Suppr超能文献

加纳一家三级医疗机构的颅内梗死计算机断层扫描模式。

Computed tomography patterns of intracranial infarcts in a Ghanaian tertiary facility.

机构信息

Department of Medical Imaging, School of Medical Sciences, College of Health and Allied Sciences, University of Cape Coast, Cape Coast, Ghana.

Department of Radiology, Cape Coast Teaching Hospital, Cape Coast, Ghana.

出版信息

Ghana Med J. 2022 Mar;56(1):28-37. doi: 10.4314/gmj.v56i1.5.

Abstract

OBJECTIVE

To determine the Computed Tomography (CT) patterns of intracranial infarcts.

DESIGN

A retrospective cross-sectional study.

SETTING

The CT scan unit of the Radiology Department, Cape Coast Teaching Hospital (CCTH), from February 2017 to February 2021.

PARTICIPANTS

One thousand, one hundred and twenty-five patients with non-contrast head CT scan diagnosis of ischaemic strokes, consecutively selected over the study period without any exclusions.

MAIN OUTCOME MEASURES

Patterns of non-contrast head CT scan of ischaemic strokes.

RESULTS

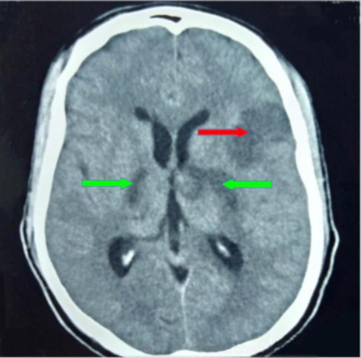
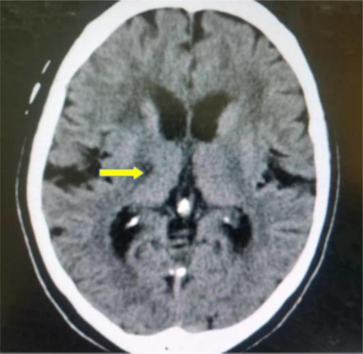
About 50.6% of the study participants were females with an average age of 62.59±13.91 years. Males were affected with ischaemic strokes earlier than females (0.001). The risk factors considered were, hyperlipidaemia (59.5%), hypertension (49.0%), Type 2 diabetes mellitus (DM-2) (39.6%) and smoking (3.0%). The three commonest ischaemic stroke CT scan features were wedge-shaped hypodensity extending to the edge of the brain (62.8%), sulcal flattening/effacement (57.6%) and loss of grey-white matter differentiation (51.0%), which were all significantly associated with hypertension. Small deep brain hypodensities, the rarest feature (2.2%), had no significant association with any of the risk factors considered in the study.

CONCLUSION

Apart from the loss of grey-white matter differentiation, there was no significant association between the other CT scan features and sex. Generally, most of the risk factors and the CT scan features were significantly associated with increasing age.

FUNDING

None declared.

摘要

目的

确定颅内梗死的计算机断层扫描(CT)模式。

设计

回顾性横断面研究。

地点

开普海岸教学医院(CCTH)放射科 CT 扫描室,研究期间为 2017 年 2 月至 2021 年 2 月。

参与者

连续选择 1125 名无对比头部 CT 扫描诊断为缺血性中风的患者,在研究期间没有任何排除。

主要观察结果

缺血性中风无对比头部 CT 扫描模式。

结果

约 50.6%的研究参与者为女性,平均年龄为 62.59±13.91 岁。男性比女性更早受到缺血性中风的影响(0.001)。考虑的危险因素有高脂血症(59.5%)、高血压(49.0%)、2 型糖尿病(DM-2)(39.6%)和吸烟(3.0%)。三种最常见的缺血性中风 CT 扫描特征是楔形低密延伸至脑边缘(62.8%)、脑沟变平/消失(57.6%)和灰白质分界丧失(51.0%),这些都与高血压有显著关联。最小的深部脑低密灶是最罕见的特征(2.2%),与研究中考虑的任何危险因素都没有显著关联。

结论

除了灰白质分界丧失外,其他 CT 扫描特征与性别之间没有显著关联。一般来说,大多数危险因素和 CT 扫描特征与年龄的增加显著相关。

经费

无。

https://cdn.ncbi.nlm.nih.gov/pmc/blobs/6bd6/9334949/30a8bb754ab8/GMJ5601-0028Fig1.jpg

文献AI研究员

20分钟写一篇综述,助力文献阅读效率提升50倍。

立即体验

用中文搜PubMed

大模型驱动的PubMed中文搜索引擎

马上搜索

文档翻译

学术文献翻译模型,支持多种主流文档格式。

立即体验