Suppr超能文献

单侧围产期卒中后基底节容积的半球间发育性改变。

Bihemispheric developmental alterations in basal ganglia volumes following unilateral perinatal stroke.

机构信息

Department of Pediatrics, Cumming School of Medicine, University of Calgary, Calgary, AB, Canada.

Department of Pediatrics, Cumming School of Medicine, University of Calgary, Calgary, AB, Canada; Hotchkiss Brain Institute, University of Calgary, Calgary, AB, Canada; Alberta Children's Hospital Research Institute (ACHRI), Calgary, AB, Canada.

出版信息

Neuroimage Clin. 2022;35:103143. doi: 10.1016/j.nicl.2022.103143. Epub 2022 Aug 4.

Abstract

INTRODUCTION

Perinatal stroke affects millions of children and results in lifelong disability. Two forms prevail: arterial ischemic stroke (AIS), and periventricular venous infarction (PVI). With such focal damage early in life, neural structures may reorganize during development to determine clinical function, particularly in the contralesional hemisphere. Such processes are increasingly understood in the motor system, however, the role of the basal ganglia, a group of subcortical nuclei that are critical to movement, behaviour, and learning, remain relatively unexplored. Perinatal strokes that directly damage the basal ganglia have been associated with worse motor outcomes, but how developmental plasticity affects bilateral basal ganglia structure is unknown. We hypothesized that children with perinatal stroke have alterations in bilateral basal ganglia volumes, the degree of which correlates with clinical motor function.

METHODS

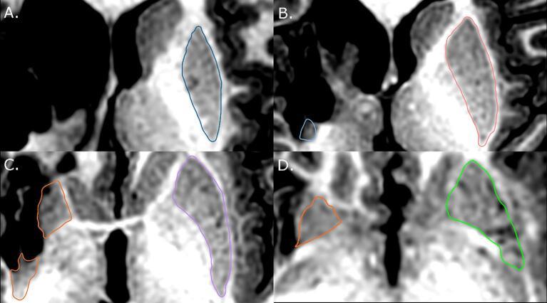
Children with AIS or PVI, and controls, aged 6-19 years, were recruited from a population-based cohort. MRIs were acquired on a 3 T GE MR750w scanner. High-resolution T1-weighted images (166 slices, 1 mm isotropic voxels) underwent manual segmentations of bilateral caudate and putamen. Extracted volumes were corrected for total intracranial volume. A structure volume ratio quantified hemispheric asymmetry of caudate and putamen (non-dominant/dominant hemisphere structure volume) with ratios closer to 1 reflecting a greater degree of symmetry between structures. Participants were additionally dichotomized by volume ratios into two groups, those with values above the group mean (0.8) and those below. Motor function was assessed using the Assisting Hand Assessment (AHA) and the Box and Blocks test in affected (BBTA) and unaffected (BBTU) hands. Group differences in volumes were explored using Kruskal-Wallis tests, and interhemispheric differences using Wilcoxon. Partial Spearman correlations explored associations between volumes and motor function (factoring out age, and whole-brain white matter volume, a proxy for lesion extent).

RESULTS

In the dominant (non-lesioned) hemisphere, volumes were larger in AIS compared to PVI for both the caudate (p < 0.05) and putamen (p < 0.01) but comparable between stroke groups and controls. Non-dominant (lesioned) hemisphere volumes were larger for controls than AIS for the putamen (p < 0.05), and for the caudate in PVI (p = 0.001). Interhemispheric differences showed greater dominant hemisphere volumes for the putamen in controls (p < 0.01), for both the caudate (p < 0.01) and putamen (p < 0.001) in AIS, and for the caudate (p = 0.01) in PVI. Motor scores did not differ between AIS and PVI thus groups were combined to increase statistical power. Better motor scores were associated with larger non-dominant putamen volumes (BBTA: r = 0.40, p = 0.011), and larger putamen volume ratios (BBTA: r = 0.52, p < 0.001, AHA: r = 0.43, p < 0.01). For those with relatively symmetrical putamen volume ratios (ratio > group mean of 0.8), age was positively correlated with BBTA (r = 0.54, p < 0.01) and BBTU (r = 0.69, p < 0.001). For those with more asymmetrical putamen volume ratios, associations with motor function and age were not seen (BBTA: r = 0.21, p = 0.40, BBTU: r = 0.37, p = 0.13).

CONCLUSION

Specific perinatal stroke lesions affect different elements of basal ganglia development. PVI primarily affected the caudate, while AIS primarily affected the putamen. Putamen volumes in the lesioned hemisphere are associated with clinical motor function. The basal ganglia should be included in evolving models of developmental plasticity after perinatal stroke.

摘要

简介

围产期卒中影响着数百万儿童,并导致终身残疾。两种主要形式为:动脉缺血性卒中(AIS)和脑室周围静脉梗死(PVI)。由于生命早期的这种局灶性损伤,神经结构可能在发育过程中重新组织,以确定临床功能,特别是在对侧半球。在运动系统中,越来越多地理解了这种过程,但是基底节的作用(一组对运动、行为和学习至关重要的皮质下核团)仍相对未被探索。直接损伤基底节的围产期卒中与更差的运动结局相关,但发育可塑性如何影响双侧基底节结构尚不清楚。我们假设围产期卒中患儿的双侧基底节体积发生改变,其程度与临床运动功能相关。

方法

我们从一个基于人群的队列中招募了患有 AIS 或 PVI 的儿童和对照组,年龄在 6-19 岁之间。使用 3T GE MR750w 扫描仪进行 MRI 采集。高分辨率 T1 加权图像(166 个切片,1mm 各向同性体素)对双侧尾状核和壳核进行手动分割。提取的体积经过校正,以补偿总颅内体积。结构体积比量化了尾状核和壳核的半球不对称性(非优势/优势半球结构体积),比值越接近 1,表明结构之间的对称性越大。参与者还根据体积比分为两组,即大于组平均值(0.8)和小于组平均值的两组。使用辅助手评估(AHA)和患侧(BBTA)和健侧(BBTU)手的盒式积木测试评估运动功能。使用 Kruskal-Wallis 检验探索组间体积差异,使用 Wilcoxon 检验探索半脑间差异。偏 Spearman 相关分析探索了体积与运动功能之间的关联(考虑了年龄和全脑白质体积,这是病变程度的替代指标)。

结果

在优势(未受损)半球中,与 PVI 相比,AIS 的尾状核(p<0.05)和壳核(p<0.01)的体积更大,但与对照组相比,卒中组之间的体积无差异。在非优势(受损)半球中,与 AIS 相比,对照组的壳核体积更大(p<0.05),而 PVI 中则是尾状核体积更大(p=0.001)。半脑间差异显示,在对照组中,壳核的优势半球体积更大(p<0.01),在 AIS 中,尾状核和壳核的优势半球体积都更大(p<0.01),而在 PVI 中则是尾状核体积更大(p<0.01)。AIS 和 PVI 之间的运动评分没有差异,因此将两组合并以增加统计效力。更好的运动评分与非优势侧壳核体积更大(BBTA:r=0.40,p=0.011)和壳核体积比更大(BBTA:r=0.52,p<0.001,AHA:r=0.43,p<0.01)相关。对于那些壳核体积比相对对称的患者(比值>组平均值 0.8),年龄与 BBTA(r=0.54,p<0.01)和 BBTU(r=0.69,p<0.001)呈正相关。对于那些壳核体积比不对称的患者,与运动功能和年龄的相关性则不存在(BBTA:r=0.21,p=0.40,BBTU:r=0.37,p=0.13)。

结论

特定的围产期卒中损伤影响基底节发育的不同元素。PVI 主要影响尾状核,而 AIS 主要影响壳核。患侧基底节的体积与临床运动功能相关。在围产期卒中后,基底节应被纳入发育可塑性的不断发展的模型中。

https://cdn.ncbi.nlm.nih.gov/pmc/blobs/43fb/9421529/81de399e68c0/gr1.jpg

文献AI研究员

20分钟写一篇综述,助力文献阅读效率提升50倍。

立即体验

用中文搜PubMed

大模型驱动的PubMed中文搜索引擎

马上搜索

文档翻译

学术文献翻译模型,支持多种主流文档格式。

立即体验