Suppr超能文献

多组学整合分析鉴定 EFNA 家族在泛癌中的表达特征、免疫特征和预后价值。

Expression characteristic, immune signature, and prognosis value of EFNA family identified by multi-omics integrative analysis in pan-cancer.

机构信息

Department of Medical Oncology, Harbin Medical University Cancer Hospital, Harbin, China.

Department of Oncology, Central Hospital Affiliated to Shandong First Medical University, Jinan, China.

出版信息

BMC Cancer. 2022 Aug 10;22(1):871. doi: 10.1186/s12885-022-09951-0.

Abstract

BACKGROUND

EphrinA (EFNA) are Eph receptor ligands that regulate various disease processes. Nonetheless, the expression characteristics of EFNAs in pan-cancer, their relationship with tumor immune microenvironment, and prognostic value landscape remain unknown.

METHODS

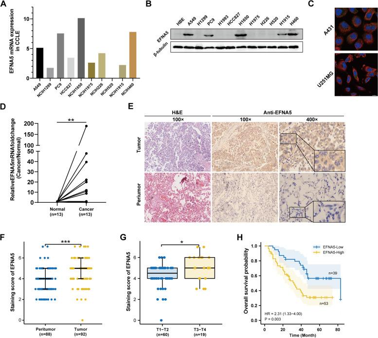
A comprehensive landscape of EFNAs was created using various statistical data extracted from 33 cancers. Subsequently, we identified differential expression, genetic variations, potential function enrichment, tumor immune-related analysis, and drug sensitivity. Further, we investigated the clinical features and diagnostic prognostic value of EFNAs. RT-qPCR, western blot and immunohistochemistry (IHC) were used to validate the expression level and significant clinical value of EFNA5 in lung adenocarcinoma cell lines and tissues.

RESULTS

EFNAs were highly mutated in various cancers. Genomic and epigenetic alterations of EFNAs were observed in various tumors, where an oncogenic mutation in specific cancer types potentially affected EFNA expression. Moreover, tumor-derived EFNAs were significantly related to the tumor immune microenvironment, suggesting that they are promising therapeutic targets. The majority of EFNA family genes were significantly linked to patient prognosis. Eventually, EFNA5 was an independent prognostic factor in lung adenocarcinoma.

CONCLUSION

In summary, EFNAs are crucial in tumor immune regulation, and EFNA5 is a prognostic marker in lung adenocarcinoma. Our findings provide new insights into EFNAs from a bioinformatics standpoint and highlight the significance of EFNAs in cancer diagnosis and treatment.

摘要

背景

EphrinA(EFNA)是 Eph 受体配体,可调节多种疾病过程。然而,EFNAs 在泛癌中的表达特征、与肿瘤免疫微环境的关系以及预后价值景观仍不清楚。

方法

使用从 33 种癌症中提取的各种统计数据创建了 EFNAs 的综合景观。随后,我们确定了差异表达、遗传变异、潜在功能富集、肿瘤免疫相关分析和药物敏感性。此外,我们研究了 EFNAs 的临床特征和诊断预后价值。使用 RT-qPCR、western blot 和免疫组织化学(IHC)验证 EFNA5 在肺腺癌细胞系和组织中的表达水平和显著的临床价值。

结果

EFNAs 在各种癌症中高度突变。在各种肿瘤中观察到 EFNAs 的基因组和表观遗传改变,其中特定癌症类型的致癌突变可能影响 EFNA 表达。此外,肿瘤衍生的 EFNAs 与肿瘤免疫微环境显著相关,表明它们是有前途的治疗靶点。EFNA 家族的大多数基因与患者的预后显著相关。最终,EFNA5 是肺腺癌的独立预后因素。

结论

总之,EFNAs 在肿瘤免疫调节中至关重要,EFNA5 是肺腺癌的预后标志物。我们的研究结果从生物信息学角度提供了对 EFNAs 的新见解,并强调了 EFNAs 在癌症诊断和治疗中的重要性。

https://cdn.ncbi.nlm.nih.gov/pmc/blobs/430f/9364540/ec91e030a866/12885_2022_9951_Fig1_HTML.jpg

文献检索

告别复杂PubMed语法,用中文像聊天一样搜索,搜遍4000万医学文献。AI智能推荐,让科研检索更轻松。

立即免费搜索

文件翻译

保留排版,准确专业,支持PDF/Word/PPT等文件格式,支持 12+语言互译。

免费翻译文档

深度研究

AI帮你快速写综述,25分钟生成高质量综述,智能提取关键信息,辅助科研写作。

立即免费体验