• 文献检索
  • 文档翻译
  • 深度研究
  • 学术资讯
  • Suppr Zotero 插件Zotero 插件
  • 邀请有礼
  • 套餐&价格
  • 历史记录
应用&插件
Suppr Zotero 插件Zotero 插件浏览器插件Mac 客户端Windows 客户端微信小程序
定价
高级版会员购买积分包购买API积分包
服务
文献检索文档翻译深度研究API 文档MCP 服务
关于我们
关于 Suppr公司介绍联系我们用户协议隐私条款
关注我们

Suppr 超能文献

核心技术专利:CN118964589B侵权必究
粤ICP备2023148730 号-1Suppr @ 2026

文献检索

告别复杂PubMed语法,用中文像聊天一样搜索,搜遍4000万医学文献。AI智能推荐,让科研检索更轻松。

立即免费搜索

文件翻译

保留排版,准确专业,支持PDF/Word/PPT等文件格式,支持 12+语言互译。

免费翻译文档

深度研究

AI帮你快速写综述,25分钟生成高质量综述,智能提取关键信息,辅助科研写作。

立即免费体验

阿司匹林丁香酚酯通过稳定血清代谢物水平缓解脂多糖诱导的大鼠急性肺损伤。

Aspirin eugenol ester alleviates lipopolysaccharide-induced acute lung injury in rats while stabilizing serum metabolites levels.

机构信息

Key Lab of New Animal Drug Project of Gansu Province, Key Lab of Veterinary Pharmaceutical Development of Ministry of Agriculture and Rural Affairs, Lanzhou Institute of Husbandry and Pharmaceutical Sciences of CAAS, Lanzhou, China.

出版信息

Front Immunol. 2022 Jul 29;13:939106. doi: 10.3389/fimmu.2022.939106. eCollection 2022.

DOI:10.3389/fimmu.2022.939106
PMID:35967416
原文链接:https://pmc.ncbi.nlm.nih.gov/articles/PMC9372404/
Abstract

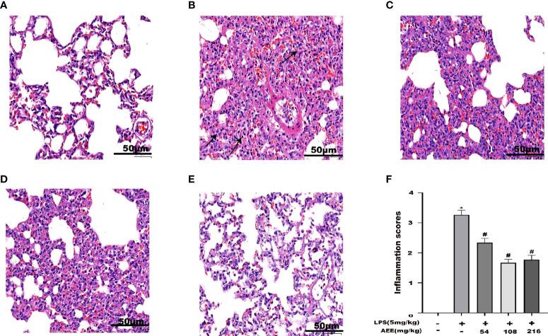
Aspirin eugenol ester (AEE) was a novel drug compound with aspirin and eugenol esterified. AEE had various pharmacological activities, such as anti-inflammatory, antipyretic, analgesic, anti-oxidative stress and so on. In this study, it was aimed to investigate the effect of AEE on the acute lung injury (ALI) induced by lipopolysaccharide (LPS) in rats. experiments evaluated the protective effect of AEE on the LPS-induced A549 cells. The tumor necrosis factor-α (TNF-α), interleukin-6 (IL-6), and interleukin-1β (IL-1β) were measured in the cell supernatant. The Wistar rats were randomly divided into five groups (= 8): control group, model group (LPS group), LPS + AEE group (AEE, 54 mg·kg), LPS + AEE group (AEE, 108 mg·kg), LPS + AEE group (AEE, 216 mg·kg). The lung wet-to-dry weight (W/D) ratio and immune organ index were calculated. WBCs were counted in bronchoalveolar lavage fluid (BALF) and total protein concentration was measured. Hematoxylin-Eosin (HE) staining of lung tissue was performed. Glutathione (GSH), glutathione peroxidase (GPx), catalase (CAT), antioxidant superoxide dismutase (SOD), total antioxidant capacity (T-AOC), lactate dehydrogenase (LDH), C-reactive protein (CRP), myeloperoxidase (MPO), malondialdehyde (MDA), macrophage mobility inhibitory factor (MIF), TNF-α, IL-6, and IL-1β activity were measured. The metabolomic analysis of rat serum was performed by UPLC-QTOF-MS/MS. From the results, compared with LPS group, AEE improved histopathological changes, reduced MDA, CRP, MPO, MDA, and MIF production, decreased WBC count and total protein content in BALF, pro-inflammatory cytokine levels, immune organ index and lung wet-dry weight (W/D), increased antioxidant enzyme activity, in a dose-dependent manner. The results of serum metabolomic analysis showed that the LPS-induced ALI caused metabolic disorders and oxidative stress in rats, while AEE could ameliorate it to some extent. Therefore, AEE could alleviate LPS-induced ALI in rats by regulating abnormal inflammatory responses, slowing down oxidative stress, and modulating energy metabolism.

摘要

阿司匹林丁香酚酯(AEE)是一种新型药物化合物,由阿司匹林和丁香酚酯化而成。AEE 具有多种药理活性,如抗炎、解热、镇痛、抗氧化应激等。本研究旨在探讨 AEE 对脂多糖(LPS)诱导的大鼠急性肺损伤(ALI)的影响。实验评估了 AEE 对 LPS 诱导的 A549 细胞的保护作用。测定细胞上清液中肿瘤坏死因子-α(TNF-α)、白细胞介素-6(IL-6)和白细胞介素-1β(IL-1β)的含量。将 Wistar 大鼠随机分为五组(每组 n=8):对照组、模型组(LPS 组)、LPS+AEE 组(AEE,54mg·kg)、LPS+AEE 组(AEE,108mg·kg)、LPS+AEE 组(AEE,216mg·kg)。计算肺湿重/干重(W/D)比和免疫器官指数。计数支气管肺泡灌洗液(BALF)中的白细胞数并测定总蛋白浓度。进行肺组织苏木精-伊红(HE)染色。测定谷胱甘肽(GSH)、谷胱甘肽过氧化物酶(GPx)、过氧化氢酶(CAT)、抗氧化超氧化物歧化酶(SOD)、总抗氧化能力(T-AOC)、乳酸脱氢酶(LDH)、C 反应蛋白(CRP)、髓过氧化物酶(MPO)、丙二醛(MDA)、巨噬细胞移动抑制因子(MIF)、TNF-α、IL-6 和 IL-1β 活性。采用 UPLC-QTOF-MS/MS 进行大鼠血清代谢组学分析。结果显示,与 LPS 组相比,AEE 改善了组织病理学变化,降低了 MDA、CRP、MPO、MDA 和 MIF 的产生,降低了 BALF 中白细胞计数和总蛋白含量,降低了促炎细胞因子水平、免疫器官指数和肺湿重/干重(W/D),并呈剂量依赖性增加了抗氧化酶活性。血清代谢组学分析结果表明,LPS 诱导的 ALI 导致大鼠代谢紊乱和氧化应激,而 AEE 可在一定程度上改善这种情况。因此,AEE 可通过调节异常炎症反应、减缓氧化应激和调节能量代谢来减轻 LPS 诱导的大鼠 ALI。

https://cdn.ncbi.nlm.nih.gov/pmc/blobs/d054/9372404/51c177e4d36f/fimmu-13-939106-g010.jpg
https://cdn.ncbi.nlm.nih.gov/pmc/blobs/d054/9372404/7cf1f23a7f04/fimmu-13-939106-g001.jpg
https://cdn.ncbi.nlm.nih.gov/pmc/blobs/d054/9372404/c63553792f3f/fimmu-13-939106-g002.jpg
https://cdn.ncbi.nlm.nih.gov/pmc/blobs/d054/9372404/19bbc63db33e/fimmu-13-939106-g003.jpg
https://cdn.ncbi.nlm.nih.gov/pmc/blobs/d054/9372404/e415ee6063f7/fimmu-13-939106-g004.jpg
https://cdn.ncbi.nlm.nih.gov/pmc/blobs/d054/9372404/e7177cee2110/fimmu-13-939106-g005.jpg
https://cdn.ncbi.nlm.nih.gov/pmc/blobs/d054/9372404/b1225d0f24e3/fimmu-13-939106-g006.jpg
https://cdn.ncbi.nlm.nih.gov/pmc/blobs/d054/9372404/20b6673fd0a7/fimmu-13-939106-g007.jpg
https://cdn.ncbi.nlm.nih.gov/pmc/blobs/d054/9372404/140ea82ebcd9/fimmu-13-939106-g008.jpg
https://cdn.ncbi.nlm.nih.gov/pmc/blobs/d054/9372404/8fd1890e2045/fimmu-13-939106-g009.jpg
https://cdn.ncbi.nlm.nih.gov/pmc/blobs/d054/9372404/51c177e4d36f/fimmu-13-939106-g010.jpg
https://cdn.ncbi.nlm.nih.gov/pmc/blobs/d054/9372404/7cf1f23a7f04/fimmu-13-939106-g001.jpg
https://cdn.ncbi.nlm.nih.gov/pmc/blobs/d054/9372404/c63553792f3f/fimmu-13-939106-g002.jpg
https://cdn.ncbi.nlm.nih.gov/pmc/blobs/d054/9372404/19bbc63db33e/fimmu-13-939106-g003.jpg
https://cdn.ncbi.nlm.nih.gov/pmc/blobs/d054/9372404/e415ee6063f7/fimmu-13-939106-g004.jpg
https://cdn.ncbi.nlm.nih.gov/pmc/blobs/d054/9372404/e7177cee2110/fimmu-13-939106-g005.jpg
https://cdn.ncbi.nlm.nih.gov/pmc/blobs/d054/9372404/b1225d0f24e3/fimmu-13-939106-g006.jpg
https://cdn.ncbi.nlm.nih.gov/pmc/blobs/d054/9372404/20b6673fd0a7/fimmu-13-939106-g007.jpg
https://cdn.ncbi.nlm.nih.gov/pmc/blobs/d054/9372404/140ea82ebcd9/fimmu-13-939106-g008.jpg
https://cdn.ncbi.nlm.nih.gov/pmc/blobs/d054/9372404/8fd1890e2045/fimmu-13-939106-g009.jpg
https://cdn.ncbi.nlm.nih.gov/pmc/blobs/d054/9372404/51c177e4d36f/fimmu-13-939106-g010.jpg

相似文献

1
Aspirin eugenol ester alleviates lipopolysaccharide-induced acute lung injury in rats while stabilizing serum metabolites levels.阿司匹林丁香酚酯通过稳定血清代谢物水平缓解脂多糖诱导的大鼠急性肺损伤。
Front Immunol. 2022 Jul 29;13:939106. doi: 10.3389/fimmu.2022.939106. eCollection 2022.
2
Aspirin eugenol ester ameliorates paraquat-induced oxidative damage through ROS/p38-MAPK-mediated mitochondrial apoptosis pathway.阿司匹林丁香酚酯通过 ROS/p38-MAPK 介导的线粒体凋亡途径改善百草枯诱导的氧化损伤。
Toxicology. 2021 Apr 15;453:152721. doi: 10.1016/j.tox.2021.152721. Epub 2021 Feb 13.
3
The Protective Effect of Aspirin Eugenol Ester on Oxidative Stress to PC12 Cells Stimulated with HO through Regulating PI3K/Akt Signal Pathway.阿司匹林丁香酚酯通过调控 PI3K/Akt 信号通路对 HO 刺激的 PC12 细胞氧化应激的保护作用。
Oxid Med Cell Longev. 2021 Jun 24;2021:5527475. doi: 10.1155/2021/5527475. eCollection 2021.
4
Protective Activity of Aspirin Eugenol Ester on Paraquat-Induced Cell Damage in SH-SY5Y Cells.阿司匹林丁香酚酯对百草枯诱导的 SH-SY5Y 细胞损伤的保护作用。
Oxid Med Cell Longev. 2021 Aug 4;2021:6697872. doi: 10.1155/2021/6697872. eCollection 2021.
5
Protective Effect of the Eluting Fraction of Da-Yuan-Yin Decoction on Acute Lung Injury.大元饮洗脱部位对急性肺损伤的保护作用。
Altern Ther Health Med. 2023 Jul;29(5):242-254.
6
Protective Effect and Mechanism of Aspirin Eugenol Ester on Lipopolysaccharide-Induced Intestinal Barrier Injury.阿司匹林丁香酚酯对脂多糖诱导的肠道屏障损伤的保护作用及机制。
Int J Mol Sci. 2023 Dec 13;24(24):17434. doi: 10.3390/ijms242417434.
7
Febuxostat protects rats against lipopolysaccharide-induced lung inflammation in a dose-dependent manner.非布司他以剂量依赖的方式保护大鼠免受脂多糖诱导的肺部炎症。
Naunyn Schmiedebergs Arch Pharmacol. 2016 Mar;389(3):269-78. doi: 10.1007/s00210-015-1202-6. Epub 2015 Dec 28.
8
[Effects of total ginsenosides from Panax ginseng stems and leaves on gut microbiota and short-chain fatty acids metabolism in acute lung injury mice].人参茎叶总皂苷对急性肺损伤小鼠肠道菌群及短链脂肪酸代谢的影响
Zhongguo Zhong Yao Za Zhi. 2023 Mar;48(5):1319-1329. doi: 10.19540/j.cnki.cjcmm.20221111.702.
9
Usnic acid protects LPS-induced acute lung injury in mice through attenuating inflammatory responses and oxidative stress.松萝酸通过减轻炎症反应和氧化应激来保护脂多糖诱导的小鼠急性肺损伤。
Int Immunopharmacol. 2014 Oct;22(2):371-8. doi: 10.1016/j.intimp.2014.06.043. Epub 2014 Jul 26.
10
Syringic acid attenuates acute lung injury by modulating macrophage polarization in LPS-induced mice.丁香酸通过调节脂多糖诱导的小鼠巨噬细胞极化来减轻急性肺损伤。
Phytomedicine. 2024 Jul;129:155591. doi: 10.1016/j.phymed.2024.155591. Epub 2024 Apr 15.

引用本文的文献

1
Aspirin Eugenol Ester Ameliorates HFD-Induced NAFLD in Mice via the Modulation of Bile Acid Metabolism.阿司匹林丁香酚酯通过调节胆汁酸代谢改善高脂饮食诱导的小鼠非酒精性脂肪性肝病
Int J Mol Sci. 2025 Jul 22;26(15):7044. doi: 10.3390/ijms26157044.
2
Eugenol: An Insight Into the Anticancer Perspective and Pharmacological Aspects.丁香酚:抗癌前景与药理学方面的洞察
Food Sci Nutr. 2025 Aug 3;13(8):e70727. doi: 10.1002/fsn3.70727. eCollection 2025 Aug.
3
Aspirin Eugenol Ester Alleviates Energy Metabolism Disorders by Reducing Oxidative Damage and Inflammation in the Livers of Broilers Under High-Stocking-Density Stress.

本文引用的文献

1
Evolutionary impacts of purine metabolism genes on mammalian oxidative stress adaptation.嘌呤代谢基因对哺乳动物氧化应激适应的进化影响。
Zool Res. 2022 Mar 18;43(2):241-254. doi: 10.24272/j.issn.2095-8137.2021.420.
2
Propofol inhibits the myeloperoxidase activity by acting as substrate through a redox process.异丙酚通过氧化还原过程作为底物抑制髓过氧化物酶活性。
Biochim Biophys Acta Gen Subj. 2022 May;1866(5):130100. doi: 10.1016/j.bbagen.2022.130100. Epub 2022 Feb 10.
3
Protective Effects of Carbon Dots Derived from Carbonisata Against Acute Lung Injury Induced by Lipopolysaccharides in Rats.
阿司匹林丁香酚酯通过减轻高密度饲养应激下肉鸡肝脏的氧化损伤和炎症来缓解能量代谢紊乱。
Int J Mol Sci. 2025 Feb 21;26(5):1877. doi: 10.3390/ijms26051877.
4
Comparative Study of an Antioxidant Compound and Ethoxyquin on Feed Oxidative Stability and on Performance, Antioxidant Capacity, and Intestinal Health in Starter Broiler Chickens.抗氧化化合物与乙氧喹对肉仔鸡雏鸡饲料氧化稳定性、生产性能、抗氧化能力及肠道健康的比较研究
Antioxidants (Basel). 2024 Oct 13;13(10):1229. doi: 10.3390/antiox13101229.
5
Aspirin eugenol ester affects ileal barrier function, inflammatory response and microbiota in broilers under lipopolysaccharide-induced immune stress conditions.阿司匹林丁香酚酯对脂多糖诱导的免疫应激条件下肉鸡的回肠屏障功能、炎症反应和微生物群有影响。
Front Vet Sci. 2024 May 30;11:1401909. doi: 10.3389/fvets.2024.1401909. eCollection 2024.
6
Effects of Aspirin Eugenol Ester on Liver Oxidative Damage and Energy Metabolism in Immune-Stressed Broilers.阿司匹林丁香酚酯对免疫应激肉鸡肝脏氧化损伤和能量代谢的影响
Antioxidants (Basel). 2024 Mar 13;13(3):341. doi: 10.3390/antiox13030341.
7
Protective Effect of Vitamin K2 (MK-7) on Acute Lung Injury Induced by Lipopolysaccharide in Mice.维生素K2(MK-7)对脂多糖诱导的小鼠急性肺损伤的保护作用
Curr Issues Mol Biol. 2024 Feb 22;46(3):1700-1712. doi: 10.3390/cimb46030110.
8
Protective Effect and Mechanism of Aspirin Eugenol Ester on Lipopolysaccharide-Induced Intestinal Barrier Injury.阿司匹林丁香酚酯对脂多糖诱导的肠道屏障损伤的保护作用及机制。
Int J Mol Sci. 2023 Dec 13;24(24):17434. doi: 10.3390/ijms242417434.
碳点衍生自 Carbonisata 对脂多糖诱导的大鼠急性肺损伤的保护作用。
Int J Nanomedicine. 2022 Jan 4;17:1-14. doi: 10.2147/IJN.S338886. eCollection 2022.
4
Ameliorative Effects of Oleuropein on Lipopolysaccharide-Induced Acute Lung Injury Model in Rats.橄榄苦苷对脂多糖诱导的大鼠急性肺损伤模型的改善作用。
Inflammation. 2021 Dec;44(6):2246-2259. doi: 10.1007/s10753-021-01496-x. Epub 2021 Sep 13.
5
Chimonanthus nitens Oliv. essential oil mitigates lipopolysaccharide-induced acute lung injury in rats.夏蜡梅挥发油减轻脂多糖诱导的大鼠急性肺损伤。
Food Chem Toxicol. 2021 Oct;156:112445. doi: 10.1016/j.fct.2021.112445. Epub 2021 Jul 29.
6
Resveratrol-Loaded Lipid-Core Nanocapsules Modulate Acute Lung Inflammation and Oxidative Imbalance Induced by LPS in Mice.负载白藜芦醇的脂质核纳米胶囊调节小鼠中由脂多糖诱导的急性肺炎症和氧化失衡。
Pharmaceutics. 2021 May 10;13(5):683. doi: 10.3390/pharmaceutics13050683.
7
EGCG promotes PRKCA expression to alleviate LPS-induced acute lung injury and inflammatory response.EGCG 促进 PRKCA 表达,从而减轻 LPS 诱导的急性肺损伤和炎症反应。
Sci Rep. 2021 May 26;11(1):11014. doi: 10.1038/s41598-021-90398-x.
8
Changes of Lipopolysaccharide-Induced Acute Kidney and Liver Injuries in Rats Based on Metabolomics Analysis.基于代谢组学分析的脂多糖诱导大鼠急性肾损伤和肝损伤的变化
J Inflamm Res. 2021 May 6;14:1807-1825. doi: 10.2147/JIR.S306789. eCollection 2021.
9
The Enzymatic and Non-Enzymatic Function of Myeloperoxidase (MPO) in Inflammatory Communication.髓过氧化物酶(MPO)在炎症信号传导中的酶促与非酶促功能
Antioxidants (Basel). 2021 Apr 5;10(4):562. doi: 10.3390/antiox10040562.
10
Therapeutic Lowering of C-Reactive Protein.C 反应蛋白的治疗性降低
Front Immunol. 2021 Jan 29;11:619564. doi: 10.3389/fimmu.2020.619564. eCollection 2020.