• 文献检索
  • 文档翻译
  • 深度研究
  • 学术资讯
  • Suppr Zotero 插件Zotero 插件
  • 邀请有礼
  • 套餐&价格
  • 历史记录
应用&插件
Suppr Zotero 插件Zotero 插件浏览器插件Mac 客户端Windows 客户端微信小程序
定价
高级版会员购买积分包购买API积分包
服务
文献检索文档翻译深度研究API 文档MCP 服务
关于我们
关于 Suppr公司介绍联系我们用户协议隐私条款
关注我们

Suppr 超能文献

核心技术专利:CN118964589B侵权必究
粤ICP备2023148730 号-1Suppr @ 2026

文献检索

告别复杂PubMed语法,用中文像聊天一样搜索,搜遍4000万医学文献。AI智能推荐,让科研检索更轻松。

立即免费搜索

文件翻译

保留排版,准确专业,支持PDF/Word/PPT等文件格式,支持 12+语言互译。

免费翻译文档

深度研究

AI帮你快速写综述,25分钟生成高质量综述,智能提取关键信息,辅助科研写作。

立即免费体验

纳米封装奇亚油通过抑制氧化应激和调节肿瘤基因表达抑制 DMBA 诱导的大鼠乳腺癌的作用。

The suppressive role of nanoencapsulated chia oil against DMBA-induced breast cancer through oxidative stress repression and tumor genes expression modulation in rats.

机构信息

Cell Biology Department, Biotechnology Research Institute, National Research Centre, Giza, P.O.12622, Egypt.

Nutrition and Food Sciences Department, Food Industries and Nutrition Research Institute, National Research Centre, Giza, P.O.12622, Egypt.

出版信息

Mol Biol Rep. 2022 Nov;49(11):10217-10228. doi: 10.1007/s11033-022-07885-1. Epub 2022 Sep 5.

DOI:10.1007/s11033-022-07885-1
PMID:36063350
原文链接:https://pmc.ncbi.nlm.nih.gov/articles/PMC9618492/
Abstract

BACKGROUND

Chia oil is high in omega-3 fatty acids, which have been linked to a lower risk of many diseases, including cancer. Oil encapsulation is a method that holds promise for maintaining oil content while enhancing solubility and stability. The purpose of this study is to prepare nanoencapsulated Chia oil and investigate its suppressive effects on rat chemically induced breast cancer.

METHODS

The oil was extracted from commercial Chia seeds and their fatty acids were analyzed using Gas Chromatography-mass spectrometry (GC/MS). Sodium alginate was used as a loading agent to create the Chia oil nanocapsules. The DPPH assay was used to assess the oil nanocapsules' capacity to scavenge free radicals. Breast cancer induction was done by single dose subcutaneously administration of 80 mg/kg dimethylbenz (a) anthracene (DMBA). Models of breast cancer were given Chia oil nanocapsules orally for one month at doses of 100 and 200 mg/kg. Through measuring intracellular reactive oxygen species (ROS) and protein carbonyl, assessing the gene expression of tumor suppressor genes (BRCA 1 & 2, TP53), and conducting histopathological analysis, the suppressive effect of Chia oil nanocapsules was examined.

RESULTS

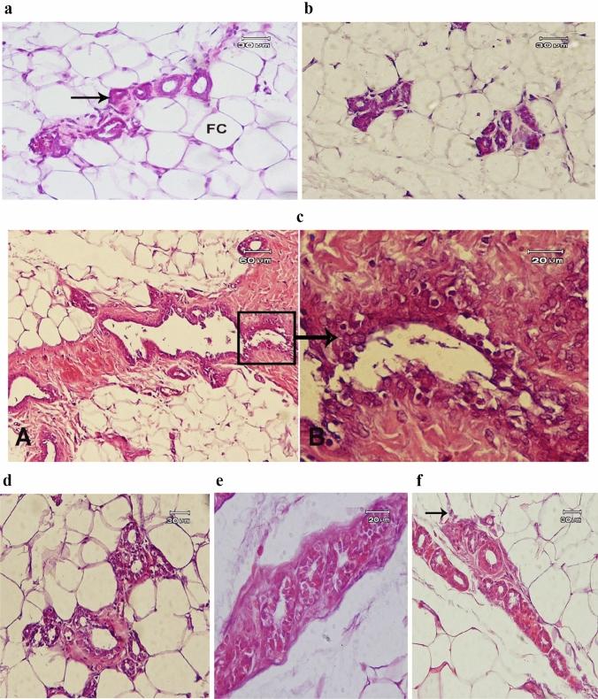
The increase in ROS and PC levels brought on by DMBA was significantly decreased by the administration of Chia oil nanocapsules. In tumor tissue from rats given Chia oil nanocapsules, the mRNA expression levels of BRCA1, BRCA2, and TP53 were controlled Histopathological analysis clarified that the tissue architecture of breast tumors was improved by nanocapsules management.

CONCLUSIONS

These findings demonstrate the ability of Chia oil nanocapsules to inhibit cancer cells in the rat breast.

摘要

背景

奇亚籽油富含欧米伽-3 脂肪酸,这种脂肪酸与许多疾病(包括癌症)的低风险有关。油包埋是一种有前途的方法,可以在保持油含量的同时提高溶解度和稳定性。本研究旨在制备纳米封装的奇亚籽油,并研究其对大鼠化学诱导乳腺癌的抑制作用。

方法

从商业奇亚籽中提取油,并使用气相色谱-质谱联用(GC/MS)分析其脂肪酸。使用海藻酸钠作为负载剂来制备奇亚籽油纳米胶囊。使用 DPPH 测定法评估油纳米胶囊清除自由基的能力。通过单次皮下注射 80mg/kg 二甲基苯并(a)蒽(DMBA)诱导乳腺癌。乳腺癌模型口服给予奇亚籽油纳米胶囊,剂量分别为 100 和 200mg/kg,持续一个月。通过测量细胞内活性氧(ROS)和蛋白羰基,评估肿瘤抑制基因(BRCA1 和 BRCA2、TP53)的基因表达,并进行组织病理学分析,来研究奇亚籽油纳米胶囊的抑制作用。

结果

DMBA 引起的 ROS 和 PC 水平升高,经奇亚籽油纳米胶囊给药后显著降低。在给予奇亚籽油纳米胶囊的大鼠肿瘤组织中,BRCA1、BRCA2 和 TP53 的 mRNA 表达水平得到控制。组织病理学分析表明,纳米胶囊处理改善了乳腺肿瘤的组织形态。

结论

这些发现表明奇亚籽油纳米胶囊能够抑制大鼠乳腺癌细胞。

https://cdn.ncbi.nlm.nih.gov/pmc/blobs/ef25/9618492/352a13a3dada/11033_2022_7885_Fig5_HTML.jpg
https://cdn.ncbi.nlm.nih.gov/pmc/blobs/ef25/9618492/1f59bbdcfc54/11033_2022_7885_Fig1_HTML.jpg
https://cdn.ncbi.nlm.nih.gov/pmc/blobs/ef25/9618492/e6016c029a74/11033_2022_7885_Fig2_HTML.jpg
https://cdn.ncbi.nlm.nih.gov/pmc/blobs/ef25/9618492/5749d01fa240/11033_2022_7885_Fig3_HTML.jpg
https://cdn.ncbi.nlm.nih.gov/pmc/blobs/ef25/9618492/3406966c37f0/11033_2022_7885_Fig4_HTML.jpg
https://cdn.ncbi.nlm.nih.gov/pmc/blobs/ef25/9618492/352a13a3dada/11033_2022_7885_Fig5_HTML.jpg
https://cdn.ncbi.nlm.nih.gov/pmc/blobs/ef25/9618492/1f59bbdcfc54/11033_2022_7885_Fig1_HTML.jpg
https://cdn.ncbi.nlm.nih.gov/pmc/blobs/ef25/9618492/e6016c029a74/11033_2022_7885_Fig2_HTML.jpg
https://cdn.ncbi.nlm.nih.gov/pmc/blobs/ef25/9618492/5749d01fa240/11033_2022_7885_Fig3_HTML.jpg
https://cdn.ncbi.nlm.nih.gov/pmc/blobs/ef25/9618492/3406966c37f0/11033_2022_7885_Fig4_HTML.jpg
https://cdn.ncbi.nlm.nih.gov/pmc/blobs/ef25/9618492/352a13a3dada/11033_2022_7885_Fig5_HTML.jpg

相似文献

1
The suppressive role of nanoencapsulated chia oil against DMBA-induced breast cancer through oxidative stress repression and tumor genes expression modulation in rats.纳米封装奇亚油通过抑制氧化应激和调节肿瘤基因表达抑制 DMBA 诱导的大鼠乳腺癌的作用。
Mol Biol Rep. 2022 Nov;49(11):10217-10228. doi: 10.1007/s11033-022-07885-1. Epub 2022 Sep 5.
2
Formulation of quinoa oil-alginate loaded nanoemulsion and its anticancer efficacy as a therapy for chemically induced breast cancer.藜麻油-海藻酸钠负载纳米乳剂的配方及其作为化学诱导乳腺癌治疗的抗癌功效。
Mol Biol Rep. 2024 Jun 1;51(1):705. doi: 10.1007/s11033-024-09619-x.
3
Enhancement of Composition and Oxidative Stability of Chia (Salvia hispanica L.) Seed Oil by Blending with Specialty Oils.通过与特种油混合来提高奇亚( Salvia hispanica L. )籽油的组成和氧化稳定性。
J Food Sci. 2019 May;84(5):1035-1044. doi: 10.1111/1750-3841.14580. Epub 2019 Apr 16.
4
Fatty acids characterization, oxidative perspectives and consumer acceptability of oil extracted from pre-treated chia (Salvia hispanica L.) seeds.预处理奇亚籽(Salvia hispanica L.)提取油的脂肪酸特性、氧化前景及消费者可接受性
Lipids Health Dis. 2016 Sep 20;15(1):162. doi: 10.1186/s12944-016-0329-x.
5
Omega-3 fatty acids and oxidative stability of ice cream supplemented with olein fraction of chia (Salvia hispanica L.) oil.ω-3脂肪酸与添加奇亚(Salvia hispanica L.)油油酸部分的冰淇淋的氧化稳定性
Lipids Health Dis. 2017 Feb 7;16(1):34. doi: 10.1186/s12944-017-0420-y.
6
Effect of microcapsules of chia oil on Ω-3 fatty acids, antioxidant characteristics and oxidative stability of butter.亚麻籽油微胶囊对黄油中 ω-3 脂肪酸、抗氧化特性和氧化稳定性的影响。
Lipids Health Dis. 2020 Jan 16;19(1):10. doi: 10.1186/s12944-020-1190-5.
7
Ultrasonic Removal of Mucilage for Pressurized Liquid Extraction of Omega-3 Rich Oil from Chia Seeds (Salvia hispanica L.).超声波去除黏液用于从奇亚籽(鼠尾草属西班牙鼠尾草)中加压液体萃取富含ω-3的油脂
J Agric Food Chem. 2017 Mar 29;65(12):2572-2579. doi: 10.1021/acs.jafc.6b05726. Epub 2017 Mar 21.
8
Omega-3 fatty acids, phenolic compounds and antioxidant characteristics of chia oil supplemented margarine.奇亚籽强化人造黄油中ω-3脂肪酸、酚类化合物及抗氧化特性
Lipids Health Dis. 2017 May 31;16(1):102. doi: 10.1186/s12944-017-0490-x.
9
Nanoencapsulation of chia seed oil with chia mucilage (Salvia hispanica L.) as wall material: Characterization and stability evaluation.以奇亚籽黏液(鼠尾草属植物)为壁材对奇亚籽油进行纳米包封:表征与稳定性评估。
Food Chem. 2017 Nov 1;234:1-9. doi: 10.1016/j.foodchem.2017.04.153. Epub 2017 Apr 28.
10
Effect of natural antioxidants on the physicochemical properties and stability of freeze-dried microencapsulated chia seed oil.天然抗氧化剂对冷冻干燥微胶囊化奇亚籽油理化性质及稳定性的影响。
J Sci Food Agric. 2019 Mar 15;99(4):1682-1690. doi: 10.1002/jsfa.9355. Epub 2018 Oct 15.

引用本文的文献

1
Bioactive Potential of Chitosan-Oleic Acid Nanoparticles Loaded with Lemon Peel Essential Oil for Topical Treatment of Vulvovaginal Candidiasis.负载柠檬皮精油的壳聚糖-油酸纳米颗粒用于外阴阴道念珠菌病局部治疗的生物活性潜力
Molecules. 2024 Dec 6;29(23):5766. doi: 10.3390/molecules29235766.
2
Seed () Attenuates Chemically Induced Lung Carcinomas in Rats through Suppression of Proliferation and Angiogenesis.种子()通过抑制增殖和血管生成减轻大鼠化学诱导的肺癌。 (注:原文中“Seed ()”括号部分内容不完整准确,可能影响理解,但按要求完整翻译了现有内容)
Pharmaceuticals (Basel). 2024 Aug 27;17(9):1129. doi: 10.3390/ph17091129.
3
Newly synthesized chitosan nanoparticles loaded with caffeine/moringa leaf extracts Halt Her2, BRCA1, and BRCA2 expressions.

本文引用的文献

1
Plant Extract Induces Apoptosis P53 and Signal Transducer and Activator of Transcription 3 Signaling Pathways in Triple-Negative Breast Cancer Cells.植物提取物诱导三阴性乳腺癌细胞中P53及信号转导和转录激活因子3信号通路的凋亡
Front Nutr. 2022 Mar 18;9:871667. doi: 10.3389/fnut.2022.871667. eCollection 2022.
2
High BRCA2 Gene Expression is Associated with Aggressive and Highly Proliferative Breast Cancer.高 BRCA2 基因表达与侵袭性和高增殖性乳腺癌相关。
Ann Surg Oncol. 2021 Nov;28(12):7356-7365. doi: 10.1245/s10434-021-10063-5. Epub 2021 May 8.
3
Chia Seed Oil Ameliorates Doxorubicin-Induced Cardiotoxicity in Female Wistar Rats: An Electrocardiographic, Biochemical and Histopathological Approach.
新合成的载有咖啡因/辣木叶提取物的壳聚糖纳米颗粒能抑制 Her2、BRCA1 和 BRCA2 的表达。
Sci Rep. 2024 Aug 5;14(1):18118. doi: 10.1038/s41598-024-67599-1.
4
Formulation of quinoa oil-alginate loaded nanoemulsion and its anticancer efficacy as a therapy for chemically induced breast cancer.藜麻油-海藻酸钠负载纳米乳剂的配方及其作为化学诱导乳腺癌治疗的抗癌功效。
Mol Biol Rep. 2024 Jun 1;51(1):705. doi: 10.1007/s11033-024-09619-x.
5
The Role of Obesity in Breast Cancer Pathogenesis.肥胖在乳腺癌发病机制中的作用。
Cells. 2023 Aug 14;12(16):2061. doi: 10.3390/cells12162061.
奇亚籽油可改善雌性 Wistar 大鼠多柔比星诱导的心脏毒性:心电图、生化和组织病理学方法。
Cardiovasc Toxicol. 2021 Jul;21(7):533-542. doi: 10.1007/s12012-021-09644-3. Epub 2021 Mar 19.
4
Novel clerodane-type diterpenoid Cintelactone A suppresses lipopolysaccharide -induced inflammation by promoting ubiquitination, proteasomal degradation of TRAF6.新型克罗烷型二萜类化合物Cintelactone A通过促进TRAF6的泛素化和蛋白酶体降解来抑制脂多糖诱导的炎症。
Pharmacol Res. 2021 Feb;164:105386. doi: 10.1016/j.phrs.2020.105386. Epub 2020 Dec 19.
5
Therapeutic effect of Aegle marmelos fruit extract against DMBA induced breast cancer in rats.荜茇果实提取物对 DMBA 诱导的大鼠乳腺癌的治疗作用。
Sci Rep. 2020 Oct 22;10(1):18016. doi: 10.1038/s41598-020-72935-2.
6
Comparative effect of sodium butyrate and sodium propionate on proliferation, cell cycle and apoptosis in human breast cancer cells MCF-7.丁酸钠和丙酸钠对人乳腺癌细胞MCF-7增殖、细胞周期及凋亡的比较作用
Breast Cancer. 2020 Jul;27(4):696-705. doi: 10.1007/s12282-020-01063-6. Epub 2020 Feb 24.
7
ROS in cancer therapy: the bright side of the moon.ROS 在癌症治疗中的作用:月亮的光明面。
Exp Mol Med. 2020 Feb;52(2):192-203. doi: 10.1038/s12276-020-0384-2. Epub 2020 Feb 14.
8
Is there any potential anticancer effect of raloxifene and fluoxetine on DMBA-induced rat breast cancer?雷洛昔芬和氟西汀对 DMBA 诱导的大鼠乳腺癌是否有潜在的抗癌作用?
J Biochem Mol Toxicol. 2019 Sep;33(9):e22371. doi: 10.1002/jbt.22371. Epub 2019 Jul 23.
9
Inflammation and Cancer: Triggers, Mechanisms, and Consequences.炎症与癌症:触发因素、机制与后果。
Immunity. 2019 Jul 16;51(1):27-41. doi: 10.1016/j.immuni.2019.06.025.
10
Effect of polyunsaturated fatty acids on proliferation and survival of prostate cancer cells.多不饱和脂肪酸对前列腺癌细胞增殖和存活的影响。
PLoS One. 2019 Jul 17;14(7):e0219822. doi: 10.1371/journal.pone.0219822. eCollection 2019.