• 文献检索
  • 文档翻译
  • 深度研究
  • 学术资讯
  • Suppr Zotero 插件Zotero 插件
  • 邀请有礼
  • 套餐&价格
  • 历史记录
应用&插件
Suppr Zotero 插件Zotero 插件浏览器插件Mac 客户端Windows 客户端微信小程序
定价
高级版会员购买积分包购买API积分包
服务
文献检索文档翻译深度研究API 文档MCP 服务
关于我们
关于 Suppr公司介绍联系我们用户协议隐私条款
关注我们

Suppr 超能文献

核心技术专利:CN118964589B侵权必究
粤ICP备2023148730 号-1Suppr @ 2026

文献检索

告别复杂PubMed语法,用中文像聊天一样搜索,搜遍4000万医学文献。AI智能推荐,让科研检索更轻松。

立即免费搜索

文件翻译

保留排版,准确专业,支持PDF/Word/PPT等文件格式,支持 12+语言互译。

免费翻译文档

深度研究

AI帮你快速写综述,25分钟生成高质量综述,智能提取关键信息,辅助科研写作。

立即免费体验

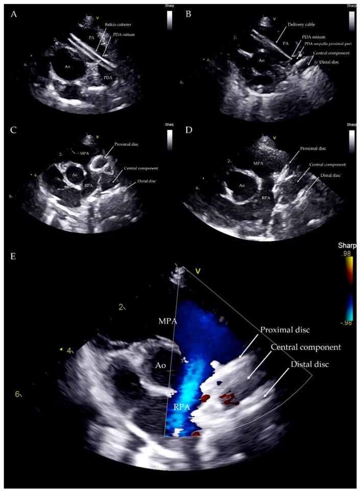
使用Amplatzer血管封堵器II对七只犬进行经颈静脉动脉导管未闭封堵术。

Transjugular Patent Ductus Arteriosus Occlusion in Seven Dogs Using the Amplatzer Vascular Plug II.

作者信息

Bagardi Mara, Domenech Oriol, Vezzosi Tommaso, Marchesotti Federica, Bini Martina, Patata Valentina, Croce Marta, Valenti Valentina, Venco Luigi

机构信息

Cardiology Unit, Anicura Clinica Veterinaria Orobica, Azzano San Paolo, 24052 Bergamo, Italy.

Cardiology Unit, Anicura Istituto Veterinario Novara, Granozzo con Monticello, 28060 Novara, Italy.

出版信息

Vet Sci. 2022 Aug 14;9(8):431. doi: 10.3390/vetsci9080431.

DOI:10.3390/vetsci9080431
PMID:36006346
原文链接:https://pmc.ncbi.nlm.nih.gov/articles/PMC9415090/
Abstract

Although vascular plugs for the closure of patent ductus arteriosus (PDA) have been validated in dogs, studies are lacking on its use as a first-choice device with a transjugular approach. The present case series describes the transvenous right jugular embolization of PDA using an Amplatzer Vascular Plug II in seven dogs of different ages, breeds, and body weights. Complete closure of the PDA was demonstrated in all cases. All dogs showed significant hemodynamic reduction of pulmonary overcirculation and left heart size after the procedure and at following echocardiographic check-ups. Transjugular PDA occlusion using an Amplatzer Vascular Plug II can thus be considered as a safe alternative to the arterial or venous femoral approach using an Amplatzer canine ductal occluder (ACDO), particularly in puppies with small femoral vessels.

摘要

尽管用于闭合动脉导管未闭(PDA)的血管封堵器已在犬类中得到验证,但缺乏关于将其作为经颈静脉途径的首选装置的研究。本病例系列描述了使用Amplatzer血管封堵器II对7只不同年龄、品种和体重的犬经静脉右颈静脉进行PDA栓塞。所有病例均显示PDA完全闭合。所有犬在术后及随后的超声心动图检查中均显示肺循环过度和左心大小显著降低。因此,使用Amplatzer血管封堵器II经颈静脉封堵PDA可被视为使用Amplatzer犬用导管封堵器(ACDO)经动脉或股静脉途径的安全替代方法,特别是对于股血管较小的幼犬。

https://cdn.ncbi.nlm.nih.gov/pmc/blobs/ea91/9415090/5de363fad3e4/vetsci-09-00431-g012.jpg
https://cdn.ncbi.nlm.nih.gov/pmc/blobs/ea91/9415090/86b49ee0c03d/vetsci-09-00431-g001.jpg
https://cdn.ncbi.nlm.nih.gov/pmc/blobs/ea91/9415090/024e32f5712d/vetsci-09-00431-g002.jpg
https://cdn.ncbi.nlm.nih.gov/pmc/blobs/ea91/9415090/3dc8926c3876/vetsci-09-00431-g003.jpg
https://cdn.ncbi.nlm.nih.gov/pmc/blobs/ea91/9415090/09ea2c048f58/vetsci-09-00431-g004.jpg
https://cdn.ncbi.nlm.nih.gov/pmc/blobs/ea91/9415090/b2c5ee7fb308/vetsci-09-00431-g005.jpg
https://cdn.ncbi.nlm.nih.gov/pmc/blobs/ea91/9415090/bdc22b355962/vetsci-09-00431-g006.jpg
https://cdn.ncbi.nlm.nih.gov/pmc/blobs/ea91/9415090/835f76f3cf68/vetsci-09-00431-g007.jpg
https://cdn.ncbi.nlm.nih.gov/pmc/blobs/ea91/9415090/479c7facacaf/vetsci-09-00431-g008.jpg
https://cdn.ncbi.nlm.nih.gov/pmc/blobs/ea91/9415090/44b39851415e/vetsci-09-00431-g009.jpg
https://cdn.ncbi.nlm.nih.gov/pmc/blobs/ea91/9415090/0ef14619065d/vetsci-09-00431-g010.jpg
https://cdn.ncbi.nlm.nih.gov/pmc/blobs/ea91/9415090/daec720e3325/vetsci-09-00431-g011.jpg
https://cdn.ncbi.nlm.nih.gov/pmc/blobs/ea91/9415090/5de363fad3e4/vetsci-09-00431-g012.jpg
https://cdn.ncbi.nlm.nih.gov/pmc/blobs/ea91/9415090/86b49ee0c03d/vetsci-09-00431-g001.jpg
https://cdn.ncbi.nlm.nih.gov/pmc/blobs/ea91/9415090/024e32f5712d/vetsci-09-00431-g002.jpg
https://cdn.ncbi.nlm.nih.gov/pmc/blobs/ea91/9415090/3dc8926c3876/vetsci-09-00431-g003.jpg
https://cdn.ncbi.nlm.nih.gov/pmc/blobs/ea91/9415090/09ea2c048f58/vetsci-09-00431-g004.jpg
https://cdn.ncbi.nlm.nih.gov/pmc/blobs/ea91/9415090/b2c5ee7fb308/vetsci-09-00431-g005.jpg
https://cdn.ncbi.nlm.nih.gov/pmc/blobs/ea91/9415090/bdc22b355962/vetsci-09-00431-g006.jpg
https://cdn.ncbi.nlm.nih.gov/pmc/blobs/ea91/9415090/835f76f3cf68/vetsci-09-00431-g007.jpg
https://cdn.ncbi.nlm.nih.gov/pmc/blobs/ea91/9415090/479c7facacaf/vetsci-09-00431-g008.jpg
https://cdn.ncbi.nlm.nih.gov/pmc/blobs/ea91/9415090/44b39851415e/vetsci-09-00431-g009.jpg
https://cdn.ncbi.nlm.nih.gov/pmc/blobs/ea91/9415090/0ef14619065d/vetsci-09-00431-g010.jpg
https://cdn.ncbi.nlm.nih.gov/pmc/blobs/ea91/9415090/daec720e3325/vetsci-09-00431-g011.jpg
https://cdn.ncbi.nlm.nih.gov/pmc/blobs/ea91/9415090/5de363fad3e4/vetsci-09-00431-g012.jpg

相似文献

1
Transjugular Patent Ductus Arteriosus Occlusion in Seven Dogs Using the Amplatzer Vascular Plug II.使用Amplatzer血管封堵器II对七只犬进行经颈静脉动脉导管未闭封堵术。
Vet Sci. 2022 Aug 14;9(8):431. doi: 10.3390/vetsci9080431.
2
Low profile vascular plug for transarterial occlusion of patent ductus arteriosus in small dogs.用于小型犬动脉导管未闭经动脉闭塞的低轮廓血管塞
J Vet Intern Med. 2021 Jan;35(1):98-106. doi: 10.1111/jvim.15966. Epub 2020 Nov 26.
3
Transjugular occlusion of large patent ductus arteriosus with an Amplatzer™ muscular ventricular septal defect occluder in a 3-month-old dog.经颈静脉封堵大型动脉导管未闭使用 Amplatzer™ 肌部室间隔缺损封堵器:一例 3 月龄犬的病例报告。
Open Vet J. 2023 Nov;13(11):1478-1484. doi: 10.5455/OVJ.2023.v13.i11.12. Epub 2023 Nov 30.
4
Transvenous embolization of patent ductus arteriosus in 16 dogs using the Amplatzer Vascular Plug II device: description of a modified technique and complications.使用Amplatzer血管封堵器II对16只犬的动脉导管未闭进行经静脉栓塞:改良技术及并发症描述
J Vet Med Sci. 2024 Oct 1;86(10):1089-1095. doi: 10.1292/jvms.23-0445. Epub 2024 Sep 2.
5
Transvenous embolization of moderate to large patent ductus arteriosus in dogs using the Amplatzer vascular plug II.经导管栓塞术治疗犬中等至大型动脉导管未闭使用 Amplatzer 血管塞 II。
J Vet Intern Med. 2022 Jan;36(1):20-28. doi: 10.1111/jvim.16342. Epub 2021 Dec 16.
6
Patent ductus arteriosus occlusion in small dogs utilizing a low profile Amplatz® canine duct occluder prototype.使用低轮廓的Amplatz®犬用动脉导管封堵器原型对小型犬进行动脉导管未闭封堵术。
J Vet Cardiol. 2015 Sep;17(3):203-9. doi: 10.1016/j.jvc.2015.06.002. Epub 2015 Sep 9.
7
Successful transcatheter retrieval of embolized Amplatz Canine Duct Occluders in two dogs.两只犬经导管成功取出栓塞的Amplatz犬导管封堵器。
J Vet Cardiol. 2018 Dec;20(6):451-457. doi: 10.1016/j.jvc.2018.07.010. Epub 2018 Sep 11.
8
Transarterial correction of patent ductus arteriosus in small dogs with the Amplatz™ Vascular Plug 4: A pilot study.经导管动脉途径应用 Amplatz™ 血管塞 4 封堵小型犬动脉导管未闭的初步研究。
J Vet Cardiol. 2021 Jun;35:48-54. doi: 10.1016/j.jvc.2021.02.005. Epub 2021 Mar 3.
9
Transcatheter closure of a large patent ductus arteriosus using jugular access in an infant.在婴儿中经颈静脉途径经导管闭合大型动脉导管未闭。
J Thorac Dis. 2018 Mar;10(3):E207-E209. doi: 10.21037/jtd.2018.02.54.
10
Occlusion devices and approaches in canine patent ductus arteriosus: comparison of outcomes.犬动脉导管未闭封堵装置和方法: 结局比较。
J Vet Intern Med. 2012 Jan-Feb;26(1):85-92. doi: 10.1111/j.1939-1676.2011.00859.x. Epub 2011 Dec 23.

引用本文的文献

1
Low-profile KA microplug set for transarterial occlusion of patent ductus arteriosus in a small dog: First experience in interventional cardiology.用于小型犬动脉导管未闭经动脉封堵的低轮廓KA微型栓塞装置:介入心脏病学的首次经验
Open Vet J. 2024 Dec;14(12):3640-3648. doi: 10.5455/OVJ.2024.v14.i12.45. Epub 2024 Dec 31.
2
Transvenous embolization of patent ductus arteriosus in 16 dogs using the Amplatzer Vascular Plug II device: description of a modified technique and complications.使用Amplatzer血管封堵器II对16只犬的动脉导管未闭进行经静脉栓塞:改良技术及并发症描述
J Vet Med Sci. 2024 Oct 1;86(10):1089-1095. doi: 10.1292/jvms.23-0445. Epub 2024 Sep 2.
3

本文引用的文献

1
The use of Amplatzer vascular plug II in 32 consecutive dogs for transvenous occlusion of patent ductus arteriosus.32 只连续犬经静脉应用 Amplatzer 血管塞 II 封堵动脉导管未闭。
J Vet Cardiol. 2022 Jun;41:88-98. doi: 10.1016/j.jvc.2021.05.005. Epub 2021 May 29.
2
Transvenous embolization of moderate to large patent ductus arteriosus in dogs using the Amplatzer vascular plug II.经导管栓塞术治疗犬中等至大型动脉导管未闭使用 Amplatzer 血管塞 II。
J Vet Intern Med. 2022 Jan;36(1):20-28. doi: 10.1111/jvim.16342. Epub 2021 Dec 16.
3
Epidemiological study of congenital heart diseases in dogs: Prevalence, popularity, and volatility throughout twenty years of clinical practice.
Transjugular occlusion of large patent ductus arteriosus with an Amplatzer™ muscular ventricular septal defect occluder in a 3-month-old dog.
经颈静脉封堵大型动脉导管未闭使用 Amplatzer™ 肌部室间隔缺损封堵器:一例 3 月龄犬的病例报告。
Open Vet J. 2023 Nov;13(11):1478-1484. doi: 10.5455/OVJ.2023.v13.i11.12. Epub 2023 Nov 30.
犬先天性心脏病的流行病学研究:二十年临床实践中的流行率、知名度和变化趋势。
PLoS One. 2020 Jul 27;15(7):e0230160. doi: 10.1371/journal.pone.0230160. eCollection 2020.
4
Balloon pulmonary valvuloplasty in neonates with critical pulmonary stenosis: Jugular or femoral.患有严重肺动脉狭窄的新生儿的球囊肺动脉瓣成形术:颈静脉或股静脉入路。
Ann Pediatr Cardiol. 2020 Jan-Mar;13(1):11-15. doi: 10.4103/apc.APC_14_19. Epub 2019 Nov 7.
5
The Transjugular Approach: An Alternative Route to Improve Ablation Success in Right Anteriorly and Anterolaterally-Located Supraventricular Tachycardia Substrates in Children.经颈静脉途径:改善儿童右前和前外侧部位室上性心动过速基质消融成功率的替代路径
Pediatr Cardiol. 2019 Mar;40(3):477-482. doi: 10.1007/s00246-018-1987-4. Epub 2018 Sep 22.
6
Successful transcatheter retrieval of embolized Amplatz Canine Duct Occluders in two dogs.两只犬经导管成功取出栓塞的Amplatz犬导管封堵器。
J Vet Cardiol. 2018 Dec;20(6):451-457. doi: 10.1016/j.jvc.2018.07.010. Epub 2018 Sep 11.
7
The Amplatzer Vascular Plug: Review of Evolution and Current Applications.Amplatzer血管封堵器:演变与当前应用综述
Semin Intervent Radiol. 2015 Dec;32(4):356-69. doi: 10.1055/s-0035-1564810.
8
Chitosan hemostatic dressing for control of hemorrhage from femoral arterial puncture site in dogs.壳聚糖止血敷料用于控制犬股动脉穿刺部位出血。
J Vet Sci. 2015;16(4):517-23. doi: 10.4142/jvs.2015.16.4.517.
9
Use of the amplatzer vascular plug II device to occlude different types of patent ductus arteriosus in pediatric patients.使用Amplatzer血管封堵器II型装置封堵小儿患者不同类型的动脉导管未闭。
J Interv Cardiol. 2015 Apr;28(2):198-204. doi: 10.1111/joic.12188. Epub 2015 Apr 2.
10
Dog movie stars and dog breed popularity: a case study in media influence on choice.狗明星与犬种受欢迎程度:媒体对选择影响的一个案例研究
PLoS One. 2014 Sep 10;9(9):e106565. doi: 10.1371/journal.pone.0106565. eCollection 2014.