• 文献检索
  • 文档翻译
  • 深度研究
  • 学术资讯
  • Suppr Zotero 插件Zotero 插件
  • 邀请有礼
  • 套餐&价格
  • 历史记录
应用&插件
Suppr Zotero 插件Zotero 插件浏览器插件Mac 客户端Windows 客户端微信小程序
定价
高级版会员购买积分包购买API积分包
服务
文献检索文档翻译深度研究API 文档MCP 服务
关于我们
关于 Suppr公司介绍联系我们用户协议隐私条款
关注我们

Suppr 超能文献

核心技术专利:CN118964589B侵权必究
粤ICP备2023148730 号-1Suppr @ 2026

文献检索

告别复杂PubMed语法,用中文像聊天一样搜索,搜遍4000万医学文献。AI智能推荐,让科研检索更轻松。

立即免费搜索

文件翻译

保留排版,准确专业,支持PDF/Word/PPT等文件格式,支持 12+语言互译。

免费翻译文档

深度研究

AI帮你快速写综述,25分钟生成高质量综述,智能提取关键信息,辅助科研写作。

立即免费体验

囊壳类型决定了肺炎克雷伯菌逃避肝脏库普弗细胞捕获的能力。

Capsule type defines the capability of Klebsiella pneumoniae in evading Kupffer cell capture in the liver.

机构信息

Center for Infectious Disease Research, Department of Basic Medical Science, School of Medicine, Tsinghua University, Beijing, China.

Tsinghua-Peking Center for Life Sciences, Tsinghua University, Beijing, China.

出版信息

PLoS Pathog. 2022 Aug 1;18(8):e1010693. doi: 10.1371/journal.ppat.1010693. eCollection 2022 Aug.

DOI:10.1371/journal.ppat.1010693
PMID:35914009
原文链接:https://pmc.ncbi.nlm.nih.gov/articles/PMC9342791/
Abstract

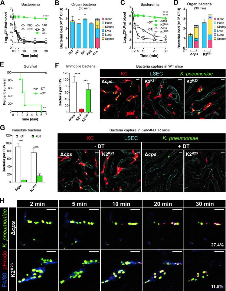
Polysaccharide capsule is the main virulence factor of K. pneumoniae, a major pathogen of bloodstream infections in humans. While more than 80 capsular serotypes have been identified in K. pneumoniae, only several serotypes are frequently identified in invasive infections. It is documented that the capsule enhances bacterial resistance to phagocytosis, antimicrobial peptides and complement deposition under in vitro conditions. However, the precise role of the capsule in the process of K. pneumoniae bloodstream infections remains to be elucidated. Here we show that the capsule promotes K. pneumoniae survival in the bloodstream by protecting bacteria from being captured by liver resident macrophage Kupffer cells (KCs). Our real-time in vivo imaging revealed that blood-borne acapsular K. pneumoniae mutant is rapidly captured and killed by KCs in the liver sinusoids of mice, whereas, to various extents, encapsulated strains bypass the anti-bacterial machinery in a serotype-dependent manner. Using capsule switched strains, we show that certain high-virulence (HV) capsular serotypes completely block KC's capture, whereas the low-virulence (LV) counterparts confer partial protection against KC's capture. Moreover, KC's capture of the LV K. pneumoniae could be in vivo neutralized by free capsular polysaccharides of homologous but not heterologous serotypes, indicating that KCs specifically recognize the LV capsules. Finally, immunization with inactivated K. pneumoniae enables KCs to capture the HV K. pneumoniae. Together, our findings have uncovered that KCs are the major target cells of K. pneumoniae capsule to promote bacterial survival and virulence, which can be reversed by vaccination.

摘要

多糖荚膜是肺炎克雷伯菌的主要毒力因子,是人类血流感染的主要病原体。虽然在肺炎克雷伯菌中已经鉴定出超过 80 种荚膜血清型,但只有少数几种血清型经常在侵袭性感染中被鉴定出来。有文献记载,荚膜在体外条件下增强了细菌对吞噬作用、抗菌肽和补体沉积的抵抗力。然而,荚膜在肺炎克雷伯菌血流感染过程中的确切作用仍有待阐明。在这里,我们表明荚膜通过保护细菌免受肝脏驻留巨噬细胞库普弗细胞(KCs)的捕获,促进肺炎克雷伯菌在血液中的存活。我们的实时体内成像显示,血源无荚膜肺炎克雷伯菌突变体在小鼠肝窦内皮细胞中被迅速捕获和杀死,而包膜菌株则以依赖血清型的方式不同程度地绕过了抗菌机制。使用荚膜转换菌株,我们表明某些高毒力(HV)荚膜血清型完全阻止了 KC 的捕获,而低毒力(LV)荚膜血清型则对 KC 的捕获提供了部分保护。此外,LV 型肺炎克雷伯菌的 KC 捕获可在体内被同源但非异源血清型的游离荚膜多糖中和,表明 KC 特异性识别 LV 荚膜。最后,用灭活的肺炎克雷伯菌免疫可使 KC 捕获 HV 型肺炎克雷伯菌。总之,我们的研究结果揭示了 KC 是肺炎克雷伯菌荚膜促进细菌存活和毒力的主要靶细胞,而疫苗接种可以逆转这种情况。

https://cdn.ncbi.nlm.nih.gov/pmc/blobs/e66f/9342791/47cd4823d0fc/ppat.1010693.g008.jpg
https://cdn.ncbi.nlm.nih.gov/pmc/blobs/e66f/9342791/5832f58b58be/ppat.1010693.g001.jpg
https://cdn.ncbi.nlm.nih.gov/pmc/blobs/e66f/9342791/6fdbee2e70bc/ppat.1010693.g002.jpg
https://cdn.ncbi.nlm.nih.gov/pmc/blobs/e66f/9342791/bc721caf2b38/ppat.1010693.g003.jpg
https://cdn.ncbi.nlm.nih.gov/pmc/blobs/e66f/9342791/d932fbd51df7/ppat.1010693.g004.jpg
https://cdn.ncbi.nlm.nih.gov/pmc/blobs/e66f/9342791/3f32e40f97d1/ppat.1010693.g005.jpg
https://cdn.ncbi.nlm.nih.gov/pmc/blobs/e66f/9342791/2160d47d9360/ppat.1010693.g006.jpg
https://cdn.ncbi.nlm.nih.gov/pmc/blobs/e66f/9342791/5819ae79bb13/ppat.1010693.g007.jpg
https://cdn.ncbi.nlm.nih.gov/pmc/blobs/e66f/9342791/47cd4823d0fc/ppat.1010693.g008.jpg
https://cdn.ncbi.nlm.nih.gov/pmc/blobs/e66f/9342791/5832f58b58be/ppat.1010693.g001.jpg
https://cdn.ncbi.nlm.nih.gov/pmc/blobs/e66f/9342791/6fdbee2e70bc/ppat.1010693.g002.jpg
https://cdn.ncbi.nlm.nih.gov/pmc/blobs/e66f/9342791/bc721caf2b38/ppat.1010693.g003.jpg
https://cdn.ncbi.nlm.nih.gov/pmc/blobs/e66f/9342791/d932fbd51df7/ppat.1010693.g004.jpg
https://cdn.ncbi.nlm.nih.gov/pmc/blobs/e66f/9342791/3f32e40f97d1/ppat.1010693.g005.jpg
https://cdn.ncbi.nlm.nih.gov/pmc/blobs/e66f/9342791/2160d47d9360/ppat.1010693.g006.jpg
https://cdn.ncbi.nlm.nih.gov/pmc/blobs/e66f/9342791/5819ae79bb13/ppat.1010693.g007.jpg
https://cdn.ncbi.nlm.nih.gov/pmc/blobs/e66f/9342791/47cd4823d0fc/ppat.1010693.g008.jpg

相似文献

1
Capsule type defines the capability of Klebsiella pneumoniae in evading Kupffer cell capture in the liver.囊壳类型决定了肺炎克雷伯菌逃避肝脏库普弗细胞捕获的能力。
PLoS Pathog. 2022 Aug 1;18(8):e1010693. doi: 10.1371/journal.ppat.1010693. eCollection 2022 Aug.
2
Functional vulnerability of liver macrophages to capsules defines virulence of blood-borne bacteria.肝脏巨噬细胞对胶囊的功能脆弱性决定了血源性细菌的毒力。
J Exp Med. 2022 Apr 4;219(4). doi: 10.1084/jem.20212032. Epub 2022 Mar 8.
3
Polyproline Peptide Aggregation with Klebsiella pneumoniae Extracellular Polysaccharides Exposes Biofilm Associated Bacteria.多聚脯氨酸肽与肺炎克雷伯氏菌胞外多糖的聚合作用使生物膜相关细菌暴露出来。
Microbiol Spectr. 2022 Apr 27;10(2):e0202721. doi: 10.1128/spectrum.02027-21. Epub 2022 Mar 7.
4
Protective Role of Kupffer Cells and Macrophages in Klebsiella pneumoniae-Induced Liver Abscess Disease.枯否细胞和巨噬细胞在肺炎克雷伯菌诱导的肝脓肿疾病中的保护作用。
Infect Immun. 2019 Aug 21;87(9). doi: 10.1128/IAI.00369-19. Print 2019 Sep.
5
Relationships among capsular structure, phagocytosis, and mouse virulence in Klebsiella pneumoniae.肺炎克雷伯菌荚膜结构、吞噬作用与小鼠毒力之间的关系。
Infect Immun. 1995 Mar;63(3):847-52. doi: 10.1128/iai.63.3.847-852.1995.
6
Polysaccharide capsule-mediated resistance to opsonophagocytosis in Klebsiella pneumoniae.肺炎克雷伯菌中多糖荚膜介导的抗调理吞噬作用
Infect Immun. 1994 Oct;62(10):4495-9. doi: 10.1128/iai.62.10.4495-4499.1994.
7
Defining principles that influence antimicrobial peptide activity against capsulated .定义影响抗微生物肽针对有荚膜的活性的原则。
Proc Natl Acad Sci U S A. 2020 Nov 3;117(44):27620-27626. doi: 10.1073/pnas.2007036117. Epub 2020 Oct 21.
8
Genetic exchange of determinants for capsular polysaccharide biosynthesis between Klebsiella pneumoniae strains expressing serotypes K2 and K21a.表达血清型K2和K21a的肺炎克雷伯菌菌株之间荚膜多糖生物合成决定簇的基因交换。
Infect Immun. 1993 Oct;61(10):4208-16. doi: 10.1128/iai.61.10.4208-4216.1993.
9
First two cases of severe multifocal infections caused by Klebsiella pneumoniae in Switzerland: characterization of an atypical non-K1/K2-serotype strain causing liver abscess and endocarditis.瑞士首例由肺炎克雷伯菌引起的严重多发性感染:导致肝脓肿和心内膜炎的非 K1/K2 血清型非典型菌株的特征。
J Glob Antimicrob Resist. 2017 Sep;10:165-170. doi: 10.1016/j.jgar.2017.04.006. Epub 2017 Jul 17.
10
Identification of Two Regulators of Virulence That Are Conserved in Classical and Hypervirulent Strains.鉴定两种毒力调节因子,它们在经典和超强毒力菌株中保守存在。
mBio. 2018 Aug 7;9(4):e01443-18. doi: 10.1128/mBio.01443-18.

引用本文的文献

1
Spontaneous Emergence of Cefiderocol Resistance in KPC-163: Genomic and Transcriptomic Insights.KPC-163中头孢地尔耐药性的自发出现:基因组和转录组学见解
Antibiotics (Basel). 2025 Aug 15;14(8):832. doi: 10.3390/antibiotics14080832.
2
β-Nicotinamide mononucleotide protects against hypervirulent bloodstream infection and liver injury.β-烟酰胺单核苷酸可预防高毒力血流感染和肝损伤。
mSphere. 2025 Aug 26;10(8):e0036125. doi: 10.1128/msphere.00361-25. Epub 2025 Jul 31.
3
Bacteriophages as an alternative strategy for the treatment of drug resistant bacterial infections: Current approaches and future perspectives.

本文引用的文献

1
Interaction of with tissue macrophages in a mouse infection model and ex-vivo pig organ perfusions: an exploratory investigation.在小鼠感染模型和离体猪器官灌注中与组织巨噬细胞的相互作用:一项探索性研究。
Lancet Microbe. 2021 Dec;2(12):e695-e703. doi: 10.1016/S2666-5247(21)00195-6.
2
Capsule Promotes Intracellular Survival and Vascular Endothelial Cell Translocation during Invasive Pneumococcal Disease.胶囊促进侵袭性肺炎球菌病期间细胞内存活和血管内皮细胞易位。
mBio. 2021 Oct 26;12(5):e0251621. doi: 10.1128/mBio.02516-21. Epub 2021 Oct 12.
3
The molecular basis of regulation of bacterial capsule assembly by Wzc.
噬菌体作为治疗耐药细菌感染的替代策略:当前方法与未来展望。
Cell Surf. 2025 Jul 3;14:100149. doi: 10.1016/j.tcsw.2025.100149. eCollection 2025 Dec.
4
Heat stress induces phage tolerance in .热应激诱导了……中的噬菌体耐受性。 (原文句子不完整,缺少具体对象)
Elife. 2025 Jul 7;14:RP105703. doi: 10.7554/eLife.105703.
5
Immunoinformatics-Based development of a Multi-Epitope vaccine candidate targeting coinfection by Klebsiella pneumoniae and Acinetobacter baumannii.基于免疫信息学开发针对肺炎克雷伯菌和鲍曼不动杆菌共感染的多表位疫苗候选物。
BMC Infect Dis. 2025 Jul 3;25(1):894. doi: 10.1186/s12879-025-11242-5.
6
liver abscesses: pathogenesis, treatment, and ongoing challenges.肝脓肿:发病机制、治疗及当前挑战
Infect Immun. 2025 Aug 12;93(8):e0050824. doi: 10.1128/iai.00508-24. Epub 2025 Jul 3.
7
Leveraging the Capsular Polysaccharide Synthesis Pathway in as a Genetic Glycoengineering Platform.利用[具体对象]中的荚膜多糖合成途径作为基因糖工程平台。
ACS Bio Med Chem Au. 2025 May 8;5(3):342-349. doi: 10.1021/acsbiomedchemau.5c00010. eCollection 2025 Jun 18.
8
De novo virulence feature discovery and risk assessment in Klebsiella pneumoniae based on microbial genome vectorization.基于微生物基因组向量化的肺炎克雷伯菌新毒力特征发现与风险评估
Commun Biol. 2025 Apr 17;8(1):623. doi: 10.1038/s42003-025-07678-9.
9
Phage therapy for Klebsiella pneumoniae: Understanding bacteria-phage interactions for therapeutic innovations.肺炎克雷伯菌的噬菌体疗法:理解细菌与噬菌体的相互作用以实现治疗创新。
PLoS Pathog. 2025 Apr 8;21(4):e1012971. doi: 10.1371/journal.ppat.1012971. eCollection 2025 Apr.
10
New insights and perspectives on the virulence of hypervirulent Klebsiella pneumoniae.关于高毒力肺炎克雷伯菌毒力的新见解和观点。
Folia Microbiol (Praha). 2025 Apr 8. doi: 10.1007/s12223-025-01261-9.
Wzc 调控细菌荚膜装配的分子基础。
Nat Commun. 2021 Jul 16;12(1):4349. doi: 10.1038/s41467-021-24652-1.
4
A systematic analysis of hypermucoviscosity and capsule reveals distinct and overlapping genes that impact Klebsiella pneumoniae fitness.系统分析高黏液性和荚膜揭示了影响肺炎克雷伯菌适应性的独特且重叠的基因。
PLoS Pathog. 2021 Mar 15;17(3):e1009376. doi: 10.1371/journal.ppat.1009376. eCollection 2021 Mar.
5
The Small Protein RmpD Drives Hypermucoviscosity in Klebsiella pneumoniae.小分子蛋白 RmpD 驱动肺炎克雷伯菌的高黏液性。
mBio. 2020 Sep 22;11(5):e01750-20. doi: 10.1128/mBio.01750-20.
6
Assembly of Bacterial Capsular Polysaccharides and Exopolysaccharides.细菌荚膜多糖和胞外多糖的组装。
Annu Rev Microbiol. 2020 Sep 8;74:521-543. doi: 10.1146/annurev-micro-011420-075607. Epub 2020 Jul 17.
7
Regulation of pneumococcal epigenetic and colony phases by multiple two-component regulatory systems.多个双组分调控系统对肺炎链球菌表型和菌落相的调控
PLoS Pathog. 2020 Mar 18;16(3):e1008417. doi: 10.1371/journal.ppat.1008417. eCollection 2020 Mar.
8
The intersection of capsule gene expression, hypermucoviscosity and hypervirulence in Klebsiella pneumoniae.肺炎克雷伯菌荚膜基因表达、高黏液性和高毒力的交汇点。
Curr Opin Microbiol. 2020 Apr;54:95-102. doi: 10.1016/j.mib.2020.01.006. Epub 2020 Feb 12.
9
Fungal dissemination is limited by liver macrophage filtration of the blood.真菌的传播受到肝脏巨噬细胞对血液的过滤作用的限制。
Nat Commun. 2019 Oct 8;10(1):4566. doi: 10.1038/s41467-019-12381-5.
10
Complement mediated Klebsiella pneumoniae capsule changes.补体介导的肺炎克雷伯菌荚膜改变。
Microbes Infect. 2020 Jan-Feb;22(1):19-30. doi: 10.1016/j.micinf.2019.08.003. Epub 2019 Aug 29.