Suppr超能文献

暴发性甲型流感心肌炎并发短暂性心室壁增厚和心脏压塞

Fulminant Influenza A Myocarditis Complicated by Transient Ventricular Wall Thickening and Cardiac Tamponade.

作者信息

Radovanovic Milan, Dumic Igor, Nordstrom Charles W, Hanna Richard D

机构信息

Mayo Clinic Alix School of Medicine, Rochester, MN 55905, USA.

Department of Hospital Medicine, Mayo Clinic Health System, Eau Claire, WI 54703, USA.

出版信息

Infect Dis Rep. 2022 Aug 15;14(4):600-608. doi: 10.3390/idr14040065.

Abstract

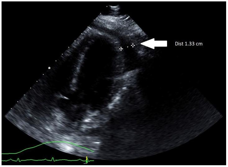
Myocarditis is an infrequent complication of influenza infection that is most often diagnosed clinically in the setting of confirmed influenza infection and elevated cardiac enzymes. Pericarditis can also occur in cases of influenza myocarditis and may require pericardiocentesis for tamponade. Patients with fulminant myocarditis have cardiogenic shock; however, echocardiographic findings may be subtle, showing a preserved ejection fraction and diffuse left ventricular wall thickening (compared to baseline) due to inflammatory edema. Recognizing these echocardiographic findings in the appropriate clinical setting facilitates the early recognition of fulminant myocarditis. Therefore, we report a case of fulminant influenza A myocarditis in healthy 37-year-old women complicated by transient left ventricular wall thickening and tamponade, highlighting the importance of early diagnosis and supportive management for a successful outcome.

摘要

心肌炎是流感感染的一种罕见并发症,通常在确诊流感感染且心肌酶升高的情况下通过临床诊断。心包炎也可能发生在流感心肌炎病例中,可能需要心包穿刺引流以缓解心包填塞。暴发性心肌炎患者会出现心源性休克;然而,超声心动图表现可能不明显,显示射血分数正常,且由于炎症性水肿导致左心室壁弥漫性增厚(与基线相比)。在适当的临床环境中识别这些超声心动图表现有助于早期识别暴发性心肌炎。因此,我们报告一例37岁健康女性患甲型流感暴发性心肌炎,并发短暂性左心室壁增厚和心包填塞,强调早期诊断和支持性治疗对于成功治疗的重要性。

https://cdn.ncbi.nlm.nih.gov/pmc/blobs/6026/9408225/4471840b1233/idr-14-00065-g001.jpg

文献检索

告别复杂PubMed语法,用中文像聊天一样搜索,搜遍4000万医学文献。AI智能推荐,让科研检索更轻松。

立即免费搜索

文件翻译

保留排版,准确专业,支持PDF/Word/PPT等文件格式,支持 12+语言互译。

免费翻译文档

深度研究

AI帮你快速写综述,25分钟生成高质量综述,智能提取关键信息,辅助科研写作。

立即免费体验