件格式,支持 12+语言互译。

免费翻译文档

深度研究

AI帮你快速写综述,25分钟生成高质量综述,智能提取关键信息,辅助科研写作。

立即免费体验

抗金属蛋白酶 P-I 单域抗体:下一代蛇伤抗毒液的工具。

Anti-Metalloprotease P-I Single-Domain Antibodies: Tools for Next-Generation Snakebite Antivenoms.

机构信息

Fundação Oswaldo Cruz, Fiocruz Rondônia, Porto Velho, 76812-245 Rondônia, Brazil.

Centro de Pesquisa em Medicina Tropical, Porto Velho, 76812-329 Rondônia, Brazil.

出版信息

Biomed Res Int. 2022 Jul 19;2022:2748962. doi: 10.1155/2022/2748962. eCollection 2022.

DOI:10.1155/2022/2748962
PMID:35909472
原文链接:https://pmc.ncbi.nlm.nih.gov/articles/PMC9325618/
Abstract

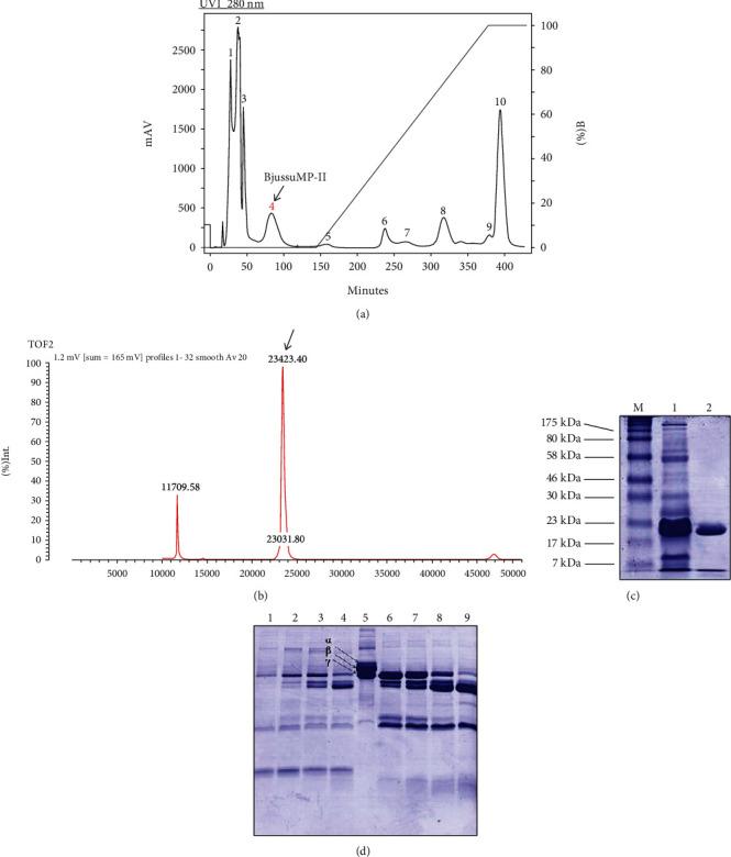
In order to address the global antivenom crisis, novel antivenoms need to present high therapeutic efficacy, broad neutralization ability against systemic and local damage, sufficient safety, and cost-effectiveness. Due to biological characteristics of camelid single-domain antibodies (VHH) such as high affinity, their ability to penetrate dense tissues, and facility for genetic manipulation, their application in antivenoms has expanded considerably. VHHs that are active against the metalloprotease BjussuMP-II from the snake were selected. After isolation of BjussuMP-II, a camelid was immunized with the purified toxin in order to construct the recombinant phage library. Following a round of biopanning, 52% of the selected clones were able to recognize BjussuMP-II in an ELISA assay. After sequencing, seven sequence profiles were identified. One selected clone (VHH61) showed cross-reactivity to venom, but did not recognize the and genera, indicating specificity for the genus. Through tests, the capacity to neutralize the toxicity triggered by BjussuMP-II was observed. Circular dichroism spectroscopy indicated a robust secondary structure for VHH61, and the calculated melting temperature ( ) for the clone was 56.4°C. analysis, through molecular docking of anti-BjussuMP-II VHHs with metalloprotease, revealed their potential interaction with amino acids present in regions critical for the toxin's conformation and stability. The findings suggest that anti-BjussuMP-II VHHs may be beneficial in the development of next-generation antivenoms.

摘要

为了解决全球抗蛇毒血清危机,新型抗蛇毒血清需要具有高效的治疗效果、广泛的中和全身和局部损伤的能力、足够的安全性和成本效益。由于骆驼科单域抗体(VHH)具有高亲和力、穿透致密组织的能力和易于基因操作等生物学特性,它们在抗蛇毒血清中的应用得到了极大的扩展。从蛇类 BjussuMP-II 金属蛋白酶中筛选出具有活性的 VHH。在分离出 BjussuMP-II 后,用纯化的毒素免疫骆驼科动物,以构建重组噬菌体文库。经过一轮生物淘选,有 52%的选定克隆在 ELISA 检测中能够识别 BjussuMP-II。测序后,确定了 7 种序列特征。选定的一个克隆(VHH61)显示出与 venom 的交叉反应性,但不识别 和 属,表明对 属具有特异性。通过 测试,观察到对 BjussuMP-II 引发的毒性的中和能力。圆二色性光谱表明 VHH61 具有强大的二级结构,计算得到的该克隆的熔点( )为 56.4°C。 分析表明,抗 BjussuMP-II VHH 与金属蛋白酶的分子对接揭示了它们与毒素构象和稳定性关键区域的氨基酸的潜在相互作用。这些发现表明,抗 BjussuMP-II VHH 可能有助于开发下一代抗蛇毒血清。

https://cdn.ncbi.nlm.nih.gov/pmc/blobs/f719/9325618/cbf301546aad/BMRI2022-2748962.005.jpg
https://cdn.ncbi.nlm.nih.gov/pmc/blobs/f719/9325618/50e894b797b8/BMRI2022-2748962.001.jpg
https://cdn.ncbi.nlm.nih.gov/pmc/blobs/f719/9325618/5278511fce43/BMRI2022-2748962.002.jpg
https://cdn.ncbi.nlm.nih.gov/pmc/blobs/f719/9325618/09714f2536bf/BMRI2022-2748962.003.jpg
https://cdn.ncbi.nlm.nih.gov/pmc/blobs/f719/9325618/ba50002158a5/BMRI2022-2748962.004.jpg
https://cdn.ncbi.nlm.nih.gov/pmc/blobs/f719/9325618/cbf301546aad/BMRI2022-2748962.005.jpg
https://cdn.ncbi.nlm.nih.gov/pmc/blobs/f719/9325618/50e894b797b8/BMRI2022-2748962.001.jpg
https://cdn.ncbi.nlm.nih.gov/pmc/blobs/f719/9325618/5278511fce43/BMRI2022-2748962.002.jpg
https://cdn.ncbi.nlm.nih.gov/pmc/blobs/f719/9325618/09714f2536bf/BMRI2022-2748962.003.jpg
https://cdn.ncbi.nlm.nih.gov/pmc/blobs/f719/9325618/ba50002158a5/BMRI2022-2748962.004.jpg
https://cdn.ncbi.nlm.nih.gov/pmc/blobs/f719/9325618/cbf301546aad/BMRI2022-2748962.005.jpg

相似文献

1
Anti-Metalloprotease P-I Single-Domain Antibodies: Tools for Next-Generation Snakebite Antivenoms.抗金属蛋白酶 P-I 单域抗体:下一代蛇伤抗毒液的工具。
Biomed Res Int. 2022 Jul 19;2022:2748962. doi: 10.1155/2022/2748962. eCollection 2022.
2
Inhibition of the Myotoxicity Induced by Bothrops jararacussu Venom and Isolated Phospholipases A2 by Specific Camelid Single-Domain Antibody Fragments.骆驼科单域抗体片段对Bothrops jararacussu蛇毒和分离的磷脂酶A2诱导的肌毒性的抑制作用。
PLoS One. 2016 Mar 30;11(3):e0151363. doi: 10.1371/journal.pone.0151363. eCollection 2016.
3
Preclinical evaluation of single domain antibody efficacy in mitigating local tissue damage induced by Bothrops snake envenomation.抗蛇毒单域抗体减轻巴西矛头蝮蛇咬伤引起的局部组织损伤的临床前评价。
Int Immunopharmacol. 2024 Jun 15;134:112215. doi: 10.1016/j.intimp.2024.112215. Epub 2024 May 13.
4
Antivenomics and in vivo preclinical efficacy of six Latin American antivenoms towards south-western Colombian Bothrops asper lineage venoms.抗蛇毒血清组学与六种拉丁美洲抗蛇毒血清对产自哥伦比亚西南部的矛头蝮属asper 种系蛇毒的体内临床前疗效评价。
PLoS Negl Trop Dis. 2021 Feb 1;15(2):e0009073. doi: 10.1371/journal.pntd.0009073. eCollection 2021 Feb.
5
[Cross neutralization of bothrops jararacussu venom by heterologous antivenoms].[异源抗蛇毒血清对巴西矛头蝮蛇毒的交叉中和作用]
Medicina (B Aires). 1999;59(3):238-42.
6
Development of Nanobodies Against Hemorrhagic and Myotoxic Components of Snake Venom.抗蛇毒出血和肌毒性成分纳米抗体的研制。
Front Immunol. 2020 May 7;11:655. doi: 10.3389/fimmu.2020.00655. eCollection 2020.
7
Molecular characterization and phylogenetic analysis of BjussuMP-I: a RGD-P-III class hemorrhagic metalloprotease from Bothrops jararacussu snake venom.巴西矛头蝮蛇毒中一种RGD-P-III类出血性金属蛋白酶BjussuMP-I的分子特征及系统发育分析
J Mol Graph Model. 2007 Jul;26(1):69-85. doi: 10.1016/j.jmgm.2006.09.010. Epub 2006 Sep 28.
8
Commercial Antivenoms Exert Broad Paraspecific Immunological Binding and In Vitro Inhibition of Medically Important Pit Viper Venoms.商业抗蛇毒血清对医学上重要的响尾蛇属蛇毒具有广泛的种间免疫结合和体外抑制作用。
Toxins (Basel). 2022 Dec 20;15(1):1. doi: 10.3390/toxins15010001.
9
Horse IgG isotypes and cross-neutralization of two snake antivenoms produced in Brazil and Costa Rica.马免疫球蛋白同种型以及巴西和哥斯达黎加生产的两种蛇毒抗毒素的交叉中和作用。
Toxicon. 2000 May;38(5):633-44. doi: 10.1016/s0041-0101(99)00177-4.
10
Neutralization of hemostatic disorders induced by Lachesis muta venom using Brazilian antivenoms.用产自巴西的抗蛇毒血清中和矛头蝮蛇毒引起的止血紊乱。
Toxicon. 2021 Feb;191:44-47. doi: 10.1016/j.toxicon.2020.12.013. Epub 2020 Dec 24.

引用本文的文献

1
Targets Involved in the Pharmacology of Bothrops Snakebite: and Future Perspectives.矛头蝮蛇咬伤药理学涉及的靶点及未来展望
Curr Drug Targets. 2025;26(7):454-469. doi: 10.2174/0113894501352925250225045555.
2
Revolutionizing snakebite care with novel antivenoms: Breakthroughs and barriers.用新型抗蛇毒血清革新蛇咬伤治疗:突破与障碍
Heliyon. 2024 Jan 30;10(3):e25531. doi: 10.1016/j.heliyon.2024.e25531. eCollection 2024 Feb 15.
3
Biological and Medical Aspects Related to South American Rattlesnake (Linnaeus, 1758): A View from Colombia.

本文引用的文献

1
Engineering of single-domain antibodies for next-generation snakebite antivenoms.用于下一代蛇伤抗蛇毒血清的单域抗体工程。
Int J Biol Macromol. 2021 Aug 31;185:240-250. doi: 10.1016/j.ijbiomac.2021.06.043. Epub 2021 Jun 9.
2
Potent Neutralization of SARS-CoV-2 by Hetero-bivalent Alpaca Nanobodies Targeting the Spike Receptor-Binding Domain.靶向刺突受体结合域的异源二价羊驼纳米抗体对严重急性呼吸综合征冠状病毒2(SARS-CoV-2)的有效中和作用
J Virol. 2021 Apr 26;95(10). doi: 10.1128/JVI.02438-20. Epub 2021 Mar 3.
3
Cost of Manufacturing for Recombinant Snakebite Antivenoms.
与南美响尾蛇(Linnaeus,1758)相关的生物学和医学方面:来自哥伦比亚的观点。
Toxins (Basel). 2022 Dec 15;14(12):875. doi: 10.3390/toxins14120875.
重组蛇咬伤抗蛇毒血清的制造成本。
Front Bioeng Biotechnol. 2020 Jul 10;8:703. doi: 10.3389/fbioe.2020.00703. eCollection 2020.
4
Development of Nanobodies Against Hemorrhagic and Myotoxic Components of Snake Venom.抗蛇毒出血和肌毒性成分纳米抗体的研制。
Front Immunol. 2020 May 7;11:655. doi: 10.3389/fimmu.2020.00655. eCollection 2020.
5
Venomics and antivenomics of the poorly studied Brazil's lancehead, (Hoge, 1954), from the Brazilian State of Pará.对来自巴西帕拉州、研究较少的巴西矛头蝮(霍格,1954年)的毒液组学和抗毒液组学研究
J Venom Anim Toxins Incl Trop Dis. 2020 Apr 17;26:e20190103. doi: 10.1590/1678-9199-JVATITD-2019-0103. eCollection 2020.
6
Amplification of Snake Venom Toxicity by Endogenous Signaling Pathways.内源性信号通路对蛇毒毒性的放大作用。
Toxins (Basel). 2020 Jan 22;12(2):68. doi: 10.3390/toxins12020068.
7
Potential of Matrix Metalloproteinase Inhibitors for the Treatment of Local Tissue Damage Induced by a Type P-I Snake Venom Metalloproteinase.基质金属蛋白酶抑制剂治疗 P-I 型蛇毒金属蛋白酶诱导的局部组织损伤的潜力。
Toxins (Basel). 2019 Dec 20;12(1):8. doi: 10.3390/toxins12010008.
8
High Expression Achievement of Active and Robust Anti-β2 microglobulin Nanobodies via Hosts Selection.通过宿主选择实现高表达、活性和稳健的抗β2 微球蛋白纳米抗体。
Molecules. 2019 Aug 7;24(16):2860. doi: 10.3390/molecules24162860.
9
History of Envenoming Therapy and Current Perspectives.毒液治疗的历史和当前观点。
Front Immunol. 2019 Jul 10;10:1598. doi: 10.3389/fimmu.2019.01598. eCollection 2019.
10
Engineering and design considerations for next-generation snakebite antivenoms.下一代蛇伤抗蛇毒血清的工程和设计考虑因素。
Toxicon. 2019 Sep;167:67-75. doi: 10.1016/j.toxicon.2019.06.005. Epub 2019 Jun 4.