Suppr超能文献

强直性脊柱炎患者脑血流模式的改变:一项三维伪连续动脉自旋标记研究

Altered cerebral blood flow patterns in ankylosing spondylitis: A three-dimensional pseudo-continuous arterial spin labeling study.

作者信息

Fang Jin, Hua Kelei, Chen Feng, Wan Zhifang, Yin Yi, Liu Ping, Wang Tianyue, Jiang Guihua

机构信息

The Second School of Clinical Medicine, Southern Medical University, Guangzhou, China.

Department of Medical Imaging, Guangdong Second Provincial General Hospital, Guangzhou, China.

出版信息

Front Neurosci. 2022 Aug 3;16:961489. doi: 10.3389/fnins.2022.961489. eCollection 2022.

Abstract

OBJECTIVE

This study aimed to detect the cerebral blood flow (CBF) values changes in patients with ankylosing spondylitis (AS) and to evaluate the correlation between the CBF values and the specific clinical characteristics.

MATERIALS AND METHODS

Forty-eight patients with AS (43 male and 5 female) and 42 healthy controls (HCs) (38 male and 4 female) were recruited. Three-dimensional pseudo-continuous arterial spin labeling (3D-pCASL) was performed on a 3.0T magnetic resonance imaging (MRI). CBF values were obtained on the Philips post-processing workstation based on arterial spin labeling (ASL) data. The two-sample -test was used to compare CBF differences. The correlation between CBF values and specific clinical characteristics of AS was evaluated.

RESULTS

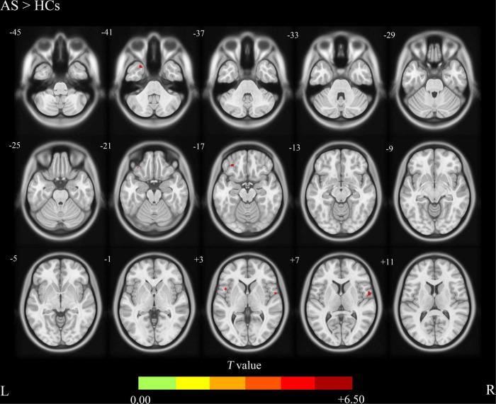
The AS group showed increased CBF values in the right precentral gyrus, the left inferior frontal gyrus, and the left temporal pole compared with HCs the AS group also showed decreased CBF values in the left precuneus and the left superior occipital gyrus compared with HCs. There were no significant correlations between the CBF values and the clinical characteristics including total back pain (TBP), erythrocyte sedimentation rate (ESR), and C-reactive protein (CRP).

CONCLUSION

Patients with AS displayed CBF changes compared with HCs using 3D-PCASL. These results may enhance our understanding of the neural substrates of AS and provide evidence of AS-related neurological impairment.

摘要

目的

本研究旨在检测强直性脊柱炎(AS)患者的脑血流量(CBF)值变化,并评估CBF值与特定临床特征之间的相关性。

材料与方法

招募了48例AS患者(男43例,女5例)和42例健康对照者(HCs)(男38例,女4例)。在3.0T磁共振成像(MRI)上进行三维伪连续动脉自旋标记(3D-pCASL)。基于动脉自旋标记(ASL)数据,在飞利浦后处理工作站上获得CBF值。采用两样本t检验比较CBF差异。评估CBF值与AS特定临床特征之间的相关性。

结果

与HCs相比,AS组右侧中央前回、左侧额下回和左侧颞极的CBF值升高;与HCs相比,AS组左侧楔前叶和左侧枕上回的CBF值降低。CBF值与包括总背痛(TBP)、红细胞沉降率(ESR)和C反应蛋白(CRP)在内的临床特征之间无显著相关性。

结论

与HCs相比,AS患者使用3D-PCASL显示出CBF变化。这些结果可能会增强我们对AS神经基质的理解,并为AS相关神经功能损害提供证据。

https://cdn.ncbi.nlm.nih.gov/pmc/blobs/1b59/9381807/b80c79d93bc3/fnins-16-961489-g001.jpg

文献AI研究员

20分钟写一篇综述,助力文献阅读效率提升50倍。

立即体验

用中文搜PubMed

大模型驱动的PubMed中文搜索引擎

马上搜索

文档翻译

学术文献翻译模型,支持多种主流文档格式。

立即体验